Лімфоаденопатія
Лімфоаденопатія (лат. lymphadenopathy, також Аденопатія, рідше — Лімфаденопатія) — зміни лімфатичних вузлів, при якому вони мають аномальний розмір або консистенцію. Є симптомом багатьох хвороб. Лімфаденопатія відображає зміни системи мононуклерних фагоцитів у вигляді збільшення нормальних лімфоцитів і макрофагів (у відповідь на будь-який антиген). Під лімфоаденопатією розуміють зазвичай незапальне ураження лімфатичних вузлів, тоді як ураження їх внаслідок чіткого запалення називається лімфаденітом. У клінічній практиці різницю між лімфоаденопатією та лімфаденітом зазвичай не зовсім правильно трактують як синонімічні. Часто поняття лімфоденопатія застосовують на початку фізикального обстеження хворого, коли ще не вияснено, чи є там запалення або ж його немає.
| Лімфоаденопатія Класифікація та зовнішні ресурси | |
![]() | |
|---|---|
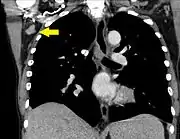
| Лімфаденопатія пахвових лімфатичних вузлів на зрізі комп'ютерної томограми (показана жовтою стрілкою) | |
| МКХ-10 | R59.1 R59.9 |
Запалення лімфатичних судин відоме як лімфангіт. Накопичення неопластичних лімфоцитарних клітин призводить до утворення лімфоми. Лімфатичні вузли можуть збільшуватися через насичення метаболітами макрофагів при хворобах накопичення, як то при хворобі Гоше.

Лімфатична система
Лімфатичні вузли разом із селезінкою, мигдаликами, аденоїдами та Пейєровими бляшками є високоорганізованими центрами імунних клітин, які фільтрують антиген із позаклітинної рідини. Безпосередньо всередині фіброзної капсули лімфатичного вузла є субкапсулярний синус. Це дозволяє лімфі, ультрафільтрату крові, проходити з аферентних лімфатичних судин через синуси і виводячі судини. Синуси всіяні макрофагами, які видаляють 99 % всіх доставлених антигенів.
Всередині субкапсулярного синуса знаходиться кора, яка містить первинні фолікули, вторинні фолікули та міжфолікулярну зону. Фолікули в корі є основними місцями проліферації В-клітин, тоді як міжфолікулярна зона є місцем антиген-залежного диференціювання та проліферації Т-клітин. Найглибша структура всередині лімфатичного вузла — мозкова речовина, що складається з тяжів плазматичних клітин і малих В-лімфоцитів, які сприяють секреції імуноглобуліну у вихідну лімфу.
Лімфатичний вузол із високою концентрацією лімфоцитів і антигенпрезентуючих клітин є ідеальним органом для захоплення антигенів, які отримують доступ через шкіру або шлунково-кишковий тракт. Вузли мають значну здатність до зростання і змін. Розмір лімфатичних вузлів залежить від віку людини, розташування лімфатичного вузла в організмі та попередніх імунологічних подій. У новонароджених лімфатичні вузли ледь помітні, але прогресуюче збільшення загальної маси лімфатичних вузлів спостерігається до пізнішого дитинства, до 8-12 років. Прогресуюча атрофія лімфатичних вузлів починається в підлітковому віці, у періоді статевого дозрівання, й продовжується надалі.
Детальніші відомості з цієї теми ви можете знайти в статті Лімфатична система.
Причини
Лімфоаденопатія є поширеною і неспецифічною ознакою. Часті причини включають інфекційні захворювання, реакція після вакцинації, аутоімунні захворювання та рак. Лімфаденопатія часто носить ідіопатичний характер і проходить самостійно. Інфекційний мононуклеоз, в тому числі спричинений цитомегаловірусом, є частою причиною лімфоаденопатії, проте її частіше спричинюють збудники ГРВІ.
Класифікація
Лімфоаденопатію за кількістю уражених лімфатичних вузлів поділяється на регіонарну (локалізовану) та генералізовану. Остання являє собою збільшення лімфатичних вузлів симетрично на двох або більше анатомічних ділянках.
Діагностика
У підлітків при проведенні діагностики причин лімфоаденопатії слід з'ясувати статевий анамнез та можливу історію внутрішньовенного вживання наркотичних речовин.
Лікування
Лікування визначається специфічною основною етіологією лімфаденопатії. У більшості випадків шийної лімфоаденопатії у дітей здійснюється консервативна терапія. Антибіотики слід призначаються лише тоді, коли є підозра на бактеріальну інфекцію з формуванням лімфаденіту. Така практика може призвести до непотрібного призначення антимікробних засобів. Однак ризик хірургічного втручання часто переважає потенційний ризик від короткого курсу антибіотиків.
Джерела
- Dorfman, R E; Alpern, M B; Gross, B H; Sandler, M A (1991). «Upper abdominal lymph nodes: criteria for normal size determined with CT». Radiology. 180 (2): 319—322. doi:10.1148/radiology.180.2.2068292. ISSN 0033-8419. PMID 2068292. (англ.)
- Dr. Hayley Willacy, reviewed by Dr. Sarah Jarvi «Generalised Lymphadenopathy». Patient UK. Retrieved 2017-03-04. (англ.)
- Vikramjit S Kanwar Lymphadenopathy. Updated: Jan 07, 2022 Medscape. Drugs & Diseases. Pediatrics: General Medicine (Chief Editor: Russell W Steele) (англ.)
- Weiss, LM; O'Malley, D (2013). «Benign lymphadenopathies». Modern Pathology. 26 (Supplement 1): S88–S96. doi:10.1038/modpathol.2012.176. PMID 23281438 (англ.)
