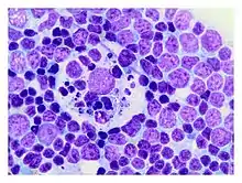
Макрофаг із включенням, що фарбується
Макрофаги із включеннями, що фарбуються (tingible body macrophage, TBMs) є типом макрофагів переважно в зародкових центрах, що всередені містять багато залишків фагоцитозу, апоптозу в різних станах деградації, які звуться включеннями, що фарбуються (tingible означає, "те що можна пофарбувати"). [1] TBMs містять конденсовані фрагменти хроматину.[2]

TBMs призначені для фагоцитозу фолікулярними дендритними клітинами (FDC).[3] FDC забезпечують TBMs білком Mfge8, який є сигналом «з’їж мене» , що зв’язує фосфатидилсерин, для видалення апоптованих В-клітин зародкового центру . [3]
Вважається, що вони можуть відігравати роль у гальмуванні реакції зародкового центру шляхом вивільнення простагландинів і, отже, зниження індукції В-клітин цитокіном IL-2 . [4]
Макрофаги, що містять уламки проковтнутих лімфоцитів, є характерними для реактивного фолікулярного центру при доброякісному реактивному лімфаденіті. Іншими супутніми ознаками доброякісної фолікулярної гіперплазії є добре розвинені зародкові центри з темними і світлими зонами, на додаток до численних ознак мітозу.
Посилання
- Horst Ibelgaufts' COPE: Cytokines & Cells Online Pathfinder Encyclopaedia > tingible body macrophages Retrieved on June 27, 2010
- MacLennan I.C.M (1994). Germinal Centers. Annual Review of Immunology 12: 117–139. PMID 8011279. doi:10.1146/annurev.iy.12.040194.001001.
- Follicular dendritic cells: origin, phenotype, and function in health and disease. Trends in Immunology 35 (3): 105–113. 2014. PMID 24315719. doi:10.1016/j.it.2013.11.001. Проігноровано невідомий параметр
|vauthors=(довідка) - Tingible body macrophages in regulation of germinal center reactions.. Developmental Immunology 6 (3–4): 285–294. 1998. PMC 2276033. PMID 9814602. doi:10.1155/1998/38923. Проігноровано невідомий параметр
|vauthors=(довідка); Проігноровано невідомий параметр|doi-access=(довідка)