Гіпокамп
Гіпокамп (від грец. ἱππόκαμπος — міфологічний кінь гіпокамп або морський коник) — частина лімбічної системи головного мозку (нюхального мозку). Бере участь в механізмах формування емоцій та консолідації пам'яті, тобто переходу короткочасної пам'яті в довготривалу[1] [2].
| Гіпокамп | |
|---|---|
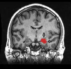
![]() Магнітно-резонансна томографія. На зінмку зображені структури головного мозку включаючи гіпокапм (виділений червоним кольором). | |
| Ідентифікатори | |
| MeSH | D006624 |
| NeuroNames | 3157 |
| NeuroLex ID | birnlex_721 |
| TA98 | A14.1.09.321 |
| TA2 | 5518 |
| FMA | 275020 |
| Анатомічна термінологія | |
Зменшення об'єму гіпокампу — одна з ранніх діагностичних ознак хвороби Альцгеймера. Гіпокамп впливає також на процес сну.
Роль у просторовій пам'яті й при орієнтації
Наявні факти свідчать, що гіпокамп використовується для зберігання та обробки просторової інформації. Дослідження на щурах показали, що нейрони гіпокампу мають області, чутливі до положення в просторі. Ці нейрони називаються просторовими клітинами (place cells). Деякі з цих клітин збуджуються, коли тварина виявляє себе в певному місці, незалежно від напрямку руху, більшість же — щонайменше частково чутливі до напрямку руху і положенню голови.
У щурів деякі клітини, звані контекстно-залежні клітини, можуть збуджуватися залежно від минулого тварини (ретроспективи) або очікуваного майбутнього (перспективи). Різні клітини збуджуються від різного розташування тварини, так що спостерігаючи за потенціалом окремих клітин, можна сказати, де тварина знаходиться (або думає, що знаходиться там). Як виявилося, ті ж просторові клітини у людини задіяні в пошуку шляху під час навігації по віртуальних місцях. Такі результати були отримані за допомогою дослідження людей з імплантованими в мозок електродами, використаними в діагностичних цілях для хірургічного лікування серйозних нападів епілепсії.
Відкриття просторових клітин призвело до виникнення ідеї, що гіпокамп може грати роль карти — нейронного подання навколишнього оточення і місця розташування в ній тварини. Дослідження показали, що гіпокамп необхідний для вирішення навіть найпростіших завдань, що вимагають просторової пам'яті (наприклад, пошук шляху до захованої мети). Без повністю функціонуючого гіпокампу, люди можуть не згадати, де вони були і як дістатися до місця призначення; втрата орієнтації в місцевості — це один з найпоширеніших симптомів амнезії. Томографія мозку показує, що гіпокамп найбільш активний у людей під час успішного переміщення в просторі, як у прикладі з віртуальною реальністю.
Також є докази, що гіпокамп грає роль у пошуку найкоротших шляхів між вже добре відомими місцями. Наприклад, таксистам із Лондона необхідно знати велику кількість місць і найбільш короткі шляхи між ними. Дослідження одного з університетів Лондона в 2003 році показало, що гіпокамп у таксистів більше, ніж у більшості людей, і що найбільш досвідчені таксисти мають більший гіпокамп. Чи допомагає спочатку більший гіпокамп стати таксистом, або постійний пошук найкоротшого шляху призводить до його зростання — ще не з'ясоване. Як би то не було, під час дослідження кореляції між розміром сірої речовини і часом роботи таксистом виявилося, що чим більше людина працює таксистом, тим більший у неї обсяг правої частини гіпокампу. Було встановлено, що загальний обсяг гіпокампа залишається незмінним і у контрольної групи, і таксистів. Коротко кажучи, задня частина гіпокампу таксистів дійсно збільшилася, але за рахунок передньої частини. Ці дослідження наводять на думку, що гіпокамп з часом збільшується в розмірах у міру зростання його використання[3].
