Клітина
Кліти́на (лат. cellula — комірка) — структурно-функціональна одиниця всіх живих організмів, для якої характерний власний метаболізм та здатність до самовідтворення. Від середовища, яке її оточує, клітина відмежована плазматичною мембраною (плазмалемою). Розрізняють два типи клітин: прокаріотичні, що не мають сформованого ядра, характерні для бактерій та архей, та еукаріотичні, в яких наявне ядро, властиві усім іншим клітинним формам життя, зокрема рослинам, грибам та тваринам. До неклітинних форм життя належать лише віруси, але вони не мають власного метаболізму і не можуть розмножуватись поза межами клітин-живителів.

Всі організми поділяються на одноклітинні, колоніальні та багатоклітинні. До одноклітинних належать бактерії, археї, деякі водорості і гриби, а також найпростіші. Колоніальні та багатоклітинні організми складаються з великої кількості клітин. Різниця між ними полягає в тому, що колоніальні організми складаються з недиференційованих або слабо диференційованих клітин, які можуть виживати одна без одної. Клітини багатоклітинних організмів більш-менш спеціалізовані на виконанні певних функцій і залежні одна від одної в процесах життєдіяльності. До багатоклітинних організмів належить зокрема і людина, тіло якої складається приблизно з 1013 клітин.
Історія відкриття та дослідження клітин


Більшість еукаріотичних клітин мають розміри до 100 мкм, а прокаріотичні ще на порядок менші, тому людина не може бачити їх неозброєним оком. Відкриття та дослідження клітин стало можливим тільки після винайдення Янсеном оптичного мікроскопа (1590 року).
1665 року, вивчаючи будову корка під мікроскопом, Роберт Гук вперше помітив, що тканина живого організму складається з маленьких комірок. Ці комірки він назвав «клітинами». Гук припускав, що клітини порожні, а живою речовиною є клітинні стінки[1]. Його дослідження стали поштовхом для систематичного вивчення анатомії рослин, зокрема такими науковцями як Мальпігі та Грю. Їхні результати підтвердили висновки Гука про те, що тіло рослин складається із щільно розміщених комірок[2].
Мікроскоп, який використовував Роберт Гук, давав збільшення тільки до 30X, що робило майже неможливим вивчення внутрішньої будови клітин. У другій половині XVII століття торговцю тканинами Антоні ван Левенгуку вдалось змайструвати кращий однолінзовий мікроскоп із збільшенням 300X. З його допомогою Левенгук спостерігав живі клітини, зокрема одноклітинні водорості і найпростіших із ставкової води, бактерії, людські еритроцити та сперматозоїди. Свої відкриття він описав у ряді повідомлень до Лондонського королівського товариства[3].
Подальше дослідження клітин обмежувалось двома факторами: по-перше, мікроскопи у XVIII столітті мали порівняно невелику роздільну здатність, по-друге, біологія в той час мала переважно описовий, а не експериментальний характер. Тому нові досягнення в цій галузі були зроблені аж у 30-х роках XIX століття, коли почали використовуватись дволінзові мікроскопи. Використовуючи такий прилад, англійський ботанік Роберт Браун відкрив 1833 року ядро, як сферичне тільце, наявне в рослинних клітинах[4]. Ян Пуркіньє встановив, що живим компонентом клітини є внутрішній вміст, який він назвав «протоплазмою»[2].
У 1838 році ботанік Матіас Шлейден дійшов важливого висновку, що всі рослинні тканини складаються із клітин, а зародки рослин завжди розвиваються із однієї клітини. Роком пізніше німецький цитолог Теодор Шванн поширив аналогічні висновки і на тканини тварин. Таким чином він став першим, хто встановив фундаментальну схожість між рослинними та тваринними тканинами. На основі накопичених спостережень Шванн створив клітинну теорію, згідно з якою клітина є основною структурною та функціональною одиницею живих організмів[4].
Через 20 років клітинна теорія була доповнена ще одним важливим принципом, встановити який у великій мірі вдалось завдяки дослідженням клітинного поділу Карлом Негелі. 1855 року Рудольф Вірхов довів, що всі клітини утворюються із інших клітин шляхом поділу. Таким чином була встановлена роль клітини як одиниці розмноження живих організмів[4]. До кінця XIX століття було описано всі структури клітини, які можна було вивчати за допомогою оптичного мікроскопа[1]. І тільки у 1950-х роках, коли Паладе, Протер та Шестранд розробили методи фіксації і фарбування біологічних зразків для електронної мікроскопії, стало можливим вивчення ультраструктури клітини[5].
У формуванні сучасної клітинної біології, крім цитології, що зосереджується в першу чергу на будові клітини та її компонентів, важливу роль відіграли такі галузі біологічної науки як біохімія та генетика. Внаслідок стрімкого розвитку цих дисциплін у XX столітті уявлення про життєдіяльність клітин були значно розширені[6].
Клітинна теорія
Клітинну теорію в 1838—1839 роках сформулювали ботанік Матіас Шлейден і зоолог Теодор Шванн. Ці науковці довели принципову подібність між собою тваринних і рослинних клітин, і на основі всіх накопичених до того часу знань постулювали, що клітина є структурною та функціональною одиницею всіх живих організмів. 1855 року Рудольф Вірхов доповнив клітинну теорію твердженням лат. «Omnis cellula ex cellula» — «Кожна клітина — з клітини».
Клітинна теорія є однією із основоположних ідей сучасної біології, вона стала незаперечним доказом єдності всього живого та фундаментом для розвитку таких дисциплін як ембріологія, гістологія та фізіологія. Основні положення клітинної теорії не втратили своєї актуальності, проте від часу створення її було доповнено, і наразі вона містить такі твердження:
- Клітина — елементарна одиниця будови, функціонування, розмноження і розвитку всіх живих організмів, поза межами клітини немає життя;
- Клітина — цілісна система, що містить велику кількість пов'язаних один з одним елементів — органел;
- Клітини різних організмів схожі (гомологічні) за будовою та основними властивостями і мають спільне походження;
- Збільшення кількості клітин відбувається шляхом їх поділу, після реплікації її ДНК: клітина — від клітини;
- Багатоклітинний організм — це нова система, складний ансамбль із великої кількості клітин, об'єднаних та інтегрованих у системи тканин і органів, пов'язаних між собою за допомогою хімічних факторів: гуморальних і нервових;
- Клітини багатоклітинних організмів мають однаковий набір генетичної інформації, але відрізняються за рівнем експресії (роботи) окремих генів, що призводить до їх морфологічної та функціональної різноманітності — диференціації[7].
Слід зазначити, що в різних джерелах кількість та формулювання окремих положень сучасної клітинної теорії можуть відрізнятись.
Методи дослідження клітин
Вперше клітини вдалось побачити тільки після створення світлових мікроскопів, з того часу і досі мікроскопія залишається одним із найважливіших методів дослідження клітин. Використовується світлова (оптична) мікроскопія, що попри свою порівняно невелику роздільну здатність має ту перевагу, що дозволяє спостерігати за живими клітинами. У ХХ столітті була винайдена електронна мікроскопія, що дала можливість вивчити ультраструктуру клітин.
Для вивчення функцій клітин та їх частин використовують різноманітні біохімічні методи як препаративні, наприклад фракціонування методом диференційного центрифугування, так і аналітичні. Для експериментальних та практичних цілей використовують методи клітинної інженерії. Всі згадані методичні підходи можуть використовуватись у поєднанні із методами культури клітин.
Оптична мікроскопія
Завдяки серії лінз, через які проходить світло, світловий мікроскоп забезпечує оптичне збільшення об'єкта максимум у 1000 разів. Чіткість отриманого зображення визначається роздільною здатністю — мінімальною відстанню між двома точками, які ще розпізнаються окремо. Цю характеристику обмежує довжина світлової хвилі. Навіть використовуючи найбільш короткохвильове — ультрафіолетове — світло можна отримати роздільну здатність не менше 200 нм, і цей результат був досягнутий ще в кінці XIX століття. Отже, найменші структури, які можна спостерігати під оптичним мікроскопом, — це мітохондрії і невеликі бактерії, лінійний розмір яких становить приблизно 500 нм. Проте в світловий мікроскоп видно й об'єкти, менші за 200 нм, якщо вони самі випромінюють світло. Цей факт використовують у флуоресцентній мікроскопії, для якої до клітинних структур чи окремих білків приєднують спеціальні флуоресцентні білки або антитіла із флуоресцентними мітками. На якість зображення, отриманого за допомогою оптичного мікроскопа, впливає також контрастність. Її можна збільшити використовуючи різні методи забарвлення клітин. Для вивчення живих клітин використовують фазовоконтрастну, диференційну інтерференційно-контрастну і темнопольну мікроскопію. Конфокальні мікроскопи дозволяють покращити якість флуоресцентних зображень[8][9].





Електронна мікроскопія
У 30-х роках XX століття був сконструйований електронний мікроскоп, в якому замість світла через об'єкт пропускається пучок електронів. Теоретична межа роздільності для сучасних електронних мікроскопів становить близько 0,002 нм, проте із практичних причин для біологічних об'єктів досягається роздільність тільки близько 2 нм. Розрізняють два основні типи електронної мікроскопії: скануючу та трансмісійну. Скануюча електронна мікроскопія (СЕМ) використовується для вивчення поверхні об'єкта. Зразки найчастіше покривають тонкою плівкою золота. СЕМ дозволяє отримувати об'ємні зображення. Трансмісійна електронна мікроскопія (ТЕМ) використовується для вивчення внутрішньої будови клітини. Пучок електронів пропускається через об'єкт, що попередньо обробляється важкими металами, які накопичуються у певних структурах, збільшуючи їхню електронну густину. Електрони розсіюються на ділянках клітини з більшою електронною густиною, внаслідок чого на зображеннях ці області виглядають темнішими[10][9].
Фракціонування клітин
Для встановлення функцій окремих компонентів клітини важливо виділити їх у чистому вигляді. Найчастіше це робиться за допомогою методу диференційного центрифугування. Отримання фракцій клітинних органел починається із руйнування плазмалеми. Утворений гомогенат послідовно центрифугується при різних швидкостях. На першому етапі можна отримати чотири фракції: (1) ядер і великих уламків клітин, (2) мітохондрій, пластид, лізосом і пероксисом, (3) мікросом — пухирців апарату Гольджі та ендоплазматичного ретикулуму, (4) рибосом. У супернатанті залишаться білки та дрібніші молекули. Подальше диференційне центрифугування кожної із змішаних фракцій дозволяє отримати чисті препарати органел, до яких можна застосовувати різноманітні біохімічні та мікроскопічні методи[11][12].
Порівняння еукаріотичної та прокаріотичної клітин
Клітини бактерій, архей та еукаріот відрізняються між собою за рядом ознак. Найбільш суттєвими із таких відмінностей є брак ядра, оточеного мембраною, у прокаріот; також, за деякими винятками, їхня цитоплазма не компартменталізована внутрішніми мембранами. Еукаріотичні клітини, на відміну від прокаріотичних, здатні до екзо- та ендоцитозу, мають актиновий і тубуліновий цитоскелет. Про існування цитоскелету в доядерних стало відомо тільки на початку 1990-х, проте він побудований із інших білків. Бактерії, археї і еукаріоти також відрізняються способами організації спадкової інформації, її реалізації та передачі дочірнім клітинам[13]. Деякі із цих відмінностей підсумовані у таблиці.
| Ознака | Прокаріоти | Еукаріоти |
| Розміри клітин | Середній діаметр 0,5—10 мкм | Середній діаметр 10—100 мкм |
Організація генетичного матеріалу | ||
| Форма, кількість та розташування молекул ДНК | Зазвичай наявна одна кільцева молекула ДНК, розміщена у цитоплазмі | Зазвичай кілька лінійних молекул ДНК — хромосом, локалізованих у ядрі |
| Компактизація ДНК | У бактерій ДНК компактизується без участі гістонів[15]. В архей ДНК асоційована із білками-гістонами[16] | Наявний хроматин: ДНК компактизується у комплексі із білками-гістонами[15] |
| Організація геному | У бактерій економний геном: немає інтронів і великих некодуючі ділянки[17]. Гени об'єднано в оперони[18]. В архей наявні інтронні ділянки особливої структури[19] | У більшості геном не економний: наявна екзон-інтронна організація генів, великі ділянки некодуючої ДНК[17]. Гени не об'єднано в оперони[20] |
Поділ | ||
| Тип поділу | Простий бінарний поділ | Мейоз або мітоз |
| Утворення веретена поділу | Веретено поділу не утворюється | Веретено поділу утворюється |
Органели | ||
| Тип рибосом | 70S-рибосоми | У цитоплазмі — 80S-рибосоми |
| Наявність мембранних органел | Немає оточених мембранами органел; інколи плазмалема утворює випинання всередину клітини | Багато одномембранних та двомембранних органел |
| Тип джгутика | Джгутик простий, не містить мікротрубочок, не оточений мембраною, діаметр близько 20 нм | Джгутики складаються із мікротрубочок, розташованих за принципом «9+2», оточені плазматичною мембраною, діаметр близько 200 нм |
Будова прокаріотичної клітини



Прокаріотичні клітини менші і простіше організовані, ніж еукаріотичні. Їхні розміри переважно коливаються від 1 до 5 мкм у діаметрі[21], проте найменша відома бактерія (мікоплазма) має діаметр близько 0,3 мкм, а найбільша (Thiomargarita namibiensis) — 750 мкм. Найбільш поширені форми прокаріот — сферична (коки) і паличкоподібна (бацили). Інколи клітини прокаріот можуть мати складніші форми: комоподібну (вібріони), спіральну (спірили і спірохети), або утворювати сітку із довгих філаментів (міцелій). Деякі бактерії плейоморфні, тобто можуть змінювати форму[22].
Мембрани прокаріот
Клітини архей і бактерій, як і всі живі клітини, оточені мембранами, побудованими зі ліпідів і білків. Загальний принцип будови їх однаковий у прокаріот та еукаріот (описаний нижче), проте бактерійні мембрани переважно не містять стеролів, таких як холестерол, а в архей ліпіди часто утворюють не бішар, а моношар, пронизуючи всю товщину мембрани[23][24].
Хоч прокаріоти не мають складних мембранних органел, в їхніх клітинах все ж є деякі внутрішні мембрани. Наприклад, мезосоми — вгинання плазмалеми у формі везикул, трубочок і ламел, яким приписували роль в утворенні нових клітинних стінок та розподілі спадкової інформації між дочірніми клітинами під час поділу. Зараз більшість мікробіологів схиляються до думки, що мезосоми — це артефакти, які виникають внаслідок хімічної фіксації під час підготовки зразків до електронної мікроскопії. У фотосинтезуючих бактерій (наприклад, пурпурових і ціанобактерій), а також у бактерій із високою інтенсивністю клітинного дихання (наприклад, нітрифікуючих) площа плазмалеми збільшується завдяки утворенню великої кількості вгинань всередину клітини[25][26].
Цитоплазматичний матрикс
Цитоплазматичний матрикс — це простір між плазмалемою і нуклеоїдом прокаріот. Під електронним мікроскопом у ньому переважно не помітно виражених структур, крім великої кількості рибосом. Рибосоми прокаріот, як і в усіх інших живих організмів, відповідають за здійснення процесу трансляції (одного із етапів біосинтезу білка). Проте бактерійні рибосоми дещо менші за еукаріотичні (коефіцієнти седиментації 70S та 80S відповідно) і мають інший склад білків та РНК. Через це бактерії, на відміну від еукаріот, чутливі до таких антибіотиків як еритроміцин та тетрациклін, що вибірково діють на 70S-рибосоми[27]. У цитоплазмі бактерій та архей можуть розташовуватись різноманітні включення органічних або неорганічних речовин, що переважно слугують для запасання. До органічних включень наявних у різних видів бактерій зокрема належать гранули глікогену, полі-β-гідроксибутирату, ціанофіцину, карбоксисоми, газові вакуолі, до неорганічних — гранули поліфосфатів, магнетосоми[28].
Нуклеоїд
Нуклеоїд — це не відмежована мембранами ділянка цитоплазми неправильної форми, в якій розташована кільцева молекула ДНК — «бактерійна хромосома», де зберігається генетичний матеріал клітини[29]. Нуклеоїд переважно контактує із плазматичною мембраною. Хімічний аналіз показав, що ця структура містить приблизно 60 % ДНК, 30 % РНК і 10 % білків[30].
Крім хромосоми багато прокаріотів містять плазміди — невеликі додаткові кільцеві молекули ДНК, що несуть зазвичай всього декілька генів і не є обов'язковим компонентом клітини. Зазвичай вони надають бактерії певних корисних для неї властивостей, таких як стійкість до антибіотиків, здатність засвоювати з середовища певні енергетичні субстрати, здатність ініціювати статевий процес тощо[30][31].
Клітинна стінка
Клітинна стінка — переважно досить твердий шар, розташований зовні від плазмалеми, майже всіх прокаріот за винятком мікоплазм та деяких архей. Він захищає клітину, надає їй сталої форми, запобігає осмотичному руйнуванню. У бактерій клітинна стінка складається із пептидоглікану (муреїну), що побудований із довгих полісахаридних ланцюгів, з'єднаних між собою короткими пептидними перемичками[32].
У 1884 році Ганс Крістіан Грам винайшов метод зафарбовування бактерій, на основі якого їх було поділено на дві групи: грам-позитивні (фіолетові після зафарбовування) і грам-негативні (рожеві або червоні). Як стало відомо пізніше, в основі такої класифікації лежала різниця у будові клітинної стінки.
- Грам-позитивні бактерії (наприклад роди Staphylococcus, Bacillus, Lactobacillus[33]) мають простішу структуру клітинної стінки, що складається майже виключно із муреїну;
- У грам-негативних бактерій (наприклад роди Salmonella, Escherichia, Azotobacter[33]) клітинна стінка містить менше пептидоглікану і має додаткову зовнішню мембрану, що складається із фосфоліпідів.
Клітинна стінка архей не містить муреїну, а побудована здебільшого з різноманітних білків та полісахаридів[34].
Зовнішні структури
У деяких бактерій наявна слизова оболонка — капсула, розташована зовні від клітинної стінки. Вона складається переважно з різноманітних білків, вуглеводів та уронових кислот. Капсули захищають клітини від висихання, можуть допомагати бактеріям у колоніях утримуватись разом, а індивідуальним бактеріям — прикріплюватись до різних субстратів. Окрім цього капсули надають клітині додатковий захист: наприклад капсульовані штами пневмококів вільно розмножуються в організмі та викликають запалення легень, тоді як некапсульовані швидко знищуються імунною системою і є абсолютно нешкідливими[35].
На поверхні багатьох грам-негативних бактерій наявні тонкі волосоподібні вирости, які не беруть участі у забезпеченні пересування; вони називаються ворсинками або фімбріями. Термін «фімбрії» інколи використовують взаємозамінно з терміном «пілі», хоча останній часом вживають тільки до структур, задіяних у статевому процесі кон'югації — статевих або F-пілей. Інші типи ворсинок тонші за F-пілі. Принаймні деякі із них беруть участь в прикріпленні бактерійних клітин до субстрату[36]. Наприклад, збудник гонореї — Neisseria gonorrhoeae — використовує фімбрії для утримання на слизовій оболонці живителя [37].
Більшість прокаріот пересуваються за допомогою одного або кількох джгутиків. Бактерійний джгутик побудований значно простіше за еукаріотичний, у 10 разів тонший, не вкритий зовні плазматичною мембраною і складається із однакових молекул білків, що утворюють циліндр. У мембрані джгутик закріплений за допомогою базального тільця[38][39].
Ендоспори
Ендоспори — це оточені щільною оболонкою структури, що містять ДНК бактерії і забезпечують виживання у несприятливих умовах. До утворення ендоспор здатні лише деякі види прокаріот, наприклад представники родів Clostridium (C. tetani — збудник правцю, C. botulinum — збудник ботулізму, C. perfringens — збудник газової гангрени тощо) та Bacillus (зокрема B. anthracis — збудник сибірки). Для утворення ендоспори клітина реплікує свою ДНК і оточує копію щільною оболонкою, з утвореної структури видаляється надлишок води, і в ній сповільнюється метаболізм[40]. Спори бактерій можуть витримувати досить жорсткі умови середовища, такі як тривале висушування, кип'ятіння, короткохвильове опромінення тощо[35].
Будова еукаріотичної клітини


Три найбільші царства живих організмів, що належать до еукаріот, — це Тварини, Рослини і Гриби. Попри деякі відмінності у будові, їхні клітини схожі між собою і відрізняються від клітин прокаріотів наявністю ядра та компартменталізацією цитоплазми на окремі відсіки за допомогою системи внутрішніх мембран.
Живий вміст клітини називається протоплазмою, протоплазма оточена напівпроникною плазматичною мембраною або плазмалемою, зовні протоплазми можуть розташовуватись надмембранні структури, такі як клітинна стінка (у рослин та грибів) або глікокалікс (у тварин). До складу протоплазми клітини входить ядро та цитоплазма, яка у свою чергу складається із колоїдного розчину — гіалоплазми — та розміщених у ній органел — постійних структурних і функціональних елементів клітини. Окрім цього клітини можуть тимчасово накопичувати певні речовини, що утворюють клітинні включення.
Клітинні мембрани

Клітинні мембрани відіграють важливу роль із кількох причин: по-перше, плазматична мембрана (плазмалема) відмежовує внутрішній вміст клітини від навколишнього середовища й забезпечує рецепторну функцію — тобто, сприйняття хімічних та деяких фізичних подразнень; через плазматичну мембрану до клітини надходять необхідні речовини і видаляються продукти метаболізму; по-друге, внутрішні мембрани клітини поділяють її на окремі відсіки — компартменти, кожен із яких призначено для певних метаболічних шляхів: наприклад, фотосинтезу або гідролізу біополімерів. Окрім того, деякі хімічні реакції можуть відбуватися тільки на самих мембранах, наприклад реакції світлової фази фотосинтезу або кінцевий етап аеробного окиснення.
Будова біологічних мембран


Будову біологічних мембран описує рідинно-мозаїчна модель, яку в 1972 році запропонували Сінгер і Ніколсон. Згідно з нею мембрани складаються із «двовимірної рідини» — подвійного шару (бішару) ліпідів, в якій «плавають» молекули білків, утворюючи мінливу мозаїку[41].
Ліпідний бішар біологічних мембран має товщину 5 нм[42] і в основному побудований із фосфоліпідів, у молекулах яких виділяють дві основні частини: гідрофільну «голову» (залишок фосфатної кислоти і холіну, серину, етаноламіну або іншої полярної сполуки) та два гідрофобні «хвости» (залишки жирних кислот). У складі бішару гідрофільні голови фосфоліпідів повернуті назовні — у полярний водний розчин, а гідрофобні хвости — всередину. До складу мембран у меншій кількості входять також інші ліпіди, такі як гліколіпіди, сфінголіпіди та холестерол[43].
Вміст білків у мембранах може коливатись від 18 % (у мембрані аксона) до 75 % (у мембранах тилакоїдів). Частина із мембранних білків міцно зв'язана із ліпідним бішаром завдяки наявності гідрофобних доменів, які входять в нього. Такі білки називаються інтегральними, а ті із них, що наскрізь пронизують мембрану — трансмембранними; до цього класу належать усі іонні канали та більшість клітинних рецепторів. Натомість периферійні білки не вбудовуються у ліпідний бішар, а утримуються поблизу мембрани завдяки слабким взаємодіям із іншими білками або гідрофільними головами фосфоліпідів. Прикладом цієї групи білків можуть бути деякі ферменти[44].
Зовнішній і внутрішній листки мембрани відрізняються фосфоліпідним і білковим складом та функціями[45].
Функції мембран

До основних функцій мембран належать:
- Обмеження вмісту клітини. Мембрани характеризуються вибірковою проникністю: через них можуть проходити неполярні речовини (наприклад кисень, вуглекислий газ, стероїдні гормони), але не великі полярні та заряджені молекули (амінокислот, моносахаридів, неорганічних іонів). Маленькі полярні молекули, такі як вода, здатні перетинати ліпідний бішар, але цей процес ускладнено. Завдяки таким властивостям мембрана утримує всередині клітини всі біополімери та заряджені молекули, а також запобігає потраплянню таких молекул іззовні.
- Транспорт. Мембрани регулюють процес транспорту потрібних речовин до клітини та виведення із неї відходів. Якщо речовини переносяться через мембрану за градієнтом концентрації (тобто від ділянки з більшою концентрацією до ділянки із меншою концентрацією), для цього не витрачається енергія, і такий транспорт називається пасивним. Різновидами пасивного транспорту є проста і полегшена дифузія. У випадку першої речовини проникають безпосередньо через біліпідний шар, окремий випадок — проста дифузія води або осмос. Шляхом полегшеної дифузії переносяться сполуки, які не можуть перетинати бішар ліпідів (наприклад, іони), для них у мембрані є спеціальні білкові канали або білки-переносники. Існування живих клітин було б неможливим без здатності до активного транспорту, тобто перенесення речовини проти градієнта концентрації (тобто від ділянки, де їх менше, до ділянки, де їх більше). Активний транспорт є енерговитратним процесом, енергія для його здійснення може надходити від гідролізу АТФ (первинний активний транспорт, наприклад робота натрій-калієвого насосу) або від спряженого транспорту речовин за градієнтом концентрації (вторинний активний транспорт, наприклад процес всмоктування глюкози клітинами тонкого кишківника). Великі часточки або краплини рідини можуть переноситись у клітину або викидатись із неї назовні шляхом ендо- або екзоцитозу відповідно за допомогою мембранних везикул (пухирців), цей процес також потребує енергетичних затрат.
- Рецепція. На поверхні плазматичної мембрани розташована велика кількість клітинних рецепторів (найчастіше глікопротеїнів), що сприймають різні хімічні та фізичні сигнали та передають їх всередину клітини. Завдяки рецепторній функції мембран клітини організму можуть спілкуватись між собою за допомогою гормонів, нейромедіаторів, цитокінів, а також розпізнавати поверхневі білки одна одної.
- Метаболічна функція. Багато мембранних білків є ферментами. Інколи вони можуть бути організовані у мультиферментні комплекси для здійснення послідовних метаболічних реакцій, при цьому мембрана виступає каркасом для їх просторової організації. Реакції світлової фази фотосинтезу та електронтранспортного ланцюга мітохондрій можуть відбуватись тільки на відповідних мембранах.
- Клітинна адгезія. Мембрани тварин, зокрема деякі мембранні білки, такі як кадгерини, забезпечують прикріплення клітин багатоклітинного організму одна до одної або до позаклітинного матриксу. Таким чином забезпечується структурна цілісність тканин тваринного організму. Контакт із мікрооточенням за участі мембранних білків також є важливим для виживання багатьох типів клітин, без нього вони гинуть шляхом апоптозу[46][47].
Ядро клітини


Ядра наявні в усіх еукаріотичних клітинах, окрім деяких високодиференційованих типів, таких як еритроцити ссавців і ситоподібні трубки флоеми рослин. Інколи трапляються багатоядерні клітини: наприклад, у деяких найпростіших, зокрема інфузорії-туфельки, наявні два функціонально різні ядра — макронуклеус і мікронуклеус, також існують клітини із кількома однаковими ядрами, наприклад м'язові волокна. Проте у більшості клітин є одне ядро розміром близько 10 мкм, яке добре помітно під світловим мікроскопом.
Ядро необхідне для функціонування клітини, оскільки саме воно містить генетичну інформацію у формі ДНК. Тут відбувається не тільки збереження, а й реалізація спадкової інформації: процеси транскрипції, що є початковим етапом біосинтезу білків, які регулюють переважну більшість процесів у клітині, та реплікації, що забезпечують точне відтворення ДНК клітини для дочірніх клітин. Ядро оточене двошаровою ядерною оболонкою, в якій є отвори — ядерні пори. Заповнює ядро нуклеоплазма (ядерний сік), у ній розміщується комплекс ДНК і білків — хроматин. Також у структурі ядра виділяють щільнішу структуру, не відмежовану мембранами — ядерце.
Ядерна оболонка та ядерні пори
Ядерна оболонка складається з двох мембран: зовнішня безпосередньо переходить в ендоплазматичний ретикулум і може бути всіяна рибосомами; внутрішня має спеціальні білки, до яких приєднуються філаменти ядерної пластинки (ламіни) — структури, що підтримує форму ядра. Між зовнішньою та внутрішньою мембранами розташований перинуклеарний простір, неперервний із внутрішнім простором ендоплазматичного ретикулуму[48].
У деяких місцях зовнішня та внутрішня мембрани ядра зливаються, утворюючи отвори діаметром близько 100 нм[49] — ядерні пори. Всередині кожної пори розміщений складний апарат із молекул близько 30 різних білків нуклеопоринів — ядерний поровий комплекс, що регулює транспорт між ядром і цитоплазмою. За секунду ядерна пора може переносити більше 500 макромолекул у двох напрямках одночасно. До ядра транспортуються переважно білки — гістони, рибосомальні білки, ферменти, що беруть участь в процесах транскрипції, реплікації, репарації, регуляторні молекули, а також різні метаболіти, такі як нуклеотиди. Із ядра до цитоплазми транспортуються зрілі молекули мРНК, субодиниці рибосом.
Під час клітинного поділу ядерна оболонка зникає[50].
Хроматин
Хроматин — це комплекс ДНК із білками-гістонами та негістонними білками. Утворення хроматину є засобом компактизації ДНК (довжина ДНК кожної клітини людини становить близько 1 м, тому вона має бути впорядкована належним чином). Слово «хроматин» означає «зафарбований матеріал»; таку назву він отримав через те, що дуже легко зв'язується із барвниками, особливо основними. Залежно від інтенсивності зафарбовування виділяють два типи хроматину:
- Гетерохроматин — щільніший, має форму темних плям, розташованих поблизу ядерної оболонки. Формується із компактизованої ДНК, яка не виявляє метаболічної активності (тобто на ній не відбуваються процеси транскрипції);
- Еухроматин — світліші ділянки хроматину, в якому розташована менш компактизована метаболічно активна ДНК.
Під час клітинного поділу хроматин клітини найщільніше упакований у формі окремих хромосом[51].
Ядерце
В ядрі може бути одне або більше ядерець, їх кількість залежить від виду організму і стадії клітинного циклу. Ядерця мають вигляд темних округлих структур, не оточених окремою мембраною. У них відбувається утворення субодиниць рибосом: синтезуються рРНК і формується їх комплекс із рибосомальними білками. Великі і малі субодиниці транспортуються через ядерні пори до цитоплазми, де з них утворюються функціональні рибосоми. Ядерця розміщуються на спеціальних ділянках ДНК однієї або кількох хромосом, що називаються ядерцевими організаторами — саме у цих ділянках розташовано гени рРНК[52].
Цитоплазма клітини
Цитоплазма клітини складається із водянистої основної речовини — гіалоплазми, у якій розташовані органели, нитки цитоскелету та (інколи) клітинні включення.
Гіалоплазма або основна речовина цитоплазми приблизно на 90 % складається з води, в якій розчинені всі основні біомолекули: солі, цукри, амінокислоти, нуклеотиди, вітаміни і гази утворюють істинний розчин, тоді як великі молекули, зокрема білки, перебувають у колоїдному розчині. У гіалоплазмі відбувається велика кількість метаболічних процесів, зокрема гліколіз. Вона може змінювати свої властивості, переходячи зі стану золю до стану густішого гелю. Спостерігаючи за живою цитоплазмою клітини, зазвичай можна помітити, що вона рухається. Найкраще видно рух мітохондрій і пластид. Це явище називають циклозом[53].
Рибосоми

Рибосоми — дрібні органели (діаметром близько 20 нм), не оточені мембраною. Відповідають за здійснення трансляції — синтезу поліпептидного ланцюга на матриці мРНК. Рибосома побудована із двох субодиниць — великої і малої, до складу кожної входить приблизно однакова за масою кількість білків та рРНК. Існує два основних типи рибосом — менші 70S, наявні у прокаріотичних клітинах, мітохондріях і пластидах, і дещо більші (80S-рибосоми) цитоплазми еукаріот[54].
В еукаріотичних клітинах виділяють дві основні популяції рибосом: вільні і пов'язані з ендоплазматичним ретикулумом (ЕПР). Ці дві групи не відрізняються структурою, а лише синтезованими білками: вільні рибосоми синтезують цитоплазматичні білки, тоді як на шЕПР відбувається утворення мембранних і секреторних білків. Часто кілька рибосом рухаються одна за одною вздовж одного ланцюга мРНК, синтезуючи поліпептидні ланцюги; такі об'єднання рибосом називають полірибосомами або полісомами[55].
Ендомембранна система

Більшість мембран еукаріотичної клітини є частиною ендомембранної системи, функціями якої є здійснення кінцевих етапів біосинтезу більшості білків, та їх транспорт до відповідних органел або назовні клітини, метаболізм і транспорт ліпідів та детоксикація отруйних речовин. Всі мембрани цієї системи або безпосередньо переходять одна в одну, або пов'язані за допомогою маленьких мембранних мішечків — везикул. Проте, незважаючи на такий зв'язок, вони можуть суттєво відрізнятись за властивостями і функціями. До ендомембранної системи належать ендоплазматичний ретикулум (ЕПР) або ендоплазматична сітка, ядерна оболонка, апарат (комплекс) Гольджі, лізосоми, секреторні везикули та плазмалема[56].
Ендоплазматичний ретикулум

Мембрани ЕПР зазвичай становлять більше половини загальної площі мембран клітини. Вони утворюють сітку із трубочок та сплощених мішечків, які називають цистернами. Ці мембрани відділяють від цитоплазми окремий компартмент — просвіт ендоплазматичного ретикулуму, що займає приблизно 10 % об'єму клітини і є неперервним із перинуклеарним простором. Виділяють два види ЕПР, що відрізняться за структурою та функціями: гладкий (агранулярний) ЕПР (гЕПР), на поверхні якого немає рибосом, та шорсткий або гранулярний ЕПР (шЕПР), який ними всіяний[57].
- Гладкий ендоплазматичний ретикулум бере участь у біосинтезі ліпідів (зокрема фосфоліпідів та стероїдних гормонів) і вуглеводів, а також у детоксикації отрут. Особливо багаті на гладкий ендоплазматичний ретикулум гепатоцити — клітини печінки, оскільки там інтенсивно відбувається метаболізм чужорідних речовин, зокрема фармацевтичних препаратів. Тривале вживання деяких препаратів, зокрема барбітуратів, стимулює збільшення кількості мембран гладкого ЕПР, через що зростає і стійкість організму до дії не лише цих, а й інших медикаментів[58]. Особливим типом гладкого ЕПР є саркоплазматичний ретикулум м'язових волокон, який накопичує у собі велику кількість іонів Ca+ і вивільняє їх у цитоплазму під час м'язового скорочення[57].
- Шорсткий ендоплазматичний ретикулум відрізняється від гладкого наявністю великої кількості рибосом на зовнішній стороні його мембран. До головних функцій шЕПР належить здійснення кінцевих етапів біосинтезу секреторних білків, зокрема, деяких видів посттрансляційної модифікації, їх сортування та транспорт, а також утворення мембран клітини. Під час трансляції, що відбувається на мембранозв'язаних рибосомах, поліпептидний ланцюг транспортується у порожнину ЕПР через спеціальний білковий комплекс, де відбувається фолдинг білка — тобто утворення його просторової структури, а також, у багатьох випадках, модифікація, наприклад приєднання вуглеводних залишків. Після цього зрілі білки транспортуються за допомогою особливих везикул до місця призначення. Шорсткий ендоплазматичний ретикулум також бере участь у синтезі, модифікації і сортуванні мембранних білків та включенні у мембрани нових молекул фосфоліпідів[58].
Комплекс Гольджі
- Основна стаття:Комплекс Ґольджі

Структуру, відому зараз під назвою «апарат Гольджі», відкрив 1898 року Камілло Гольджі. Ця органела наявна майже в усіх еукаріотичних клітинах, а особливо добре розвинена в тих, що виконують секреторну функцію. Комплекс Гольджі складається із великої кількості плоских мембранних мішечків — цистерн, ніби складених на стопку, і пов'язаної із ними системи пухирців — везикул Гольджі, що здійснюють транспорт між частинами апарату Гольджі, а також між апаратом Гольджі й іншими частинами клітини.
Стопка цистерн апарату Гольджі або диктіосома характеризується полярністю, тобто дві її сторони відрізняються за структурою і функціями. Цис-сторона зазвичай повернута в бік до ендоплазматичного ретикулуму: від ЕПР відшнуровуються везикули, які зливаються із цистернами цієї сторони, вивільняючи свій вміст в її просвіт. Поступово рухаючись у цистернах апарату Гольджі від цис- до транс-сторони, молекули зазнають модифікації, наприклад у багатьох глікопротеїнів змінюються вуглеводні залишки. Окрім цього, комплекс Гольджі містить власні ферменти, що синтезують деякі речовини. Наприклад, у рослинних клітин це пектини та інші компоненти клітинної стінки, відмінні від целюлози. Згодом модифіковані або новосинтезовані молекули потрапляють у мембранні пухирці, що відділяються від транс-сторони апарату Гольджі, і транспортуються до інших органел або виводяться назовні клітини шляхом екзоцитозу[59].
Лізосоми

Лізосоми — це оточені однією мембраною пухирці, що містять гідролітичні ферменти (протеази, ліпази, амілази, нуклеази), наявні здебільшого у тваринних клітинах. Оскільки гідролітичні ферменти найкраще працюють за низьких значень pH, у лізосомах підтримується кисле середовище. Білки лізосом синтезуються рибосомами на поверхні шорсткого ендоплазматичного ретикулуму, потім транспортуються до апарату Гольджі, де зазнають подальшої модифікації, після цього із транс-сторони переходять в окремі везикули — первинні лізосоми.
Первинні лізосоми можуть зливатись із фагосомами — везикулами, утвореними внаслідок фагоцитозу. Так утворюються вторинні лізосоми, де відбувається розщеплення макромолекул до мономерів, які транспортуються у цитоплазму. Багато найпростіших живляться фагоцитуючи часточки їжі, їхні вторинні лізосоми називаються травними вакуолями. Деякі людські клітини також здатні до активного фагоцитозу, наприклад макрофаги та нейтрофіли.
Лізосоми також беруть участь в автофагії, що полягає у перетравленні власних компонентів клітини, і потрібна для руйнування старих або ушкоджених структур, а також тимчасового підтримання життєздатності клітини у разі голодування. Автофагія розпочинається із оточення певної органели чи ділянки цитозолю подвійною мембраною, з якою згодом зливається лізосома і перетравлює все, що було всередині. Утворені при цьому мономери виходять у цитоплазму, і можуть використовуватись для побудови нових органел. Таким чином клітина постійно оновлюється[60].
Вакуолі

Термін «вакуоля» вживається до різних за функціями оточених мембраною пухирців. Це, наприклад, уже згадувані травні вакуолі, скоротливі вакуолі, які в багатьох прісноводних найпростіших беруть участь у регулюванні осмотичного тиску; у клітинах рослин і грибів часто міститься центральна вакуоля. У зрілих рослинних клітин вона займає майже весь об'єм клітини. Центральна вакуоля утворюється шляхом злиття дрібніших вакуоль, які у свою чергу походять із комплексу Гольджі і ендоплазматичного ретикулуму. Мембрана центральної вакуолі називається тонопласт; вона, як і інші мембрани клітини, характеризується вибірковою проникністю, тому внутрішній вміст центральної вакуолі — клітинний сік — відрізняється від цитоплазми за складом[61].
Центральна вакуоля виконує ряд важливих функцій у рослинній клітині: забезпечує підтримання тургору, бере участь у здійсненні росту клітини шляхом розтягу, у клітинному соку можуть запасатись різноманітні органічні (наприклад білки) та неорганічні (наприклад, іони калію і хлору) речовини, тут може відбуватись внутрішньоклітинне травлення, у вакуолю виділяються продукти життєдіяльності, вона також може містити пігменти, отруйні речовини, чи речовини із неприємним смаком для відлякування травоїдних тварин[61].
Пероксисоми

Пероксисоми — органели, наявні у клітинах представників усіх головних груп еукаріот[62]. Вони оточені однією мембраною і містять ферменти, такі як каталаза та уратоксидаза, у такій великій кількості, що вони часто кристалізуються в центрі органели. До основних функцій пероксисом належить окиснення багатьох органічних речовин (зокрема β-окиснення жирних кислот, яке у тварин відбувається також і в мітохондріях, а в рослин і грибів — тільки у пероксисомах), знешкодження надлишку шкідливого для клітини пероксиду водню, метаболізм спиртів та амінів (наприклад 25 % етилового спирту в печінці людини окиснюється саме в пероксисомах), здійснення гліоксилатного циклу у клітинах насіння рослин[63].
Існують різні версії щодо походження нових пероксисом у клітині: вони можуть утворюватись шляхом поділу вже існуючих пероксисом і рости, транспортуючи білки і фосфоліпіди із цитоплазми, або з особливих везикул ендоплазматичного ретикулуму. Можливо, в еукаріотичних клітинах поєднуються обидва описані процеси[63].
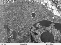
Мітохондрії

.jpg.webp)
Мітохондрії або певні їхні видозміни наявні в клітинах усіх еукаріот[64]. Деякі найпростіші, такі як кишковий паразит людини Giardia, не мають мітохондрій, проте у цих організмів є гомологічні структури, що могли з них розвинутися[65]. Кількість мітохондрій у клітині коливається від однієї, як у водоростей Euglena та Chlorella), до кількох сотень або навіть тисяч[66]. Загальний об'єм мітохондрій у клітині корелює із її метаболічною активністю. Основною функцією цих органел є здійснення аеробного етапу клітинного дихання: тут відбувається цикл трикарбонових кислот, реакції електронтранспортного ланцюга та окисне фосфорилювання АДФ, що має своїм наслідком утворення АТФ. Таким чином мітохондрії є головними енергетичними станціями клітини. Окрім цього вони є одним із ключових місць теплопродукції клітини (особливо активно цей процес відбувається у бурому жирі), а також місцем накопичення кальцію[67].
Мітохондрії на електронних мікрофотографіях зазвичай виглядають як довгасті циліндри діаметром близько 0,5—1 мкм і довжиною 1—10 мкм. Проте в живих клітинах це динамічні структури, які постійно змінюють свою форму, можуть зливатись між собою, ділитись і рухатися в цитоплазмі. Мітохондрії оточено двома мембранами, що відрізняються за своїм складом і функціями, вони поділяють мітохондрію на два компартменти: міжмембранний простір та матрикс — внутрішній простір. Проникність зовнішньої мембрани значно більша ніж внутрішньої, тому рідина, що заповнює міжмембранний простір, за складом більше схожа на цитоплазму, ніж матрикс. Внутрішня мембрана мітохондрій містить велику кількість вбудованих транспортних білків, елементів електронтранспортного ланцюга, деякі ферменти циклу трикарбонових кислот, а також так звані «грибоподібні утвори» — тобто молекули АТФ-синтази, що здійснюють окисне фосфорилювання[67]. Через свої важливі метаболічні функції внутрішня мембрана мітохондрій повинна мати велику площу (близько третини всіх мембран клітини), тому вона утворює численні випинання, які називають кристами. У матриксі мітохондрій міститься більшість ферментів циклу трикарбонових кислот, дрібні гранули — мітохондріальні 70S-рибосоми, кілька копій кільцевої мітохондріальної ДНК та великі гранули, що слугують місцями відкладання магнію і кальцію[66].
Мітохондрії до певної міри є автономними органелами: вони мають власну ДНК (хоча частина мітохондріальних білків кодується ядерним геномом), білок-синтезуючий апарат (рибосоми, тРНК, білки шаперони тощо), а також здатні до автономного розмноження. Якщо клітину позбавити мітохондрій, вона не зможе їх відновити[67]. Всі ці особливості є підтвердженням ендосимбіотичної гіпотези, згідно з якою мітохондрії (а також і пластиди) утворилися з симбіотичних бактерій, що жили в клітинах перших еукаріот[68].
Пластиди

Пластиди наявні в усіх живих рослинних клітинах. Ці органели між собою поєднує те, що вони вкриті двома мембранами і містять кілька копій ДНК, що в межах одного організму мають однакову послідовність. Всі пластиди утворюються з пропластид меристемних клітин рослин. Пропластиди диференціюються залежно від потреб клітини:
- хлоропласти — зелені пластиди, що містять хлорофіл і здійснюють фотосинтез;
- етіопласти утворюються в темряві, вони містять жовтий пігмент-попередник хлорофілу, на світлі можуть швидко перетворюватись у хлоропласти;
- лейкопласти — утворюються у нефотосинтетичних клітинах рослин, є місцем запасання органічних речовин, зокрема в амілопластах накопичуються вуглеводи (крохмаль), в елайопластах — жири, у протеїнопластах — білки;
- хромопласти — червоні, жовті або оранжеві пластиди, накопичують пігменти, зокрема каротиноїди.
Окрім фотосинтезу та накопичення різних речовин, у пластидах відбуваються процеси синтезу пуринів та піримідинів, жирних кислот та деяких амінокислот тощо. Пластиди, як і мітохондрії, є порівняно автономними органелами клітини[69]. Вважається, що вони можуть походити від симбіотичних ціанобактерій[68].
Хлоропласти
Хлоропласти мають довгасту форму і розмір приблизно 2—5 мкм. Вони оточені двома мембранами, розділеними вузенькою смужкою міжмембранного простору. Внутрішній простір хлоропласта називається стромою. У ньому розташована мембранна система, що складається із маленьких сплощених мішечків — тилакоїдів, мембрани яких містять молекули зеленого фотосинтетичного пігменту хлорофілу. Тилакоїди згруповані у стопки, що називаються гранами. Грани сполучаються між собою ламелами — довгими пластинками і трубочками. Таким чином, хлоропласт поділений на три компартменти: міжмембранний простір, строму, в якій відбувається темнова фаза фотосинтезу, і внутрішній простір тилакоїдів, де протікає світлова фаза фотосинтезу[70].
Цитоскелет

Цитоскелет клітини — це система тонких білкових ниток, розташованих у цитоплазмі. Складається з трьох основних типів елементів: мікротрубочок, актинових філаментів (мікрофіламетів) та проміжних філаментів. Основною функцією цитоскелету є опора та підтримання форми клітини. Окрім цього елементи цитоскелету разом із моторними білками забезпечують різні типи руху: локомоцію самої клітини (як за допомогою джгутиків чи війок, так і за допомогою псевдоподій), скорочення клітини, зокрема м'язових волокон, руху окремих органел у цитоплазмі (наприклад транспорт везикул ендомембранної системи). Цитоскелет є динамічною структурою: його нитки можуть збиратись або розбиратись на кінцях.
Мікротрубочки, клітинний центр та джгутики

Мікротрубочки — це порожнисті циліндри діаметром 25 нм і довжиною 0,2—25 мкм, що складаються зі спірально розташованих димерів білка тубуліну. Вони можуть збиратися або розбиратися в залежності від потреб клітини шляхом полімеризації або деполімеризації тубуліну на, відповідно, «+»- та «-»-кінцях. Мікротрубочки беруть участь у підтриманні форми клітини, зокрема запобігають її стисканню, у внутрішньоклітинному транспорті, а також забезпечують розходження хроматид (або хромосом) під час клітинного поділу[71].
У тваринній клітині під час інтерфази центром організації мікротрубочок є фібрилярне гало клітинного центру (центросоми), розташованого поблизу ядра. У клітинному центрі розташовані два короткі порожнисті циліндри (довжина 30—50 мкм, діаметр 20 мкм) — центріолі, що побудовані із дев'яти триплетів мікротрубочок, розміщених по колу і з'єднаних «ручками» з білка динеїну. Перед клітинним поділом центріолі подвоюються, кожна пара розходиться до одного з полюсів клітини, де вони стають центрами організації для мікротрубочок веретена поділу. Клітинний центр і центріолі виявлено тільки у тваринних клітинах, у рослин та грибів їх функції мають виконувати інші структури[72].
Мікротрубочки також є основними структурними елементами джгутиків та війок — органел руху, наявних переважно у тваринних клітин. Джгутики та війки ідентичні за будовою, але відрізняються довжиною, кількістю на одну клітину та характером руху. Обидва типи органел складаються із двох основних частин: базального тільця, розташованого всередині клітини та аксонеми — довгої нитки, вкритої плазматичною мембраною. Базальне тіло схоже за структурою до центріоль — складається із дев'яти триплетів мікротрубочок. Усередині аксонеми також розташовані мікротрубочки, але іншим чином: дев'ять пар утворюють циліндр, усередині якого розміщена ще одна пара (принцип розміщення «9+2»). У русі джгутиків та війок беруть участь моторні білки динеїни[73].
Актинові філаменти

Актинові філаменти (мікрофіламенти) — нитки діаметром 7 нм, що складаються із глобулярного білка актину. Ці елементи цитоскелету можуть утворювати розгалужені сітки. На відміну, від мікротрубочок, які забезпечують стійкість клітини до стискання, мікрофіламенти протистоять її розтягуванню. Сітка із актинових філаментів, розташована відразу ж під плазматичною мембраною — кортикальні мікрофіламенти — підтримують форму клітини, зокрема утворюють серцевину мікроворсинок[74].
Мікрофіламенти разом із міозиновими філаментами забезпечують м'язові скорочення, амебоїдний рух за допомогою псевдоподій, а також постійний рух цитоплазми по колу (циклоз) у рослинних клітинах[74].
Проміжні філаменти
Проміжні філаменти — це клас елементів цитоскелету, що мають діаметр 8—12 нм (тобто, вони тонші за мікротрубочки і товстіші за мікрофіламенти, за що й отримали свою назву). Побудовані переважно з різних білків родини кератинів. Вони є стабільнішими структурами, ніж мікротрубочки та актинові філаменти, які постійно збираються і розбираються, і залишаються в клітині навіть після її загибелі, наприклад, у мертвих клітинах верхніх шарів епідерми шкіри. Проміжні філаменти дуже важливі у підтриманні клітинної форми, зокрема, вони утворюють каркас довгих відростків, таких як аксони нейронів. Також проміжні філаменти фіксують положення деяких клітинних структур, наприклад ядра, і формують ядерну пластинку (ламіну)[75].
Клітинні включення
Клітинні включення — це гранули, краплі або кристали певних речовин, що накопичуються у цитоплазмі клітини. На відміну від органел вони є непостійними і необов'язковими структурами. Найчастіше у формі включень організми запасають поживні речовини, наприклад, краплі жиру в адипоцитах, гранули глікогену в клітинах печінки та крохмалю в багатьох рослинних клітинах. Також включеннями можуть бути пігменти або продукти обміну (наприклад кристали оксалату кальцію у листках буряка, шпинату, щавлю кислого)[76].
Клітинна стінка

Клітинна стінка — це надмембранна структура клітин рослин, грибів (а також і прокаріотів), проте її немає у тварин. Клітинна стінка потрібна для підтримання форми, захисту клітини та запобігання надмірного надходження до неї води. У грибів клітинна стінка складається в основному з хітину, а в рослин — із фібрил целюлози та геміцелюлоз, занурених у матрикс із пектинів.
Молода рослинна клітина утворює тонку гнучку первинну клітинну стінку (товщиною близько 0,1 мкм). Між клітинними стінками двох сусідніх клітин розміщується серединна пластинка, що складається в основному із пектинів, які «склеюють» клітини між собою. Після того як рослинна клітина перестає рости, вона укріплює свою клітинну стінку, відкладаючи додаткові шари целюлози. У певних тканинах (наприклад провідних та опорних) клітини утворюють досить товсту вторинну клітинну стінку, що може складатись з інших речовин — наприклад лігніну в деревині або суберину у корку[77].
Міжклітинні контакти
У вищих тварин та рослин клітини об'єднано в тканини і органи, у складі яких вони взаємодіють між собою, зокрема, завдяки прямим фізичним контактам. У рослинних тканинах окремі клітини поєднано між собою за допомогою плазмодесм, а тваринні утворюють різні типи клітинних контактів.
Плазмодесми рослин — це тонкі цитоплазматичні канали, що проходять через клітинні стінки сусідніх клітин, сполучаючи їх між собою. Порожнина плазмодесм вистелена плазмалемою. Сукупність всіх клітин, об'єднаних плазмодесмами, називається симпластом; між ними можливий регульований транспорт речовин[78].
Міжклітинні контакти хребетних тварин на основі будови і функцій поділяють на три основні типи: якірні (англ. anchoring junctions), що включають адгезивні контакти та десмосоми, щільні або ізоляційні (англ. tight junction) та щілинні або комунікаційні (англ. gap junction). Окрім того, деякі особливі види сполучень між клітинами, такі як хімічні синапси нервової системи та імунологічні синапси (між T-лімфоцитами та антигенпрезентуючими клітинами), об'єднують за функціональною ознакою в окрему групу: контакти, що передають сигнали (англ. signal-relaying junction). Проте в міжклітинному сигналюванні можуть брати участь і якірні, щілинні та щільні контакти[79].
| Основні характеристики міжклітинних контактів хребетних тварин[80] | ||
|---|---|---|
| Якірні контакти | Щільні контакти | Щілинні контакти |
![]() Адгезивний контакт |
![]() Щільний контакт |
![]() Щілинний контакт |
| Якірні контакти фізично з'єднують клітини між собою, забезпечують цілісність і міцність тканин, зокрема епітеліальних і м'язових. При утворенні контактів цього типу елементи цитоскелету сусідніх клітин ніби об'єднуються в єдину структуру: за допомогою спеціальних якірних білків вони прикріплюються до внутрішньоклітинної частини білків кадгеринів, що проходять через плазматичну мембрану і в міжклітинному просторі прикріплюються до кадгеринів сусідніх клітин. Розрізняють два основні типи якірних контактів: адгезивні, що об'єднують мікрофіламенти сусідніх клітин, та десмосоми, в утворенні яких беруть участь проміжні філаменти. | Щільні (ізоляційні) контакти забезпечують максимальне зближення мембран сусідніх клітин, між якими залишається проміжок у 2—3 нм. Цей тип контактів найчастіше виникає в епітелії. Щільні контакти утворюють неперервні пояски навколо кожної клітини, міцно притискаючи їх одне до одної і запобігаючи протіканню міжклітинної рідини між ними. Такі контакти необхідні, зокрема, для забезпечення водонепроникності шкіри. У формуванні щільних контактів беруть участь білки оклюдини, клаудини та інші. | Щілинні (комунікаційні) контакти — це невеликі ділянки, на яких плазмалеми сусідніх клітин наближені одна до одної на відстань 2—4 нм і пронизані білковими комплексами — конексонами. Кожен конексон складається із шести трансмембранних білків конексинів, що оточують невеликі гідрофільні пори діаметром у 1,5 нм. Через ці канали з однієї клітини до іншої можуть проходити іони та інші невеликі гідрофільні молекули. Таким чином відбувається спілкування між сусідніми клітинами. Щілинні контакти характерні для більшості тканин тваринного організму: зокрема епітеліальної, сполучної, серцевого м'яза, нервової (де формують електричні синапси) тощо. |
Клітинний цикл



Клітинний цикл — це серія подій, що відбувається у період від утворення еукаріотичної клітини до завершення її поділу. Клітинні поділи необхідні як утворення тіла багатоклітинних організмів, так і для відтворення собі подібних. Перед поділом генетичний матеріал має бути репліковано, щоб кожна з нових клітин отримала його копію, ідентичну до материнської.
Середня тривалість клітинного циклу еукаріотичної клітини за сприятливих умов і наявності стимулів до поділу може становити 24 год. Він складається із таких фаз:
- Інтерфаза — період, в який клітина не ділиться; триває 90 % часу клітинного циклу і в свою чергу поділяться на три фази:
- Фаза G1 (англ. first gap) — пресинтетичний період. Клітина росте, накопичує поживні речовини, виконує свої основні функції (5—6 год або більше залежно від типу клітин та умов);
- Фаза S — синтетичний період, відбувається реплікація ДНК, продовжується ріст клітини (10—12 год для людської клітини);
- Фаза G2 (англ. second gap) — постсинтетичний період. Клітина готується до поділу — перевіряє, чи добре скопійовано ДНК, накопичує білки, необхідні для утворення веретена поділу, подвоюються деякі органели (4—6 год для типової людської клітини).
- Клітинний поділ — триває не більше години і поділяється на два взаємопов'язані етапи:
- Мітоз — поділ ядра, під час якого відбувається рівномірний розподіл генетичної інформації. Відбувається у кілька етапів: профаза, прометафаза, метафаза, анафаза і телофаза. Під час мітозу спіралозвані хромосоми, що складаються із двох ідентичних хроматид, вишиковуються по екватору веретена поділу, а потім окремі хроматиди, за допомогою мікротрубочок, розходяться до його полюсів. На кожному полюсі формується нове ядро;
- Цитокінез — поділ цитоплазми клітини. У тварин відбувається за участі скоротливого кільця із актинових та міозинових філамтенів, а у вищих рослин — за допомогою спеціальної структури — фрагмопласту, що складається із мікротрубочок веретена поділу і везикул апарату Гольджі, які, зливаючись між собою, відокремлюють дві дочірні клітини[81].
Окрім мітозу існує ще один спосіб поділу ядра еукаріотичної клітини — мейоз. Це серія із двох поділів, між якими часто немає інтерфази. На противагу мітозу, після завершенню мейозу кожна дочірня клітина отримує лише половину генетичної інформації батьківської клітини. Мейоз обов'язково відбувається на певному етапі життєвого циклу всіх організмів, здатних до статевого розмноження. Він необхідний для підтримання сталої кількості хромосом у всіх особин виду і для здійснення генетичної рекомбінації — перегрупування та перерозподілу генів[82].
У багатоклітинних організмів частина диференційованих клітин виходять із клітинного циклу: після стадії G1 вони переходять у стадію спокою — G0, більшість таких клітин за певних умов можуть відновлювати проліферацію.
Усі події у клітинному циклі чітко регулюються системою спеціальних білків циклінів та циклін-залежних кіназ, яка тісно пов'язана з іншими сигнальними шляхами клітини. Якщо один або кілька елементів цієї системи виходять із ладу, це може призвести до неконтрольованого поділу клітин і утворення пухлин, зокрема, злоякісних[83].
Диференціація клітин багатоклітинного організму

Багатоклітинні організми складаються із клітин, що тією чи іншою мірою відрізняються за будовою і функціями, наприклад у дорослої людини близько 230 різних типів клітин[84]. Всі вони є нащадками однієї — зиготи (у випадку статевого розмноження) — і набувають відмінностей внаслідок процесу диференціації. Диференціація у переважній більшості випадків не супроводжується зміною спадкової інформації клітини, а забезпечується лише шляхом регулювання активності генів, специфічний характер експресії генів успадковується під час поділу материнської клітини зазвичай завдяки епігенетичним механізмам. Проте є винятки: наприклад, при утворенні клітин специфічної імунної системи хребетних відбувається перебудовування деяких генів, еритроцити ссавців повністю втрачають всю спадкову інформацію, а статеві клітини — її половину.
Відмінності між клітинами на перших етапах ембріонального розвитку з'являються, по-перше, внаслідок неоднорідності цитоплазми заплідненої яйцеклітини, через яку під час процесу дроблення утворюються клітини, що різняться за вмістом певних білків та РНК, по-друге, важливу роль відіграє мікрооточення клітини — її контакти з іншими клітинами та середовищем[85].
Диференціюючись, клітини втрачають свої потенції, тобто здатність давати початок клітинам інших типів. Із тотипотентих клітин, до яких належить зокрема зигота, може утворитись цілісний організм. Плюрипотентні клітини (наприклад клітини бластоцисти) мають можливість диференціюватись у будь-який тип клітин організму, але з них не можуть розвинутись позазародкові тканини, а отже і нова особина. Клітини, які здатні дати початок тільки обмеженій кількості інших тканин, називаються мультипотентними (стовбурові клітини дорослої людини), а ті, які можуть відтворювати тільки собі подібні — уніпотентними. Багато із остаточно диференційованих клітин (наприклад нейрони, еритроцити) повністю втрачають здатність до поділу і виходять з клітинного циклу[86].
У деяких випадках диференціація може бути зворотною, протилежний до неї процес називається дедиференціація. Він характерний для регенерації, але інколи може відбуватись патологічно, як етап злоякісної трансформації клітини[87].
Клітинна смерть

Одноклітинні організми в деякому сенсі можна вважати «безсмертними», оскільки, за винятком випадків ушкодження чи голодування, вони не вмирають, а проходять поділ, внаслідок якого утворюється два нових організми. Натомість всі клітини багатоклітинних організмів (крім гамет) приречені на загибель, проте помирають вони не лише в разі смерті всієї особини — цей процес відбувається постійно.
Смерть деяких клітин необхідна під час ембріонального розвитку, клітини продовжують помирати і в дорослих організмах, наприклад в кістковому мозку та кишківнику людини щогодини гинуть мільярди клітин. За фізіологічних умов відбувається «запрограмована клітинна смерть», іншими словами клітини «чинять суїцид». Найбільш поширеним, проте не єдиним, шляхом клітинного суїциду є апоптоз. Основні ознаки апоптозу: фрагментація ДНК, розпад клітини на апоптичні тільця — везикули, оточені мембранами. На їх поверхні розташовані особливі молекули, що спонукають сусідні клітини та макрофаги фагоцитувати їх, таким чином, що процес не супроводжується запаленням. Апоптоз є енергозалежним процесом і потребує використання АТФ. Цей шлях клітинної смерті важливий не лише для розвитку організму, нормального функціонування імунної системи, а й для захисту особини від ушкоджених клітин, що можуть стати на шлях злоякісної трансформації, та від вірусних інфекцій[88].
Фізичне чи хімічне пошкодження клітин, а також нестача джерел енергії та кисню, може призвести до іншої смерті — некротичної. Некроз, на відміну від апоптозу, — пасивний процес; він часто супроводжується розривом плазмалеми і витіканням цитоплазми. Некроз майже завжди викликає запалення навколишніх тканин. Останнім часом досліджується механізм запрограмованого некрозу, як можливого противірусного і протипухлинного захисту[88].
За умов тривалої нестачі АТФ у клітині вона не відразу гине шляхом некрозу, а в багатьох випадках стає на шлях автофагії — процесу, що дозволяє їй ще деякий час залишатись життєздатною. Автофагагія — це буквально самопоїдання: обмін речовин перемикається у бік активного катаболізму, при цьому окремі органели оточуються подвійними мембранами, утворюються так звані автофагосоми, що зливаються із лізосомами, де відбувається перетравлення органічних речовин. Якщо голодування продовжується і після того, як більшість органел вже «з'їдено», клітина гине шляхом некрозу. Деякі автори вважають, що за певних умов автофагія може бути окремим типом клітинної смерті[88].
Еволюція клітин


- Див. також: Виникнення життя на Землі
Достеменно невідомо, коли на Землі з'явилась перша клітина і яким шляхом вона виникла. Найбільш ранні ймовірні викопні мікрорештки клітин, приблизний вік яких оцінено у 3,49 млрд років, знайдено на сході Пілбари (Австралія), хоча біогенність їх походження було поставлено під сумнів. Про існування життя в ранньому археї свідчать також строматоліти того ж періоду[89][90].
Виникненню перших клітин повинно було передувати накопичення органічних речовин у середовищі та поява певної форми пребіотичного метаболізму. Протоклітини містили як мінімум два обов'язкові елементи: спадкову інформацію у вигляді молекул, здатних до самореплікації, та певного роду оболонки, що відмежовували внутрішній вміст перших клітин від навколишнього середовища. Найімовірнішим кандидатом на роль самореплікативних молекул є РНК, оскільки вона може одночасно виступати і носієм спадкової інформації, і каталізатором; крім того, РНК, на відміну від ДНК, самодостатні для здійснення біосинтезу білків[90][91].
Невідомо також з яких речовин були побудовані мембрани перших клітин, проте цілком ймовірно, це могли були прості амфіфільні сполуки, такі як солі жирних кислот, здатні самоорганізовуватись у ліпосоми, що можуть проходити цикли росту та поділу. Жирні кислоти було синтезовано у багатьох експериментах із відтворення пребіотичних умов, також їх було знайдено у метеоритах[91][92]. Вважається, що перші живі клітини були гетеротрофними[93].
Виникнення еукаріотичних клітин
Дані секвенування рРНК дозволили побудувати універсальне дерево життя, в якому останній універсальний спільний предок дав початок двом гілкам еволюції: еубактеріям та кладі neomura, остання із яких у свою чергу розділилася на дві гілки: архей та еукаріот[94]. В еволюції еукаріот, ймовірно, велику роль відіграв ендосимбіоз — вважається, що саме таким методом клітини ядерних отримали мітохондрії, а пізніше — і хлоропласти[64].
Еукаріоти мають багато спільних генів як з еубактеріями, так і з археями; деякі науковці вважають, що вони виникли внаслідок злиття геномів цих двох груп організмів, яке могло відбутись внаслідок ендосимбіозу. Через це замість терміну «дерево життя» пропонується використовувати «перстень життя»[95]. Інші ж дослідники, наголошуючи на важливості інтенсивного горизонтального перенесення між предками еукаріот, бактерій та архебактерій, пропонують відображати філогенетичні зв'язки між ними за допомогою «сітки життя»[96].
Джерела
- Тейлор et al, 2004, с. 169.
- Ченцов, 2004, с. 7.
- Hardin et al, 2011, с. 1.
- Hardin et al, 2011, с. 2.
- Hardin et al, 2011, с. 5.
- Hardin et al, 2011, с. 3.
- Ченцов, 2004, с. 8.
- Alberts et al, 2007, с. 579—583.
- Campbell et al, 2008, с. 95—97.
- Alberts et al, 2007, с. 604—608.
- Ченцов, 2004, с. 47.
- Тейлор et al, 2004, с. 176.
- Hardn et al, 2011, с. 78—81.
- Тейлор et al, 2004, с. 20.
- Tamarin RH (2001). Principles of Genetics (вид. 7th). Mcgraw-Hill. с. 47. ISBN 0072334193.
- Robinson R et al. (2003). Archea. Genetics (Volume 1 A-D). MacMillan Reference USA. с. 36. ISBN 0-02-865607-5..
- Campbell et al, 2007, с. 433.
- Tamarin RH (2001). Principles of Genetics (вид. 7th). Mcgraw-Hill. с. 406. ISBN 0072334193.
- Lykke-Andersen J, Aagaard C, Semionenkov M, Garrett RA (1997). Archaeal introns: splicing, intercellular mobility and evolution. Trends Biochem Sci. 22: 326–31. PMID 9301331. doi:10.1016/S0968-0004(97)01113-4.
- Tamarin RH (2001). Principles of Genetics (вид. 7th). Mcgraw-Hill. с. 440. ISBN 0072334193.
- Hardin et al, 2011, с. 76.
- Prescott, 2002, с. 42—44.
- Prescott, 2002, с. 47.
- Nelson D.L., Cox M.M. (2008). Lehninger Principles of Biochemistry (вид. 5th). W. H. Freeman. с. 353. ISBN 978-0-7167-7108-1.
- Prescott, 2002, с. 48—49.
- Campbell et al, 2007, с. 559.
- Тейлор et al, 2004, с. 195.
- Prescott, 2002, с. 49—52.
- Campbell et al, 2008, с. 559.
- Prescott, 2002, с. 54.
- Тейлор et al, 2004, с. 25—26.
- Тейлор et al, 2004, с. 21—24.
- Тейлор et al, 2004, с. 24.
- Campbell et al, 2008, с. 557.
- Тейлор et al, 2004, с. 25.
- Prescott, 2002, с. 62.
- Campbell et al, 2007, с. 558.
- Prescott, 2002, с. 63—67.
- Cambell et al, 2008, с. 558.
- Cambell et al, 2008, с. 560.
- Singer SJ, Nicolson GL (Feb 1972). The fluid mosaic model of the structure of cell membranes. Science 175 (23): 720–31. PMID 4333397. doi:10.1126/science.175.4023.720.
- Alberts et al, 2007, с. 617.
- Alberts et al, 2007, с. 617—621.
- Albert et al, 2007, с. 617—621.
- Campbell et al, 2008, с. 130.
- Campbell et al, 2008, с. 131—139.
- Тейлор et al, 2004, с. 185—192.
- Alberts et al, 2007, с. 704—705.
- Ченцов, 2004, с. 200.
- Alberts et al, 2007, с. 710—712.
- Тейлор et al, 2004, с. 192—194.
- Campbell et al, 2008, с. 102.
- Тейлор et al, 2004, с. 194.
- Тейлор et al, 2004, с. 195—196.
- Alberts et al, 2007, с. 381—382.
- Campbell et al, 2008, с. 104.
- Alberts et al, 2007, с. 723—726.
- Campbell, 2008, с. 104—105.
- Campbell et al, 2008, с. 105—107.
- Campbell et al, 2008, с. 107—108.
- Campbell et al, 2008, с. 108.
- Gabaldón T (2010). Peroxisome diversity and evolution. Philos Trans R Soc Lond B Biol Sci. 365 (1541): 765–73. PMC 2817229. PMID 20124343. doi:10.1098/rstb.2009.0240.
- Alberts et al, 2007, с. 721—723.
- Embley TM, Martin W. (2006). Eukaryotic evolution, changes and challenges. Nature 7084 (440): 969–1006. PMID 16754610. doi:10.1038/nature04546.
- Tovar J, León-Avila G, Sánchez LB, Sutak R, Tachezy J, van der Giezen M, Hernández M, Müller M, Lucocq JM (2003). Mitochondrial remnant organelles of Giardia function in iron-sulphur protein maturation. Nature 426: 172–6. PMID 14614504. doi:10.1038/nature01945.
- Ченцов, 2004, с. 324—355.
- Alberts et al, 2007, с. 815—819.
- Campbell et al, 2008, с. 517.
- Alberts et al, 2007, с. 841—842.
- Campbell et al, 2008, с. 110.
- Campbellet al, 2008, с. 112.
- Campbell et al, 2008, с. 113—116.
- Alberts et al, 2007, с. 1031—1034.
- Campbellet al, 2008, с. 116—118.
- Campbell et al, 2008, с. 118.
- Ченцов, 2004, с. 215.
- Campbell et al, 2008, с. 118—119.
- Campbell et al, 2008, с. 120—121.
- Alberts et al, 2007, с. 1131—1133.
- Alberts et al, 2007, с. 1142—1162.
- Campbell et al, 2008, с. 231.
- Campbell et al, 2008, с. 253.
- Alberts et al, 2007, с. 1060—1062.
- Alberts B., Johnson A., Lewis J., Raff M., Roberts K., Walter P. Cells of the Adult Human Body — A Catalog Архівовано 4 березня 2016 у Wayback Machine.. — Garland Science, 2007 — Переглянуто 26 лютого 2012
- Alberts et al, 2007, с. 464—468.
- Campbell et al, 2008, с. 412—416.
- Sell S (December 1993). Cellular origin of cancer: dedifferentiation or stem cell maturation arrest?. Environ. Health Perspect. 101 (Suppl 5): 15–26. JSTOR 3431838. PMC 1519468. PMID 7516873. doi:10.2307/3431838.
- Edinger AL, Thompson CB (2004). Death by design: apoptosis, necrosis and autophagy. Curr Opin Cell Biol. 16 (6): 663–9. PMID 15530778. doi:10.1016/j.ceb.2004.09.011,.
- Altermann W, Kazmierczak J. (2003). Archean microfossils: a reappraisal of early life on Earth. Res Microbiol. 154 (9): 611–7. PMID 14596897. doi:10.1016/j.resmic.2003.08.006.
- Oró, J., Miller, S. L., & Lazcano, A. (1990). The Origin and Early Evolution of Life on Earth. Annual Review of Earth and Planetary Sciences 18: 317–56. PMID 11538678. doi:10.1146/annurev.ea.18.050190.001533.
- Chen I. et al. (2006). The Emergence of Cells During the Origin of Life. Science 5805 (314): 1558–9. PMID 11538678. doi:10.1126/science.1137541.
- Deamer DW (1997). The first living systems: a bioenergetic perspective. Microbiol Mol Biol Rev 61 (2): 239–261. PMID 9184012.
- Campbell et al, 2008, с. 509—510.
- Cavalier-Smith T. (2006). Cell evolution and Earth history: stasis and revolution. Philos Trans R Soc Lond B Biol Sci. 1470 (361): 623–30. PMID 16572163. doi:10.1098/rstb.2006.1842.
- Rivera MC, Lake JA. (2004). The ring of life provides evidence for a genome fusion origin of eukaryotes. Nature 7005 (431): 152–5. PMID 15356622. doi:10.1038/nature02848.
- Gogarten JP, Townsend JP. (2005). Horizontal gene transfer, genome innovation and evolution. Nat Rev Microbiol. 9 (3): 679–87. PMID 16138096. doi:10.1038/nrmicro1204.
Література
Підручники
- Alberts B, Johnson A, Lewis J, Raff M, Roberts K, Walter P (2007). Molecular Biology of the Cell (вид. 5th). Garland Science. ISBN 978-0-8153-4105-5.
- Людина. / Навч. посібник з анатомії та фізіології. — Львів. 2002. — 240 с.
- Campbell NA, Reece JB (2008). Biology (вид. 8th). Benjamin Cammings. ISBN 978-0321543257.
- Hardin J, Bertoni G, Kleinsmith LJ (2011). Becker’s world of the cell (вид. 8th). Benjamin Cummings. ISBN 0-321-71602-7.
- Harvey Lodish et al. (2007). Molecular Cell Biology (вид. 6th). W H Freeman. ISBN 978-1429203142. Архів оригіналу за 17 липня 2011. Процитовано 14 липня 2011.
- Prescott L.M. (2002). Microbiology (вид. 5th). McGraw−Hill. с. 41—94. ISBN 0-07-282905-2.
- Ченцов Ю.С. (2004). Введение в клеточною биологию: Учебник для вузов (вид. 4). Москва: ИКЦ «Академкнига». ISBN 5-94628-105-4.
- Альбертс Дж., Льюїс Р., Робертс В. Молекулярна Біологія Клітини (вид. 4). Львів: Наутілус. Архів оригіналу за 16 липня 2014. Процитовано 14 липня 2011.
- Данилова О.В., Данилов С.А., Шабанов Д.А. (2006). Біологія: підручник для 10 кл. загальноосвітніх навчальних закладів. Київ: Генеза.
- Кучеренко М.Є., Вервес Ю.Г., Балан П.Г., Войціцький В.М. (2004). Загальна біологія: підручник для 10 кл. загальноосвітніх навчальних закладів. Київ: Генеза.
- Слюсарєв А.О., Самсонов О.В., Мухін В.М. та ін. (2002). Біологія: навчальний посібник. Київ: Вища школа. ISBN 966-642-027-9.
- Тейлор Д., Грин Н., Саут У. (2004). Биология 1. Москва: Мир. ISBN 5-03-003685-7.
Періодичні видання
- Nature Reviews Molecular Cell Biology ISSN 1471-0072 eISSN 1471-0080(Коефіцієнт впливовості (2011) — 39.123)
- Cell ISSN 0092-8674 (Коефіцієнт впливовості (2011) — 32.401)
- Nature Cell Biology ISSN 1465-7392 eISSN 1476-4679 (Коефіцієнт впливовості (2011) — 19.488)
- Molecular Cell ISSN 1097-2765 (Коефіцієнт впливовості (2011) — 14.178)
- Current Opinion in Cell Biology ISSN 0955-0674 (Коефіцієнт впливовості (2011) — 12.897)
- Trends in Cell Biology ISSN 0962-8924 (Коефіцієнт впливовості (2011) — 12.354)
- Journal of cell biology Print ISSN 0021-9525 Online ISSN 1540-8140 (Коефіцієнт впливовості (2011) — 10.264)
- Journal of Molecular Cell Biology Print ISSN 1674-2788 Online ISSN 1759-4685 (Коефіцієнт впливовості (2011) — 7.667)
- Cell Death & Disease Online ISSN 2041-4889 Журнал у відкритому доступі (Коефіцієнт впливовості (2011) — 5,33)
- BMC Cell Biology ISSN 1471-2121 Журнал у відкритому доступі (Коефіцієнт впливовості (2011) — 2,59)
- Цитология и генетика ISSN 0564-3783 (Коефіцієнт впливовості (2011) — 0,246)
Посилання
- (англ.) Бібліотека зображень та відео внутрішньої будови клітини Cell image library.
- Відео: Внутрішнє життя клітини (Cell internal structure) без озвучення, з українським озвученням
- (англ.) Відео: Будова тваринної клітини (Animal Cell)
- (англ.) Відео: Крізь віртуальну клітину Through the Virtual Cell
- (англ.) Інтерактивна анімація: будова прокаріотичної, тваринної та рослинної клітин
- (англ.) Збірка матеріалів: AMAZING CELLS на сайті Learn Genetics
- (англ.) Інтерактивна анімація: будова тваринної клітини
|
|
Ця стаття належить до вибраних статей Української Вікіпедії. |








