Лейкоцитоз
Лейкоцитоз — збільшення загальної кількості лейкоцитів у крові понад 9 г/л (9×109/л). Лейкоцитоз не має самостійного значення, а є лише симптомом, що супроводжує розвиток багатьох хвороб[1].
| Лейкоцитоз Класифікація та зовнішні ресурси | |
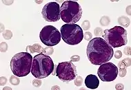
![]() | |
|---|---|
| Мазок крові пацієнта з мікрогранулярною гострою промієлоцитарною лейкемією. На зображенні видно лейкоцитоз із патологічно зміненими промієлоцитами. | |
| МКХ-10 | D72.8 |
| DiseasesDB | 33024 |
| MeSH | D007964 |
Класифікація
За механізмом виникнення лейкоцитози поділяють на справжні та несправжні.
- Справжній лейкоцитоз — збільшення кількості лейкоцитів у крові, зумовлене посиленням лейкопоезу або збільшенням надходження лейкоцитів із депо кісткового мозку в кровоносні судини. За патогенезом справжній лейкоцитоз може бути реактивним або пухлинним.
- Несправжній лейкоцитоз — збільшення кількості лейкоцитів у крові, зумовлене переходом лейкоцитів із пристінкового басейну в циркуляторний (перерозподільний лейкоцитоз) або зменшенням об'єму плазми та згущенням крові (гемоконцентраційний лейкоцитоз).
За збільшенням кількості окремих видів лейкоцитів у разі лейкоцитозу його поділяють на нейтрофільний, еозинофільний, базофільний, лімфоцитарний і моноцитарний. Часто збільшується кількість кількох видів лейкоцитів (наприклад, нейтрофільно-еозинофільний лейкоцитоз)[2].
За причиною виникнення лейкоцитози поділяють на фізіологічні та патологічні.
Етіологія
Фізіологічний лейкоцитоз
- приймання їжі (при цьому число лейкоцитів не перевищує 10-12 ×109/л)
- фізична робота, приймання гарячих і холодних ванн
- вагітність, пологи, передменструальний період
З цієї причини кров потрібно здавати натще, перед проведенням тесту не варто виконувати важку фізичну роботу. Для вагітних, породілль встановлені свої норми. Те ж саме стосується дітей.
Патологічний лейкоцитоз
- Різні запальні захворювання, які спричинюють переважно бактерії (пневмонія, сепсис, менінгіт, пієлонефрит, перитоніт, флегмона)
- Інфекційні захворювання (сальмонельоз, шигельоз, менінгококова інфекція, чума, інфекційний мононуклеоз тощо)
Якщо в гострій фазі інфекційного захворювання відсутній лейкоцитоз — це несприятлива ознака, що свідчить про слабку реактивності (опірності) організму. Деякі інфекційні захворювання перебігають з лейкопенією (черевний тиф, малярія, бруцельоз, кір, краснуха, грип, вірусний гепатит у гострій фазі).
- Запальні захворювання немікробної етіології (ревматоїдний артрит, системний червоний вовчак тощо)
- Інфаркти різних органів (міокарда, легень і т. д.) — в їх основі лежить асептичне (безмікробних) запалення
- Великі опіки з розвитком опікової хвороби.
- Велика крововтрата
- злоякісні захворювання (онкологія)
Винятки: метастази в кістковий мозок можуть порушувати кровотворення і спричиняти лейкопенію
- Проліферативні (лат. proles потомство + лат. ferreнести = розростання тканини організму в результаті новоутворення клітин) — захворювання системи крові (лейкози тощо), але це стосується тільки лейкемічної (більше 50-80 ×10 9 / л лейкоцитів) та сублейкемічної (50-80 ×10 9 / л лейкоцитів) форм.
Винятки: при лейкопенічній (вміст лейкоцитів у крові нижче норми) і алейкемічній (вміст лейкоцитів у крові нижче норми, відсутність бластних (незрілих) клітин) формах, лейкоцитоз не спостерігається.
- Уремія, діабетична кома
- Спленектомія (видалення селезінки) — лейкоцитоз 15-20 ×10 9 / л зі збільшенням кількості нейтрофілів до 90 %.
Патогенез
Розрізняють чотири механізми виникнення лейкоцитозу:
- збільшення утворення лейкоцитів в органах кровотворення реактивного характеру, що трапляється під час інфекції та некрозу тканин, та пухлинного характеру, що трапляється в разі пухлинної гіперплазії лейкопоетичної тканини, унаслідок чого збільшується мітотичний, дозрівльний і резервний басейн лейкоцитів у кістковому мозку.
- прискорення виходу лейкоцитів із кісткового мозку в кров у наслідок підвищення проникності кістковомозкового бар'єру під впливом медіаторів запалення та глюкокортикоїдів), посилення протеолізу оболонки острівця гранулицтопоезу, септичних станів.
- перерозподіл лейкоцитів завдяки їх мобілізації з пристінкового басейну в циркуляторний, що трапляється під час стресу, що супроводжується виділенням адреналіну та глюкокортикоїдів, в разі виникнення сильних емоцій, болю, перегрівання, переохолодження, у випадку дії ендоктоксинів мікроорганізмів, у наслідок перерозподілу крові в разі шоку чи колапсу.
- зменшення об'єму плазми та згущення крові[3].
Картина крові
У разі лейкоцитозу збільшення загальної кількості лейкоцитів супроводжується зміною лейкоцитарної формули — відсоткового вмісту окремих форм лейкоцитів за підрахунком 100—200 клітин у пофарбованому мазку крові. Для встановлення абсолютного характеру окремих видів лейкоцитозу розраховують абсолютний вміст різних форм грануло- та агранулоцитів в 1 л, позаяк сама лейкоцитарна формула показує лише відсотковий вміст лейкоцитів і відображає відношення між їхніми різними формами.
Лейкоцитоз часто супроводжується появою в крові незрілих клітин. Велика їх кількість характерна для сепсису, гнійних процесів, інфекційних хвороб, розпаду злоякісної пухлини[4].
| Лейкоцити | Кількість клітин | ||
|---|---|---|---|
| % | в 1 л | в 1 мкл | |
| Базофільні гранулоцити | 0—1 | 0—0,09 × 109 | 0—90 |
| Еозинофільні гранулоцити | 2—5 | 0,08—0,45 × 109 | 80—450 |
| Нейтрофільні гранулоцити: | |||
| а) метамієлоцити (юні) | 0—1 | 0—0,09 × 109 | 0—90 |
| б) паличкоядерні | 1—6 | 0,04—0,54 × 109 | 40—540 |
| в) сегментоядерні | 51—67 | 2,04—6,03 × 109 | 2040—6030 |
| Моноцити | 4—8 | 0,16—0,72 × 109 | 160—720 |
| Лімфоцити | 20—40 | 0,8—3,6 × 109 | 800—3600 |
Примітки
- Атаман, 2007, с. 266.
- Биць, 2015, с. 472.
- Биць, 2015, с. 473.
- Биць, 2015, с. 473—474.
Література
- Биць Ю.В., Бутенко Г.М., Гоженко А.І. та ін. Патофізіологія. — К. : ВСВ «Медицина», 2015. — 752 с. — ISBN 978-617-505-428-4.
- Атаман О.В. Патофлогічна фізіологія в запитаннях і відповідях. — В. : Нова Книга, 2007. — 512 с. — ISBN 978-966-382-020-0.
- Vinay Kumar, Abul K. Abbas, Jon C. Aster. Robbins and Cotran pathologic basis of disease. — Elsevier, 2015. — 1392 с. — ISBN 978-1-4557-2613-4.
- Третяк Н. М. Гематологія: Навчальний посібник. — К.:Зовнішня торгівля, 2005 — С.240 ISBN 966-8517-07-5
