Гібернома
Гіберно́ма — доброякісна пухлина, що утворюється з бурої жирової тканини.[1] Гібернома — рідкісна пухлина, вперше описана Gery в 1914 році.
| Гібернома | |
|---|---|
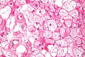
![]() Мікрофотознімок гіберноми (фарбування г-е). Мікрофотознімок гіберноми (фарбування г-е). | |
| Спеціальність | онкологія |
| Класифікація та зовнішні ресурси | |
| МКХ-11 | XH1054 |
| МКХ-10 | D17 (ILDS D17.950) |
| МКХ-О | 8880/0 |
| SNOMED CT | 77027006 |
| | |
Клінічна картина
Гібернома — характеризується повільним ростом, щільною консистенцією, безболісна та локалізується в підшкірних тканинах. В м'язах діагностується рідко.
Цитологічна картина
Тонкоголкова аспіраційна пункційна біопсія демонструє малі, круглі коричневі жироподібні клітини з однаковими невеликими цитоплахзматичними вакуолями та правильної форми круглим ядром.
Патологічна анатомія
Гібернома визначається у вигляді вузлового утворення. Вузол складають часточки, що утворюють круглі або полігональні клітини. Ці клітини мають жирові вакуолі, завдяки яким ці клітини характеризуються зернистою або пінистою цитоплазмою.
Виділяють 4 патогістологічні типи гіберноми:
- Часточковий тип. Характеризується різними рівнем диференціації клітин, що можуть бути круглими, овальними з гранулярними еозинофільними клітинами та добреокресленими мембранами, що перемішані з мультивакуольними жировими клітинами. При цьому типі клітин визначається центрально розташоване ядро без ознак плеоморфізму
- Міксоїдний варіант: вільний, базофільний матрикс з товстою фіброзною перегородкою та пінисті гістіоцити
- Ліпомоподібний варіант: одновакуольні ліпоцити з ізольованими гіберномоцитами
- Веретеноклітинний варіант: Веретеноклітинна ліпома, що комбінується з гіберномою
Імуногістохімія
При імуногістохімічному дослідженні, гібернома демонструє позитивну експресію протеїну S100 до 80% клітин, а також позитивну експресію цитозолю з CD31. Протеїн UCP1, що є мітохондріальним протеїном бурої жирової тканини також демонструє позитивну імуноекспресію.
Посилання
- Струков А.И.; Серов В.В. (2010). Патологическая анатомия (русский) (вид. 5). РФ: Литтерра. с. 880.
