Мієлін
Мієлін — це багата на ліпіди речовина, з якої утворюється мієлінова оболонка нервових волокон хребетних.

Мієлін був відкритий у 1854 році патологоанатомом Рудольфом Вірховим (1821—1902) за допомогою світлового мікроскопа. Він помітив оболонку навколо нервового волокна і запропонував назвати її мієліновою (гр. myelòs = мозок).[1]
На відміну від інших біомембран мієлін має дуже високий вміст ліпідів (70 %) і відносно малий білків (30 %).[2] Оскільки макроскопічно мієлін має біле забарвлення, то високомієлінізовані ділянки в центральній нервовій системі називаються білою речовиною, на відміну від низькомієлінізованих ділянок сірої речовини.
В ЦНС мієлін утворюється олігодендроцитами, а на периферії — шваннівськими клітинами.
Функції

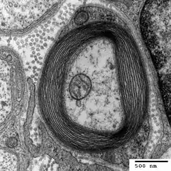
Мієлінова оболонка потрібна для електричної ізоляції аксонів нервових клітин від потенціалів дії інших клітин і для пришвидшення передачі власного імпульсу. Вона не оточує нервове волокно суцільним шаром, а має численні, так звані, перехвати Ранв'є, які розміщуються вздовж волокна через рівномірні проміжки на відстані близько 1 мм (від кількох сотих частин мм до кількох мм). Вхід і вихід іонів здійснюється лише в ділянках цих перехватів, що призводить до значного прискорення передачі нервового імпульсу в 5-10 разів порівняно з немієлінізованими нервовими клітинами.
Склад
Мієлін часто розглядають як специфічну особливість хребетних. Однак у безхребетних тваринних груп є функціональні і структурні аналоги мієліну.
Ліпіди
Ліпідний компонент (70 %) представлений холестерином (25 %), галактоцереброїзидом (20 %), галактосульфатидом (5 %), фосфоліпідами (50 %), серед них головним чином фосфатидилетаноламіном і лецитином.
Білки
Специфічними для мієліну білками є:
Демієлінізуючі захворювання
Причиною розсіяного склерозу є руйнування мієліну клітинами власної імунної системи, це — нейродегенеративне аутоімунне захворювання. Схожі процеси характерні і для синдрому Гієна-Барре, коли клітини власної імунної системи проникають через шар мієліну і пошкоджують нервові волокна, іноді аж до повного їх переривання. Та на відміну від розсіяного склерозу при цьому захворюванні більшість клітин самостійно відновлюють свою цілісність.
Спадкові хвороби, при яких порушується первинна мієлінізація в ЦНС, називають лейкодистрофіями. До них належать хвороба Пеліцеуса — Мерцбахера, хвороба Краббе і зчеплена з X-зчеплена адренолейкодистрофія.
Також обговорюють роль мієліну в розвитку психічних захворювань, наприклад шизофренії.
При перніціозній анемії, яка виникає внаслідок недостнього надходження з їжею вітаміну В12, спостерігають дегенерацію мієлінової оболонки і атрофії.
Примітки
- Virchow R (1854) Über das ausgebreitete Vorkommen einer dem Nervenmark analogen Substanz in den tierischen Geweben. Virchows Arch. Pathol. Anat. 6:562-572.
- Vgl. Taschenlehrbuch Histologie; Renate Lüllmann-Rauch 3. Auflage S. 189
