Мозолисте тіло
Мозолисте тіло (лат. corpus callosum) — широкий, плаский пучок нервових волокон довжиною близько 10 см під корою головного мозку у товщі поздовжньої щілини (лат. fissura longitudinalis). З'єднує ліву і праву півкулі головного мозку, забезпечує міжпівкульний зв'язок. Це найбільша структура білої речовини головного мозку, що складається з 200—250 млн контралатерально спрямованих (назустріч один одному, з обох сторін)аксонів кіркових нейронів.
| Мозолисте тіло | |
|---|---|
![]() Мозолисте тіло згори. (Передня частина вгорі.) | |
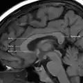
![]() Медіанно-сагітальний розтин головного мозку. Мозолисте тіло по центру, світло-сірого кольору. | |
| Деталі | |
| Частини | коліно (лат. genu), стовбур (лат. trunkus), валок (лат. splenium) |
| Ідентифікатори | |
| Анатомія Грея | subject #189 |
| MeSH | D003337 |
| NeuroNames | 191 |
| NeuroLex ID | birnlex_1087 |
| TA98 | A14.1.09.241 |
| TA2 | 5604 |
| FMA | 86464[1] |
| Анатомічна термінологія | |

Структура
Задня частина мозолистого тіла — валок (лат. splenium); передня називається коліном (лат. genu); між ними знаходиться стовбур мозолистого тіла. Частина між тілом і валком звужена й називається перешийком (лат. isthmus). Ростральна платівка — частина мозолистого тіла, що знаходиться дозаду й донизу від найбільш передньої частини коліна мозолистого тіла, як показано на сагітальному зображенні мозку праворуч. Кінцеву її частину називають дзьобом (за схожість із пташиним дзьобом).

Волокна по обидві сторони мозолистого тіла отримали назву променистості, оскільки променеподібно входять у білу речовину півкуль головного мозку й прямують до різних ділянок кори. Одні, згинаючись уперед від коліна, йдуть у лобову частку утворюють передні щипці, а другі, згинаючись назад у потиличній частці, утворюють задні щипці. Між цими двома частинами знаходиться основний стовбур мозолистого тіла, з якого волокна простягаються латерально в обидві сторони в скроневі частки, і покрівлю центральної частини бічного шлуночка[2][3].
Статеві відмінності
Мозолисте тіло й статеві відмінності його структури та функцій були предметом дискусій у наукових колах протягом більш як століття. Перші дослідження на початку 20-го століття показали відмінності в розмірах між чоловіками і жінками. Ці дослідження в свою чергу, викликали запитання, і в кінцевому підсумку, більш поліпшені методи візуалізації, які з'явилися останнім часом, спростували попередні уявлення. Однак, передові аналітичні методи комп'ютерної неврології, розроблені в 1990-х роках виявили, що статеві відмінності очевидні, але стосуються певних частин мозолистого тіла й корелюють з когнітивною продуктивністю в деяких тестах[4]. Недавні дослідження з використанням магнітно-резонансної томографії (МРТ) виявили, що площа середньосагітального перерізу мозолистого тіла, в порівнянні з розміром мозку, в середньому, пропорційно більше у жінок[5].
З допомогою дифузійної МРТ також були знайдені статеві відмінності в морфології і мікроструктурі мозолистого тіла[6][7][8].
Морфометричний аналіз при вивченні конкретних тривимірних математичних моделей за допомогою МРТ, і знайшли ґрунтовні й статистично значущі відмінності між чоловіками і жінками.[9][10] Спеціальні алгоритми виявили значні відмінності між чоловіками і жінками більш ніж в 70 % випадків в одному дослідженні.[11]
Інші кореляції
Передня частина мозолистого тіла, як виявилося, значно більше у музикантів, ніж немузикантів,[12] Приблизно на 0,75 см2 , або на 11 % вона також більше у шульг і «оборуких» (осіб з амбідекстрією) людей, ніж у правш.[13] ця різниця проявляється в передній і задній областях мозолистого тіла[14]. Інші магнітно-резонансні морфометричні дослідження показали, що розмір мозолистого тіла позитивно корелює з вербальною пам'яттю і семантичною продуктивністю в тестах[15]. Діти з дислексією, як правило, мають менш розвинене мозолисте тіло, ніж їх їхні однолітки без дислексії[16][17].
Навчання музиці підвищує пластичність мозолистого тіла під час розвитку. Наслідки збільшення координації рук, відмінності в структурі білої речовини та посилення пластичності моторних і слухових шляхів у подальшому допомагають кращому навчанню. Дослідження показало, що діти, які почали музичну освіту у віці до шести років (мінімум 15 місяців занять) мали збільшений обсяг мозолистого тіла, а ті, які почали таке навчання до 11 років, мали кращу, ніж однолітки, бімануальну координацію[18].
Клінічне значення
Епілепсія

Симптоми рефрактерної епілепсії можуть бути зменшені шляхом перерізання мозолистого тіла у рамках операції, відомої як калозотомія[19]. Вона проводиться у випадках, коли складні або великі припадки починаються в епілептогенних вогнищах на одній стороні мозку розряди генералізуються й розповсюджуються на протилежну півкулю. Підготовка до такої операції передбачає електроенцефалографію, МРТ, ПЕТ сканування і консультації епілептолога, невролога, нейрохірурга, психіатра, і нейрорадіолога[20].
Вади розвитку
Агенезія мозолистого тіла (АМТ) — це рідкісна вроджена патологія, яка є одним з найбільш поширених вад розвитку мозку людини,[21] при якій мозолисте тіло зменшене або повністю відсутнє. АМТ, як правило, діагностується протягом перших двох років життя, а може існувати безсимптомно й бути випадковою знахідкою. Початкові симптоми АМТ зазвичай включають в себе судоми, вслід за якими можуть проблеми з годуванням проблем і затримок у початку самостійного тримання голови, сидіння, стояння і ходи. Інші можливі симптоми можуть включати порушення психічного й фізичного розвитку, зорово-моторної координації, візуальної й слухової пам'яті. АМТ іноді супроводжується гідроцефалією. У легких випадках, такі симптоми, як судоми, ехолалія, або головний біль можуть не з'являтися роками. Відсутність мозолистого тіла є головним патологічним компонентом при синдромі Ейкарді.
АМТ зазвичай не смертельна. Лікування зазвичай симптоматичне, з приводу гідроцефалії і судом тощо. Хоча багато дітей з таким захворюванням можуть вести нормальний спосіб життя й мають середній інтелект, ретельне нейропсихологічне тестування виявляє тонкі відмінності у вищих коркових функціях порівняно з особами того ж віку та освіти, без АМТ. Дітям з АМТ, яка супроводжується затримкою розвитку та/або епілепсією, слід пройти обстеження на метаболічні порушення.[22]
Окрім повної агенезії мозолистого тіла, існують схожі стани, але з неповним його ураженням: затримка розвитку (часткова), дисгенезія (неправильний розвиток), і гіпоплазія (недостатній розвиток, у тому числі й занадто тонке мозолисте тіло).
Недавні дослідження також пов'язують можливі взаємозв'язки між вадами розвитку мозолистого тіла й розладами аутистичного спектру.[23]
Інші захворювання
Ураження передніх відділів мозолистого тіла може призвести до акінетичного мутизму або тактильної аномії. Пошкодження задніх відділів мозолистого тіла (валок, лат. splenium) можуть призвести до алексії (нездатність до читання) без аграфії.
Додаткові зображення
Мозолисте тіло
Мозолисте тіло
Мозолисте тіло
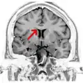
Вінцева Т2 МРТ головного мозку на рівні хвостатого ядра з підкресленням мозолистого тіла
Мозолисте тіло на МРТ
Шлуночки головного мозку та базальні ганглії.Вигляд згори. Горизонтальний ділянка.Глибокий розтин
Глибокий розтин мозку
Посилання
- Foundational Model of Anatomy
- Caminiti, Roberto; Ghaziri, Hassan; Galuske, Ralf; Hof, Patrick R.; Innocenti, Giorgio M. (2009). Evolution amplified processing with temporally dispersed slow neuronal connectivity in primates. Proceedings of the National Academy of Sciences 106 (46): 19551–6. Bibcode:2009PNAS..10619551C. JSTOR 25593230. PMC 2770441. PMID 19875694. doi:10.1073/pnas.0907655106.
- Hofer, Sabine; Frahm, Jens (2006). Topography of the human corpus callosum revisited—Comprehensive fiber tractography using diffusion tensor magnetic resonance imaging. NeuroImage 32 (3): 989–94. PMID 16854598. doi:10.1016/j.neuroimage.2006.05.044.
- Davatzikos, C; Resnick, S. M. (1998). Sex differences in anatomic measures of interhemispheric connectivity: Correlations with cognition in women but not men. Cerebral Cortex 8 (7): 635–40. PMID 9823484. doi:10.1093/cercor/8.7.635.
- Ardekani, B. A.; Figarsky, K.; Sidtis, J. J. (2012). Sexual Dimorphism in the Human Corpus Callosum: An MRI Study Using the OASIS Brain Database. Cerebral Cortex 23 (10): 2514–20. PMID 22891036. doi:10.1093/cercor/bhs253.
- Dubb, Abraham; Gur, Ruben; Avants, Brian; Gee, James (2003). Characterization of sexual dimorphism in the human corpus callosum. NeuroImage 20 (1): 512–9. PMID 14527611. doi:10.1016/S1053-8119(03)00313-6.
- Westerhausen, René; Kreuder, Frank; Sequeira, Sarah Dos Santos; Walter, Christof; Woerner, Wolfgang; Wittling, Ralf Arne; Schweiger, Elisabeth; Wittling, Werner (2004). Effects of handedness and gender on macro- and microstructure of the corpus callosum and its subregions: A combined high-resolution and diffusion-tensor MRI study. Cognitive Brain Research 21 (3): 418–26. PMID 15511657. doi:10.1016/j.cogbrainres.2004.07.002.
- Shin, Yong-Wook; Jin Kim, Dae; Hyon Ha, Tae; Park, Hae-Jeong; Moon, Won-Jin; Chul Chung, Eun; Min Lee, Jong; Young Kim, In; Kim, Sun I. та ін. (2005). Sex differences in the human corpus callosum: Diffusion tensor imaging study. NeuroReport 16 (8): 795–8. PMID 15891572. doi:10.1097/00001756-200505310-00003.
- Kontos, Despina; Megalooikonomou, Vasileios; Gee, James C. (2009). Morphometric analysis of brain images with reduced number of statistical tests: A study on the gender-related differentiation of the corpus callosum. Artificial Intelligence in Medicine 47 (1): 75–86. PMC 2732126. PMID 19559582. doi:10.1016/j.artmed.2009.05.007.
- Spasojevic, Goran; Stojanovic, Zlatan; Suscevic, Dusan; Malobabic, Slobodan (2006). Sexual dimorphism of the human corpus callosum: Digital morphometric study. Vojnosanitetski pregled 63 (11): 933. doi:10.2298/VSP0611933S.
- Yokota, Y.; Kawamura, Y.; Kameya, Y. (2005). Callosal Shapes at the Midsagittal Plane: MRI Differences of Normal Males, Normal Females, and GID. 2005 IEEE Engineering in Medicine and Biology 27th Annual Conference: 3055–8. ISBN 0-7803-8741-4. doi:10.1109/IEMBS.2005.1617119.
- Levitin, Daniel J. «This is Your Brain on Music», '
- Driesen, Naomi R.; Raz, Naftali (1995). The influence of sex, age, and handedness on corpus callosum morphology: A meta-analysis. Psychobiology 23 (3): 240–7.
- Witelson, S. (1985). The brain connection: The corpus callosum is larger in left-handers. Science 229 (4714): 665–8. Bibcode:1985Sci...229..665W. PMID 4023705. doi:10.1126/science.4023705.
- Kozlovskiy, S.A.; Vartanov, A.V.; Pyasik, M.M.; Nikonova, E.Y. (2012). Functional role of corpus callosum regions in human memory functioning. International Journal of Psychophysiology 85 (3): 396–7. doi:10.1016/j.ijpsycho.2012.07.092.
- Hynd, G. W.; Hall, J.; Novey, E. S.; Eliopulos, D.; Black, K.; Gonzalez, J. J.; Edmonds, J. E.; Riccio, C. та ін. (1995). Dyslexia and Corpus Callosum Morphology. Archives of Neurology 52 (1): 32–8. PMID 7826273. doi:10.1001/archneur.1995.00540250036010.
- Von Plessen, K; Lundervold, A; Duta, N; Heiervang, E; Klauschen, F; Smievoll, AI; Ersland, L; Hugdahl, K (2002). Less developed corpus callosum in dyslexic subjects—a structural MRI study. Neuropsychologia 40 (7): 1035–44. PMID 11900755. doi:10.1016/S0028-3932(01)00143-9.
- Steele, C. J.; Bailey, J. A.; Zatorre, R. J.; Penhune, V. B. (2013). Early Musical Training and White-Matter Plasticity in the Corpus Callosum: Evidence for a Sensitive Period. Journal of Neuroscience 33 (3): 1282–90. PMID 23325263. doi:10.1523/JNEUROSCI.3578-12.2013.
- Clarke, Dave F.; Wheless, James W.; Chacon, Monica M.; Breier, Joshua; Koenig, Mary-Kay; McManis, Mark; Castillo, Edward; Baumgartner, James E. (2007). Corpus callosotomy: A palliative therapeutic technique may help identify resectable epileptogenic foci. Seizure 16 (6): 545–53. PMID 17521926. doi:10.1016/j.seizure.2007.04.004.
- WebMd Corpus Callotomy. Web MD. 18 липня 2010. Процитовано 18 липня 2010.
- Dobyns, W. B. (1996). Absence makes the search grow longer. American Journal of Human Genetics 58 (1): 7–16. PMC 1914936. PMID 8554070.
- NINDS Agenesis of the Corpus Callosum Information Page: NINDS. RightDiagnosis.com. Процитовано 30 серпня 2011.
- Autism May Involve A Lack Of Connections And Coordination In Separate Areas Of The Brain, Researchers Find. Medical News Today.

