Куру (хвороба)
Куру́ — хвороба, що історично траплялась у високогірних районах Нової Гвінеї майже виключно в аборигенів племені форе. Хвороба характеризується утворенням губкоподібної енцефалопатії й характерної атрофії мозочку, її відносять до пріонових інфекцій.
| Куру | |
|---|---|
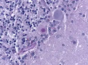
![]() Мікропрепарат мозочку, отриманий при розтині головного мозку померлого. Пляма бузкового забарвлення в центрі мікропрепарату — це вогнище атрофії мозочку, як це відбувається при куру Мікропрепарат мозочку, отриманий при розтині головного мозку померлого. Пляма бузкового забарвлення в центрі мікропрепарату — це вогнище атрофії мозочку, як це відбувається при куру | |
| Спеціальність | інфекційні хвороби і неврологія |
| Симптоми | головний біль, артралгія, порушення просторового сприйняття і стійкостіd, тремор, диплопія, розлади мовленняd, косоокість, великий депресивний розлад, ожиріння, емоційна лабільністьd, м’язова слабкістьd і пролежень |
| Причини | пріон |
| Метод діагностики | фізикальне обстеження, МРТ, біопсія і гістологія |
| Класифікація та зовнішні ресурси | |
| МКХ-11 | 8E01.1 |
| МКХ-10 | A81.8 |
| OMIM | 245300 |
| DiseasesDB | 31861 |
| MedlinePlus | 001379 |
| eMedicine | /1248 |
| MeSH | D007729 |
| | |
Куру є найтиповішим прикладом пріонових захворювань людини — губкоподібної енцефалопатії. Саме при вивченні куру було сформовано концепцію трансмісивних спонгіформних енцефалопатій людини.
Історичні факти
У східній частині Нової Гвінеї на висоті 1500—2000 метрів над рівнем моря розташований важкодоступний гірський район, населений різними папуаськими племенами, між якими з незапам'ятних часів велися часті війни. Перші контакти з європейцями сталися тільки в 1932 році, коли тут з'явилися золотошукачі. У 1949 році в цій місцевості була заснована перша лютеранська місія. Незабаром був організований і патрульний пост, завданням якого було припиняти міжусобиці й підтримувати порядок[1]. Перший патрульний офіцер цього району Джон Макартур 6 грудня 1953 року, підходячи до села Амусі народності форе, побачив маленьку дівчинку, що сиділа біля багаття. Вона сильно тремтіла, а голова її посилено погойдувалася з одного боку в інший. Місцеві жителі пояснили офіцерові, що дівчинка є жертвою чаклунства, і це тремтіння триватиме до моменту її смерті, яка настане обов'язково через всього декілька тижнів.
Надалі, Макартур зустрів ще схожі випадки серед аборигенів цього плем'я[2]. Він дізнався, що тубільці називають цей стан «куру», що на місцевій мові означає «тремтіння від холоду або страху» або «пристріт, псування»[3]. Члени племені форе вірили, що хвороба є наслідком прокляття з боку чужого шамана. Австралієць природно відкинув цю містичну нісенітницю про чаклунство і запідозрив у куру нове, невідоме європейцям захворювання. Він поділився своїми думками із співвітчизником, санітарним лікарем Вінсентом Зигасом, який в 1956 році став проводити перші кваліфіковані спостереження за хворими папуасами. Доктор зібрав і багатий фактичний матеріал, і проби крові від 26 хворих на куру, а також шматочки мозку померлого від хвороби. Усю зібрану біологічну тканину Зигас переслав в Мельбурн, де в лабораторії були зроблені перші дослідження. Але вони виявилися абсолютно безуспішними. Не було виявлено жодного з відомих на той час вірусів. Більше того, численними зараженнями лабораторних тварин також не вдалося нічого добитися. Ніякої позитивної інформації не принесло і дослідження сироваток.
У березні 1957 року до вивчення куру підключився американський вірусолог Деніел Карлтон Гайдушек[4]. Разом із Зигасом вони через деякий час повідомляють, що проведені дослідження однозначно свідчать — хвороба абсолютно самостійна і не є якоюсь незвичайною формою іншої інфекції. З цієї миті в районі проживання форе починаються інтенсивні комплексні пошуки причини куру, з'ясування її властивостей. Виявилось, що захворювання настільки однорідно у своїх проявах, що описується різними тубільцями з дивовижною одноманітністю. Ця схожість привела до легкого запам'ятовування стадій хвороби і включення елементів в чаклунський ритуал танців місцевих старійшин. З'ясування причин хвороби затягнулося на багато років.
У 1961 році австралійський лікар-дослідник Майкл Альперс разом з антропологом Ширлі Лінденбаум провели серйозні польові дослідження серед форе[5]. Вони показали, що епідемія виникла близько 1900 року з однієї людини, яка імовірно хворіла на хворобу Кройцфельда—Якоба. Їх дослідження переконливо показало, що куру легко поширювалося в народі форе через їх ритуальний посмертний канібалізм, який лежав в основі поховального ритуалу померлих членів плем'я[6]. Виявилось, що захворює щорічно приблизно 200 чоловік з племені форе. Страждають переважно діти, жінки і не більше 2 % дорослих чоловіків. Хворих жінок було у 9 разів більше ніж чоловіків. Також іноді захворювали і представники інших народностей (яте, юсануфа), пов'язані з форе шлюбними стосунками. Водночас багато європейців у 1950-ті роки та жителі інших районів Нової Гвінеї, що відвідували цю місцевість раніше, не захворіли.
Гайдушек свого часу теж немало часу провів у селах форе, був свідком декількох ритуалів канібалізму. Виявилось, що це плем'я вважає необхідним з'їдати рештки своїх родичів після їх смерті. Багато племен Нової Гвінеї практикувало канібалізм по відношенню до інших племен, але форе переважно вживали саме своїх родичів, адже вважали, що це велика данина поваги. Вони щиро вірили, що з мозком і органами покійників до них приходять усі хороші риси, які були властиві померлим за життя[7]. Оскільки вважалося, що дорослим чоловікам потрібна сила і швидкість, то у таких бенкетах їм природно діставалися м'язи покійних. А ось дітям і жінкам «перепадали» мізки й інші внутрішні органи. Готували усе це до вживання дівчата і жінки. Голими руками вони розчленовували трупи. Відокремивши мозок і внутрішні органи, закладали їх знову ж таки голими руками в спеціальні бамбукові циліндри, які потім недовго тримали на розжарених каменях у виритих для цього в землі ямах. В очікуванні бенкету жінки обтирали руки об свої тіла і волосся, чистили отримані при оброблянні ранки, розчісували місця укусів комах, витирали очі та носи дітям. Здавалося б, все вказувало на те, що передача здійснюється в результаті попадання заразного початку через ділянки пошкодженої шкіри, слизових оболонок або кон'юнктиви. Стало зрозумілим, чому серед чоловіків так мало було хворих. Адже вони не брали участь в попередніх етапах, а тільки їли приготоване м'ясо. Якщо родич помирав від куру, то його з'їдали, а члени сім'ї заражалися практично неминуче. Але все-таки, чому захворювала мізерна кількість чоловіків? Тому що, за звичаями форе хлопчики рано покидали матерів та сестер і селилися в так званому чоловічому будинку, не беручи участь вже після цього в ритуальних обов'язках. Гайдушек пояснив це через багато років по тому, коли він природним чином, через рот, зумів заразити білкоподібну мавпу Нового Світу[8]. Стало ясно, що окрім контактного інфікування, через попадання крові, частинок органів померлих через ранки до здорових, існує і харчове зараження[9]. Розуміння того, що все-таки саме харчовий шлях грає найзначнішу роль в зараженні куру, принесли подальші спостереження. Вони засвідчили, що після заборони на канібалізм, незважаючи на велику кількість можливостей контактного зараження у членів сімей, що доглядали за родичами, хворими на куру, розвитку недуги не відбувалося. Нові випадки куру реєстрували в племені форе щорічно аж до 2005 року, проте всі вони траплялися у людей, що народилися раніше 1956 року, до заборони канібалізму, і брали участь у ритуалах[10]. Так з 1957 по 1968 рік захворіло і померло 1 100 форе.[11]. Це свідчить, що інкубаційний період може тривати декількома десятиліттями.
Гайдушек здійснив багато дослідів на тваринах, перш ніж на початку 1965 року нарешті довів інфекційну природу хвороби. У січні цього року він виявив у самиці шимпанзе, зараженою суспензією мозкової тканини людини, що померла від куру, за 21 місяць до цього, перші симптоми, що нагадували цю хворобу. Через 9 місяців від початку проявів мавпа загинула, і при розтині були виявлені такі ж зміни в головному мозку, як і у людей, що померли від куру. Ще одна мавпа захворіла згодом аж через 30 місяців після її зараження. Гайдушек і його співробітники у результаті зуміли передати куру від 11-ти загиблих людей 18-ти шимпанзе в строк від 14 до 39 місяців з моменту зараження. Мало того, вдалося передати куру і від шимпанзе до шимпанзе, при цьому прихований інкубаційний період скоротився до 11-18 місяців. Дослідження показали, що гіпотетичний збудник хвороби знаходиться не лише в головному мозку, але і у внутрішніх органах, суспензією яких вдалося спричинити куру у тварин. Також вдалося відтворити зараження не лише шляхом внутрішньомозкового зараження, але і внутрішньом'язовим та внутрішньовенним введенням[12]. Таким чином, Гайдушек повністю довів, що куру є хворобою з групи повільних інфекцій[8].
За сучасними поглядами, куру — це пріонова інфекція. За відкриття інфекційного характеру хвороби куру Карлтона Гайдушека було удостоєно 1976 року Нобелівської премії з фізіології або медицини. Отримані гроші він пожертвував племені форе. Сам Гайдушек пріонову теорію не визнав і був переконаний, що губчасту енцефалопатію спричиняють так звані віруси сповільненої дії[8]. Відкрив пріони і розробив пріонову теорію розвитку губчастої енцефалопатії інший американський науковець Стенлі Прузінер, за що йому було присуджено також Нобелівську премію з фізіології або медицини в 1997 році.
Існують дві версії виникнення куру:
Етіологія
Детальніші відомості з цієї теми ви можете знайти в статті Пріони.
Епідеміологічні особливості
Джерело інфекції
При куру джерелом збудника в природі вважають людину — хвору або ту, яка перебуває в інкубаційному періоді недуги.
Механізм і шляхи передачі
Передача інфекції в природі здійснюється за допомогою аліментарного механізму через вживання в їжу органів померлих людей при канібалізмі. Частково відбувається й контактний механізм — передача збудника через забруднені кров'ю та залишками тканин руки при контакті з пошкодженою шкірою. Гіпотетично можливий й ятрогенний (медичний) гемоконтактний механізм передачі пріонів.
Сприйнятливий контингент та імунітет
Через особливості канібальського ритуалу найбільш вразливими виявилися особи жіночої статі. Це призвело до відмови від багатоженства, яке було поширене у форе. У результаті епідемії склався дисбаланс у популяції форе — до кінця 1950- років 62 % становили особи чоловічої статі. Внаслідок захворювання імунітет не виробляється, а захворілий на куру обов'язково помирає. У 2009 року американські науковці зробили несподіване відкриття: деякі члени племені форе завдяки тому, що в них з'явився поліморфізм гену PRNP, мають вроджений імунітет до куру[15].
Клінічні прояви

Куру має дуже тривалий інкубаційний період — від кількох місяців до декількох десятків років. До появи типових симптомів можуть тривати кілька місяців початкові (продромальні) явища у вигляді помірного головного і суглобного болю. Хвороба досить однорідна у своїх проявах, проходить чіткі 3 клінічні стадії:
- На 1-й стадії першою справжньою ознакою куру є порушення ходи, настільки непомітне, що спочатку виявляється оточуючими, а не самим хворим. Воно швидко прогресує, змушуючи ходити з паличкою. Характеризується неправильною постановкою ніг і порушенням координації рухів. Під час обстеження хворого в особливій діагностичній позі відзначається специфічний для куру феномен чіпляння пальців ніг за опору для підтримки рівноваги. З'являється тремтіння кінцівок, тулуба і голови, двоїння в очах і змазаність мови. Уражені типово тримають руки разом, щоб зменшити їх тремтіння (тремор). У дітей виникає косоокість. Тремтіння через 2-3 місяці настільки збільшується, що напади його виникають з частотою 2-3 рази на секунду, створюючи в оточуючих враження ознобу. Тремтіння зменшується тоді, коли людина сидить розслабившись або спить. Це все виникає на тлі депресії. У середньому 1-а стадія триває близько 8 місяців.
- У наступній 2-й стадії хворі на куру вже не можуть ходити, але ще здатні самостійно сидіти. Через порушення рухової активності у них буває ожиріння, обумовлене буйним апетитом. Паралічів немає, хоча м'язова сила слабшає. З'являється підвищена емоційна збудливість, надмірний і недоречний, дивний сміх, неконтрольований хворим, довго не проходить посмішка, іноді є навіть буйні безпричинні веселощі. 2-а стадія триває 2-3 місяці.
- У кінцевій 3-й стадії з'являється така м'язова слабкість, що хворі вже не можуть сидіти і самостійно їсти, втримувати природні позиви. З'являються пролежні. Іноді спостерігається надбане недоумство. Триває стадія не більше 2-х місяців і завжди закінчується смертю приблизно через 1 рік від початку хвороби.
Діагностика і лікування
Детальніші відомості з цієї теми ви можете знайти в статті Пріонові хвороби.
Профілактика
Після заборони ритуального канібалізму у форе в 1956 році хвороба поступово зійшла нанівець. Таким чином відбулась ефективна профілактика передачі куру, адже заборона вживання в їжу решток померлих та їх приготування перервали ланцюг передачі хвороби на рівні реалізації механізмів і шляхів передачі.
Примітки
- На той час ця частина острова належала Австралії.
- Його начальник В. Браун повідомив у звіті англ. Kainantu Patrol Report № 8 від 1953/54 (13 січня 1954-20 лютого 1954): «Перша ознака того, що у хворої насувається смерть, є дебільність, яка наслідує загальній слабкості і нездатності стояти. Жертва йде до себе в будинок. Вона здатна з'їсти трохи їжі, але страждає від насильницького тремтіння. Наступним етапом є те, що жертва намертво лягає в домі і не може приймати їжу, і смерть зрештою настає».
- В подальшому, журналісти вигадали й ввели в обіг начебто переклад «куру» — «смерть, що сміється». Дійсно, ознаками захворювання є сильне тремтіння і рвучкі рухи головою, які іноді супроводжуються посмішкою, подібною до тієї, що виникає у хворих на правець (risus sardonicus, сардонічна посмішка), чи безпричинним сміхом. Однак самі форе так про хворобу ніколи не говорять
- Gadjusek DC (1996) Kuru: from the New Guinea field journals 1957—1962. Grand Street, 15:6-33. (англ.)
- Monash University > Medicine, Nursing and Health Sciences > News > 2009 > A life of determination . (англ.)
- Lindenbaum S (1979) Kuru Sorcery. Mountain View, Ca, Mayfield Publishing Company. (англ.)
- Diamond JM (1997). Guns, germs, and steel: the fates of human societies. New York: W.W. Norton. p. 208. ISBN 0-393-03891-2. (англ.)
- Gajdusek DC. Unconventional viruses and the origin and disappearance of kuru. Science. Sep 1977.- vol.197, issue№ 4307. p. 943-60. (англ.)
- Gibbs CJ, Amyx HL, Bacote A, Masters CL, Gajdusek DC (August 1980). «Oral transmission of kuru, Creutzfeldt-Jakob disease, and scrapie to nonhuman primates». J. Infect. Dis. 142 (2): 205-8. doi:10.1093/infdis/142.2.205. PMID 6997404 (англ.)
- 2005 року помер останній хворий на куру.
- Kuru: The Dynamics of a Prion Disease (англ.)
- Gadjusek DC, Gibbs CJ, and M Alpers (1966) Experimental transmission of a kuru-like syndrome to chimpanzees. Nature, 209:794. (англ.)
- Mestel R (1996) Putting prions to the test. Science, 273:184-189 (англ.)
- Collins S, McLean CA, Masters CL Gerstmann-Straussler-Scheinker syndrome, fatal familial insomnia, and kuru: a review of these less common human transmissible spongiform encephalopathies. J Clin Neurosci, 2001. — vol.8, issue№ 5. — p. 387-97. — pmid 11535002, doi=10.1054/jocn.2001.0919 (англ.)
- «A Novel Protective Prion Protein Variant that Colocalizes with Kuru Exposure». N. Engl. J. Med. 361 (21): 2056—2065. DOI:10.1056/NEJMoa0809716. PMID 19923577. (англ.)
Джерела
- Gadjusek DC (1973) Kuru in the New Guinea Highlands. In Spillane JD (ed): Tropical Neurology. New York, Oxford University Press. (англ.)
- Mims CA and DO White (1984) Viral Pathogenesis and Immunology. Boston, Blackwell Scientific Publications. (англ.)
- Інфекційні хвороби (підручник) (за ред. О. А. Голубовської). — Київ: ВСВ «Медицина» (2 видання, доповнене і перероблене). — 2018. — 688 С. + 12 с. кольор. вкл. (О. А. Голубовська, М. А. Андрейчин, А. В. Шкурба та ін.) ISBN 978-617-505-675-2
- Max D. T. The Family That Couldn't Sleep: A Medical Mystery Paperback — Random House Trade Paperbacks.- 2007. — 336 стор. (англ.)
