Гемобластози
Гемобластози (лат. haemoblastosis; дав.-гр. αἷμα «кров» + βλαστός зародок + -osis) — пухлинні (неопластичні) захворювання кровотворної та лімфатичної тканин. Гемобластози поділяють на системні захворювання — лейкози, а також регіонарні — лімфоми.
| Гемобластози | |
|---|---|
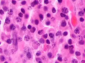
![]() Мікрофотографія плазмацитоми, гематологічного злоякісного новоутворення Мікрофотографія плазмацитоми, гематологічного злоякісного новоутворення | |
| Класифікація та зовнішні ресурси | |
| МКХ-10 | Major .minor Group Major .minor |
| DiseasesDB | |
| MedlinePlus | Шаблон:MedlinePlus2 |
| eMedicine | / /topicTopic .htm Subj /Topic |
| MeSH | D019337 |
- Запит «Рак крові» перенаправляє сюди.
Відмінності між лейкозами і лімфомами полягають не тільки в наявності або відсутності системності ураження. В термінальній стадії лімфоми дають великі метастази, в тому числі і в кістковий мозок. Але при лейкозі кістковий мозок уражається первинно, а при лімфомах — вторинно, в результаті метастазування. При лейкозах пухлинні клітини, зазвичай, виявляються у крові, тому в літературі використовується термін для позначення лейкозів, запропонований ще Рудольфом Вірховим — «лейкемія».
Посилання
This article is issued from Wikipedia. The text is licensed under Creative Commons - Attribution - Sharealike. Additional terms may apply for the media files.
