Субдуральна гематома
Субдуральна гематома — крововилив, який розташовується між твердою і павутинною мозковими оболонами і, в результаті, спричинює загальну або місцеву компресію (здавлення) головного мозку[1]. Субдуральна гематома може розвиватися при травмі голови різної тяжкості, зокрема, часто виникає при синдромі струшування дитини.
| Субдуральна гематома | |
|---|---|
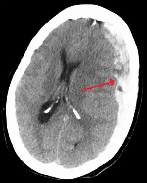
![]() Субдуральна гематома позначена стрілкою Субдуральна гематома позначена стрілкою | |
| Спеціальність | нейрохірургія |
| Класифікація та зовнішні ресурси | |
| МКХ-10 | I62.0, P10.0, S06.5 |
| DiseasesDB | 12614 |
| MedlinePlus | 000713 |
| eMedicine | neuro/575 |
| MeSH | D006408 |
| | |
Класифікація
- Гострі — <48 год після ЧМТ
- Підгострі — 48 год до 12 днів
- Хронічні субдуральні гематоми — > 12 днів
Механізм розвитку
Необхідний травмуючий вплив невеликий за площею на обмежену ділянку голови. Це призводить до локального забою головного мозку та розриву піальних або коркових судин. Характерною особливістю субдуральних гематом є утворення крововиливу і на протилежній стороні від прикладеної травмуючої сили (механізм протиудара).
Субдуральна гематома, як правило, має об'єм від 30 до 250 мл (частіше 80-150 мл). Вона вільно розтікається по субдуральному просторі, займаючи в порівнянні з епідуральними гематомами більш широку площу. Розміри даних крововиливів (частіше всього): ширина 10 х 12 см, товщина шару крові: 1-1,5 см.
Утворення гематом в більшості випадків пов'язано з розривом піальних вен у місці їх впадіння в верхній стрілоподібний синус, рідше — в сфенопаріетальний і поперечний синус. Нерідко джерелом субдуральної гематоми є пошкоджені поверхневі судини півкулі, перш за все — коркові артерії.
Варіанти перебігу гострих субдуральних гематом
Класичний варіант
Зустрічається порівняно рідко. Спостерігається трифазна зміна свідомості (первинна втрата свідомості, розгорнутий світлий проміжок і вторинне вимкнення свідомості). Первинна втрата свідомості відбувається відразу після травми і є, як правило, нетривалою. Далі наступний світлий проміжок триває від 10-20 хвилин до декількох годин. Пацієнти скаржаться на головні болі, запаморочення, спостерігається ретроградна амнезія (неможливість згадати події, що передували травмі). Надалі відбувається поглиблення оглушення, з'являється підвищена сонливість або психомоторне збудження. Пацієнти неадекватні, головний біль посилюється, виникає повторне блювання. Спостерігається посилення осередкової симптоматики (розвивається гомолатеральний мідріаз, контралатеральна пірамідна недостатність і розлади чутливості). Паралельно виключенню свідомості розвивається вторинний стовбуровий синдром з брадикардією, підвищенням артеріального тиску, зміною ритму дихання, двосторонніми вестибуло-окоруховими і пірамідними порушеннями, тонічними судомами.
Варіант зі стертим світлим проміжком
Спостерігається частіше класичного. Субдуральна гематома в даному випадку розвивається внаслідок тяжкого ушибу головного мозку. Первинна втрата свідомості може бути на рівні коми, виражена вогнищева і стовбурова симптоматика, обумовлена первинним пошкодженням речовини мозку. Визначаються менінгеальні симптоми. З часом від декількох хвилин до 1-2 діб, стертий світлий проміжок змінюється повторною втратою свідомості до сопору або коми, наростає геміпарез, можуть розвиватися епілептичні припадки.
Варіант без світлого проміжку
Спостерігається частіше, ніж перший і другий варіанти. Субдуральна гематома розвивається внаслідок множинних пошкоджень черепа і головного мозку. Стан даних пацієнтів на всьому протязі лікування до операції, як правило, без поліпшення
Варіанти перебігу підгострих субдуральних гематом
Класичний варіант
(типовий трифазний перебіг) зустрічається найчастіше.
Варіант без первинної втрати свідомості
(зустрічається досить рідко). Відбувається, як правило, в результаті легких ЧМТ.
Варіант зі стертим світлим проміжком
(зустрічається частіше, ніж другий варіант) при якому максимальне просвітлення свідомості після його первинної втрати не виходить за межі глибокого оглушення; зустрічається нерідко.
Хронічні субдуральні гематоми
Відрізняються від гострих і підгострих травматичних гематом обмежувальною капсулою, що виникає, зазвичай, через 2 тижні після травми, яка визначає всі особливості їх патогенезу, клінічного перебігу та тактики лікування. Об'єм ХСГ коливається від 50 мл до 250 мл і частіше становить 100—150 мл.
Якщо раніше хронічні субдуральні гематоми виявлялися виключно в осіб похилого та старечого віку, то в наш час[коли?] вони значно «помолодшали», зустрічаючись досить часто у осіб молодого і середнього віку, а також у дітей.
Відмінна клінічна ознака цих гематом в тому, що світлий проміжок може тривати тижнями, місяцями і навіть роками. Клінічна маніфестація виключно поліморфна. Спостерігається як поступовий розвиток компресійного синдрома, так і раптове різке погіршення стану хворого до сопору і коми спонтанно або під впливом різних додаткових факторів (легка повторна травма голови, перегрівання на сонці, вживання алкоголю, простудні захворювання та ін.) Клінічна картина при цьому може нагадувати різні захворювання центральної нервової системи: доброякісні та злоякісні пухлини мозку, інсульт, нетравматичний субарахноїдальний крововилив, церебральний атеросклероз, енцефаліт, епілепсію, та ін. У період розгорнутої клінічної картини хронічної субдуральної гематоми часті зміни свідомості у вигляді оглушення або аментивної сплутаності з порушенням пам'яті, орієнтування.
Основні типи клінічної маніфестації ХСГ
- поволі прогресуючий локальний неврологічний дефіцит, наприклад геміпарез;
- симптоми підвищення внутрішньочерепного тиску (ВЧТ);
- зміни психічного статусу, такі як деменція або зміни особистості;
- менінгеальний синдром з ригідністю м'язів шиї і світлобоязню;
- інсультоподібний синдром з раптовим розвитком локальних неврологічних симптомів;
- синдром, що імітує церебральну циркуляторну недостатність у вигляді транзиторних ішемічних атак;
- фокальні та генералізовані епілептичні напади;
- синдром, що імітує генералізований атеросклероз з головними болями, апатією, порушеннями пам'яті, зміною ходи.
Діагностика субдуральної гематоми.
Критерії діагнозу ХСГ
- Трифазна зміна свідомості
- Переважання загальномозкової симптоматики над вогнищевою
- Наявність на знімках церебральної АГ серпоподібної безсудинної зони
- Наявність видимої субдуральної гематоми на КТ та МРТ
Важливо! Не слід проводити діагностичну спинномозкову пункцію (високий ризик подальшої дислокації головного мозку).
Лікування
Наявність субдуральної гематоми передбачає невідкладне хірургічне втручання.
Проводять кістково-пластичну або резекційну трепанацію. У утворене трепанаційне вікно вибухає напружена синюшна непульсуюча або мляво пульсуюча тверда мозкова оболона, яку підковоподібно розкривають з основою, зверненою до верхнього стріловидному синусу. Скупчення рідкої крові та її згустків видаляють за допомогою шпателя, струменя ізотонічного розчину натрію хлориду і вологих ватних тампонів. Проводять ретельний гемостаз (ліквідацію джерела кровотечі). Після здійснення вищевказаних дій тверду мозкову оболону ушивають, укладанням кісткового клаптя на місце і пошарово відновлюють покриви черепа. Для відтоку крові і тканинних виділень встановлюють дренаж, приблизно на добу.
Існує так само ендоскопічна методика видалення субдуральної гематоми (через невеликий отвір у черепі).
При невеликих крововиливах об'ємом до 30 мл і відсутності виражених дислокаційних явищ в умовах постійного клінічного та КТ / МРТ контролю допустимо утриматися від оперативного втручання. Протягом 3 — 4 тижнів, на тлі консервативного лікування зазвичай відбувається розсмоктування.
Див. також
Примітки
- Herbert H Engelhard III, MD, PhD, FACS, Grant P Sinson, MD, George Timothy Reiter, MD, Paul L Penar, MD, FACS, Francisco Talavera, PharmD, PhD, Allen R Wyler, MD, Paolo Zamboni, MD, Allen R Wyler 2009. Subdural Hematoma Surgery . Medscape Reference, eMedicine.medscape.com retrieved on 7/21/2011.
