Остеобласт
Остеобласти (від лат. os — кістка, грец. blastos — зачаток) — молоді клітини кісткової тканини, що створюють кісткову тканину. У вже сформованій кістці вони зустрічаються тільки в ділянках руйнування і відновлення кісткової тканини. У кістках, що утворюються, вони покривають майже суцільним шаром усю поверхню кісткової балки. Остеобласти бувають різної форми: кубічної, пірамідальної або багатокутньої. Діаметр їх тіла близько 15-20 мкм. Здатні до розмноження. Поступово остеобласти диференціюються у остеоцити, при цьому кількість органел у клітині зменшується. Міжклітинна речовина, яка утворюється остеобластами, замуровує клітину з усіх боків і просочується солями кальцію.
| Остеобласт | |
|---|---|
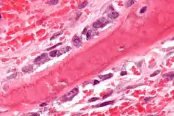
![]() Остеобласти (блакитні) на перерізі декальцифікованої кістки | |
| Деталі | |
| Ідентифікатори | |
| Латина | osteoblast |
| MeSH | D010006 |
| TH | H2.00.03.7.00002 |
| FMA | 66780[1] |
| Анатомічна термінологія | |
Будова
Ядро округлої або овальної форми, часто розміщене ексцентрично, містить одне або кілька ядерець. В цитоплазмі остеобластів добре розвинуті ендоплазматична сітка, мітохондрії і комплекс Ґольджі. У ній є в значних кількостях РНК і висока активність лужної фосфатази. Лужна фосфатаза бере участь в імпрегнації фосфатами органічного матриксу кістки.
Див. також
Джерела
- В. Г. Елисеева, Ю. И. Афанасьева, Н. А. Юриной., ред. (1983). Гистология. «Медицина». с. 592 с.
- Foundational Model of Anatomy
