Феохромоцитома
Феохромоцитома — пухлина клітин мозкової речовини наднирників, що призводить до надлишкової секреції катехоламінів — адреналіну та норадреналіну.[2]
| Феохромоцитома | |
|---|---|
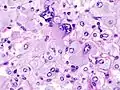
![]() Мікрофотознімок феохромоцитоми (фарбування г-е). Мікрофотознімок феохромоцитоми (фарбування г-е). | |
| Спеціальність | онкологія |
| Препарати | metirosined[1] і Пропранолол[1] |
| Класифікація та зовнішні ресурси | |
| МКХ-11 | XH3854 |
| МКХ-10 | C74.1 |
| МКХ-О | M8700/0 |
| OMIM | 171300 |
| DiseasesDB | 9912 |
| MedlinePlus | 000340 |
| eMedicine | ped/1788 |
| MeSH | D010673 |
| SNOMED CT | 360332001 |
| | |
Етіологія
Причини захворювання невідомі. Феохромоцитома зустрічається спорадично, але в 10 % спостережень не виключається генетична природа захворювання, що асоціюється з такими спадковими синдромами як МЕН2А або МЕН2Б. Спадковість визначається геном домінантного типу з високою мірою пенетранності.
Патологічна анатомія
Феохромоцитома — нейроендокринна пухлина, що формується з клітин дифузної нейроендокринної системи (APUD-системи), основною відмінною рисою яких є здатність до захоплення і декарбоксилювання амінів, що дозволяє пояснити складні клініко-морфологічні феномени цього захворювання. Пухлина розвивається із специфічних хромафінних клітин симпатоадреналової системи, ембріогенетично споріднених до клітин симпатичної нервової системи і дає позитивну хромафінну реакцію, тобто має здатність забарвлюватися солями хрому в жовто-коричневий колір.
Клінічні прояви
Хвороба проявляється характерними нападами з головним болем, нудотою, тахікардією, підвищеним АТ, болем у підвилочковій ділянці, з блювотою. Можуть бути посмикування м'язів всього тіла, іноді судоми. Поза нападом хворі скаржаться на загальну слабкість, втомлюваність, підвищену збудливість, у окремих випадках є постійна артеріальна гіпертонія, а також шлунково-кишкові розлади. Під час кризи відмічають підвищення рівня цукру у крові та лейкоцитоз. У сечі, особливо після нападу, підвищується вміст адреналіну, норадреналіну, ванілінмигдальної кислоти. Пухлина рідко досягає великих розмірів та лише іноді її вдається пальпувати, тому для її підтвердження проводять спеціальне рентгенологічне дослідження з застосуванням ретропневмоперитонеуму. Наявність пухлини може бути підтверджено за допомогою КТ.
Лікування
Лікування пухлини хірургічне — адреналектомія.[3] При наявності артеріальної гіпертонії показане застосування гіпотензивних препаратів (метилдофа гемітон, анаприлін).
Мікро- та макропрепарати
Мікрофотознімок феохромоцитоми.
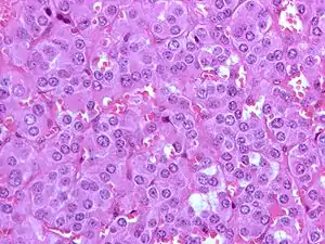
Мікрофотознімок феохромоцитоми.
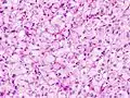
Мікрофотознімок феохромоцитоми.
Білатеральна феохромоцитома при множинній ендокринній неоплазії тип 2 (МЕН2).
Феохромоцитома. Комп'ютерна томографія.
Феохромоцитома. Комп'ютерна томографія.
Див. також
Посилання
- NDF-RT
- Sweeney, Ann T; Griffing, George T (2 серпня 2011). Pheochromocytoma. eMedicine. Архів оригіналу за 2 липня 2013. Процитовано 10 травня 2012.
- Jaroszewski, D. E.; Tessier, D. J.; Schlinkert, R. T.; Grant, C. S.; Thompson, G. B.; Van Heerden, J. A.; Farley, D. R.; Smith, S. L. та ін. (2003). Laparoscopic Adrenalectomy for Pheochromocytoma. Mayo Clinic Proceedings 78 (12): 1501–4. PMID 14661679. doi:10.4065/78.12.1501.
