Лімфоцитоз
Лімфоцитоз — гематологічне поняття, що характеризує збільшення кількості лімфоцитів у крові. У гематології цей стан відносять до лейкемічних змін та III групи лейкемоїдних реакцій — лімфоцитарних. При лейкозах лімфоцитарне збільшення елементів крові призводить до розвитку пухлин та лімфолейкозів, при лейкемоїдних реакціях цього не відбувається. Лімфоцитоз не є самостійним захворюванням, як симптом відбувається при багатьох хворобах.
| Лімфоцитоз Класифікація та зовнішні ресурси | |
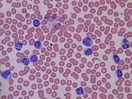
![]() | |
|---|---|
| Збільшення кількості лімфоцитів у периферичній крові (мазок, світлова мікроскопія, збільшення в 40 разів. | |
| МКХ-10 | D72.8 |
| DiseasesDB | 7678 |
| MeSH | D008218 |
Відносний та абсолютний лімфоцитоз
У нормі кількість лімфоцитів складає 20-40 % від усіх лейкоцитів крові. Відносним лімфоцитозом називають такий стан, коли у лейкоцитарній формулі крові кількість лімфоцитів більша за 40 %, тоді як абсолютна кількість за спеціальними підрахунками в нормі — у дорослих до 4 000 в 1 мкл. Якщо окрім процентного відношення збільшується і абсолютна кількість лімфоцитів, то мова йде про абсолютний лімфоцитоз. Звичайно у дітей інші за цифрами показники, що свідчать про лімфоцитоз у них.
Причини
Абсолютний лімфоцитоз спостерігають при:
- деяких гострих вірусних інфекціях, зокрема, при інфекційному мононуклеозі, цитомегаловірусній інфекції тощо;
- деяких інших гострих інфекціях не вірусного генезу, зокрема, при черевному тифі, паратифах, коклюші, хворобі Шагаса тощо; — при деяких хронічних бактеріальних інфекціях — туберкульозі, бруцельозі тощо;
- хронічному лімфолейкозі, гострому лімфобластному лейкозі;
- деяких лімфомах;
- після спленектомії (видалення селезінки).
Відносний лімфоцитоз спостерігають при:
- усіх інфекціях у дітей до 2-х років від народження;
- при гострих вірусних інфекціях — грипі, деяких ГРВІ з тяжким перебігом, кору, вірусному гепатиті A, B, E;
- хворобах сполучної тканини;
- хворобі Аддісона;
- тиреотоксикозі.
Джерела
- Третяк Н. М. Гематологія: Навчальний посібник. — К.:Зовнішня торгівля, 2005 — С.240 ISBN 966-8517-07-5
- Гематология: Новейший справочник / Под общ. ред. К. М. Абдулкадырова. — М.: Эксмо; СПб.: Изд-во Сова, 2004. — 928 с, илл. ISBN 5-699-05074-4
