Зоровий нерв
Зорови́й нерв (лат. nervus opticus) — II (друга) пара черепних нервів у людини та хребетних. Забезпечує здатність бачити. За функціональним поділом – нерв спеціальної соматичної чутливості (англ. special somatic afferent).
| Зоровий нерв | |
|---|---|
![]() | |
| Лівий зоровий нерв і зорові тракти | |
![]() | |
| Вигляд людського мозку знизу з поміченими черепними нервами | |
| Латинська назва | Nervus opticus |
| Грей | subject #197 882 |
| MeSH | Зоровий+нерв |
Зважаючи на особливості мікро- та макроанатомії, зоровий нерв не є нервом у класичному розумінні цього слова, а радше частиною головного мозку, яка винесена на периферію. Так, він розвивається як виріст переднього мозку, покритий центральним мієліном та трьома оболонами, які покривають утвори ЦНС, між цими оболонами циркулює спинномозкова рідина.
Зоровий нерв утворений аксонами гангліонарних клітин сітківки. Частина, яку можна побачити при огляді очного дна, називається диском зорового нерва (лат. discus nervi optici). Анатомічно утвір простягається від диска зорового нерва до перехрестя зорових нервів (лат. chiasma opticum), опісля віддає свої волокна зоровим шляхам (лат. tractus opticus). Кровопостачання складне, здійснюється в основному завдяки очній артерії (лат. arteria ophtalmica) та її гілкам. Більша частина крові відтікає у печеристу пазуху (лат. sinus cavernosus).
Зоровий нерв відділений від імунної системи специфічним бар'єром. Лише в одному місці цей бар'єр зникає, що відіграє важливу роль у перебігу патологічних процесів.
Окрім зору, волокна зорового нерва забезпечують функціонування систем, які стабілізують погляд та забезпечують найкращу фіксацію об'єкта на сітківці, регулюють циркадні ритми, беруть участь у регулюванні синтезу та виділення гормонів.
У випадку розвитку патології пацієнт може скаржитися на зниження гостроти зору (центрального зору) та обмеження полів зору (периферичний зір), аж до появи скотом, порушення кольорового зору, больові відчуття. Процеси, які уражають нерв, різноманітні: глаукома, пухлини, запалення, травми, порушення кровопостачання, спадкові хвороби та вади розвитку, внутрішньочерепна гіпертензія. Більшість із цих захворювань веде до атрофії зорового нерва — загибелі гангліонарних клітин та аксонів і, як наслідок, втрати зору.
Ембріогенез в людини
| Класифікація зорового нерва[1]: |
|

На 4 тижні внутрішньоутробного розвитку в передньому мозку (лат. prosencephalon), у ділянці, яка згодом перетвориться на проміжний мозок (лат. diencephalon), виникають два бічних випинання, які починають віддалятися від нього. Ці випинання називаються зоровими міхурцями (лат. vesiculae opticae), вони є основою розвитку структур очей. Зорові міхурці розташовані на периферії, у порівнянні з ЦНС, та з'єднуються з нею завдяки стеблоподібним утворам — зоровим ніжкам (лат. pedunculi optici). Зорова ніжка надалі стає основою формування зорового нерва. Зорові міхурці починають інвагінувати (вгинатися), допоки не утвориться зорова чаша (лат. caliculus ophthalmicus). У чаші утворюються два відокремлені простором шари, які згодом з'єднуються. Ці шари дають початок клітинам сітківки, серед яких є гангліонарні клітини, аксони яких формуватимуть майбутній зоровий нерв.[2][3] Клітини-попередниці гангліонарних клітин з'являються ще на 4 тижні, проте сформовані гангліонарні клітини з'являються тільки на 7 тижні.[4][5] Спершу вони з'являються довкола ділянки майбутнього диска зорового нерва, пізніше їх знаходять і на периферії сітківки[4].
Інвагінація відбувається також в зоровій ніжці. У щілину, яка утворюється внаслідок цього процесу, лягає попередниця гіалоїдної артерії (лат. arteria hyaloidea). Краї щілини змикаються й утворюється замкнутий стовбур із артерією в середині.[2] З 8 тижня аксони гангліонарних клітин проростають у товщі зорової ніжки у напрямку до ЦНС[4]. Вони здатні рухатися крізь тканини завдяки наявності у них філоподій — специфічних відростків, які забезпечують проникнення все глибше і глибше у прилеглі тканини[4][6]. Факторами, які визначають напрямок росту та проникнення відростків, є молекули, які поділяються на атраканти (родини ламінінів та нетринів), у напрямку до яких аксони проростатимуть, та репеленти (родини ефринів та семафоринів), які мають протилежну дію. Спільна дія цих факторів сприяє правильному проростанню відростків, їхньому правильному розташуванню у нерві та правильному формуванню центральних шляхів[4][6][7]. Кількість аксонів у нерві стрімко зростає до 16-го тижня (приблизно 3,7 мільйона), а потім, до 33-го тижня, стрімко зменшується (1,1 мільйона) завдяки апоптозу нейронів[4][6]. Мієлінізація нерва розпочинається від ділянки зорового перехрестя та прямує до очного яблука і завершується біля решітчастої пластинки. Процес стартує на сьомому місяці, на восьмому місяці практично весь нерв мієлінізований, проте утворення мієліну остаточно припиняється тільки на першому місяці життя.
На 18 тижні можна чітко розрізнити три оболони нерва та їхні простори[7].
Гіалоїдна артерія є важливим джерелом кровопостачання сітківки та кришталика (лат. lens) в період ембріонального розвитку, проте з часом регресує і замінюється іншими системами кровообігу. Та частина гіалоїдної артерії, яка розташована в товщі зорової ніжки перетворюється безпосередньо на центральну сітківку артерії. Та частина, яка кровопостачала сітківку та кришталик зникає повністю. Процес завершується на п'ятому місяці внутрішньоутробного розвитку. Інколи діти народжуються з гліальним конусоподібним утворенням, яке є залишком системи гіалоїдної артерії — сосочком Бергмайстера. У нормі він має бути відсутній, а на його місці у зоровому диску має розташовуватися фізіологічна чаша. З іншого боку, сосочок Бергмайстера є доброякісною патологією, яка не випливає на гостроту зору.[4][6] З регресом системи гліальної артерії розвиваються судинні сплетення нерва. Найактивніший їхній розвиток припадає на 12–14 тижні, хоча остаточно цей процес закінчується тільки на 20 тижні[7].
Анатомія
Хід нерва
Приблизна довжина нерва в людини складає 5 см[8] (довжина може коливатися від 3,5 до 5,5 см[9]) і в ньому топографічно можна розрізнити чотири частини[8][10]:
Внутрішньоочна частина та зоровий диск
Внутрішньоочна частина повністю розташована в очному яблуці та є найкоротшою з усіх чотирьох вище наведених[10]. Її довжина в дорослої людини — 0,1 см, діаметр — 0,118—0,175 см[9].
При огляді очного дна можна побачити диск зорового нерва (лат. discus nervi optici). Диском зорового нерва називають ту ділянку очного дна, у якій аксони гангліонарних клітин усієї сітківки збираються разом та направляються з ока, формуючи нерв[11]. Часом зоровим диском називають всю внутрішньоочну частину, хоча це не зовсім вірно. Ще одним можливим синонімом для цього відділу та зорового диска є термін «сосочок» (лат. papilla nervi optici).[9]
При огляді диск зорового нерва має рожевий колір, зазвичай овальної або круглої форми. Внутрішня частина диска білого кольору та називається фізіологічною чашею. В дисках заведено розрізняти скроневу та носову частини.[11] Зсередини диск покритий мембраною Елшніга — астроцитарною плівочкою, яка відділяє диск від склистого тіла.[12] Оскільки диск є сукупністю волокон та позбавлений фоторецепторів та інших клітин, то він утворює ділянку сітківки, яка не сприймає світла — сліпу пляму (лат. punctum caecum)[13].
Стосовно решітчастої пластинки (місце, через яке нерв покидає очне яблуко) склери (лат. lamina cribrosa sclerae) та згідно з особливостями кровопостачання внутрішньоочну частину ділять на ще три частини: передпластинчасту (лат. pars prelaminaris), внутрішньопластинчасту (лат. pars intralaminaris) та запластинчасту (лат. pars retrolaminaris). Опісля починається очноямкова частина нерва.[10][14][15]



Очноямкова частина нерва
Ця частина розміщена в очній ямці, у ретробульбарній жировій клітковині (жирова клітковина позаду ока), та є найдовшою серед усіх частин нерва[16]. Її довжина в людини приблизно 2,5—2,6 см[9]. При цьому, довжина орбіти приблизно на 0,5—0,6 см менша за довжину цієї частини. Через це нерв дещо звисає та набуває S-подібної форми.[10] Під час руху очей, завдяки цьому звисанню, нерв не натягується і, як наслідок, не травмується. Товщина нерва зростає у два рази у порівнянні з попередньою частиною (3—4 мм). Також, у цьому відділі нерв покривають усі три мозкові оболони.[17][18]

Нерв виходить з ока в ділянці сухожильного кільця окорухових м'язів, що має значення при перебізі ретробульбарного невриту (виникає біль при рухах очей) та дифузного токсичного зоба (фіброз м'язів спричинятиме стиснення зорового нерва). Те, що нерв проходить через жирову клітковину також має значення: у випадку розвитку набряку в цій клітковині виникатиме стиснення нерва.[16]
Канальна та внутрішньочерепна частини нерва
З орбіти нерв входить в зоровий канал. Саме ця частина нерв називається канальною, або внутрішньоканальною. Її довжина становить приблизно 0,5—0,6 см.[10] Зсередини поблизу нерва розташована тоненька стіночка клиноподібної пазухи. У випадку сфеноїдиту запалення може переходити на нерв.[19] Слід додати, що, як і у випадку з попередньою частиною, довжина зорового каналу (його кісткової основи) дещо менша за довжину канальної частини. Річ у тім, що тверда оболона дещо подовжує довжину каналу, утворюючи складку.[20]
Внутрішньочерепна частина дуже сильно варіює у своїй довжині. Середні її значення становлять 1,2—1,8 см. Після входу в порожнину черепа нерв лежить під лобною часткою мозку, над клиноподібною пазухою й очною артерією та поверхнево відносно внутрішньої сонної артерії. Патологічні процеси (аневризми судин, сфеноїдити, пухлини лобної частки), які виникатимуть у вище наведених анатомічних структурах, здатні пошкодити його.[21][22] Нерв закінчується у ділянці зорового перехрестя, після якого замість нервів до зорових центрів в потиличній частці прямують зорові шляхи (лат. tracti optici)[23].
Шлях у ЦНС
Гангліонарні клітини не є першими клітинами, які сприймають візуальні подразнення. Спочатку кванти світла сприймаються специфічно видозміненими нейронами — паличками (відповідають за сутінковий та нічний зір, тобто чорно-білий зір) та колбочками (відповідають колірне сприйняття). Опісля імпульс прямує до біполярних клітин, і тільки тоді надходить до гангліонарних клітин. Таким чином, нейрони, які формують зоровий нерв, є третіми у зоровому шляхові.[24]
Зорове перехрестя (лат. chiasma opticus) — це ділянка, у якій частина волокон зорового нерва переходить на протилежну сторону. Перехрещуються волокна, які прямують від носових частин сітківки (носові частини сітківки відповідають за скроневі поля зору). Таким чином, у зорових шляхах містяться волокна, які несуть інформацію про одне поле зору: лівий зоровий шлях прямує до лівої потиличної частки та містить волокна, які пов'язані з правим полем зору, а правий зоровий шлях прямує до правої потиличної частки і містить волокна, які пов'язані з лівим полем зору.[23][25]
У ділянці перехрестя невелика кількість аксонів відходить від решти та прямує до надперехресного ядра (лат. nucleus suprachiasmaticus), беручи таким чином участь в регуляції циркадних ритмів. Інша невелика кількість аксонів прямує до претектуму і забезпечує виконання зіничного рефлексу.[23][25] Ще певна кількість аксонів прямує до верхніх горбків середнього мозку для забезпечення орієнтувальних рефлексів[26][27]. Волокна від спеціальних, непов'язаних ані з паличками, ані з колбочками, гангліонарних клітин, відходять від основного зорового шляху, формуючи додатковий зоровий шлях, та прямують до додаткових зорових ядер[28][29], забезпечуючи виникнення опто-кінетичного рефлексу і модулюючи вестибуло-окулярний рефлекс[26][30]. Основна кількість нервових волокон прямує до підкіркових зорових центрів у таламусі — бічних колінчастих ядер (лат. nuclei geniculati laterales). Далі зоровий шлях продовжується у вигляді зорової променистості, яка досягає кіркових центрів зору у потиличній частці.[23][25]




Артеріальне русло
Зоровий нерв живиться з басейну внутрішньої сонної артерії (лат. arteria carotis interna), в основному від її гілки — очної артерії (лат. arteria ophtalmica). Кінцеві гілочки цих великих судин можуть утворювати піальні судинні сплетення, тобто сплетення м'якої оболони (періаксіальна система) або живити нерв зсередини в товщі нерва (аксіальна система)[31].
До його внутрішньочерепної частини підходять судини як безпосередньо від внутрішньої сонної артерії, так і від її гілок — очної, передньої мозкової та передньої сполучної артерій. У цій частині наявна тільки періаксіальна система. Нижня частина внутрішньочерепної частини нерва кровопостачається напряму від внутрішньої сонної та від очної артерій, у той час як верхня частина в основному кровопостачається від передньої мозкової артерії. Наявний опис так званої «прехіазмальної артерії» — гілки очної або верхньої гіпофізарної артерій, яка прямує по присередній поверхні нерва в напрямку до зорового перехрестя, де сполучається з однойменною артерією з іншого боку. Низка дослідників вважають її найголовнішим джерелом кровопостачання для внутрішньочерепної частини нерва, проте далеко не всі досліди підтверджують її існування.[31][32]

Очна артерія є основним джерелом кровопостачання для канальної частини нерва, віддаючи канальну гілочку. Вона відходить від зорової артерії у зоровому каналі або в орбіті, а її менші гілочки формують піальне судинне сплетення. Для того, аби проникнути вглиб, гілочки прямують по перегородках твердої оболони, які пронизують нерв. Тому переломи у цій ділянці серйозно впливають на кровопостачання канальної частини нерва.[31][33]
Набагато складнішим є кровопостачання очноямкової частини зорового нерва. За 0,5—1,5 см до входу в очне яблуко в товщу нерва входить центральна артерія сітківки — гілка очної артерії[31]. Відповідно до цього місця очноямкову частину ділять на передній та задній сегменти, кожен з яких має свої особливості кровопостачання[34]. Задній сегмент живиться від центрострімких судин піального сплетення (подібно до канальної частини), тобто живильні судини входять в нерв з периферії та прямують до центру (періаксіальна система). У передньому сегменті периферична частина нерва також живиться від судин м'якої оболони (періаксіальна система), а центральна частина — від гілочок центральної артерії сітківки (аксіальна система). Таким чином у передньому сегменті наявні дві системи кровопостачання. Варто сказати, що у 10 % випадків задній сегмент також може мати аксіальну систему.[31][34]
Складним є кровопостачання внутрішньоочної частини. Основними судинами, які живлять її, є задні короткі війкові артерії[35]. Запластинчаста частина, подібно до переднього сегмента очноямкоовї частини, живиться з двох систем: періаксіальної (наявна завжди) та аксіальної (наявна у 75 % осіб). Періаксіальна система являє собою піальне судинне сплетення, яке в основному утворене з гілочок задніх коротких війкових артерій або гілочок кільця Галлера — Цинна (похідне задніх коротких війкових артерій). До утворення цієї системи може долучатися і центральна артерія сітківки, яка, крім того, формує аксіальну систему кровопостачання запластинчастої частини.[36] Пластинчаста частина позбавлена аксіальної системи, проте має періаксіальну систему[37]. Задні війкові артерії й артеріоли сітківки кровопостачають передпластинчасту частину зорового нерва та зоровий диск[38].
Венозне русло
Дренаж венозної крові від зорового нерва здійснюється в печеристу пазуху або напряму, або за посередництва вен орбіти, або завдяки двом названим шляхам. Основна судина, яка забезпечує відтік крові — це центральна вена сітківки. У нерві вона, відносно центральної артерії сітківки, лежить збоку та зазвичай виходить з нерва позаду місця виходу артерії, хоча місце виходу є варіабельним у різних осіб.[39][40]
Кров внутрішньоочної частини стікає венулами, які формують вище названу вену. Окрім того частина крові відтікає по венах сітківки, розміщеним поблизу диска. Останні також забезпечують відтік крові у випадку оклюзії центральної вени сітківки.[41]
В очноямковій частині наявні дві системи відтоку венозної крові: частина крові відтікає безпосередньо у центральній вені сітківки, а частина крові відтікає по піальних венах, які потім спрямовують кров у вище названу вену.[40]
Венозна кров верхньої частини нерва у зоровому каналі та черепі стікає у передню мозкову вену. Кров від нижньої частини у тих самих відділах тече в основну вену.[42]
Мікроанатомія
Гістологічна організація волокон
.jpg.webp)
2) Периневрій;
3) М'яка оболонка;
4) Павутинна оболонка та підпавутинний простір;
5) Тверда оболона.
Загальна організація
Функціонально в зоровому нерві можна розрізнити п'ять типів волокон[43][44]:
- візуальні аферентні волокна, які власне забезпечують зір;
- аферентні волокна, які забезпечують виникнення зіничного рефлексу;
- аферентні фотостатичні, які пов'язані з орієнтувальними рефлексами;
- автономні волокна;
- еферентні волокна до сітківки, функція яких нез'ясована.
Товщина нервових волокон (аксонів) нерва становить в середньому 10 мкм, середня кількість їх в одному нерві — півтора мільйона. Волокна преламінарної та ламінарної частин формують пучки та не покриваються мієліном; він вперше з'являється у ретроламінарній частині. Мієлін зорового нерва є центрального походження, тобто виробляється олігодендроцитами, що є ознакою того, що зоровий нерв є радше частиною ЦНС, ніж ПНС. У цих же ділянках волокна оточені астроцитами.[43][45][46] Вони відокремлюють нерв від тканини склери у ділянці решітчастої пластинки, утворюючи мембрану Джейкобі[47].
Така мікроанатомічна організація характерна для інших частин зорового нерва: формування пучків нервових волокон, які оточені астро-, мікро- та олігодендроглією[43][46].
Топографічна організація
Волокна нерва мають чітке розташування у різних відділах, що впливає на клінічні прояви при розвитку патологічного процесу.
Перед тим, як сформувати диск зорового нерва, аксони формують шар волокон, який покриває сітківку. Аксони тих клітин, які знаходяться на периферії, займають глибоке положення у цьому шарі та прямують до периферії диска зорового нерва. Аксони тих клітин, які знаходяться ближче до диска зорового нерва розташовані поверхнево та прямують до центру диска.[48]
До темпоральної частини прямують аксони від центральної ямки жовтої плями (жовта пляма забезпечує найбільшу гостроту зору) та формують папілярно-макулярний пучок. Аксони від верхньої та нижньої носових частин сітківки заходять у відповідні частини диска, а від верхньої та нижньої темпоральної частини сітківки — до верхньої та нижньої частин диска відповідно.[48][49]
Таке розташування зберігається певний час і у нерві, але згодом волокна від папілярно-макулярного пучка зміщуються до центру[49].
Оболони нерва та їхні простори
Особливістю нерва є те, що він покритий усіма трьома мозковими оболонами, однак в різних місцях він покритий ними по-різному: внутрішньочерепна частина покрита тільки м'якою оболоною, у зоровому каналі та очній ямці нерв покритий усіма трьома оболонами, а біля очного яблука нерв втрачає всі оболони. Як і в ЦНС, між оболонами розміщені простори: між твердою та павутинною оболонами розміщений підтвердооболонний простір, а між павутинною та м'якою — підпавутинний простір, у якому циркулює спинномозкова рідина. Наявність останнього простору та циркуляції рідини обумовлює можливість переходу патологічного процесу з ока на мозок та навпаки. Згідно з анатомічною номенклатурою оболони мозку правильніше називати піхвами, при цьому тверда оболона формує зовнішню піхву зорового нерва (лат. vagina externa nervi optici), а павутинноподібна і м'яка оболони формують внутрішню піхву (лат. vagina interna nervi optici); підпавутинний простір в такому випадку називається підпавутинним міжпіхвовим простором (лат. spatium intervaginale subarachnoidale).[10][50]
Існує опис так званого суправагінального простору, розміщеного над зовнішньою піхвою, однак цей простір утворюється лише під час розвитку патології[50].
Залежно від частини нерва, існує низка особливостей в мікро- та макроанатомії оболон та їхніх просторів. Так, найбільший підпавутинний простір знаходиться в очноямковій частині нерва, в той час, як найвужчий — у канальній. Тверда оболона у зоровому каналі формує окістя та віддає перегородки, які прямують до м'якої оболони. У них розміщені судини. Таким чином нерв у зоровому каналі надійно зафіксований. Наявність цих перегородок та вузькість підпавутинного простору — це фактори, які сприяють розвиткові набряку диска зорового нерва у випадку підвищеного внутрішньочерепного тиску.[50][51] Після виходу із зорового каналу в очну ямку тверда оболона розщеплюється на два лиски: внутрішній надалі продовжує покривати нерв, а зовнішній стає окістям кісток очної ямки — періорбітою[20][52]. Тверда та павутинна оболони переходять у склеру, коли досягають ока[53].
Бар'єр
Проникнення хімічних речовин до тканин нерва обмежене завдяки наявності бар'єру з кров'ю, функції якого подібні до гемато-енцефалічного бар'єру[54][55]. Гістологічна основа цього бар'єру — це наявність щільних контактів між ендотеліоцитами капілярів та відсутність фенестр (отворів), через які речовини могли б проникати з просвіту судин в позаклітинний простір та у зворотньому напрямку. Бар'єр наявний у всіх відділах нерва, окрім преламінарного та ламінарного.[54][56] Така локалізація є дуже важливою для розвитку набряку при ряді патологічних процесів, таких як гіпертензивна чи токсична нейропатії зорового нерва.[57]
Фізіологія

Зоровий нерв є тим «містком», який поєднує рецептор з аналізатором в ЦНС, таким чином забезпечуючи можливість бачити. Проте, як вже було сказано, візуальні аферентні волокна є лише одним з типів волокон, які складають нерв. Завдяки іншим типам волокон, окрім зору нерв забезпечує виникнення ряду рефлексів та контроль циркадних ритмів.[43][44]
Зоровий нерв є складовою аферентної ланки зіничного рефлексу, який має велику клінічну цінність. Імпульс по нерву прямує до претектума, звідки надходить до обох ядер Едінгера-Вестфаля (III пара черепних нервів). Аксони цих ядер є еферентною ланкою рефлексу. Зважаючи на зв'язок претектума одразу з двома ядрами, кожна зіниця має звужуватися як при безпосередньому попаданні світла (пряма реакція, або прямий зіничний рефлекс) на око, так і при освітленні протилежного ока (непряма реакція, непрямий зіничний рефлекс, або співдружня реакція зіниць). Окрім патології зорового нерва, зіничний рефлекс порушується при патології окорухового нерва та ділянок ЦНС, які забезпечують його виникнення.[58]
Вище два названі нерви є також аферентною та еферентною ланками акомодації. Імпульс по зоровому нерву прямує до потиличної частки, до поля Бродманна 19, звідки сигнали прямують до передньобічних частин ядер окорухових нервів та до ядер Едінгера-Вестфаля. Аксони нейронів окорухових ядер прямують до присередніх прямих м'язів, які зводять очі разом (відбувається конвергенція), а аксони ядер Едінгера-Вестфаля звужують зіниці та змінюють кривину кришталика за посередництва війкового м'яза.[59]
Волокна зорового нерва забезпечують інформацією системи, які покликані направити зображення на центральну ямку жовтої плями — ділянку, яка забезпечує найбільшу гостроту зору. Таких систем є шість: система саккад, опто-кінетичний рефлекс, система плавного переслідування, вергентна система, система фіксації та вестибуло-окулярний рефлекс. За винятком останньої системи, усі інші функціонують завдяки зоровим імпульсам.[60][61]
Фотостатичні волокна зорового нерва, які прямують до верхніх горбків, відіграють роль у формуванні орієнтувальних рефлексів (повернення голови у бік неочікуваного чи інтенсивного зорового подразника)[26].
Певна кількість волокон нерва прямує до надперехресного ядра, розташованого над перехрестям зорових нервів. Це ядро — це центр циркадних ритмів, які визначають добову активність людини[62]. Зміни дня та ночі, а отже зміни освітлення, сприймаються непов'язаними з паличками та колбочками гангліонарними клітинами. Циркадні ритми важливі не тільки у плані регуляції сну чи активності, а й для контролю за гомеостазом та виділенням гормонів (велика кількість соматотропного гормону, наприклад, виділяється під час сну). У осіб, народжених із гіпоплазованими нервами, виникають дисгормональні порушення.[63][64]
Діагностика
Симптоми
Симптоми при патологіях зорового нерва в основному негативні, тобто виникає дефіцит функцій, які забезпечуються нервом[65].
У випадку повного пошкодження зорового нерва випадають усі поля зору ока, яке іннервується цим нервом. Також страждає центральний зір, який забезпечується жовтою плямою сітківки, і волокна від якої прямують в зоровому нерві. Таким чином, око на стороні пошкодження нерва є повністю сліпим.[66]
Проте, частіше ураження нерва є часткове або розтягнене у часі. У таких випадках симптоматика відрізнятиметься: замість повної сліпоти виникатимуть менші дефекти полів зору — скотоми, порушуватиметься кольоровий зір (дисхроматопсія) та погіршуватиметься центральний зір, ці симптоми можуть прогресувати. Форма скотом буде залежати від того, які волокна нерва ушкодженні. Можливі больові відчуття при рухах очей.[65][67]
Більшість патологій ведуть саме до однобічного (монокулярного) ушкодження нерва, проте, наприклад, при внутрішньочерепній гіпертензії, отруєннях, спадкових хворобах уражаються одночасно два нерви, а отже зір погіршується в обидвох очах (бінокулярне порушення).[67][68]
Повна чи часткова сліпота, яка виникає через пошкодження зорового нерва, називається амаврозом[69].
Дуже рідко при ушкодженні зорового нерва може виникати позитивна симптоматика, у вигляді фотопсій[65].
| Клінічні тести | |
|---|---|
| Тестування зорового нерва (англ.) | |
Опитування та огляд хворого
У випадку появи симптомів дуже важливо для лікаря-офтальмолога розпитати про їх початок. Так, якщо симптоми виникають раптово, то це наводить на думку про ішемічну нейропатію. Якщо симптоми виникли одразу після народження, то можна запідозрити вроджену ваду. Не завжди пацієнт може висловити скарги, як, наприклад, у випадку глаукоми, яка довго перебігає безсимптомно.[65]
Офтальмолог виконує ряд клінічних досліджень з метою перевірки стану усієї зорової системи, адже завжди симптоми потребують диференційного діагнозу.
- Перевірити гостроту зору можна за допомогою спеціальних таблиць (Сівцева-Головіна чи Снеллена). Нейропатія зорового нерва веде до зниження гостроти зору, проте це не єдиний такий стан.[70][71]
- Огляд очного дна є важливим дослідженням, яке дозволяє побачити стан сітківки, жовтої плями та диска зорового нерва, що у контексті зорового нерва є особливо важливим[72][71].
- Перевірка кольорового сприйняття за допомогою тесту Ісіхари[70][71].
- Периметрія з метою визначення розмірів полів зору (або порівняння полів зору лікаря та пацієнта)[70][71].
- Тест із сіткою Амслера, який дозволяє виявити дефекти центральної частини полів зору[70].
- Дослідження зіничного рефлексу[65][71].
Лабораторно-генетична діагностика
Ряд лабораторно-генетичних показників мають велике значення у діагностиці тої чи іншої патології, яка супроводжується ураженням зорового нерва.
Звичайний загальний аналіз крові дозволяє підтвердити наявність B12-фолієводефіцитної анемії. Дефіцит цих вітамінів здатен привести до розвитку нейропатії. Іншими вітамінами, дефіцит яких може стати причиною перебігу нейропатії, є B1, B2 та B6. Рівні вітамінів у крові можна перевірити під час проведення біохімічного аналізу крові. Підвищення ШОЕ може вказати на перебіг запального процесу інфекційної чи аутоімунної природи. Серологічні дослідження з визначенням рівнів специфічних антитіл дозволяють підтвердити діагноз нейромієліту зорових нервів. Завдяки коагулограмі можна перевірити стан систем, які забезпечують зсідання крові. Гіперкоагуляція, яка веде до надмірного утворення тромбів, може бути причиною ішемічної нейропатії зорового нерва.
Для підтвердження автосомо-домінантної зорової нейропатії К'єра необхідно дослідити ген OPA1, мутація в якому є причиною розвитку цієї патології, а при спадковій зоровій нейропатії Лебера знаходять мутації у мітохондріальній ДНК.[73][74]
Інструментальна діагностика
Ряд досліджень дозволяють перевірити анатомічний та фізіологічний стани зорового нерва
Магнітно-резонансну томографію (МРТ) використовують для візуалізації невритів, пухлин, у випадку передньої ішемічної нейропатії, у випадку внутрішньочерепної гіпертензії. При невритах у T-2 режимі можна побачити набряклий нерв із підвищеним сигналом. Чутливим є використання T-1 режиму із супресією жиру та використанням гадоліну як контрастного агента.[75] У такому випадку також відзначатимуть посилення сигналу.[75] При менінгіомі у T-1 режимі пухлина буде ізо- або гіподенсною щодо нерва, у T-2 режимі — ізо- або гіперденсною[76]. Гліома при використанні МРТ виглядає як мішкоподібне розширення нерва, гіподенсне у T-1 режимі та гіперденсне у T-2 режимі[77].
Комп'ютерну томографію (КТ) також використовують для візуалізації нерва. Перевагу над МРТ цей метод має у випадках підозр на стиснення нерва у зоровому каналі, оскільки краще візуалізує кісткову тканину. Загалом, у випадку травм з переломами кісток, коли є можливість ушкодження зорового нерва, КТ є методом вибору. Цей метод чутливий до кальцифікатів, тому його використання доцільне у випадку підозр на наявність друзів.[78][79]
Завдяки МР-ангіографії можна перевірити стан судин, які кровопостачають нерв. КТ-ангіографія чутливіша, у порівнянні з МР-ангіографією, до гемангіом, аневризм та мальформацій, які можуть стискати нерв, проте, «золотим стандартом» визначення та лікування аневризм та мальформацій є конвекційна ангіографія.[78][79]
Оптична когерентна томографія дозволяє виміряти товщину нервових волокон і, таким чином, визначити величину їх атрофії у випадку, коли даних про набряк диска зорового нерва в анамнезі немає або вони сумнівні. Також цей метод дуже добре зафіксовує і сам набряк зорового диска і тому корисний у випадках помірного набряку, який важко помітити при дослідженні очного дна. Цей метод також використовують для оцінки стану нервових волокон при глаукомі.[78][79]
Ультразвукове дослідження в A- та B-режимах дозволяє візуалізувати як внутрішньоочні анатомічні структури, так і структури позаду ока. УЗД корисне при дослідженні судинного русла нерва, у випадку компресії нерва окоруховими м'язами (трапляється при токсичному зобі), є методом вибору для визначення друзів (конгломерат білків та солей кальцію) диска зорового нерва, оскільки є чутливішим методом у порівнянні з КТ.[78][79]
Патології
Глаукома, порушення кровопостачання, вроджені та спадкові чинники, дефіцит вітамінів, травми, отруєння, інфекції, аутоімунні та дімієлінізуючі процеси — усі ці патологічні стани здатні спричинити порушення у будові та функціонуванні зорового нерва.
Глаукома
Відповідно до сучасних поглядів, глаукома є одним з різновидів нейропатії зорового нерва. Сама глаукома є групою захворювань, які умовно можна поділити на відкритокутові та закритокутові. Найпоширенішим типом є первинна відкритокутова глаукома. Хоча найбільшим ризиком (і єдиним ризиком, який можна модифікувати) розвитку глаукоми є підвищений внутрішньоочний тиск, у третини пацієнтів внутрішньоочний тиск може бути нормальним (нормотензивна глаукома). Патогенетичні чинники, які спричиняють пошкодження гангліонарних клітин та їх відростків — це власне механічний вплив на аксони у ділянці решітчастої пластинки, а також оксидативний стрес, розвиток аутоімунних процесів та розлади мікроциркуляції.[80][81]
Клінічно відкритокутова глаукома проявляється як поступове обмеження полів зору, яке прогресує та веде до повної сліпоти. Проте суб'єктивно пацієнт роками може не помічати жодних порушень, адже поля обмежуються спочатку з периферії.[82] У випадку закритокутової глаукоми затуманення зору виникає раптово. Гострий напад глаукоми є невідкладним станом, оскільки несе загрозу повної втрати зору. Окрім візуальних порушень супроводжується сильним головним болем, гіпертензією, блюванням, гіпертермією.[83]
Ішемічні нейропатії
У випадку порушення кровопостачання нерва виникає ішемічна нейропатія. Як і глаукома, термін «ішемічна нейропатія зорового нерва» є збірним поняттям, який складається з двох великих груп: передньої ішемічної нейропатії зорового нерва (ішемія внутрішньоочної частини зорового нерва) та задньої ішемічної нейропатії зорового нерва (ішемія решти частин нерва). Перша група у свою чергу ділиться на ішемію, пов'язану з артеріїтом (патологічні зміни розвиваються у стінці судин при таких станах, як гігантоклітинний артеріїт, вузликовий періартеріїт, СЧВ), та на ішемію непов'язану з артеріїтом (гемодинамічні зміни, наприклад, при тромбозі). Друга група ділиться на пов'язану з артеріїтом, не пов'язану з артеріїтом та пов'язану з операційним втручанням (ятрогенну)[84].
Початок у передніх ішемічних нейропатій подібний — це раптове неболюче і сильне монокулярне погіршення зору, зазвичай зранку, у комбінації зі змінами диска зорового нерва (набряк та зменшення розмірів фізіологічної чаші) на очному дні та погіршеною реакцією зіниці на світло.[85] У випадку артеріїту спостерігають ще й запаморочення, нудоту, біль в щелепі, болючість при пальпації у скронях, міальгії (біль в м'язах), можливі зміни скроневих судин.[86][87] Якщо ішемія є наслідком артеріїту, а необхідне лікування не проводиться, то симптоми з плином часу проявлятимуться двобічно. У випадку задніх ішемічних нейропатій симптоми подібні — виникає раптове неболюче погіршення зору, погіршення зіничного рефлексу, проте змін диска при офтальмоскопії видно не буде.[85][88]
Особливо важливим є діагноз ішемій пов'язаних з артеріїтом, які відносяться до невідкладних станів[85].
Неврити
Неврит зорового нерва — це нейропатія, у якій провідну і первинну роль відіграє запалення. Якщо запалення зачіпає диск зорового нерва, то на очному дні будуть наявні зміни диска, а для опису самого запалення можуть використовувати термін «папіліт». У 65 % запалення локалізовано поза внутрішньоочною частиною, а диск при фундоскопії виглядає нормально. У такому випадку використовують термін «ретробульбарний неврит».[89] Найчастіше неврит зорового нерва виникає у хворих на розсіяний склероз та зоровий нейромієліт[90].
У випадку розсіяного склерозу пацієнти зазвичай скаржаться на раптове сильне монокулярне погіршення зору та сильний біль, який виникає при рухах очима. Паралельно може бути наявна інша неврологічна симптоматика, адже при розсіяному склерозі уражається будь-який відділ ЦНС. Через деякий час настає повне або часткове відновлення функцій.[74][89][91]
У випадку зорового нейромієліту зазвичай разом з гострим білатеральним порушенням зору у пацієнта виникає параплегія. Диск зорового нерва може бути як зміненим, так і нормальним. Через деякий час зір частково відновлюється.[90][92]
Щодо решти інфекційних та аутоімунних захворювань, то вони уражають нерв значно рідше. Серед інфекцій варто виділити сифіліс та туберкульоз, а також синусити, у випадку яких інфекція може розповсюдитися на нерв, зважаючи на близьке розташування нерва до повітряноносних пазух у зоровому каналі та порожнині черепа. Серед аутоімунних захворювань варто відзначити ще й саркоїдоз.[74]
Спадкові патології
Ряд патологій зорового нерва мають здатність передаватися від батьків до нащадків. Ці захворювання можуть передаватися за автосомно-домінантним, автосомно-рецесивним та мітохондріальними типами успадкування.[93]
Спадкова зорова нейропатія Лебера — це захворювання пов'язане з мітохондріальним типом успадкуванням. Частіше хворіють чоловіки віком 15—35 років. Захворювання починається раптовим погіршенням центрального зору, без больових відчуттів. Погіршення зазвичай сильне, аж до виникнення центральної скотоми. При огляді очного дна можна побачити класичну тріаду: телеангіектазії судин довкола диска зорового нерва, псевдонабряк диска та відсутність витоку контрастного агента при виконанні флюоросцентної ангіографії. Через деякий час така ж симптоматика виникає і в іншому оці. Доволі часто патологія проявляється одночасно в обидвох очах.[93][94]
Найбільш частою спадковою патологією, пов'язаною із зоровим нервом, є автосомно-домінантна зорова нейропатія К'єра, яка пов'язана з мутацією гена OPA1. Найчастіше проявляється у першій декаді життя. Одночасно страждають обидва ока. Страждає насамперед центральний зір, гострота якого може помірно або сильно знижуватися, аж до виникнення центральної чи парацентральної скотом. Окрім цього наявна дисхроматопсія. У порівнянні зі спадковою зоровою нейропатією Лебера втрата зору розвивається повільніше, проте кінцева симптоматика подібна в обидвох патологій.[93][95]
Вроджені патології

Найчастішою вродженою патологією є гіпоплазія зорового нерва. При ній у зоровому нерві наявна менша, порівнюючи з нормою, кількість аксонів, при огляді очного дна зоровий диск зменшений у розмірі та, зазвичай, але не завжди, оточений двома кільцями: зовнішнім — ділянкою оголеної решітчастої пластинки — та внутрішнім — нервовими волокнами сітківки. Гіпоплазія зорового нерва може бути випадковою знахідкою і клінічно не проявлятися. Діагноз ставиться на основі зменшеного у розмірах диска, дефектів полів зору, зниженої гостроти зору (якщо така наявна). До симптомів можуть додатися інші неврологічні чи дисгормональні порушення, оскільки гіпоплазія зорового нерва часом пов'язана з вадами розвитку інших відділів ЦНС, у тому числі гіпофіза.[96][97] Нейроендокринні порушення виникають ще й через порушену регуляцію гіпофіза зоровим нервом. Окрім того, виникають порушення сну, харчування, терморегуляції.[98] Гіпоплазія може бути повною та частковою[97].
Ще рідше розвивається аплазія зорового нерва — повна відсутність зорового нерва. У такому випадку, на стороні, де відсутній нерв, око буде повністю сліпим. Патологія може бути одно- або двобічною.[97][99]
Колобома диска зорового нерва — це заглибина у диска зорового нерва, чітко обмежена та типово розміщена внизу диска. Може виникати спонтанно або бути генетично зумовленою. Вада проявляється по-різному: від помірного до сильного зниження зору. Окрім того, при колобомі різко зростає ймовірність відшарування сітківки.[97][100]
Синдром «іпомеї», або синдром «morning glory»,[101] характеризується наявністю великої лійкоподібної заглибини у диска зорового нерва, сам диск зорового нерва збільшений у розмірах. Поверх заглибини розміщена гліальна тканина. Довкола диска порушена пігментація сітківки, від заглибини радіально відходять судини. Частіше хворіють жінки. Зір різко знижений. Окрім того, при цій патології зростає ризик відшарування сітківки.[101][102]

Друзи диска зорового нерва — це утворення в товщі диска зорового нерва, білявого кольору, які являють собою відкладення солей кальцію. Причиною цьому накопиченню є порушений аксональний транспорт, з наступною кальцифікацією мітохондрій. У дітей друзи розташовані у товщі диска зорового нерва, що може ускладнити їх діагностику. У дорослих частина друзів, через неспинну кальцифікацію, візуально розташовані поверхнево. У більшості випадків друзи перебігають без симптомів. У ряді випадків можливий повільний розвиток дефектів полів зору чи погіршення гостроти зору.[103]
Травматичні нейропатії
Травми зорового нерва бувають прямими, коли внаслідок дії травматичного чинника безпосередньо порушується анатомічна цілісність нерва, та непрямими, коли проникнення безпосередньо не спричинило пошкодження нерва, проте його наслідки (гематома, набряк, тощо) ушкоджують нерв[104][105]. Серед усіх частин найбільшому ризику травматизації підлягає канальна частина нерва, оскільки вона знаходиться в обмеженому кісткою вузькому просторі. Очноямкова частина захищена жировою клітковиною, а внутрішньочерепна — кістками черепа та тканиною мозку, відповідно ці частини ушкоджуються рідше. Травматична нейропатія може виникнути як при локальному ушкодженні, так і при травмі голови.[106]
У випадку прямої травми втрата зору, зазвичай повна сліпота, зберігається назавжди. У випадку непрямої травми шанси на одужання значно вищі. Симптоматика буде складатися з ознак травми (синці, переломи, деформації, рани) та симптомів нейропатії зорового нерва: змін диска зорового нерва, наявності скотом, форма яких залежатиме від того, які волокна пошкоджені, відсутності зіничного рефлексу, погіршення кольорового зору.[104][106]
Токсичні та аліментарні нейропатії
Ряд ліків (етамбутол, ізоніазид, аміодарон, лінезолід) та речовин (метиловий спирт, етиловий спирт, тютюн) здатні спричиняти нейропатію зорового нерва. Окрім того, вживання алкоголю та тютюну може привести до дефіциту вітамінів B1, B2, B3, B6 та B12, що теж провокує розвиток нейропатії зорового нерва. Дефіцит цих вітамінів не обов'язково виникає через вживання алкоголю чи куріння. Недостатнє їхнє надходження з харчовими продуктами також може провокувати розвиток патології.[107][108]
При токсичних та аліментарних нейропатіях симптоми проявляються білатерально, насамперед страждає центральний та кольоровий зір (через пошкодження папіло-макулярного пучка) з виникненням центральних скотом. Диск зорового нерва, у залежності від нозології, може бути набряклим, блідим чи гіперемованим. Перебіг токсичної нейропатії зорового нерва може бути гострим та хронічним.[107][109]
Серед гострих отруєнь найчастіше трапляється отруєння метиловим спиртом. Спочатку може виникати позитивна симптоматика у вигляді фотопсій, проте з часом гострота зору погіршується, може навіть настати повна сліпота. Через декілька днів зір частково покращується, але за кілька тижнів настає стійке і сильне погіршення зору або сліпота. Прогноз при такому отруєнні несприятливий.[107][110]
Хронічна токсична нейропатія зорового нерва найчастіше виникає при вживанні алкоголю та курінні. Розвиток симптоматики розтягнений у часі. Ушкоджується папіло-макулярний пучок, що веде до погіршення центрального зору, виникнення центральної скотоми, погіршується кольоровий зір, проте цілковита сліпота не настає.[107][110]
Пухлини

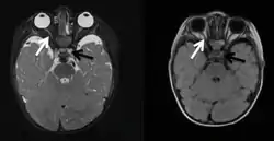
A) Косина та екзофтальм
B) Атрофія правого диска зорового нерва
C) Гліоми на МРТ
D) Пошкодження середнього мозку на МРТ.

B) Гліома зорового нерва (стрілочками показане розширення власне зорового нерва).
Розрізняють пухлини власне зорового нерва (гліома, гангліогліома, медулоепітеліома, гемангіобластома) та пухлини оболон нерва (менінгіома, гемангіоперицитома)[111].
Найчастішою пухлиною, яка походить з клітин нерва, є гліома, яка зазвичай доброякісна. Найчастіше вона виникає у перші десять років життя. Більшість пухлин виникає спорадично та лише з одного боку, проте гліома зорового нерва може бути пов'язана з нейрофіброматозом I типу. В останньому випадку вона може проявлятися як двобічний процес. Поступово виникає однобічне зниження гостроти зору, обмеження полів зору, екзофтальм, косина, больові відчуття відсутні. При огляді очного дна видніється набряклий диск зорового нерва. Через стискання нерва може виникнути його атрофія, оклюзія центральної вени сітківки та неоваскулярна глаукома.[111][112]
Значно рідше діагностують злоякісну гліому. Виникає вона у дорослих осіб. У випадку ураження передньої частини виникатиме симптоматика, подібна до клініки ретробульбарного невриту: одностороннє погіршення зору з болем. Наявний набряклий диск зорового нерва. Стрімко розвивається атрофія нерва, оклюзія центральної вени сітківки та неоваскулярна глаукома. Через 5-6 тижнів процес з однобічного перетворюється у двобічний, що веде до стрімкої повної втрати зору. Паралельно пухлина метастазує у різні відділи ЦНС, провокуючи різноманітний неврологічний дефіцит. У випадку ураження задньої частини нерва симптоматика відрізнятиметься лише відсутністю змін при офтальмоскопії.[111][112]
Серед пухлин, які розвиваються з оболон зорового нерва, провідне місце належить менінгіомі. Симптоматика характеризуватиметься поступовим однобічним безбольовим погіршенням зору. Зміни на очному дні можуть виникати у випадку розташування пухлини в очноямковій частині нерва. З часом пухлина розростається та провокує екзофтальм і розвиток оклюзії судин, які проходять в товщі нерва.[111][113]
Зоровий нерв та внутрішньочерепний тиск
Пухлини головного мозку, абсцеси, набряки, гематоми, артеріо-венозні мальформації, порушення в системі ліквородинаміки, тромбози венозних пазух чи вен головного мозку — усі ці процеси ведуть до підвищення внутрішньочерепного тиску[114]. Оскільки зоровий нерв у своїй гістологічній будові є більше продовженням головного мозку, ніж нервом у класичному розуміння цього слова, то підвищення внутрішньочерепного тиску впливатиме і на зоровий нерв. Результат цього впливу — це набряк зорового нерва. Зміни на очному дні, які виникають за умов підвищення внутрішньочерепного тиску, описують під терміном «застійний диск зорового нерва», або «папіледема». На відміну від описаних вище патологій, набряк диска зорового нерва не є окремою хворобою, а тільки симптомом, який супроводжує іншу патологію, що провокує внутрішньочерепну гіпертензію.[115][116]
Клінічно набряк диска зорового нерва проявляється як двостороннє погіршення гостроти зору різної важкості, яке проходить через декілька секунд, інколи годин.[115]. Проте, якщо причина внутрішньочерепної гіпертензії не полікована, набряк диска може хронічно перебігати, що веде до суттєвого погіршення гостроти зору, поступового обмеження полів зору, дисхроматопсії[117]. Окрім того, окрім очних симптомів, внутрішньочерепна гіпертензія перебігає і з іншими симптомами, такими, як головний біль, нудота, блювання[115].
Зважаючи на дані при огляді очного дна, набряк зорового диска ділиться на чотири стадії, кожна з яких характеризується своєю отфтальмоскопічною картиною, симптоматикою та прогнозом:
| Стадія/на фотографії | Офтальмоскопічна характеристика | Симптоми | Фотографія |
|---|---|---|---|
| I (A) | Диск гіперемований, краї диска можуть бути припіднятими та розмитими, поодинокі крововиливи, судини на поверхні диска можуть бути нерівномірно розширені, зникнення пульсації судин. | Початкова стадія патологічного процесу, яка перебігає безсимптомно. | ![]() |
| II (B) | Диск розмитий та сильно збільшений у своїх розмірах, набряк виходить за межі диска та переходить на сітківку, наявні крововиливи та ексудати на поверхні диска, чітко видно припіднятість країв диска (диск «занурюється у склисте тіло»), судини довкола диска покручені, довкола диска видно складки сітківки (лінії Пейтона). | Гостра стадія процесу. Може перебігати безсимптомно, або проявлятися сильними транзиторними погіршеннями зору, які минають протягом декількох секунд. | |
| III (C) | Зникнення фізіологічної чаші, збліднення диска внаслідок спазму судин, поява замість ексудатів та крововиливів конгломератів мукополісахаридів та глюкозоамінгліканів — крохмальних тілець (лат. corpora amylacea). | Хронічна стадія процесу. Сильне погіршення центрального зору та яскраво виражені обмеження полів зору. | |
| IV (D) | Ознаки вторинно атрофованого диска: сіруватий диск із розмитими краями. | Кінцева стадія усього процесу. Період виникнення — від кількох тижнів до кількох років. Характеризується незворотними важкими порушеннями зору. | |
| Примітки:[118][119][120][121][122] | |||
Як вже було сказано, найчастіше набряк є двостороннім. Проте бувають випадки, коли набряк розташований тільки з одного боку. Так, у літературі широко описаний синдром Фостера-Кеннеді. Цей синдром виникає при пухлинах, які локалізовані у лобній частці головного мозку. Пухлина стискає зоровий нерв на своїй стороні, що проявлятиметься атрофією нерва при огляді очного дна, а на іншій оці можна побачити застійний диск, оскільки пухлина провокує внутрішньочерепну гіпертензію.[117][123] Описаний також і псевдосиндром Фостера-Кеннеді (наявність атрофії та застійного диска при відсутності пухлини). Причиною атрофії у тому випадку стала вроджена гіпоплазія зорового нерва.[124].
Слід розрізняти набряк диска від псевдонабряку диска. Причиною псевдонабряку найчастіше є друзи. Диск при псевдонабряку подібний до такого при набряку, відмінними рисами є:
- наявність пульсації судин;
- відсутність нерівномірних розширень судин;
- відсутність фізіологічної чаші;
- відсутність крововиливів та ексудатів.[125]
При псевдонабряку симптоми з боку зору (звуження полів зору, зниження гостроти зору) виникають рідко.[126]
Атрофія зорового нерва

Більшість перелічених вище хвороб та патологічних станів ведуть до одного наслідку — до атрофії зорового нерва. Під атрофією розуміють загибель та втрату гангліонарних клітин та аксонів. Атрофію можна класифікувати за трьома принципами: етіологічним, патологічним та офтальмоскопічним.[127]
Етіологічний принцип класифікує атрофії, у залежності від причин, які ці атрофії спричинили: спадкова, травматична, метаболічна, запальна та інші атрофії[127].
Патологічний принцип розділяє атрофії на три види[127]:
- антеградна атрофія, спричинена волерівською дегенерацією аксонів, виникає за умов локалізації патологічного вогнища у передніх відділах нерва, або у сітківці (гангліонарних клітинах); дегенеративний процес прямує у напрямку до ЦНС;
- ретроградна атрофія виникає за умов пошкодження нерва у дистальній частині, прямує від ЦНС у напрямку до ока;
- транссинаптична атрофія виникає тоді, коли здоровий нейрон, пов'язаний синапсом із загиблим нейроном, гине також.
Найчастіше користуються офтальмоскопічною класифікацією, яка виділяє первинну та вторинну атрофії[127][128]:
- первинна атрофія характеризується наявністю білого чітко обмеженого диска, меншого в своїх розмірах, у порівнянні з нормою; причини атрофії різноманітні: запалення, пухлини, токсичні пошкодження, спадкова патологія, травма;
- вторинна атрофія характеризується диском з розмитими межами сіруватого кольору; є наслідком застійного диска; через кілька років розрізнити чи це первинно, а чи вторинно атрофований диск, неможливо.
Слід зауважити, що атрофія може бути повною, коли весь диск є атрофованим, та частковою, коли лише певна його частина піддається атрофії[128]. Так, атрофія скроневої частини диска дуже часто виникає при розсіяному склерозі[127].
Проблема регенерації зорового нерва
На відміну від інших нервів, які добре регенерують, оскільки є складовою периферичної нервової системи, зоровий нерв практично не відновлює своєї структури та своїх функцій. Зважаючи на важливість зору у житті кожної людини, вчені активно вивчають цю проблему. До того ж вважається, що у випадку успіху можна буде примусити регенерувати будь-яку частину ЦНС[129].
Центральним завданням є захист від загибелі та відновлення популяції гангліонарних клітин сітківки, оскільки саме їхні аксони утворюють зоровий нерв. Ці клітини швидко гинуть при пошкодженні їхніх відростків, а їх регенераційні можливості суттєво обмежені. Досліди Аґуайо довели, що аксони гангліонарних клітин можуть заново рости, але в умовах, наближених до тих, котрі панують в ПНС. На жаль, створити необхідні кондиції можливо лише в умовах лабораторії[129].
У тих же лабораторіях від середини 90-х років XX століття провели велику кількість досліджень in vitro, які пролили світло на процеси відновлення в ЦНС та можливі методи лікування. Зокрема було відкрито важливість запалення як фактору, що прискорює регенерацію аксонів та онкомодуліну, білка, який це запалення в зоровому нерві найсильніше провокує[129], описано методи використання прогеніторів гангліонарних клітин[130], вивчено роль нейротрофічних факторів, детальніше досліджено інгібувальний вплив на регенерацію олігодендроцитів, клітин, які продукують мієлін центрального типу[129], виявлено гени, пов'язані з клітинним відновленням[131]. Попри науковий поступ, станом на 2018 усі ці здобутки не використовуються у практиці та перебувають на рівні перспективних досліджень, виконуваних здебільшого на тваринах[130].
Історія уявлень та досліджень
Античність
Першу класифікацію черепних нервів створив Гален, у ній зоровий нерв був першим черепним нервом[132]. Гален також чітко усвідомлював важливість нерва для забезпечення зору, зважаючи на зв'язок нерва з оком. Проте, він помилково вважав, що зоровий нерв є «каналом» (poroi optikoi). Він описував порожнину нерва, у якій пневма, життєва сила, прямує зі шлуночків мозку до ока, виходить із нього, взаємодіє із зовнішнім середовищем, несе у собі «відбитки об'єктів» та повертається по «каналі» назад до третього шлуночка. Саме в такий спосіб вона породжує можливість бачити[133][134]. Такі уявлення про «канали», згідно з його записами, він почерпнув у Герофіла (вперше описав нерв) та Ерасистрата.[133][135] До того ж Гален вважав, що продовженням зорового нерва є сітківка, яка служить для живлення склистого тіла та кришталика[134].

Середньовіччя
Навіть після падіння Римської імперії уявлення Галена залишалися єдиними вірними у середньовічному світі. Насамперед вони були опрацьовані та доповнені в арабському світі. Хунайн ібн-Ісхак, який був видатним середньовічним офтальмологом, загалом підтримував ідею про пневму, її взаємодію з світлом, наявність каналу в нерві. У своїй «Книзі десяти трактатів про око» він також надає перші анатомічні зображення ока та зорового нерва. Основні поняття Галена підтримували такі видатні лікарі-науковці, як Ар-Разі та Авіценна. Вони також вперше висловили думку про те, що волокна зорового нерва переходять на протилежну сторону в ділянці зорового перехреста.[133][134]

Поняття про пневму широко використовувалося й у християнській Європі. Гійом Коншський, французький середньовічний філософ, запровадив поняття «феномену поганого ока», яке ґрунтувалося на понятті пневми: погляд хворої особи міг спричинити захворювання, оскільки погляд останнього направляв «хвору пневму», до того ж споглядач міг втратити зір, якщо дивився на когось із очними захворюваннями, адже у такому випадку його здорова «пневма» перемішувалась із хворобливою.[133].
У 1302 році відбувся перший легальний розтин. Мондіно де Луцці, який його виконав, зберіг ту ж класифікацію черепних нервів, що й Гален і, відповідно, зоровий нерв залишився I парою черепних нервів.[132]
Новий час
Епоха Відродження та Новий час принеси бурхливу еволюцію уявлень щодо зорового нерва. Везалій першим засумнівався у порожнистій структурі нерва, проте офіційно не посмів піти проти вчення Галена. Габрієль Фаллопій і Волхер Койтер пішли шляхом заперечень. Вони першими заговорили про те, що зоровий нерв формують волокна. Проте, ці волокна у їхній уяві мали порожнини, по якій рухалась специфічна речовина (пневма), яка уможливлювала зір. Подібних уявлень дотримувався і Рене Декарт, який описував тісний функціональний зв'язок зорового нерва та епіфіза у забезпеченні зору.

Зовсім інші уявлення мав Левенгук, який, використовуючи мікроскоп, не зміг знайти описані попередниками канали. Він вважав, що у цих волокнах колись могла бути порожнина, проте вони спалися внаслідок втрати рідини. Сам того не знаючи, Левенгук, описуючи щілини на місці порожнин, що спалися, описав аксони зорового нерва. Ідею про відсутність каналів та наявність твердих ниткоподібних утворів — волокон — фізично обґрунтував Ісаак Ньютон. Остаточно теорія про порожнину у нерві зникла після досліджень Альбрехта фон Галлера та його учня, Йоганна Готфріда Цинна.
Протягом XVIII—XIX століть теорія про пневму остаточно віджила своє та поступилася електричній теорії проведення збудження по нервах (у тому числі й по зоровому).
Едм Маріотт та Крістоф Шайнер першими описали сліпу пляму.
Змінилися погляди щодо важливості зорового нерва. Якщо Гален головним у забезпеченні зору бачив кришталик, то Фелікс Платер першим заявив, що зір — прерогатива насамперед здорового зорового нерва та сітківки.
Змінюється і позиція нерва в анатомічній класифікації: Масса, ван Горн, а потім і Вілліса — усі вони змістили зоровий нерв на другу позицію, а на першу поставили нюховий нерв. Такою вона збереглася й у класифікації Земмерінга, яку використовують зараз. Існували й екзотичні класифікації. Так, Бенедетті у 1502 році у Historia corporis humani об'єднав зоровий та окоруховий нерви в одну пару з першим порядковим номером. Остаточно своє друге місце нерв посів у 1778 році, коли Земмерінг створив класифікацію черепних нервів, якою послуговуються досі.[4][133]
Термінологія
У своїх працях Гален використовував порядкові числівники для опису нервів, проте привів прикметник «opticus», який є похідним грецького «opticos». Він зазначив, що такий прикметник використовували його попередники. Саме слово «opticos» можна зустріти ще в працях Арістотеля. Гален не приводив ніяких назв, даючи лише опис нервів. Зоровий нерв він описував як «нерв, який прямує від мозку до ока».
Прикметник зберігся через віки й широко використовувався анатомами. Естьєн у 1545 році надав два можливих варіанти назви нерва — nervus opticus та nervus visorius. Тільки останній варіант у своїх працях використовував Везалій, проте всі його наступники використовували «opticus». Власне таким термін використав Земмерінг у своїй класифікації, таким термін був прийнятий у 1895 році, при прийнятті в Базелі уніфікованої анатомічної номенклатури, таким термін залишився при перегляді анатомічної номенклатури 1998 року[135][136].
Примітки
- Головацький, 3 том, 2009, с. 9-11.
- Вит, 2003, с. 601.
- Vojniković B, Bajek S, Bajek G, Strenja-Linić I, Grubesić A (2013). Is the term "fasciculus opticus cerebralis" more justifiable than the term "optic nerve". Collegicum antropologicum 37: 3–8.(англ.)
- D. Taylor (2005). Optic nerve axons: life and death before birth. Eye 19: 499–527.(англ.)
- Paxinos, 2011, с. 15.
- Вит, 2003, с. 602.
- Paxinos, 2011, с. 16-17.
- Вит, 2003, с. 269.
- Hayreh, 2011, с. 7.
- Головацький, 2009, с. 13-14.
- Вит, 2003, с. 274.
- Вит, 2003, с. 273.
- Willson-Pawells, 2010, с. 31.
- Hayreh, 2011, с. 8.
- Вит, 2003, с. 271-273.
- Вит, 2003, с. 278.
- Hayreh, 2011, с. 21.
- Вит, 2003, с. 277.
- Вит, 2003, с. 278-279.
- Hayreh, 2011, с. 25.
- Hayreh, 2011, с. 27-28.
- Вит, 2003, с. 279.
- Willson-Pawells, 2010, с. 28-29.
- Willson-Pawells, 2010, с. 33-35.
- Paxinos, 2011, с. 1305-1309.
- Nieuwenhuys, 2008, с. 781.
- Central Visual Pathways (англ.). Архів оригіналу за 9 лютого 2016. Процитовано 9 лютого 2016.
- Roland A. Giolli, Robert H.I. Blanks, Fausta Lui (2006). The accessory optic system: basic organization with an update on connectivity, neurochemistry, and function. Progress in Brain Research 151: 407–440. PMID 16221596. doi:10.1016/S0079-6123(05)51013-6.(англ.)
- Michael C. Brodsky (2012). The Accessory Optic System: The Fugitive Visual Control System in Infantile Strabismus. Archives of Ophthalmology 130 (8): 1055–1058. doi:10.1001/archophthalmol.2011.2888.(англ.)
- Paxinos, 2011, с. 331.
- Вит, 2003, с. 280-281.
- Hayreh, 2011, с. 69-70.
- Hayreh, 2011, с. 68-69.
- Hayreh, 2011, с. 64.
- Hayreh, 2011, с. 42.
- Hayreh, 2011, с. 40-41.
- Hayreh, 2011, с. 36-38.
- Hayreh, 2011, с. 39-40.
- Вит, 2003, с. 283-284.
- Hayreh, 2011, с. 64-67.
- Hayreh, 2011, с. 63.
- Mark J. Kupersmith. Neuro-vascular Neuro-ophthalmology. — Berlin : Springer, 1992. — С. 35-36. — ISBN 978-3540556367.
- Hayreh, 2011, с. 28-29.
- Tubbs, 2015, с. 279.
- Paxinos, 2011, с. 1305.
- Вит, 2003, с. 268-271.
- Вит, 2003, с. 276.
- Hayreh, 2011, с. 29-33.
- Brazis, 2011, с. 137.
- Вит, 2003, с. 279-280.
- Hayreh, 2011, с. 26.
- Вит, 2003, с. 208.
- Hayreh, 2011, с. 24.
- Вит, 2003, с. 285-286.
- Hayreh, 2011, с. 79.
- Hayreh, 2011, с. 80.
- Hayreh, 2011, с. 81-82.
- Willson-Pawells, 2011, с. 43-44.
- Willson-Pawells, 2011, с. 64-65.
- Вит, 2003, с. 500.
- Agnes M.F. Wong. Eye Movement Disorders. — New York : Oxford University Press, 2007. — С. 16. — ISBN 978-0-19-532426-6.
- Willson-Pawells, 2011, с. 28-29.
- Erin E. Flynn-Evans, Homayoun Tabandeh, Debra J. Skene, Steven W. Lockley (2014). Circadian Rhythm Disorders and Melatonin Production in 127 Blind Women with and without Light Perception. Journal of Biological Rhythms 29 (3): 215–224. doi:10.1177/0748730414536852.
- S A Rivkees, C Fink, M Nelson, M Borchert (2010). Prevalence and risk factors for disrupted circadian rhythmicity in children with optic nerve hypoplasia. British Journal of Ophtalmology 94: 1358–1362. doi:10.1136/bjo.2009.175851.
- P. Riordan-Eva (2004). Clinical assessment of optic nerve disorders. Eye 18: 1161–1168. doi:10.1038/sj.eye.6701575.(англ.)
- Willson-Pawells, 2011, с. 45.
- Brazis, 2011, с. 145-149.
- Evelyn C. O’Neill, Helen V. Danesh-Meyer, Paul P. Connell, Ian A. Trounce, Michael A. Coote, David A. Mackey and Jonathan G. Crowston (2010). The optic nerve head in acquired optic neuropathies. Nature Reviews Neurology 6: 221–236. doi:10.1038/nrneurol.2010.5.(англ.)
- Amaurosis. TheFreeDictionary. Процитовано 15 лютого 2016.
- Hayreh, 2011, с. 148-152.
- Willson-Pawells, 2010, с. 50-52.
- Hayreh, 2011, с. 153.
- Tubbs, 2015, с. 294-295.
- Helmut Wilhelm, Martin Schabet (2015). The Diagnosis and Treatment of Optic Neuritis. Deutsches Ärzteblatt International 112 (37). doi:10.3238/arztebl.2015.0616.
- Blinder, 2010, с. 16.
- Blinder, 2010, с. 17.
- Blinder, 2010, с. 19.
- Hayreh, 2011, с. 158-160.
- Tubbs, 2015, с. 292-293.
- Khaled Abu-Amero, Altaf A. Kondkar, Kakarla V. Chalam (2015). An Updated Review on the Genetics of Primary Open Angle Glaucoma. International Journal of Molecular Sciences 16 (12): 28886–28911. doi:10.3390/ijms161226135.(англ.)
- Giedrius Kalesnykas, Ericka N. Oglesby, Donald J. Zack, Frances E. Cone, Matthew R. Steinhart, Jing Tian, Mary E. Pease, Harry A. Quigley (2012). Retinal Ganglion Cell Morphology after Optic Nerve Crush and Experimental Glaucoma. Investigative Ophthalmology & Visual Science 53 (7): 3847–3857. doi:10.1167/iovs.12-9712.(англ.)
- Teresa C. Chen (2009). Spectral Domain Optical Coherence Tomography in Glaucoma: Qualitative and Quantitative Analysis of the Optic Nerve Head and Retinal Nerve Fiber Layer (An AOS Thesis). Transactions of the American Ophthalmological Society 107: 254–281.(англ.)
- Комарова С.С., Безпалько Ю.Є., Комарницька І.І., Рубаник Є.В. (2013). Гострий напад глаукоми. Актуальні питання своєчасної діагностики та невідкладної допомоги. Медицина невідкладних станів 2 (49): 115–116.
- Hayreh, 2011, с. 2.
- Valérie Biousse, M.D., Nancy J. Newman. Ischemic Optic Neuropathies. The New England Journal of Medicine 215: 2428–2436. doi:10.1056/NEJMra1413352.
- Hayreh, 2011, с. 175.
- João Lemos, Eric Eggenberger (2015). Neuro-Ophthalmological Emergencies. The Neurohospitalist 5 (4). с. 223–233. doi:10.1177/1941874415583117.
- Hayreh, 2011, с. 437-443.
- Brazis, 2011, с. 161.
- D. Pau, N. Al. Zubidi, S. Yalamanchili, G. T. Plant, A. G. Lee (2011). Optic neuritis. Eye 25 (7): 833–842. doi:10.1038/eye.2011.81.
- Alastair Compston, Alasdair Coles (2008). Multiple Sclerosis. Lancet 372 (9648): 1502–1517. doi:10.1016/S0140-6736(08)61620-7.
- Brazis, 2011, с. 162.
- N. J. Newman, V. Biousse (2004). Hereditary optic neuropathies. Eye 18. doi:10.1038/sj.eye.6701591.
- Chan, 2014, с. 213-215.
- Chan, 2014, с. 222-223.
- Chan, 2014, с. 249-250.
- D. Taylor (2007). Developmental abnormalities of the optic nerve and chiasm 21. с. 1271–1284. doi:10.1038/sj.eye.6702851.
- Pamela Garcia-Filion, Mark Borchert (2013). Optic Nerve Hypoplasia Syndrome: A Review of the Epidemiology and Clinical Associations. Current Treatment Options in Neurology 15 (1): 78–89. doi:10.1007/s11940-012-0209-2.
- Michael C. Brodsky, Sean-Paul A. Atreides, John L. Fowlkes, Olof H. Sundin (2004). Optic Nerve Aplasia in an Infant With Congenital Hypopituitarism and Posterior Pituitary Ectopia. Archives of Ophthalmology 122 (1): 125–126. doi:10.1001/archopht.122.1.125.
- Chan, 2014, с. 254-255.
- Т. А. Красновид, Н. П. Грубник (2011). Сочетание синдрома "morning glory" (синдрома "ипомея") с персистирующей гиалоидной артерией. Офтальмологічний журнал 6: 53–55.
- Chan, 2014, с. 253-254.
- Chan, 2014, с. 257-261.
- Kristian Samardzic, Josip Samardzic, Zeljka Janjetovic, Ivan Samardzic, Sandra Sekelj, Leila Latic-Hodzic (2012). Traumatic Optic Neuropathy: to treat or to observe. Acta Informatica Medica 20 (2): 131–132. doi:10.5455/aim.2012.20.131-132.
- Arjunan Muthu Kumaran, Gangadhara Sundar, Lim Thiam Chye (2015). Traumatic Optic Neuropathy: A Review. Craniomaxillofacial Trauma & Reconstruction 8 (1): 31–41. doi:10.1055/s-0034-1393734.
- Bachi T Hathiram, Vicky S Khattar, Supriya Rode (2011). Traumatic Optic Neuropathy. Otorhinolaryngology Clinics - An International Journal 3 (3): 188–196. doi:10.5005/jp-journals-10003-1080. Архів оригіналу за 12 березня 2016. Процитовано 6 липня 2019.
- Pradeep Sharma, Reena Sharma (2011). Toxic optic neuropathy. Indian Journal of Ophtalmology 59 (2): 137–141. doi:10.4103/0301-4738.77035.
- Evelyn C. O'Neill, Helen V. Danesh-Meyer, Paul P. Connell, Ian A. Trounce, Michael A. Coote, David A. Mackey, Jonathan G. Crowston (2010). The optic nerve head in acquired optic neuropathies. Nature Reviews Neurology 6: 221–236. doi:10.1038/nrneurol.2010.5.
- Andrew A. Dahl et al. Toxic/Nutritional Optic Neuropathy (англ.). Medscape. Процитовано 11 березня 2016.
- Г. Д. Жабоєдов, М. М. Сергієнко. Очні хвороби. — Київ : Здоров'я, 1999. — С. 177. — ISBN 978-5-311-01155-6.
- N. R. Miller (2004). Primary tumours of the optic nerve and its sheath. Eye 18. с. 1026–1037. doi:10.1038/sj.eye.6701592.
- Akshay Gopinathan Nair, Rima S. Pathak, Veena R. Iyer, Rashmin A. Gandhi (2014). Optic nerve glioma: an update. International Ophthalmology 34 (4). с. 999–1005. doi:10.1007/s10792-014-9942-8.
- J. Shapeya, H.I. Sabinb, H.V. Danesh-Meyerd, A.H. Kaye (2013). Diagnosis and management of optic nerve sheath meningiomas. Journal of Clinical Neuroscience 20 (8). с. 1045–1056. doi:10.1016/j.jocn.2013.03.008.
- Chan, 2014, с. 82.
- Chan, 2014, с. 77.
- Mitchell V. Gossman, Hampton Roy. Papilledema (англ.). Medscape. Архів оригіналу за 20 березня 2016. Процитовано 20 березня 2016.
- Chan, 2014, с. 80.
- Г. Д. Жабоєдов, М. М. Сергієнко. Очні хвороби. — Київ : Здоров'я, 1999. — С. 179. — ISBN 978-5-311-01155-6.
- Ulrich Schiefer, Helmut Wilhelm, William Hart. Clinical Neuro-Ophthalmology: A Practical Guide. — Berlin : Springer, 2007. — С. 110-111. — ISBN 978-3540327066.
- Chan, 2014, с. 77-79.
- Sunita Agarwal, Athiya Agarwal, David J Apple, Lucio Buratto, Jorge L Alió. Textbook of Ophthalmology. — New Dehli : Lippincott Williams & Wilkins, 2002. — С. 361-364. — ISBN 978-9350259948.
- Brazis, 2011, с. 158.
- Natalia Pastora-Salvador, Jesus Peralta-Calvo (2011). Foster Kennedy syndrome: papilledema in one eye with optic atrophy in the other eye. Canadian Medical Association Journal 183 (18): 2135. doi:10.1503/cmaj.101937.
- Shveta Bansal, Timothy Dabbs, Vernon Long (2008). Pseudo-Foster Kennedy Syndrome due to unilateral optic nerve hypoplasia: a case report. Journal of Medical Case Reports 2 (86). doi:10.1186/1752-1947-2-86.[недоступне посилання з липня 2019]
- Brazis, 2011, с. 159.
- Mitchell V. Gossman. Pseudopapilledema: Clinical Presentation (англ.). Medscape. Процитовано 22 березня 2016.
- Rashmin Gandhi, Hampton Roy. Optic Atrophy (англ.). Архів оригіналу за 21 березня 2016. Процитовано 21 березня 2016.
- Г. Д. Жабоєдов, М. М. Сергієнко. Очні хвороби. — Київ : Здоров'я, 1999. — С. 180-181. — ISBN 978-5-311-01155-6.
- Larry I. Benowitz, Zhigang He, Jeffrey L. Goldberg (2015). Reaching the brain: Advances in optic nerve regeneration. Experimental Neurology (англ.) 287: 1–9. doi:10.1016/j.expneurol.2015.12.015.
- Yin Y., Benowitz L.I. (2018). In Vitro and In Vivo Methods for Studying Retinal Ganglion Cell Survival and Optic Nerve Regeneration. Glaucoma. Methods in Molecular Biology (англ.) 1695: 187–205. doi:10.1007/978-1-4939-7407-8_16.
- Bill Hathaway. Gene jumpstarts regeneration of damaged nerve cells (англ.). Yale News. Архів оригіналу за 10 липня 2018. Процитовано 10 липня 2018.
- J. P. Shaw (1992). A history of the enumeration of the cranial nerves by European and British anatomists from the time of Galen to 1895, with comments on nomenclature. Clinical Anatomy 5 (6): 464–484. doi:10.1002/ca.980050607.(англ.)
- C. Reeves, D. Taylor (2004). A history of the optic nerve and its diseases. Eye 18: 1096–1109. doi:10.1038/sj.eye.6701578.
- Jean J. De Laey (2011). The eye of Vesalius. Acta Ophthalmologica 89 (3): 293–300. doi:10.1111/j.1755-3768.2009.01679.x.
- Simon F, Marečková-Štolcová E, Páč L. (2011). On the terminology of cranial nerves. Annals of Anatomy 193 (5): 447– 452. PMID 21724380. doi:10.1016/j.aanat.2011.04.012.(англ.)
- Matthew C. Davis, Christoph J. Griessenauer (2014). The naming of the cranial nerves: A historical review. Clinical Anatomy 27 (1): 14–19. PMID 24323823. doi:10.1002/ca.22345.(англ.)
Література
- Головацький А. С., Черкасов В. Г., Сапін М. Р., Парахін А. І. Анатомія людини у трьох томах. — Вінниця : Нова Книга, 2009. — Т. 3. — С. 16-24. — 4000 прим. прим. — ISBN 978-966-382-181-8.
- В. В. Вит. Строение зрительной системы человека. — Одесса : Астропринт, 2003. — 664 с. — ISBN 966-318-012-9. (рос.)
- Linda Willson-Pawells, Elizabeth J Akesson, Patricia A. Stewart. Cranial Nerves in Health and Disease. — 3rd. — London : PMPH-USA, 2010. — 247 с. — ISBN 978-1607950318. (англ.)
- R. Shane Tubbs, Elias Rizk, Mohammadali M. Shoja, Marios Loukas, Nicholas Barbaro, Robert J. Spinner. Nerves and Nerve Injuries: Vol 1: History, Embryology, Anatomy, Imaging, and Diagnostics. — Academic Press, 2015. — 700 с. — ISBN 978-0124103900. (англ.)
- Juergen K. Mai, George Paxinos. The Human Nervous System. — 3rd. — London : Elsiever Inc, 2011. — 1432 с. — ISBN 978-0123742360. (англ.)
- Sohan Singh Hayreh. Ischemic Optic Neuropathies. — Berlin : Springer, 2011. — 456 с. — ISBN 978-3-642-11852-4. (англ.)
- Paul W. Brazis, Joseph C. Masdeu. Localization in Clinical Neurology. — 6th. — Philadelphia : Lippincott Williams & Wilkins, 2011. — 668 с. — ISBN 978-1609132811. (англ.)
- R. Nieuwenhuys, J. Voogd, C. van Huijzen. The Human Central Nervous System. — 4-те. — New York : Springer, 2008. — 970 с. — ISBN 978-3-540-34684-5. (англ.)
- Jane W. Chan. Optic Nerve Disorders: Diagnosis and Management. — 2-ге. — New York : Springer, 2014. — 369 с. — ISBN 978-1461406907. (англ.)
- Devin K. Blinder, D. Christian Sonne, Nancy J. Fischbein. Cranial Nerves: Anatomy, Pathology, Imaging. — New-York : Thieme Medical Publishers, Inc, 2010. — 228 с. — ISBN 978-1-58890-402-7. (англ.)
Посилання
- Анатомія нерва на HealthLine (англ.)
- Анатомія нерва на TeachMeAnatomy (англ.)
- Інформація про зоровий нерв на сайті Radiopeadia (англ.)
- Інформація про нерв на сайті Британніки (англ.)
- Зоровий нерв у «Анатомії» Грея (англ.)
- Загальний огляд хвороб зорового нерва на Merckmanual (англ.)
- Що таке дальтонізм? — відео Tokar.ua
|
|
Ця стаття належить до вибраних статей Української Вікіпедії. |



