Дифузний токсичний зоб
Дифузний токсичний зоб (часто асоціюється з термінами: тиреотоксикоз, гіпертиреоїдизм, Базе́дова хворо́ба, хвороба Грейвса, хвороба Перрі, хвороба Флаяні) — захворювання, що виникає в зв'язку з підвищенням функції щитоподібної залози, що призводить до надходження надмірної кількості тироксину до крові.
| Дифузний токсичний зоб | |
|---|---|
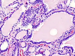
![]() Дифузна гіперплазія тканини щитоподібної залози, що характерно для гіпертиреозу (фарбування гематоксиліном-еозином) Дифузна гіперплазія тканини щитоподібної залози, що характерно для гіпертиреозу (фарбування гематоксиліном-еозином) | |
| Спеціальність | ендокринологія |
| Класифікація та зовнішні ресурси | |
| МКХ-10 | E05.0 |
| OMIM | 275000 |
| MedlinePlus | 000358 |
| eMedicine | med/929 ped/899 |
| MeSH | D006111 |
| SNOMED CT | 353295004 |
| | |
Базедова хвороба докладно описана німецьким лікарем Базедовим (1840).
Етіологія
Виникненню дифузного токсичного зобу сприяють психічні травми, перенесені інфекційні хвороби тощо. Початкову стадію дифузного токсичного зобу виявити важко, але на пізніших стадіях її ознаки стають досить чіткими.
Симптоми

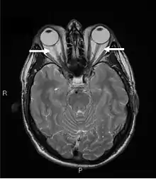
Серцево-судинні розлади: відчуття серцебиття в спокої, прискорення пульсу понад 100 уд/хв, збільшення щитоподібної залози (зоб), підвищення обміну речовин, зокрема основного обміну (тобто посилене споживання кисню), збудження, тремтіння рук, пітливість, схуднення на 10-15 кг та більше, підвищений апетит, екзофтальм (випинання очей), зниження якості життя.[1]
Лікування
Тиреостатики
Тиреостатики — препарати, що блокують тироксин. Найчастіше застосовують похідні 1-Метил-2-меркаптоимидазол (мерказоліл, тирозол та ін), а також пропілтіоурацил у вагітних хворих, що не має вираженого тератогенного впливу. К. Застосування тиреостатиків не може бути довготривалим, адже їх дія лише знімає симптоми тиреотоксикозу, але не ліквідує самого захворювання. Крім того, тиреостатики мають негативний вплив на серцево-судинну систему та при довготривалому застосуванню призводять до кардіоміопатії.
Препарати йоду
Можливе застосування препаратів йоду, зокрема (розчину Люголя) для досягнення ефекту Вольфа-Чайкова, тобто блокування захоплення молекул йоду щитоподібною залозою.
Симптоматичне лікування
Направлене на стабілізацію функції серцево-судинної системи та центральної нервової системи, за допомогою бета-блокаторів (наприклад метопролол, атенолол, пропранолол та ін.).
Хірургічне лікування
Після досягнення еутиреозу та стабілізації серцево-судинної системи, хворим показано оперативне лікування — повне видалення (тиреоїдектомія) або субтотальна резекція щитоподібної залози.
Лікування радіоактивним йодом
Лікування радіоактивним йодом є альтернативним, але менш надійним методом. Суть методу полягає в абляції клітин щитоподібної залози радіоактивним йодом-131.
Література
- Ендокринологія (Онлайн підручник з ендокринології)
.jpg.webp)