Ангіографія
Ангіогра́фія (грец. αγγειον — судина і γραφω — пишу) — метод спеціального рентгенологічного дослідження кровоносних судин різних органів шляхом введення в артеріальну чи венозну систему речовин, які дають різку тінь в рентгенівських знімках. Ангіографія без контрастної речовини також можлива за допомогою МРТ.




Процедури
Залежно від основного методу візуалізації розрізняють різні методи ангіографії:
- Дигітальна субтракційна ангіографія (DSA)
- КТ-ангіографія (CTA)
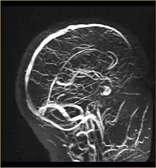
- Магнітно-резонансна ангіографія (MRA)
- Флуоресцентна ангіографія сітківки з індоціаніном
- Доплерографія та дуплексна сонографія -для додаткової інформації про приплив крові.
- Церебральна ангіографія - розроблена в 1927 р. португальським лікарем Антоніо Егасом Монізом та його колегою Педро Мануелем де Альмейдою Лімою, її було легше використовувати, коли на початку 1950-х було винайдено катетер Зельдінгера. [1]
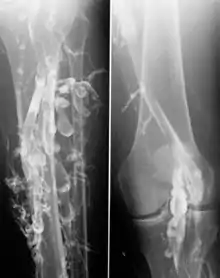
Окрім артеріальної ( артеріографії ) та венозної ( флебографії ) судин, також можуть відображатися лімфатичні судини ( лімфографія ) та неанатомічні судини, такі як судинні протези чи діалізні шунти. Дослідження коронарних артерій називають коронарною ангіографією, ангіографію варикозно - розширених вен після пункції - варикографією.
Показання
Ангіографії в основному використовують для діагностики важливих судинних захворювань.
- Артеріальні захворювання:
- Артеросклероз та його ускладнення
- Аневризми
- Травми судин
- Патологія ангіогенезу
- Захворювання вен :
Іноді ангіографію використовують, щоб побачити хід важливих судин при плануванні операції .
Примітки
- Axel Karenberg: Neuroradiologie. In: Werner E. Gerabek, Bernhard D. Haage, Gundolf Keil, Wolfgang Wegner (Hrsg.): Enzyklopädie Medizingeschichte. De Gruyter, Berlin/ New York 2005, ISBN 3-11-015714-4, S. 1046.
Література
- Українська радянська енциклопедія : у 12 т. / гол. ред. М. П. Бажан ; редкол.: О. К. Антонов та ін. — 2-ге вид. — К. : Головна редакція УРЕ, 1974–1985.