Черепно-мозкова травма
Че́репно-мозкова́ тра́вма — стан, що виникає внаслідок травматичного ушкодження головного мозку, його оболон, судин, кісток черепа і зовнішніх покривів голови. До тяжкої черепно-мозкової травми відносять забиття та стиснення головного мозку, внутрішньочерепні крововиливи.
| Черепно-мозкова травма | |
|---|---|
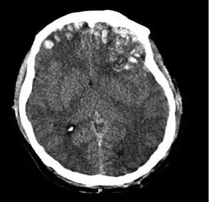
![]() КТ-сканування, на якому видно забиття мозку, геморагію у його півкулях, субдуральну гематому та перелом черепа КТ-сканування, на якому видно забиття мозку, геморагію у його півкулях, субдуральну гематому та перелом черепа | |
| Спеціальність | реаніматологія |
| Класифікація та зовнішні ресурси | |
| МКХ-11 | NA07 |
| МКХ-10 | S06 |
| DiseasesDB | 5671 |
| MedlinePlus | 000028 |
| eMedicine | ped/929 |
| MeSH | D001930 |
| | |
Види черепно-мозкових травм
ЧМТ поділяють на первинні (внаслідок травми) та вторинні (внаслідок внутрішніх ускладнень); за локалізацією — вогнищеві та дифузні; за характером пошкодження та глибиною — закриті, відкриті та проникаючі, непроникаючі; за ступенем важкості.
- Струс мозку (лат. Commotio cerebri)
- найпоширеніший (до 75 % у структурі всіх ЧМТ) вид травматичного ураження головного мозку. Характеризується короткочасною втратою свідомості, головним болем, нудотою, блювотою, запамороченням. Виявляються нестійкі вогнищеві симптоми (ністагм), коливання АТ.
- Забиття мозку (лат. Contusio cerebri)
- Більш тяжкий ступінь ураження, аніж струс. Загальномозкові симптоми поєднуються із вираженими вогнищевими порушеннями (парези, афазія) внаслідок розм'якшення мозкової речовини.
- Стискання мозку (лат. Compressio cerebri)
- Виникає при кровотечі з внутрішньочерепних судин. Можливе субарахноїдальний крововилив, епі- та субдуральний. Субарахноїдальний крововилив характеризується розвитком відразу ж після травми менінгеального синдрому та наявності крові у спинномозковій рідині. Для епідуральної гематоми характерний «світлий» проміжок, тобто погіршення стану визначається через декілька годин після травми. Важливим діагностичним симптомом є розширення зіниці з боку гематоми, поява локальних судом або парезу у протилежних кінцівках. При субдуральній гематомі загальномозкові та вогнищеві симптоми виникають через декілька днів. Лікування гематом оперативне.

- Переломи черепа, склепіння та основи черепа
- Дифузне аксональне пошкодження
Лікування
За результатами клінічних та діагностичних досліджень виділяють три групи потерпілих:
- ті, що підлягають безумовно консервативному лікуванню (хворі зі струсом та забоєм мозку легкого ступеня, легкою ЧМТ, дифузним аксональним пошкодженням);
- ті, хто безумовно підлягає хірургічному лікуванню (стиснення головного мозку);
- ті, хто потребує інтенсивної терапії (під контролем КТ), за неефективності — хірургічного лікування (вогнищеві забої мозку, деякі внутрішньомозкові крововиливи).
Своєчасне встановлення субстрату ЧМТ, прийняття рішення щодо тактики подальшого лікування (хірургічне або нехірургічне) можливо лише у закладах, оснащених комп'ютерними або магнітно-резонансними томографами. Лікування: суворий ліжковий режим (не менше 10 днів); анальгетики, дегідраційна терапія, гангліоблокатори, антигістамінні препарати, вітаміни.
У лікуванні наслідків ЧМТ застосовують й магнітотерапію[джерело?]. Основною перевагою дії магнітного поля на людський організм є поліпшення загального стану кровоносних судин і кровообігу.
Див. також
Джерела
- «ЧЕРЕПНО-МОЗКОВА ТРАВМА:СУЧАСНІ ПРИНЦИПИ НЕВІДКЛАДНОЇ ДОПОМОГИ» Е.Г. Педаченко, І.П. Шлапак, А.П. Гук, М.М. Пилипенко
- СТАНДАРТИЗАЦІЯ В НЕЙРОХІРУРГІЇ Є.Г. Педаченко. Київ: ДУ “ІНХ НАМНУ”, 2019. 152 с.
- Закрита черепно-мозкова травма. Сучасні погляди на проблему. Поліщук М.Є., Гончарук О.М.//INJ, ISSN 2224-0713. - 6(76), 2015 Ел.джерело
Посилання
- Особливості процесу гемокоагуляції у хворих з черепно-мозковою травмою_Потапов О. О. — Український нейрохірургічний журнал N1(9)'2000.
- Черепно-мозкова травма В. І. Снісарь, Л. М. Тесленко — на сайті медичної газети Здоров'я України.
