Гломерулонефрит
Гломе́рулонефри́т (також клубочковий нефрит чи хвороба Брайта) — збірна назва захворювань нирок (зазвичай обох), що характеризуються ураженням ниркових клубочків (glomerula). Багато хвороб з цієї групи (однак не всі) спричинюють запальні процеси ниркових клубочків або дрібних ниркових судин, що має певною мірою аутоімунну складову. Гломерулонефрити зазвичай спричинені неспадковими факторами, проте описані випадки, коли цей стан обумовлений генетично
. Наразі входить до поняття «хронічна хвороба нирок».
| Гломерулонефрит | |
|---|---|
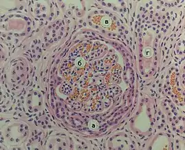
![]() Мікрофотографія біоптату нирки хворого з гострим прогресивним гломерулонефритом. Фарбування гематоксиліном-еозином. Мікрофотографія біоптату нирки хворого з гострим прогресивним гломерулонефритом. Фарбування гематоксиліном-еозином. | |
| Спеціальність | нефрологія |
| Симптоми | нефрит[1] |
| Препарати | екулізумаб[2] |
| Класифікація та зовнішні ресурси | |
| МКХ-10 | N00, N01, N03, N18 |
| DiseasesDB | 5245 |
| MedlinePlus | 000484 |
| MeSH | D005921 |
| | |
Гломерунефрит може бути представленим ізольованою гематурією/протеїнурією (наявність крові чи білків у сечі); або ж у вигляді нефротичного чи нефритичного синдрому, гострої або хронічної ниркової недостатності. Перебігати захворювання може у вигляді однієї з форм — гострої, підгострої або хронічної. Кожна з форм має притаманну лише собі гістологічну картину; хронічний гломерулонефрит поділяється на декілька типів, відсутність лікування будь-якого з них призводить до ниркової недостатності
.
Гломерулонефрити класифікують на низку різних патологічних станів, які у свою чергу належать до проліферативного або непроліферативного типів. Діагностування чіткого виду клубочкового нефриту є надзвичайно важливим, оскільки лікування та прогноз різняться при різних станах. Первинні причини захворювання мають нирковий генез, натомість вторинні пов'язані з певними інфекціями (бактеріальними, вірусними чи іншими паразитозами), вживанням лікарських засобів, системними захворюваннями (СЧВ, васкуліт) чи діабетом
. Патогенез захворювання полягає у розвитку автоімунної відповіді до М-білка стрептококу, ця відповідь уражає самі клубочки, звідси і розвиток захворювання
.
Біль у ділянці попереку, підвищення температури, загальна слабкість та погіршення апетиту часто є симптомами початку розвитку гострого гломерулонефриту. Типовими ж ознаками хвороби Брайта є піниста сеча, гіпертензія, набряки та втома
.
Гломерулонефрит, як і інші захворювання нирок, вивчав Річард Брайт, відомий англійський лікар 19-го століття. Саме йому приписують відкриття хвороби
.
Історія

Упродовж 1820-х та 1830-х років англійський лікар Річард Брайт працював у лікарні Ґайз Хоспітал, де викладав, практикував та вивчав медицину. Він працював разом із двома уже визнаними піонерами медицини — Томасом Аддісоном та Томасом Ходжкіном. Його дослідження причин і симптомів захворювань нирок призвели до відкриття того, що стало відомим як хвороба Брайта (гломерулонефрит)[3]. За це відкриття Брайта вважають «батьком нефрології». 1821 року його обрали членом Лондонського королівського товариства[4].
Класифікація
У клініці найчастіше використовують класифікацію Пелещука та Пирога 1976 року[5]:
| Форма | Синдром | Стадія | Додаткова характеристика |
|---|---|---|---|
| Гострий | Сечовий
Нефротичний Нефритичний |
Гіпертензія
Затяжний перебіг[6] | |
| Підгострий | Доазотемічна | ||
| Хронічний | Сечовий
Нефротичний |
Догіпертензивна
Гіпертензивна |
Гематурія[7]
Гіпертензія Фаза загострення, ремісії |
В Україні до практичного використання рекомендується класифікація гломерулонефритів, що повністю узгоджується з МКХ-10[5]:
| Гломерулонефрит | Синдром | Активність (фаза) | Наявність гіпертензії | Функція нирок |
|---|---|---|---|---|
| Гострий | Сечовий
Нефротичний Нефритичний |
Активний
Ремісія |
Присутня Відсутня |
Без порушення функції
Із порушенням функції |
| Підгострий | Присутня
Відсутня |
Без порушення функції
Із порушенням функції | ||
| Хронічний | Сечовий
Нефротичний Нефритичний |
Активний
Ремісія Загострення |
Присутня Відсутня |
Без порушення функції
Із порушенням функції |
За патоморфологічними ознаками виділяють декілька морфологічних форм гломерулонефритів[8]:
| Морфологічний тип | Характеристика | Частота |
|---|---|---|
| ГН з мінімальними змінами клубочків | Світлова мікроскопія практично не показує змін; електронна мікроскопія показує зливання малих відростків подоцитів | близько 80 % випадків нефротичного синдрому в дітей |
| Ендокапілярний дифузний проліферативний ГН | Є морфологічним еквівалентом гострого постстрептококового ГН; збільшені малокровні клубочки; обтічний інтерстицій інфільтрований полімофноядерними лейкоцитами; зміна структури клубочкового капіляра не відмічається | виникає у більшості випадків гострих постстрептококових ГН |
| ГН з «півмісяцями» | У просторі Боумана позакапілярно проліферуються клітини, що призводить до утворення «півмісяців» (серпів) у 60-100 % клубочків, які стискають його іззовні, та спадання капілярних петель; ниркова тканина заміщається фіброзною при термінальній фазі | виникає при більшості підгострих гломерулонефритів |
| Мезангіопроліферативний | Мезангій розширений унаслідок проліферації мезангіальних клітин та інфільтрації моноцитами | близько 5-10 % усіх випадків ідіопатичного нефротичного синдрому |
| Мезангіокапілярний | Дифузне розширення клубочкових базальних мембран, проліферація мезангіальних клітин, збільшення мезангіального матриксу | близько 15 % випадків ідіопатичного нефротичного синдрому в дітей і 30 % у дорослих |
| Мембранозний ГН | Дифузне потовщення ГБМ капіляру | близько 30-40 % випадків нефротичного синдрому в дорослих і 5 % у дітей |
| Фокально-сегментарний гломерулосклероз | Ураження окремих клубочків, у яких склерозується частина петель; склерозовані петлі зростаються з грубою і склерозованою капсулою Боумана, що надалі призводить до гломерулосклерозу | близько 15-25 % випадків нефротичного синдрому в дорослих і 10-15 % у дітей |
| Фібропластичний ГН | Останній етап морфологічної еволюції гломерулонефриту; спостерігається дифузний склероз структур нефрона | виникає внаслідок більшості гломерулонефритів |
Спадковість
Більшість випадків захворювання спричинені неспадковими факторами, проте 2004 року команда дослідників знайшла генетичну залежність у розвитку захворювання у невеликої кількості пацієнтів, яка була пов'язана з дефектами гену, що кодує фумарат гідратазу. Унаслідок цього дефекту розвивається фумарацидурія, яка може бути фактором розвитку гломерулонефриту[9][10].
Причини
Багато станів можуть спричинити гломерулонефрит, хоча ще й досі причини розвитку захворювань у деяких пацієнтів залишаються нез'ясованими. Стани, які призводять до запалень клубочків нирок можуть в себе включати:
Інфекційні фактори
- Стрептокок-спричинені гломерулонефрити. Гломерулонефрит може розвинутись через декілька тижнів після перенесення стрептококового фарингіту, тонзиліту, стрептодермій (або будь-якого іншого стрептокок-спричиненого захворювання). Для того, щоб боротись з інфекцією наш організм виробляє специфічні антитіла, які можуть осісти у клубочках, чим спричиняють їх запалення. Ця причина більш поширена у дітей.
- Бактеріальний ендокардит. Бактерії можуть поширюватись через нашу кровоносну систему і осідати у серці, спричинюючи захворювання однієї або більше серцевих стулок. Ризик отримати це захворювання збільшується у разі наявності вад серця. Бактеріальний ендокардит є пов'язаним з гломерулонефритом, проте зв'язок між ними є недостатньо вивчений
- Вірусні захворювання. Такі хвороби, як ВІЛ-інфекція, хронічні форми гепатиту В, гепатиту С можуть зумовити розвиток гломерулонефриту у вигляді гепато-ренального синдрому, як складової вірус-індукованого цирозу печінки[11].
Імунні захворювання
- Вовчак. Хронічне запальне захворювання, вовчак, може вражати багато частин тіла людини, включно зі шкірою, суглобами, нирками, клітинами крові, серцем і легенями.
- Синдром Гудпасчера. Рідкісне імунологічне захворювання з переважним ураженням легень та нирок. Проявляється гломерулонефритом та запальним процесом у легенях в поєднанні з кровотечею.
- IgA-залежна нефропатія. Характеризується повторюваними епізодами гематурії, яка спричинена відкладеннями імуноглобуліну A (IgA) у ниркових клубочках. IgA-залежна нефропатія може прогресувати роками без помітної симптоматики[12].
Васкуліти
- Поліартрит. Ця форма васкуліту вражає малі та середні судини у багатьох органах організму людини: серці, нирках та кишці.
- Синдром Вегенера. Ця форма васкуліту вражає малі та середні судини легень, верхніх дихальних шляхів та нирок[13].
Стани, які спричинюють рубцювання клубочків
- Високий кров'яний тиск. Високий кров'яний тиск може шкодити ниркам і погіршувати їхню нормальну функціональну здатність. Гломерулонефрит, в свою чергу, сприяє виникненню високого кров'яного тиску, тому що він знижує функціональну здатність нирок та також впливає на виведення нирками Натрію.
- Діабетичне захворювання нирок. Діабетичне захворювання нирок (діабетична нефропатія) може виникнути у будь-якого діабетика. Діабетична нефропатія розвивається, у більшості випадків, роками. Контроль зацукрованості крові та кров'яного тиску може сповільнити ураження нирок.
- Вроджений сегментний гломерулосклероз. Характеризується нелокалізованими рубцюваннями деяких клубочків. Цей стан може розвинутись внаслідок інших захворювань.
Хронічний гломерулонефрит деколи розвивається з його гострої форми. У деяких пацієнтів відсутня історія ниркових захворювань, внаслідок чого, першою симптоматикою у них є ниркова недостатність. Також у деяких випадках прослідковується спадковість розвитку гломерулонефриту[12].
Патогенез

Хоча патогенез не є до кінця зрозумілим, проте велика кількість клінічних, імунопатологічних та експериментальних досліджень підтверджують гіпотезу, що більшість форм гломерулонефриту спричиняються імунологічними механізмами. Етіологічні агенти гломерулонефриту не є достатньо дослідженими, за винятком форм захворювання пов'язаних з інфекціями, наприклад, бета-гемолітичним стрептококом при постстрептококовому гломерулонефриті.
Як відомо, бета-гемолітичний стрептокок групи A виділяє М-білок, антитіла до якого також є перехресно-активними стосовно клубочків. Антитіла діють тригерно стосовно імунної системи, яка відповідає запаленням і починає пошкоджувати клубочки. Саме з цієї причини порушується функціональність, що і призводить до наступної симптоматики. Гіпотетично, інші причини, такі як ліки, токсини та аутоімунні захворювання запускають аналогічний імунний процес, на користь чого свідчить схожість гістологічних досліджень.
Окрім цього, варто зазначити, що захворювання може розвинутись з інших причин, саме тому розділяють первинний і вторинний гломерулонефрити. Первинний гломерулонефрит це захворювання пов'язане в першу чергу з запаленням клубочків, вторинний, своєю чергою, є компонентом системного захворювання[14][15][16].
Патологічна анатомія

Гломерулонефрит як захворювання інфекційно-алергічної або невстановленої природи може перебігати гостро, підгостро чи хронічно[17].
Гостра форма

При гострому гломерулонефриті нирки збільшені, бліді, кіркова речовина на поверхні з дрібними червоними вкрапленнями. Гістологічно в більшості випадків проявляється імунокомплексний інтракапілярний проліферативний гломерулонефрит, який у своєму розвитку проходить екссудативну, екссудативно-проліферативну та проліферативну фази. Рідко зустрічаються екстракапілярна геморагічна та некротична форми[18].

Підгостра форма
При підгострому гломерулонефриті зі швидким прогресуванням і летальним результатом протягом тижнів чи місяців (злоякісний гломерулонефрит) нирки є великими, жовто-сірими з множинними дрібними геморагіями. Мікроскопічна картина є характерною: екстракапілярний продуктивний гломерулонефрит, або гломерулонефрит із півмісяцями, розвиток якого є пов'язаним із впливом імунних комплексів та антитіл[19].
Хронічна форма
Хронічний гломерулонефрит, який як і гострий є імунокомплексним, представлений такими основними гістологічними типами:
1) мембранозний гломерулонефрит, при якому відбувається своєрідна фібропластична трансформація базальної мембрани капілярів клубочків (мембранозна трансформація;
2) мезангіо-проліферативний, в основі якого лежить проліферація мезангіоцитів
3) мезангіо-капілярний, що характеризується не лише проліферацією мезангіальних клітин, але і різким пошкодженням клубочкового фільтра;
4) фібропластичний гломерулонефрит, що завершується склеротичними змінами клубочків при більшості гістологічних типів гломерулонефриту.
У фіналі хронічного гломерулонефриту розвивається вторинне (нефритичне) зморщування нирок (нефросклероз), що проявляється хронічною нирковою недостатністю[20].
Ознаки та симптоми

Ознаки та симптоми гломерулонефриту залежать від форми (гострої чи хронічної) і причини, проте їх можна узагальнити. До них належать[21]:
- Рожева чи коричнева сеча, через наявність кров'яних тілець у сечі (гематурія)
Нирковий клубочок — функціональна структура, що забезпечує перший етап фільтрації крові та утворення сечі - Піниста сеча через наявність в ній білків (протеїнурія)
- Високий кров'яний тиск (гіпертензія)
- Затримка рідини (набряк) з виразною припухлістю обличчя, рук, ніг та живота
- Втома через недокрів'я або ниркову недостатність
Важливо звертати увагу на перебіг захворювання, адже в самому анамнезі часто міститься діагноз. Отже, симптоми гострого гломерулонефриту з'являються через один — три тижні після інфекційного захворювання, зазвичай викликаного стрептококами (ангіна, стрептодермія).
У дітей гострий гломерулонефрит зазвичай розвивається бурхливо і в більшості випадків закінчується самостійним одужанням, на противагу їм, у дорослих поширеніша стерта форма цього захворювання, при якій немає загальної симптоматики і саме через це доволі часто розвивається хронічний гломерулонефрит.
Починається гострий гломерулонефрит з підвищення температури, загальної слабкості, погіршення апетиту та, що найважливіше, болю в поперековій ділянці.
Важливе також спостереження за діурезом (виділенням сечі). Так, в перші 3-5 діб від початку захворювання кількість виділеної сечі зменшується, але у разі видужання пізніше вона відновлюється майже до нормального рівня, щоправда, може зменшуватись її густина[22].
При гломерулонефриті розвивається один з чотирьох основних нефрологічних синдромів[23]:
- Сечовий синдром — зміни в аналізах сечі у вигляді протеїнурії (її рівень не перевищує 3,5 г на добу); може супроводжуватись циліндрурією (наявність у сечі циліндрів — білкових зліпків ниркових канальців) та еритроцитурією
- Нефритичний синдром — поява протеїнурії, еритроцитурії, циліндрурії та екстраренальних проявів захворювання у вигляді набряків та/чи артеріальної гіпертензії, іноді з порушення азотовидільної функції нирок.
- Нефротичний синдром — симптомокомпекс з протеїнурією понад 3,5 г на добу, набряками, ліпідурією, гіперліпопротеїнемією, гіпер-α2-глобулінемією та гіпопротеїнемією з гіпоальбулінемією нижче 25 г/л
- Хронічна ниркова недостатність
Діагностика

Аналізи для оцінки ниркової функції і встановлення діагнозу гломерулонефриту включають:
- Аналіз сечі. При аналізі сечі звертають увагу на наявність формених елементів крові, що є специфічним індикатором можливого ушкодження ниркових клубочків. Також аналіз сечі може показати наявність лейкоцитів, важливого індикатора інфекції чи запалення, а також збільшеної кількості білка, що теж є індикатором уражених нирок.
- Аналіз крові. Може надати інформацію про функцію клубочків, базуючись на наявності таких метаболітів, як креатинін та сечовина.
- Візуалізаційні методи дослідження. Якщо лікар фіксує погіршення виконання функції нирок, він може порекомендувати хворому рентгенодіагностику, УЗ-діагностику або КТ-сканування.
- Біопсія нирок. Під час цієї процедури за допомогою спеціальної голки екстрактують маленьку частину тканини нирок для мікроскопічного аналізу, що може допомогти при встановленні діагнозу[24].
Лікування
Лікування гломерулонефриту та можливий прогноз залежать від:
- Форми захворювання (хронічної чи гострої)
- Основної причини хвороби
- Типу та важкості ознак та симптомів захворювання
Хворим на гломерулонефрит в умовах стаціонару призначається дієта № 7 та постільний режим. У перспективі рекомендується курортно-санаторне лікування та перебування під спостереженням у нефролога протягом двох років.
Загалом, метою лікування гломерулонефриту є захист нирок від можливих подальших уражень[22][25].
Лікування високого кров'яного тиску
Ключем до захисту нирок від ураження є утримання тиску крові на сталому рівні. Для того щоб нормалізувати високий кров'яний тиск та запобігти порушенню функції нирок, лікарі часто призначають пацієнтам один з таких препаратів[26]:
Лікування основної причини
Якщо гломерулонефрит має не вторинне походження, лікарі часто призначають медикаменти для лікування основної причини захворювання, у додаток до тих, що нормалізують гіпертензію:
- При стрептококовій чи інших бактеріальних інфекціях лікування зазвичай зосереджується на полегшенні симптомів захворювання. Часто лікарі призначають антибактеріальну терапію (ампіокс, пеніцилін, еритроміцин)[22].
- При вовчаку та васкуліті лікарі призначають лікування кортикостероїдами та імуносупресорами, для зняття запальних процесів.
- При IgA-залежній нефропатії для лікування використовують харчові добавки риб'ячого жиру та деякі імуносупресори. Дослідники надалі продовжують вивчати роль риб'ячого жиру при лікуванні IgA-залежної нефропатії.
- Для лікування синдрому Гудпасчера часто використовують плазмаферез. Ця процедура видаляє антитіла з крові хворого шляхом забору плазми крові пацієнта та заміни її іншою рідиною чи плазмою донора.
Лікування ниркової недостатності
Для лікування гострої форми гломерулонефриту та гострої ниркової недостатності широкого застосування набув гемодіаліз, який дозволяє видалити з крові надлишок калію, креатиніну, сечовини, рідини та інших метаболітів, тим самим зменшити рівень уремії, кров'яний тиск. Єдиними довгостроковими способами лікування гломерулонефриту на пізніх стадіях захворювання є гемодіаліз та трансплантація нирки. У випадках неможливості пересадження нирки, на фоні поганого загального стану хворого, діаліз залишається єдиними можливим варіантом[26].
Профілактика
Не можна однозначно говорити про профілактику гломерулонефриту як окремої хвороби, внаслідок того, що етіологія може бути різнобічною. Через це, можна виділити деякі критерії, якими слід користуватись, щоб уникнути причин, які призводять до захворювання:
- Контроль рівня цукру в крові, задля уникнення діабетичного гломерулонефриту
- Контроль високого кров'яного тиску, задля уникнення рубцювання
- Користуватись засобами безпечного сексу, для зменшення ризиків захворювання ВІЛ та гепатитом
- Вчасне лікування стрептодермії та стрептокок-спричинених захворювань горла[27]
Прогноз
Загалом, при своєчасному лікуванні гострого гломерулонефриту прогноз є позитивним, проте гострий гломерулонефрит може викликати такі ускладнення:
- Серцева недостатність
- Геморагічний інсульт
- Гіпертензивна енцефалопатія
- Ниркова недостатність
При наявності хронічного гломерулонефриту шанси розвитку вищевказаних ускладнень є значно вищими.
Варто зазначити, що причиною переходу гострого гломерулонефриту в хронічний доволі часто є гіпопластина дисплазія нирок. Результатом хронічного гломерулонефриту найчастіше буває вторинно зморщена нирка[22].
Див. також
Література
- Серов В.В., Ярыгин Н.Е., Пауков В.С. Патологическая анатомия. — Москва : Медицина, 1986. — 368 с.
- Передрій В.Г., Ткач С.М. Основи внутренней медицины. — Київ : Нова книга, 2009. — 976 с. — ISBN 978-966-382-226-6.
- Пиріг Л.А. Нефрологія. — Київ : Здоров'я, 1995. — ISBN 5-311-00875-х.
Посилання
Примітки
- Disease Ontology — 2016.
- Drug Indications Extracted from FAERS — doi:10.5281/ZENODO.1435999
- Bright disease. Encyclopedia Britannica. Процитовано 9 березня 2016.
- Fine, Leon G.; English, Jennifer A. (9 грудня 1993). Book Review. New England Journal of Medicine 329 (24). с. 1823–1823. ISSN 0028-4793. doi:10.1056/NEJM199312093292422. Процитовано 9 березня 2016.
- Передрій, 2009, с. 707.
- При тривалості понад 4 місяці
- При кількості еритроцитів понад 5х10^4 в 1 мл сечі в пробі по Нечипоренку
- Передрій, 2009, с. 711.
- Human FH protein (ab82790) | Abcam. www.abcam.com. Процитовано 9 березня 2016.
- Heterozygous and homozygous factor h deficiencies.
- The Kidneys and How They Work. kidney.niddk.nih.gov. Архів оригіналу за 16 квітня 2015. Процитовано 9 березня 2016.
- Glomerulonephritis Causes - Mayo Clinic. www.mayoclinic.org. Процитовано 9 березня 2016.
- Системні васкуліти. intranet.tdmu.edu.ua. Архів оригіналу за 7 вересня 2016. Процитовано 13 березня 2016.
- Cunningham, Madeleine W. (1 липня 2000). Pathogenesis of Group A Streptococcal Infections. Clinical Microbiology Reviews 13 (3). с. 470–511. ISSN 0893-8512. PMC 88944. PMID 10885988. Процитовано 12 березня 2016.
- Group A streptococcus: Virulence factors and pathogenic mechanisms. www.uptodate.com. Процитовано 12 березня 2016.
- Mechanisms of immune injury of the glomerulus. www.uptodate.com. Процитовано 12 березня 2016.
- Серов, 1986, с. 303.
- Серов, 1986, с. 304.
- Серов, 1986, с. 304—306.
- Серов, 1986, с. 306—312.
- Glomerulonephritis Symptoms - Mayo Clinic. www.mayoclinic.org. Процитовано 9 березня 2016.
- Гломерулонефрит - симптоми, лікування, діагностика, причини. mdovidka.com. Процитовано 9 березня 2016.
- Передрій, 2009, с. 712.
- Glomerulonephritis Tests and diagnosis - Mayo Clinic. www.mayoclinic.org. Процитовано 9 березня 2016.
- Гломерулонефрит. medportal.ru (ru-RU). Процитовано 13 березня 2016.
- Glomerulonephritis Treatments and drugs - Mayo Clinic. www.mayoclinic.org. Процитовано 10 березня 2016.
- Острый гломерулонефрит - лечение и профилактика. lechim-pochki.ru. Процитовано 10 березня 2016.
.jpg.webp)