Набряк мозку
Набряк мозку (лат. oedema cerebri) — патологічний процес, що проявляється надлишковим накопиченням рідини в клітинах головного або спинного мозку (в першу чергу глії) і міжклітинному просторі, збільшенням об'єму мозку та внутрішньочерепною гіпертензією.
| Набряк мозку | |
|---|---|
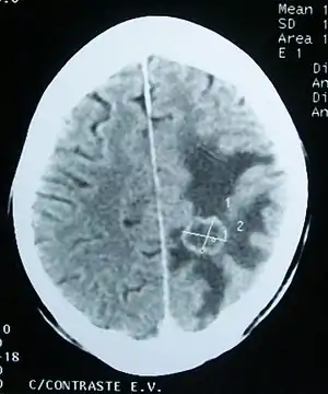
![]() Набряк речовини головного мозку (темна ділянка) навколо метастатичної пухлини (комп'ютерна томограма) Набряк речовини головного мозку (темна ділянка) навколо метастатичної пухлини (комп'ютерна томограма) | |
| Препарати | дексаметазон[1][2], манітол[1], mannitol hexanitrated[1] і prednisolone hemisuccinated[3] |
| Класифікація та зовнішні ресурси | |
| МКХ-11 | 8D60.1 |
| МКХ-10 | G93.6 |
| DiseasesDB | 2227 |
| MeSH | D001929 |
| | |
За патогенезом набряк мозку поділяють на вазогенний, цитотоксичний, інтерстиціальний і фільтраційний. Залежно від етіологічного чинника розрізняють пухлинний, травматичний, післяопераційний, токсичний, запальний, ішемічний та гіпертензивний набряки головного мозку[4][5].
Етіологія та патогенез
У літературі немає єдиної думки щодо терміна «набряк мозку». Так, в Великій медичній енциклопедії (ВМЕ)(1981) зовсім відсутня стаття «набряк мозку», а явище описується у статті «набряк і набухання мозку». Набряк, за термінологією ВМЕ, проявляється розсуванням і здавленням набряклою рідиною клітин, що призводить до порушення проміжного обміну і транспорту кисню з подальшою дистрофією і загибеллю клітин.[6]. Термін «набухання» визначається як «збільшення об'єму клітин або строми внутрішніх органів».[7] Чистого набряку або набухання мозку практично не зустрічається. У сучасній науковій літературі накопичення рідини в клітинах мозку внаслідок пошкодження клітинних мембран і цитоплазми частіше позначається як варіант набряку мозку — цитотоксичний набряк.
Кожен з існуючих видів набряку-набухання мозку має різний патогенез.[8][9][10][11][12][13]
Вазогенний набряк
Вазогенний набряк трактують як залежний від первинного підвищення проникності гематоенцефаличного бар'єру (ГЕБ). У нормі ГЕБ не пропускає позитивно заряджені іони, які забезпечують осмотичний тиск і відповідно таким чином впливає на вміст міжклітинної води. При порушенні проникності ГЕБ інтенсивність транссудації води та її накопичення у тканині мозку буде тим більше, чим вище рівень кров'яного тиску в капілярах, і навпаки.
Вазогенний набряк зустрічається при пухлинах головного мозку, холодовій травмі (в експерименті), мікроемболії судин головного мозку, газової емболії мозкових судин, оклюзії сонних артерій, еклампсії.
Цитотоксичний набряк
Термін «цитотоксичний набряк» являє собою «набухання», тобто збільшення кількості внутрішньоклітинної води. Морфологічно набухання мозку характеризується розвитком внутрішньоклітинного набряку тіла і відростків астроцитів (особливо прилеглих до кровоносних судин). Тіла нейронів практично не зачіпаються процесами набухання до моменту повної загибелі гліальних клітин, що їх оточують.
Первинним фактором, що викликає розвиток цитотоксичного набряку, є недостатнє надходження кисню і АТФ, що викликає порушення роботи іонних насосів і надлишкове надходження в клітину іонів Na+, що викликає підвищення внутрішньоклітинного осмотичного тиску і, відповідно, надмірне надходження в клітину води. Перший удар беруть на себе гліальні клітини, зокрема клітини астроглії.
Інтерстиціальний набряк
Деякі автори виділяють його як окремий вид набряку, що виникає при гідроцефалії (збільшеному внутрішньошлуночковому тиску ліквору), що призводить до просякання субепіндирманої тканини великою кількістю спинно-мозкової рідини.
Клінічні прояви
Клінічні прояви набряку-набухання мозку однакові незалежно від його патогенетичного типу.
Вони складаються з поєднання трьох груп симптомів: зумовлених синдромом внутрішньочерепної гіпертензії, вогнищевих та стовбурових симптомів.
Синдром внутрішньочерепної гіпертензії виникає внаслідок збільшення рідини в закритому просторі порожнини черепа і проявляється розпираючим головним болем, нудотою, блювотою на висоті болю, зниженням рівня свідомості. При довгостроково існуючій внутрішньочерепній гіпертензії на рентгенограмах черепа можна відзначити посилення пальцевих вдавлень, остеопороз спинки турецького сідла, при дослідженні очного дна — набряк сосків зорових нервів.
Розташування набряку в певних областях мозку призводить до порушення їх роботи і, відповідно, випадання поданих ними функцій — осередковою симптоматикою.
Також набряк одних ділянок мозку призводить до зміщення їх відносно інших і виникнення дислокаційних синдромів, які супроводжуються здавленням структур судин і стовбура мозку. Приєднання стовбурової симптоматики у клініці проявляється порушеннями дихання, кровообігу, пригніченням зіничного рефлексу і має загрозу життю.
Лікування
- Одним з основних завдань при лікуванні хворого з внутрішньочерепною патологією в гострому періоді є забезпечення у нього нормального рівня церебрального перфузійного тиску (ЦПТ), так як саме цей тиск визначає достатність кровопостачання і надходження поживних речовин до нейрона.
ЦПТ визначається за формулою:
Набряк мозку призводить до розвитку внутрішньочерепної гіпертензії, підвищення ВЧТ і відповідно до зниження ЦПТ.
Лікування набряку-набухання мозку передбачає:
- підтримання оксигенації (рО2 > 70 мм рт. ст.), при необхідності — переклад на ШВЛ;
- усунення рухового збудження і судом;
- попередження і усунення больових і ноцицептивных реакцій;
- усунення причин, що порушують венозний відтік з порожнини черепа;
- підтримання нормальної температури тіла;
- помірну гіпервентиляцію;
- призначення діуретиків.
При неефективності консервативного лікування проводиться операція — декомпресійна трепанація черепа шляхом видалення кісткового клаптя з метою зниження підвищеного внаслідок набряку мозку ВЧТ.
Особливості терапії цитотоксичного набряку
Для підтримки належного рівня ЦПТ при цитотоксичному набряку мозку дотримуються концепції Рознера[14], яка передбачає підтримання артеріальної гіпертензії, що включає інфузійну терапію, гіперволемію і призначення вазопресорів. Ця концепція дає позитивний ефект при збереженні механізмів ауторегуляції мозкового кровообігу, відсутність ушкодження ГЕБ і за умови, що гіпертензія не повинна виходити за межі ауторегуляції у даного хворого.
Відзначено, що у хворих на артеріальну гіпертензію черепно-мозкова травма протікає відносно легше в порівнянні з постраждалими, що мали нормальний або знижений артеріальний тиск.[15]
Особливістю лікування цитотоксичного набряку мозку полягає у призначенні манітолу або інших осмодіуретиків. Манітол підвищує осмолярність крові і відповідно по градієнту концентрацій виводить надлишкову воду з клітин мозку. Призначення манітолу при вазогенному набряку може викликати феномен віддачі. За рахунок проникнення через пошкоджений ГЕБ у тканину мозку манітол значно підвищує внутрішньотканинну осмолярність, викликаючи збільшення надходження рідини і наростання набряку. Також при цитотоксичному набряку мозку корисну дію надає барбітуровий наркоз. Знижуючи мозкову діяльність, а значить і потребу клітин в АТФ, він має виражений протинабряковий ефект.
Особливості терапії вазогенного набряку
При вазогенному набряку мозку застосовується концепція Лунда[16], яка, на перший погляд, є протилежністю концепції Рознера. Вона передбачає створення артеріальної гіпотензії шляхом призначення вазоконстрикторів і гіповолемії. При вазогенному набряку відзначається порушення проникності ГЕБ, і відповідно переміщення рідини через мембрани залежить від градієнта гідростатичних тисків між церебральними капілярами і інтерстицієм. При більш високому артеріальному тиску буде відзначатися велика вираженість набряку мозку. ВЧТ при підвищенні САТ буде підвищуватися швидше, а отже, ЦПТ зменшуватися.
Особливостями лікування вазогенного набряку мозку також є призначення глюкокортикоїдів, які зменшують проникність ГЕБ і роблять виражений лікувальний ефект. При цитотоксическому набряку мозку глюкокортикоїди неефективні.
Примітки
- NDF-RT
- Drug Indications Extracted from FAERS — doi:10.5281/ZENODO.1435999
- Inxight: Drugs Database
- ОТЁК ГОЛОВНОГО МОЗГА. Энциклопедия медицины. Архів оригіналу за 6 січня 2012. Процитовано 20 листопада 2017.
- Мозг головной: отек мозга. Архів оригіналу за 7 березня 2009. Процитовано 20 листопада 2017.
- Большая медицинская энциклопедия: [В 30-ти т./ АМН СССР]. Гл. ред. Б. В. Петровский. — 3-е изд. — М.: Советская энциклопедия. — Т. 18. ОСТЕОПАТИЯ — ПЕРЕЛОМЫ. 1981. 528 с. с ил. с. 59-60
- Большая медицинская энциклопедия: [В 30-ти т./ АМН СССР]. Гл. ред. Б. В. Петровский. — 3-е изд. — М.: Советская энциклопедия. — Т. 16. МУЗЕИ — НИЛ. 1981. 513 с. с ил. С. 105
- Бакай Л., Ли Д. Отёк мозга. «Медицина», Москва. 1969
- Квитницкий-Рыжов Ю. Н. Современное учение об отёке и набухании головного мозга. «Здоров'я» Київ. 1988
- Лесницкая В. Л., Морозов В. В., Пашкова В. С., Иванова И. А. Отёк мозга в эксперименте и клинике. Симферополь. 1959
- Мчедлишвили Г. И. Отёк головного мозга. «Мецниереба», Тбилиси. 1986
- Черний В. И., Кардаш А. М., Городник Г. А., В. Г. Дроботько. Диагностика и лечение отёка и набухания головного мозга. — К.: «Здоров'я», 1997. — с. 228
- Youmans neurological surgery / [edited by] H.Richard Winn. — 5th ed. SAUNDERS, Philadelphia. 2004 pp. 165—166
- PowerPoint Presentation
- Педаченко Е. Г. Ушибы головного мозга у больных артериальной гипертензией (нейрохирургическая диагностика и лечение) Автореферат диссертации на соискание учёной степени доктора медицинских наук. Москва. 1983
- Патофизиология мозгового кровообращения — Литература — Medvuz.RU — Образовательный медицинский сервер
