Магнітно-резонансна томографія
Магні́тно-резона́нсна томогра́фія, МРТ (англ. magnetic resonance tomography, MRT або англ. magnetic resonance imaging, MRI) — томографічний метод дослідження внутрішніх органів і тканин з використанням фізичного явища ядерного магнітного резонансу (ЯМР).[3] Метод ґрунтується на вимірюванні електромагнітного відгуку атомних ядер, найчастіше ядер атомів водню[4], а саме на їхньому збудженні за допомогою певної комбінації електромагнітних хвиль у сталому магнітному полі високої напруженості.

| Магнітно-резонансна томографія | |
![]() | |
| Коротка назва | IRM[1] і МРТ |
|---|---|
| Ґрунтується на | ядерний магнітний резонанс[2] |
| | |
Цей метод дає змогу одержати висококонтрастне зображення тканин тіла, і тому його широко застосовують у медицині, у візуалізації тканин мозку, серця, м'язів, а також новоутворень, порівняно з іншими методами медичної візуалізації (такими, наприклад, як комп'ютерна томографія чи рентгенографія).
Вступ
МРТ — це неінвазивний метод медичного обстеження, який широко застосовують у медичній діагностиці та контролі адекватності лікування хворого. На відміну від комп'ютерної томографії та рентгенівського дослідження, під час використання цього методу організм не зазнає впливу іонізуючого випромінювання. Натомість зображення формується під впливом потужного магнітного поля та електромагнітних хвиль із застосуванням комп′ютерної обробки для одержання чіткої деталізації м′яких тканин, кісток та інших внутрішніх структур організму. Для підвищення чіткості зображення часто застосовують контрастні речовини. За допомогою МРТ можна діагностувати патологічні зміни, які неможливо побачити при використанні інших методів медичної візуалізації.
Побічні ефекти МРТ невідомі, однак існує низка протипоказань.
Методики МРТ постійно вдосконалюють. Для візуалізації різних структур організму випробовують нові послідовності електромагнітних імпульсів і застосовують нові методи обробки даних, що дозволяє досягнути високого рівня деталізації, наприклад, одержувати зображення ділянок мозку менш ніж 1 мм завтовшки.
До удосконалення процедури МРТ долучаються вчені та компанії з різних галузей. Зокрема, компанія Facebook анонсувала, що працює над тим, щоб навчити штучний інтелект швидше читати результати магнітно-резонансної томографії. Планується, що час проходження процедури скоротиться з 30 хв до 3 хв, що, в свою чергу, знизить ціну процедури. Для реалізації проекту дослідницький центр корпорації отримав 3 млн знімків МРТ, 10 тис. з котрих — клінічні. Надані знімки є конфіденційними і не містять відомостей, які охороняються законодавством. Разом з Facebook над розробкою працює лабораторія FAIR AI і відділ радіології NYU School of Medicine.[5]
Історія відкриття
Роком винайдення МРТ вважають 1973 рік, коли професор хімії Пол Лотербур опублікував у журналі Nature статтю «Формування зображень за допомогою індукованої локальної взаємодії: приклади застосування ядерного магнітного резонансу»[6][7]. Наприкінці 70-х професор фізики Ноттінгемського університету Пітер Менсфілд розробив математичний метод, завдяки якому сканування займало декілька секунд, а не годин, і який дозволив отримувати більш чітке зображення.
Термін «ЯМР-томографія» було замінено на «МР-томографія» 1986 року з причин розвитку у людей нуклеофобії після Чорнобильської аварії. У новому терміні відсутнє нагадування про «ядерність» походження методу, що і дало змогу впровадити його в повсякденну медичну практику[8].
Метод

Метод ядерного магнітного резонансу базується на дослідженні насиченості тканин організму воднем та їхніх магнітних властивостей, пов'язаних із перебуванням в оточенні різних атомів і молекул. Ядро водню складається з одного протону, який має магнітний момент (спін) і змінює свою просторову орієнтацію у потужному магнітному полі. Також зміна просторової орієнтації відбувається через вплив додаткових (градієнтних) полів на протон та впливу зовнішніх радіочастотних імпульсів, які подаються на специфічній резонансній частоті для даного протону у даному магнітному полі. На основі параметрів протону (спінів), котрі можуть перебувати тільки у двох протилежних фазах, а також їхньої прив'язаності до магнітного моменту протону, можна встановити, в яких саме тканинах знаходиться той чи інший атом водню.
Якщо помістити протон у зовнішнє магнітне поле, то його магнітний момент буде або співнапрямлений, або протилежно напрямлений із магнітним полем, причому у другому випадку його енергія буде вищою. Впливаючи на досліджену ділянку електромагнітним випромінюванням певної частоти частина протонів змінять свій магнітний момент на протилежний, а потім повернуться у вихідний стан. При цьому система збору даних томографа зареєструє виділення енергії під час релаксації попередньо збуджених протонів.
Перші томографи мали індукцію магнітного поля 0,005 Тл, однак якість отриманих зображень була низькою. Сучасні томографи мають потужні джерела сильного магнітного поля. Ці джерела являють собою як електромагніти (зазвичай до 1—3 Тл, в деяких випадках до 9,4 Тл), так і постійні магніти (до 0,7 Тл). Оскільки поле повинно бути достатньо потужним, застосовують надпровідні магніти, що працюють у рідкому гелії, а з постійних магнітів придатні лише дуже потужні, неодимові. Магнітно-резонансний відгук тканин у МР-томографах на постійних магнітах більш слабкий, ніж в електромагнітних, тому вони мають обмежену сферу застосування. Однак постійні магніти можуть мати так звану «відкриту» конфігурацію, що дозволяє проводити дослідження у русі, у положенні стоячи, а також здійснювати доступ лікарів до пацієнта під час дослідження і проведення діагностичних чи лікувальних заходів під контролем МРТ (так звана інтервенційна МРТ).
Для визначення розташування сигналу у просторі, окрім магніту в МР-томографі, застосовують градієнтні котушки, які до загального однорідного магнітного поля додають градієнтне магнітне збурення. Це забезпечує локалізацію сигналу ядерного магнітного резонансу і точне співвідношення досліджуваної ділянки та отримання даних. Дія градієнту, який дозволяє вибрати зріз, забезпечує селективне збурення протонів саме в потрібній ділянці. Потужність і швидкість дії градієнтних підсилювачів належить до найважливіших показників магнітно-резонансного томографа. Від них значною мірою залежить швидкодія, роздільна здатність і співвідношення сигнал/шум.
Застосування
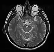
МРТ головного мозку
.gif)

МРТ головного мозку застосовують у нейрохірургії і неврології, що дозволяє з високою точністю виявити патологію тканин головного мозку. Порівняно із КТ, цей метод забезпечує вищу чутливість під час діагностики невеликих пухлин та кращу візуалізацію задньої черепної ямки. Отримане зображення дає змогу виразно розрізнити сіру і білу речовину, що дозволяє діагностувати цілий ряд патологічних процесів у центральній нервовій системі, включаючи демієлінізуючі захворювання, деменцію, цереброваскулярні захворювання, нейроінфекції та епілепсію[9]. Оскільки під час дослідження отримують численні зображення із проміжком у кілька мілісекунд, це дозволяє побачити реакцію мозку на різні стимули, дослідити як функціональні, так і структурні аномалії мозку, та діагностувати більшість психічних розладів. Метод використовують також у стереотаксичній хірургії під контролем МРТ — в радіохірургії для лікування пухлин головного мозку, артеріовенозних мальформацій та інших захворювань, що потребують хірургічного лікування.
МРТ серцево-судинної системи
МРТ серцево-судинної системи доповнює інші методи візуалізації, такі як ехокардіографія, КТ серця і ядерна медицина. До сфери її застосувань входять обстеження при ішемічній хворобі серця, кардіоміопатії, міокардиті, гемохроматозі, вроджених вадах серця тощо.
МРТ опорно-рухового апарату
Діагностика захворювань опорно-рухового апарату включає МРТ хребта, діагностику захворювань суглобів і пухлин м′яких тканин.
Технології
Дифузійна МРТ
Дифузійна МРТ — метод, що дозволяє визначати дифузію молекул води в біологічних тканинах. Дифузійну МРТ застосовують для діагностики інсультів та інших неврологічних порушень (наприклад, розсіяного склерозу).
МР-перфузія
Метод, що дозволяє оцінити проходження крові через судини різних тканин організму, зокрема тканин мозку і печінки. Метод дозволяє визначити ступінь ішемії головного мозку та інших органів, зокрема, порушення кровотоку через утворення циротичних вузлів при цирозі печінки.
МР-спектроскопія
Магнітно-резонансна спектроскопія (МРС) — метод, що дозволяє виявити біохімічні зміни тканин при різних захворюваннях. МР-спектри відображають процеси метаболізму. Порушення метаболізму, як правило, виникають до появи клінічних проявів захворювання, тому на основі даних МРС можна діагностувати захворювання на ранніх етапах розвитку.
Види МРС:
- МРС внутрішніх органів;
- МРС біологічних рідин.
МР-ангіографія

Магнітно-резонансна ангіографія (МРА) — метод отримання зображення кровоносних судин за допомогою магнітно-резонансного томографа. Дослідження проводиться на томографах з величиною індукції магнітного поля не менш ніж 0,3 Тл. Метод дозволяє оцінювати як анатомічні, так і функціональні особливості кровотоку. МРА ґрунтується на відмінності сигналу рухомої тканини (крові) від сигналу навколишніх нерухомих тканин, що дозволяє отримувати зображення судин без застосування будь-яких рентгеноконтрастних засобів. Для отримання більш чіткого зображення застосовують особливі контрастні речовини на основі парамагнетиків (гадоліній).
Функціональна МРТ
Функціональна МРТ (фМРТ) — метод картування кори головного мозку, що дозволяє визначити для кожного пацієнта індивідуальне розташування та особливості функціювання ділянок мозку, які відповідають за рух, мову, зір, пам'ять та інші функції. Суть методу полягає в тому, що при роботі певних ділянок мозку в них посилюється кровотік. У процесі проведення фМРТ пацієнту пропонують виконати певні завдання, потім реєструють ділянки з посиленим кровотоком та накладають їхнє зображення на звичайну МРТ мозку.
Протипоказання
Існують як відносні протипоказання, при яких проведення дослідження можливе за певних умов, так і абсолютні, при яких проводити дослідження недопустимо.
Абсолютні протипоказання:
- встановлений кардіостимулятор (зміни магнітного поля можуть імітувати серцевий ритм);
- феромагнітні чи електронні імплантати середнього вуха;
- великі металічні імплантати, феромагнітні уламки;
- феромагнітні апарати Ілізарова.
Відносні протипоказання:
- інсулінові помпи;
- нервові стимулятори;
- неферомагнітні імплантати внутрішнього вуха;
- протези клапанів серця (у високих полях, при підозрі на дисфункцію);
- кровоспинні кліпси (крім судин мозку);
- декомпенсована серцева недостатність;
- перший триместр вагітності;
- клаустрофобія;
- неадекватність пацієнта;
- тяжкий/вкрай тяжкий стан пацієнта за основним/супутнім захворюванням;
- наявність татуювань, що виконані металовмісними барвниками (можуть виникати опіки).
Титан, який широко застосовують у протезуванні, не є феромагнетиком і практично безпечний при МРТ. Виняток — наявність татуювань, що виконані титановмісними барвниками (наприклад, на основі діоксиду титану).
Примітки
- https://dicosigles.fr/
- https://en.wikipedia.org/wiki/Nuclear_magnetic_resonance
- Sheil, W. C. Magnetic Resonance Imaging (MRI Scan). MedicineNet.com. Архів оригіналу за 9 липня 2013. Процитовано 27 квітня 2012.
- ISBN 978-0-521-86527-2 глава 8 Getting in tune: resonance and relaxation
- МРТ за 3 хвилини — Facebook навчить штучний інтелект читати результати томографії. Tokar.ua (uk-UA). 10 вересня 2018. Процитовано 21 вересня 2018.
- Lauterbur PC (1973). Image Formation by Induced Local Interactions: Examples of Employing Nuclear Magnetic Resonance. Nature 242 (5394): 190–1. Bibcode:1973Natur.242..190L. doi:10.1038/242190a0.
- Rinck PA (2014). The history of MRI; in: Magnetic Resonance in Medicine, 8th edition; http://magnetic-resonance.org/ch/20-04.html.
- Момоток, Юшина, Рожнова, Л. О., Л. В., О. В. (2008). Основи медичної практики (українська). Київ: Медицина. с. 173. ISBN 978-966-8144-74-5.
- American Society of Neuroradiology (2013). ACR-ASNR Practice Guideline for the Performance and Interpretation of Magnetic Resonance Imaging (MRI) of the Brain. Текст «url http://www.acr.org/~/media/ACR/Documents/PGTS/guidelines/MRI_Brain.pdf » проігноровано (довідка);
Джерела
- Федьків С. В. Магнітно-резонансна томографія в кардіології: інформаційно-методичний посібник / С. В. Федьків ; під ред. : В. М. Коваленка, В. М. Корнацького. — К., 2013. — 60 с. : табл., іл.
- Злепко С. М., Коваль Л. Г., Гаврілова Н. М., Тимчик І. С. Медична апаратура спеціального призначення. Навчальний посібник. Вінниця, ВНТУ, 2010. 158 с.
- Haacke, E Mark; Brown, Robert F; Thompson, Michael; Venkatesan, Ramesh (1999). Magnetic resonance imaging: Physical principles and sequence design. New York: J. Wiley & Sons. ISBN 0-471-35128-8.
- Lee SC; Kim K; Kim J; Lee S; Han Yi J; Kim SW; Ha KS; Cheong C (June 2001). One micrometer resolution NMR microscopy. J. Magn. Reson. 150 (2): 207–13. Bibcode:2001JMagR.150..207L. PMID 11384182. doi:10.1006/jmre.2001.2319.
- P Mansfield (1982). NMR Imaging in Biomedicine: Supplement 2 Advances in Magnetic Resonance. Elsevier. ISBN 9780323154062.
- Eiichi Fukushima (1989). NMR in Biomedicine: The Physical Basis. Springer Science & Business Media. ISBN 9780883186091.
- Bernhard Blümich; Winfried Kuhn (1992). Magnetic Resonance Microscopy: Methods and Applications in Materials Science, Agriculture and Biomedicine. Wiley. ISBN 9783527284030.
- Peter Blümer (1998). У Peter Blümler, Bernhard Blümich, Robert E. Botto, Eiichi Fukushima. Spatially Resolved Magnetic Resonance: Methods, Materials, Medicine, Biology, Rheology, Geology, Ecology, Hardware. Wiley-VCH. ISBN 9783527296378.
- Zhi-Pei Liang; Paul C. Lauterbur (1999). Principles of Magnetic Resonance Imaging: A Signal Processing Perspective. Wiley. ISBN 9780780347236.
- Franz Schmitt; Michael K. Stehling; Robert Turner (1998). Echo-Planar Imaging: Theory, Technique and Application. Springer Berlin Heidelberg. ISBN 9783540631941.
- Vadim Kuperman (2000). Magnetic Resonance Imaging: Physical Principles and Applications. Academic Press. ISBN 9780080535708.
- Bernhard Blümich (2000). NMR Imaging of Materials. Clarendon Press. ISBN 9780198506836.
- Jianming Jin (1998). Electromagnetic Analysis and Design in Magnetic Resonance Imaging. CRC Press. ISBN 9780849396939.
- Imad Akil Farhat; P. S. Belton; Graham Alan Webb; Royal Society of Chemistry (Great Britain) (2007). Magnetic Resonance in Food Science: From Molecules to Man. Royal Society of Chemistry. ISBN 9780854043408.
