Інсульт
Інсу́льт (від лат. insulto «скачу, стрибаю»; також удар) — гостре порушення мозкового кровообігу (ГПМК), що спричинює ушкодження тканин мозку і розлади його функцій. До інсультів відносять інфаркт мозку (ішемічний інсульт), крововилив у мозок (геморагічний інсульт) і субарахноїдальний крововилив (САК)[2], що мають етіопатогенетичні та клінічні відмінності. Інсульт — друга за частотою причина смерті людей в усьому світі і основна причина довготривалої непрацездатності[3].
| Інсульт | |
|---|---|
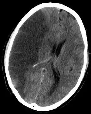
![]() КТ-сканування головного мозку демонструє ішемічний інсульт у правій півкулі (на зображенні ліворуч). КТ-сканування головного мозку демонструє ішемічний інсульт у правій півкулі (на зображенні ліворуч). | |
| Спеціальність | неврологія і нейрохірургія |
| Препарати | пентоксифілін[1] |
| Частота | 0.24% (Франція), 0.6% (Новосибірськ) |
| Класифікація та зовнішні ресурси | |
| МКХ-11 | 8B20 |
| МКХ-10 | I61-I64 |
| OMIM | 601367 |
| DiseasesDB | 2247 |
| MedlinePlus | 000726 |
| eMedicine | pmr/187 |
| MeSH | D020521 |
| | |
Історія дослідження
Першою згадкою про інсульт служать описи, зроблені Гіппократом в 460-х роках до н. е., в яких йдеться про випадок втрати свідомості в результаті захворювання головного мозку.
Надалі Клавдій Гален описав перебіг, який починаються з раптової непритомності і надалі глибшої втрати свідомості, і позначив їх терміном ἀποπληξία, тобто параліч. З того часу термін «апоплексія» досить міцно і надовго входить в медицину, позначаючи при цьому інсульт.
Вільям Гарвей вивчив 1628 року, як рухається кров в організмі, і визначив функцію серця як насоса, описавши процес циркуляції крові. Ці знання заклали основу вивчення причин виникнення інсульту і ролі кровоносних судин у цьому процесі.
Значний внесок у розуміння патогенезу інсульту зробив Рудольф Вірхов. Він запропонував терміни «тромбоз» і «емболія». Дані терміни досі є ключовими в діагностиці, лікуванні та профілактиці інсульту. Пізніше він також встановив, що тромбоз артерій викликається не запаленням, а жировим переродженням судинної стінки, і пов'язав його з атеросклерозом[4].
Причини виникнення
Найчастіше інсульт виникає при артеріальній гіпертензії, атеросклерозі, аневризмах судин мозку, васкулітах, захворюваннях серця тощо. Спричинюють інсульти порушення кровообігу, коагуляційних властивостей крові, зміни реактивності судин, спазмом, дистонія судин, коливання артеріального тиску, психотравмою, фізичне навантаження тощо.
Фактори ризику
Фактори ризику — різні клінічні, біохімічні, поведінкові й інші характеристики, що вказують на підвищену імовірність розвитку певного захворювання. Всі напрямки профілактичної роботи орієнтовані на контроль факторів ризику, їх корекцію як у конкретних людей, так і в популяції в цілому. До факторів ризику інсульту слід віднести такі:
- похилий вік;
- артеріальна гіпертонія;
- захворювання серця;
- транзиторні ішемічні атаки, істотні предиктори розвитку як інфаркту мозку, так і інфаркту міокарда;
- цукровий діабет;
- куріння;
- асимптомний стеноз сонних артерій[5].
Багато людей в популяції мають одночасно декілька факторів ризику, кожен з яких може виражатися помірно. Існують такі шкали, які дозволяють оцінити індивідуальний ризик розвитку інсульту (у відсотках) на найближчі 10 років і порівняти його з середньопопуляційним ризиком на той самий період, найвідоміша з них Фрамінгемська шкала.
Види інсультів та їх перебіг
За характером перебігу інсульти поділяють на геморагічні та ішемічні. Водночас існує три основні види інсульту: ішемічний інсульт, внутрішньомозковий крововилив (геморагічний інсульт) і субарахноїдальний крововилив[2]. Внутрішньомозковий крововилив і (не в усіх класифікаціях) нетравматичний підоболоновий крововилив відносять до геморагічного інсульту. За даними міжнародних багатоцентрових досліджень, співвідношення ішемічного та геморагічного інсультів складає в середньому 4:1-5:1 (80-85 % і 15-20 % відповідно)[6].
Ішемічний інсульт

Ішемічний інсульт, або інфаркт мозку, розвивається при закупорці магістральних судин шиї або головного мозку тромбом, емболом (емболія) чи при недостатньому припливі крові через звужену атеросклеротичним процесом чи спазмом кровоносну судину. Ішемічні інсульти трапляються при значних крововтратах, падінні або підвищенні кров'яного тиску, послабленні серцевої діяльності. Якщо надходження поживних речовин і кисню до мозку зменшується чи припиняється, це призводить до розм'якшення тканин мозку (мозковий інфаркт). Для ішемічного інсульту характерні порушення рухів (в тому числі частковий параліч), мовлення, чутливості на фоні не втраченої свідомості.
Ішемічний інсульт найчастіше виникає у хворих старше 60 років, що мають в анамнезі інфаркт міокарда, ревматичні набуті вади серця, порушення серцевого ритму і провідності, цукровий діабет. Велику роль у розвитку ішемічного інсульту відіграють порушення реологічних властивостей крові, патологія магістральних артерій. Характерний розвиток захворювання у нічний час без непритомності[7].
Етіологія і патогенез
Ішемічний інсульт найчастіше розвивається при звуженні або закупорці артерій, що живлять клітини головного мозку. Не отримуючи необхідного їм кисню і поживних речовин, клітини мозку гинуть. Ішемічний інсульт поділяють на атеротромботичний, кардіоемболічний, гемодинамічний, лакунарний і інсульт за типом гемореологічної мікроокклюзії[8].
- Атеротромботичний інсульт, як правило, виникає на тлі атеросклерозу церебральних артерій великого калібру або середнього. Атеросклеротична бляшка звужує просвіт судини і сприяє тромбоутворенню. Можлива артеріо-артеріальна емболія. Цей тип інсульту розвивається ступенеподібно з наростанням симптоматики впродовж декількох годин або діб, часто дебютує у сні. Нерідко атеротромботичному інсульту передують транзиторні ішемічні атаки. Розміри осередку ішемічного пошкодження варіюють[8].
- Кардіоемболічний інсульт виникає при повній або частковій закупорці емболом артерії мозку. Найчастіше причиною інсульту стає кардіогенна емболія при клапанних вадах серця, поворотному ревматичному і бактеріальному ендокардиті, при інших ураженнях серця, які супроводжуються утворенням в його порожнинах пристінкових тромбів. Часто емболічний інсульт розвивається внаслідок пароксизму миготливої аритмії. Початок кардіоемболічного інсульту, як правило, раптовий, в стані неспання пацієнта. У дебюті захворювання найбільш виражений неврологічний дефіцит. Найчастіше інсульт локалізується у зоні кровопостачання середньої мозкової артерії, розмір осередків ішемічного пошкодження середній або великий, характерний геморагічний компонент. В анамнезі можливі тромбоемболії інших органів[8].
- Гемодинамічний інсульт обумовлений гемодинамічними факторами — зниженням артеріального тиску (фізіологічним, наприклад під час сну, ортостатичної, ятрогенною артеріальною гіпотензією, гіповолемією) або падінням хвилинного об'єму серця (внаслідок ішемії міокарда, вираженої брадикардії тощо). Початок гемодинамічного інсульту може бути раптовим або ступенеподібним, у спокої або активному стані пацієнта. Розміри інфарктів різні, локалізація зазвичай в зоні суміжного кровопостачання (кіркова, перивентрикулярна та ін.) Гемодинамічні інсульти виникають на тлі патології екстра- та/або інтракраніальних артерій (атеросклероз, септальний стеноз артерій, аномалії судинної системи мозку)[8].
- Лакунарний інсульт обумовлений ураженням невеликих перфоруючих артерій. Як правило, виникає на тлі підвищеного артеріального тиску, поступово, впродовж декількох годин. Лакунарні інсульти локалізуються в підкіркових структурах (підкіркові ядра, внутрішня капсула, біла речовина семіовального центру, основі моста), розміри осередків не перевищують 1,5 см. Загальномозкові і менінгеальні симптоми відсутні, відзначається характерна осередкова симптоматика (чисто руховий або суто чутливий лакунарний синдром, атактичний геміпарез, дизартрія або монопарез)[9]
- Інсульт за типом гемореологічої мікроокклюзії виникає на тлі відсутності будь-якого судинного або гематологічного захворювання встановленої етіології. Причиною інсульту служать виражені гемореологічні зміни, порушення в системі гемостазу і фібринолізу. Характерна бідна неврологічна симптоматика у поєднанні зі значними гемореологічними порушеннями[8].
Геморагічний інсульт
Геморагічний інсульт трапляється як наслідок крововиливу в мозок. Кров, що вилилась у головний мозок, руйнує, частково здавлює нервову тканину, спричинює набряк мозку, при якому спостерігаються зміщення мозкових структур, здавлення стовбура мозку. Для геморагічного інсульту характерні гострий розвиток, втрата притомності, порушення дихання і серцевої діяльності.
У науковій літературі терміни «геморагічний інсульт» і «нетравматичний внутрішньомозковий крововилив» або вживають як синоніми[10][11], або ж до геморагічних інсультів, поряд із внутрішньомозковим, також відносять нетравматичний субарахноїдальний крововилив[12][13][14].
Внутрішньомозковий крововилив

Внутрішньомозковий крововилив — найпоширеніший тип геморагічного інсульту, найчастіше виникає у віці 45-60 років. В анамнезі у таких хворих гіпертонічна хвороба, церебральний атеросклероз або поєднання цих захворювань, артеріальна симптоматична гіпертензія, захворювання крові тощо. Передвісники захворювання (почуття жару, посилення головного болю, порушення зору) трапляються рідко. Зазвичай інсульт розвивається раптово, в денний час, на тлі емоційного чи фізичного перенапруження[15].
Етіологія і патогенез
Причиною крововиливу в головний мозок, частіше за все, стає есенціальна артеріальна гіпертензія (80-85 % випадків). Рідше крововилив обумовлює атеросклероз, захворювання крові, запальні зміни мозкових судин, інтоксикацією, авітамінозами й іншими причинами. Крововилив у мозок може наступити шляхом діапедезу чи в результаті розриву судини. В обох випадках в основі виходу крові за межі судинного русла лежать функціонально-динамічні ангіодистонічні розлади загальної та особливо регіональної мозкової циркуляції.
Основний патогенетичний фактор крововиливу — артеріальна гіпертензія і гіпертонічні кризи, при яких виникають спазми або параліч мозкових артерій і артеріол. Обмінні порушення, що виникають в осередку ішемії, сприяють дезорганізації стінок судин, які в цих умовах стають проникними для плазми та еритроцитів. Так виникає крововилив шляхом діапедезу.
Одночасний розвиток спазму багатьох судинних гілок у поєднанні з проникненням крові в мозкову речовину може призвести до утворення великого осередку крововиливу, а іноді і множинних геморагічних осередків. В основі гіпертонічного кризу може лежати різке розширення артерій зі збільшенням мозкового кровотоку, обумовлене зривом його саморегуляції при високому артеріальному тиску. У цих умовах артерії втрачають здатність до звуження і пасивно розширюються. Під підвищеним тиском кров заповнює не тільки артерії, але і капіляри і вени. При цьому підвищується проникність судин, що призводить до діапедезу плазми крові та еритроцитів. У механізмі виникнення діапедезної геморагії певне значення надається порушенням взаємозв'язку між зсідальній і антизсідальній системами крові. У патогенезі розриву судин відіграють роль і порушення судинного функціонально-динамічного тонусу. Параліч стінки дрібних мозкових судин веде до гострого наростання проникності судинних стінок і плазморагії[16].
Субарахноїдальний крововилив

Субарахноїдальний крововилив (тобто крововилив у субарахноїдальний простір). Найбільш часто крововилив відбувається у віці 30-60 років. Серед факторів ризику розвитку субарахноїдального крововиливу куріння, хронічний алкоголізм і одноразове вживання алкоголю у великих кількостях, артеріальна гіпертензія, надлишкова вага тіла[17].
Етіологія і патогенез
Субарахноїдальний крововилив (САК) може статися спонтанно, звичайно внаслідок розриву артеріальної аневризми (за різними даними, від 50 % до 85 % випадків) або в результаті черепно-мозкової травми. Також можливі крововиливи через інші патологічні зміни (артеріовенозні мальформації, захворювання судин спинного мозку, крововилив у пухлину)[18]. Крім цього серед причин САК кокаїнова наркоманія, серпоподібноклітинна анемія (зазвичай у дітей); рідше — прийом антикоагулянтів, порушення зсідання крові і гіпофізарний інсульт[19]. Локалізація субарахноїдального крововиливу залежить від місця розриву судини. Найчастіше вона виникає при розриві судин артеріального кола великого мозку на нижній поверхні головного мозку. Виявляється скупчення крові на базальній поверхні ніжок мозку, мосту, довгастого мозку, скроневих часток. Рідше осередок САК локалізується на верхньолатеральній поверхні мозку; найінтенсивніший крововилив в цих випадках спостерігається по ходу великих борозен[16].
Діагностика
Поширені симптоми
Найпоширеніші симптоми інсульту:
- Раптова слабкість, заніміння, параліч половини тіла або обличчя, руки, ноги.
- Раптовий інтенсивний головний біль, який хворі описують як найжахливіший біль у житті.
- Раптове порушення чіткості зору.
- Раптове порушення мовлення (людина не може говорити або розуміти мову).
- Раптове запаморочення, втрата координації рухів, нудота, блювання, іноді втрата свідомості.
Діагностика «на місці»
При перших проявах симптомів, не зволікаючи, розпізнати інсульт можна на місці. Для цього використовуються три основні прийоми розпізнавання, так звані «УЗП». Для цього треба попросити постраждалого:
- У — усміхнутися. При інсульті посмішка може бути кривою, куточок губ з одного боку може бути направлений вниз, а не вгору.
- З — заговорити. Вимовити просте речення, наприклад: «За вікном світить сонце». При інсульті часто (але не завжди!) вимова порушується.
- П — підняти обидві руки. Якщо руки піднімаються не однаково — це може бути ознакою інсульту.
Додаткові методи діагностики:
- Попросити постраждалого висунути язик. Якщо він неправильної форми і западає на одну або іншу сторону, то це також ознака інсульту.
- Попросити потерпілого витягнути руки вперед долонями вгору і закрити очі. Якщо одна з них починає мимоволі «виїжджати» вбік і вниз — це ознака інсульту.
Якщо потерпілий не може виконати якесь із цих завдань, необхідно терміново викликати швидку допомогу і описати симптоми прибулим на місце медикам. Навіть якщо симптоми припинилися (можливе минуще порушення мозкового кровообігу), тактика повинна бути одна — госпіталізація з швидкої допомоги. Похилий вік, кома не є протипоказаннями госпіталізації.
Інструментальні та лабораторні діагностичні дослідження
Комп'ютерна томографія (КТ) і магнітно-резонансна томографія (МРТ) — найважливіші діагностичні дослідження при інсульті. КТ у більшості випадків дозволяє чітко віддиференціювати «свіжий» крововилив у мозок від інших типів інсультів, МРТ найкраща для виявлення ділянок ішемії, оцінки поширеності ішемічного ушкодження і пенумбри (це особливо важливо в перші 12-24 години захворювання, коли методом КТ ішемічний інсульт може не візуалізуватися). Також за допомогою цих досліджень можна виявляти первинні і метастатичні пухлини, абсцеси мозку і субдуральні гематоми. Якщо спостерігається ригідність потиличних м'язів, але відсутній набряк диска зорового нерва, люмбальна пункція в більшості випадків дозволить швидко встановити діагноз крововиливу в мозок, хоча при цьому зберігається незначний ризик виникнення синдрому «вклинення» мозку. У випадках, коли є підозри на емболію, люмбальна пункція необхідна, якщо передбачається застосування антикоагулянтів. Люмбальна пункція має також важливе значення для діагностики розсіяного склерозу і, крім того, може мати діагностичне значення при нейроваскулярному сифілісі та абсцесі мозку[20].
Профілактика і лікування
- Див. також Фактори ризику інсульту

Профілактичними заходами попередження інсультів є правильна організація режиму праці та відпочинку, харчування, запобігання нервово-психічним перенапруженням, профілактика і лікування судинних захворювань. Інгредієнти середземноморської дієти, в тому числі фрукти і овочі, хліб, пшениця та інші круп'яні культури, оливкова олія, риба і червоне вино, можливо, здатні окремо або разом знижувати ризик розвитку інсульту.[21] З метою привернення уваги до проблеми, Всесвітньою організацією боротьби з інсультом був заснований день боротьби з інсультом, який відзначається 29 жовтня.
Лікування інсультів спрямоване на нормалізацію дихання, серцево-судинної діяльності, покращення кровопостачання мозку, боротьбу з набряком мозку, хірургічне втручання, відновна терапія, лікувальна фізкультура, масаж тощо. Процес лікування хворих на інсульт довготривалий і головне місце в ньому посідає фізична реабілітація під керівництвом фізичного реабілітолога.
Всесвітній день боротьби з інсультом
За ініціативою Всесвітньої організації боротьби з інсультом (WSO) щорічно 29 жовтня відзначається Всесвітній день боротьби з інсультом[22]. Мета заходів, що проводяться цього дня:[23]
- підкреслити серйозність захворювання;
- звернути увагу суспільства на високу частоту інсультів у порівнянні з іншими захворюваннями;
- підвищити обізнаність населення щодо профілактики інсультів;
- забезпечити кращий догляд і підтримку тих, хто вижив після перенесеного інсульту.
Див. також
Примітки
- NDF-RT
- Верещагин Н. В., Пирадов М. А., Суслина З. А. Национальный центр инсульта — Терминология. Архів оригіналу за 9 лютого 2012.
- Інсульт — це друга за частотою причина смерті людей у всьому світі і основна причина довготривалої непрацездатності, Берінгер Інгельхайм. Архів оригіналу за 17 червня 2012. Процитовано 12 вересня 2012.
- Инсульт. Ишемический инсульт. Профилактика и лечение инсульта. Реабилитация после инсульта. Микроинсульт. Архів оригіналу за 9 лютого 2012.
- Что такое инсульт и как его победить: Профилактика инсультов. Конспект врача. Архів оригіналу за 9 лютого 2012.
- Гусев Е. И., Скворцова В. И. — Современные представления о лечении острого церебрального инсульта Consilium Medicum, Том 2/N 2/2000
- Ишемический инсульт на EUROLAB.UA. Архів оригіналу за 9 лютого 2012.
- Суслина З. А., Верещагин Н. В., Пирадов М. А. — Подтипы ишемических нарушений мозгового кровообращения: диагностика и лечение Consilium Medicum, Том 3/N 5/2001
- ММА им. И. М. Сеченова — Инсульт лакунарный. Архів оригіналу за 15 липня 2009. Процитовано 6 квітня 2011.
- Кадыков А. С., Шахпаронова Н. В. — Сосудистая катастрофа. Архів оригіналу за 25 січня 2010. Процитовано 6 квітня 2011.
- Клиническая классификация и формулировка диагноза. Архів оригіналу за 12 лютого 2010. Процитовано 6 квітня 2011.
- Merck Manuals — Hemorrhagic Stroke
- Протокол ведения больных «Инсульт»
- Авакян А. Н. — Геморрагический инсульт
- Геморрагический инсульт на EUROLAB.UA. Архів оригіналу за 9 лютого 2012.
- Ярош А. А., Криворучко И. Ф. Нервные болезни. — «Вища школа», 1985. — 462 с.
- Нейрохирургическое отделение РНЦХ — Субарахноидальное кровоизлияние
- van Gijn J, Kerr RS, Rinkel GJ (2007). Subarachnoid haemorrhage. Lancet 369 (9558): 306–18. PMID 17258671. doi:10.1016/S0140-6736(07)60153-6.(англ.)
- Warrell, David A; Timothy M. Cox, et al (2003). Oxford Textbook of Medicine, Fourth Edition, Volume 3. Oxford. с. 1032–1034. ISBN 0-19-857013-9.(англ.)
- Коллинз Р. Д. Диагностика нервных болезней. — «Медицина», 1986. — 240 с.
- Spence JD; Lees, K.; Spence, J. D. (September 2006). Nutrition and stroke prevention. Stroke 37 (9): 2430–5. PMID 16873712. doi:10.1161/01.STR.0000236633.40160.ee.
- 29 жовтня — Всесвітній день боротьби з інсультом | Центр громадського здоров'я. phc.org.ua. Процитовано 26 жовтня 2020.
- Stroke Prevention Resources for Your Patients. www.stroke.org (англ.). Процитовано 26 жовтня 2020.
Джерела
- Інсульт / П. О. Фадєєв. — Т. : Навчальна книга — Богдан, 2011. — 159 с. : табл. — ISBN 978-966-10-1298-0
- Інсульт. Тактика, стратегія ведення, профілактика, реабілітація та прогнози: посіб. для лікаря-практика / І. С. Зозуля, Ю. І. Головченко, О. П. Онопрієнко. — К. : Світ Успіху, 2010. — 319 с. : табл. — Бібліогр.: с. 306—315. — ISBN 978-966-8352-51-5
- Кареліна, Т. І. Неврологія [Текст]: підручник / Т. І. Кареліна, Н. М. Касевич ; ред. Н. В. Литвиненко. — 2-е вид., випр. — Київ: Медицина, 2017. — 288 с. ISBN 978-617-505-449-9 (Розділ V. Порушення мозкового кровообігу: Ішемічний інсульт; Геморагічний інсульт, С.?)
- Українська радянська енциклопедія : у 12 т. / гол. ред. М. П. Бажан ; редкол.: О. К. Антонов та ін. — 2-ге вид. — К. : Головна редакція УРЕ, 1974–1985., Том 4, К., 1979 (С.?)
Література
- Гострий ішемічний інсульт / С. М. Віничук, М. М. Прокопів ; Національний медичний ун-т ім. О. О. Богомольця. — К. : Наукова думка, 2006. — 286 с.: рис., табл. — Бібліогр.: с. 255—280. — ISBN 966-00-0615-2
- Інсульт: різновиди, фактори ризику, фізична реабілітація / Мицкан Б. [та ін.] // Фізичне виховання, спорт і культура здоров'я у сучасному суспільстві: зб. наук. пр. / М-во освіти і науки, молоді та спорту України, Волин. нац. ун-т ім. Лесі Українки ; [редкол.: А. В. Цьось та ін.]. — Луцьк, 2012. — № 3(19). — С. 295—302. — Бібліогр.: с. 300—301. Ел.джерело
- Інсульт: сучасні погляди на проблему / Є. Василенко, О. Ярош, Л. Остапченко // Вісн. НАН України. — 2007. — N 5. — С. 29-34. Ел.джерело
- Ішемічний інсульт: обрані сторінки патогенезу та лікування: монографія / Малахов В. О. [та ін.]. — Х. : ЕДЕНА, 2010. — 154 с. : рис., табл. — ISBN 978-966-8230-92-9
- Ішемічний інсульт: прогностичні аспекти клінічних, лабораторних та нейровізуальних характеристик: [монографія] / О. В. Ткаченко, І. О. Цьоха. — Донецьк: Заславський О. Ю. [вид.], 2012. — 111 с. : рис., табл. — Бібліогр.: с. 96-111. — ISBN 978-617-632-005-0
- Клінічні особливості, молекулярно-генетичні та інші фактори ризику розвитку і перебігу інсультів у дітей: монографія / Зозуля І. С., Горовенко Н. Г., Смульська Н. О. — Вінниця: Меркьюрі-Поділля, 2016. — 143 с. : іл., табл. — Бібліогр.: с. 128—143 (180 назв). — ISBN 978-966-2696-59-2
- Міщенко Т. С. Профілактика мозкового інсульту: метод. рекомендації / Т. С. Міщенко, Є. В. Лаком-цева. — Харків, 2006. — 15 с.
- Стандарти, інноваційні підходи в лікуванні інсультів: метод. вказівки до практ. занять циклу темат. удоскон. / А. М. Кардаш та ін.; ДНМУ ім. М.Горького, Ф-т інтернатури та післядиплом. освіти, Каф. нейрохірургії. — Донецьк: Дмитренко, 2012. — 211 с. : рис. — Бібліогр. на початку тем. — ISBN 978-966-2872-06-6
- Шляхи оптимізації діагностики та лікування гострого ішемічного інсульту на догоспітальному та ранньому госпітальному етапах: [монографія] / Зозуля І. С., Мошенська О. П.. — Вінниця: [б. в.], 2012. — 160 с. : рис., табл. — Бібліогр.: с. 129—159. — ISBN 978-617-530-063-3
- Лечение сосудистых заболеваний головного и спинного мозга. Волошин П. В., Тайцлин В. И. — К.: Здоровье, 1991. — 406 с.
- Ромоданов А. П., Педаченко Г. О. Мозговой геморрагический инсульт., К., 1971 (рос.)
Посилання
- Мозковий інсульт: сучасний погляд на проблему та стратегію лікування. С. М. Віничук//Мистецтво лікування.- 5(11) 2004.
- Інсульт. Як уникнути повторного інсульту.
Відео
- (англ.) (укр.)Дивовижний удар прозріння. — Джил Болти Тейлор — відеодоповідь на конференції TED. 18 хв 25 сек

