Бура жирова тканина
Бу́ра жирова́ ткани́на або бурий жир (лат. textus adiposus fuscus) — спеціалізований тип жирової тканини, у якій окиснення жирів відбувається для отримання тепла, а не для синтезу АТФ. Має буре забарвлення внаслідок наявності великої кількості мітохондрій, що містять цитохроми із гемовими групами, які інтенсивно поглинають видиме світло. Найбільше цього типу жирової тканини у тілах дитинчат більшості ссавців, в тому числі і людини, а також у звірів, що впадають у зимову сплячку[1], тобто в тих організмів, що не можуть отримувати тепло тремтінням[2].

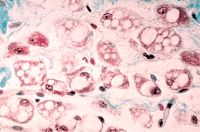
Будова

Адипоцити бурої жирової тканини менші за розміром (20—40 мкм у діаметрі), ніж у білій, а також відрізняються полігональною, а не круглою формою. Тригліцериди у клітинах бурого жиру запасаються у формі кількох невеликих крапель[3], ядро займає центральне положення[4]. Також ця тканина має суттєво більшу кількість мітохондрій, ніж білий жир, і краще кровопостачання. Комбінація великої кількості зеленуватих цитохромів, що містяться у мітохондріях, та червоного гемоглобіну крові і надають бурій жировій тканині її забарвлення[3][5].
Функціонування
Основною функцією бурої жирової тканини є термогенез, тобто вироблення тепла. Із цією функцією пов'язана особливість її мітохондрій, а саме наявність у внутрішній мембрані термогеніну або роз'єднуючого білка (продукт гену UCP 1), що дозволяє протонам повертатись із міжмембранного простору в матрикс, оминаючи АТФ-синтазу[1].
Термогенез відбувається таким чином: жирні кислоти, що зберігаються у ліпідних краплях, вивільняються у цитоплазмі і транспортуються до мітохондрій, де проходить їх повне розщеплення до вуглекислого газу у процесах β-окиснення та цилку трикарбонових кислот. Відновлені НАДH та ФАДH2 передають свої електрони в електронтранспортний ланцюг внутрішньої мембрани, проходження по якому супроводжується викачуванням протонів у міжмембранний простір. Після цього протони повертаються у матрикс через білок термогенін[3]. Таким чином виникає коротке замикання й енергія, виділена у процесі окиснення жирів, перетворюється в тепло і не запасається у формі хімічних зв'язків АТФ[1][6].
Описаний біохімічний шлях активується в тих випадках, коли загальна температура тіла починає знижуватись. У відповідь на охолодження в організмі виділяються гормони, що стимулюють вивільнення жирних кислот із тригліцеридів, які у свою чергу активують термогенін[5].
Розвиток у людини
У людини диференціація фібробластів «преадипоцитів» у буру жирову тканину розпочинається на 20-му тижні розвитку. У час народження вона становить приблизно 1 % від загальної маси тіла[3] (близько 30 г[4]). Бурий жир розташований навколо кровоносних судин, що постачають кров'ю головний мозок та органи черевної порожнини, а також оточує підшлункову та надниркові залози і нирки[3]. Найбільші його скупчення спостерігаються між лопатками, у антеріолатеральній ділянці шиї та передній стінці черевної порожнини[2]. Завдяки бурому жиру життєво важливі органи немовляти не охолоджуються у середовищі з низькою температурою[3].
Після народження у немовлят починає розвиватись біла жирова тканина, а бура зникає. У дорослому стані в людей зовсім немає окремих місць скупчення бурого жиру, проте серед всіх адипоцитів зберігається приблизно 1 % бурих, що хаотично розкидані серед білих. Також в дорослому організмі залишаються преадипоцити, що за відповідної стимуляції можуть перетворюватись у бурий жир, зокрема під час адаптації до хронічного переохолодження. Також преадипоцити можуть диференціюватись у буру жирову тканину, розміщену приблизно так, як у новонароджених, під впливом високих концентрацій адреналіну та норадреналіну, які спостерігаються у хворих на феохромоцитому (пухлину надниркових залоз)[3].
Див. також
Примітки
- Neson et al, 2008, с. 736.
- Mareib, 2002
- Nelson et a, 2008, с. 917.
- Луцик et al, 2003, с. 185.
- Berg et al, 2007, с. 533.
- Alberts et al, 2007, с. 838.
Джерела
- Alberts B, Johnson A, Lewis J, Raff M, Roberts K, Walter P (2007). Molecular Biology of the Cell (вид. 5th). Garland Science. ISBN 978-0-8153-4105-5.
- Berg JM, Tymoczko JL, Stryer L (2007). Biochemistry (вид. 6th). W.H. Freeman and Company. ISBN 0-7167-8724-5.
- Marieb EN, Hoehn K (2006). Human Anatomy & Physiology (вид. 7th). Benjamin Cummings. ISBN 978-0805359091.
- Nelson D.L., Cox M.M. (2008). Lehninger Principles of Biochemistry (вид. 5th). W. H. Freeman. ISBN 978-0-7167-7108-1.
- Луцик О. Д., Іванова А. Й., Кабак К. С., Чайковський Ю. Б. (2003). Гістологія людини. Київ: Книга плюс. ISBN 966-7619-39-7.