Порт (медичний)
Порт (венозний порт, венозна імплантаційна система, порт-система) — невеликий медичний прилад, який встановлюється підшкірно. Катетер (пластикова трубка) з'єднує порт із веною. Під шкірою порт має перегородку (силіконову мембрану), через яку можна вводити ліки та брати зразки крові багато разів. Як правило, з меншим дискомфортом для пацієнта, ніж при більш типових методах.



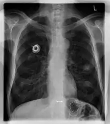
Порти використовуються здебільшого для лікування хворих на гематологічні та онкологічні хвороби. Як правило, його імплантують у верхню частину грудної клітки, трохи нижче ключиці. При цьому катетер вводять у яремну вену.
Процедура

Порт складається з резервуару, який має силіконову мембрану для введення голки, та катетера. Пристрій вводиться хірургічним шляхом під шкіру, у верхню частину грудної клітки або в руку, і виглядає як ґуля під шкірою. Не вимагає спеціального технічного обслуговування, крім періодичних промивань. Він повністю внутрішній, тому плавання та купання не є проблемою. Катетер проходить від резервуару і хірургічно вводиться у вену (зазвичай яремну вену або менш оптимально підключичну вену). В ідеалі катетер закінчується у верхній порожнистій вені або правому передсерді. Це положення дозволяє швидко та ефективно розподілити влиті препарати по всьому тілу.
Перегородка виготовлена із спеціального самогерметизуючого силікону. Його можна проколоти сотні разів, перш ніж він значно ослабне. Для введення препаратів або забору крові, медичний працівник має знайте порт і продезінфікувати ділянку шкіри, а потім проколоти шкіру над резервуаром голкою Губера. Завдяки конструкції порту, ризик зараження бактеріями дуже низький, оскільки порушення цілісності шкіри ніколи не перевищує калібру голки. Щоб впевнитись, що порт функціонує нормально, проводиться забір невеликої кількості крови. Далі порт промивають фізіологічним розчином.
Сама процедура імплантації вважається незначною, і зазвичай проводиться як під місцевою анестезією, так і з середньою седацією. Після процедури, у пацієнтів часто виникає дискомфорт у місці введення, з яким найчастіше справляються за допомогою парацетамолу або нестероїдного протизапального препарату, такого як ібупрофен.
Порт найчастіше встановлюється як амбулаторна хірургічна процедура в лікарні чи клініці інтервенційним рентгенологом або хірургом під помірною седацією. Коли порт більше не потрібен, його можна видалити в інтервенційному рентгенологічному кабінеті або операційній.
Використання
Порти мають багато варіантів використання:
- Проводити хіміотерапію хворим на рак, які повинні часто проходити лікування. Хіміотерапія часто токсична і може пошкодити шкіру та м'язову тканину. Порти забезпечують рішення, доставляючи ліки швидко та ефективно по всьому тілу через систему кровообігу.
- Введення факторів зсідання пацієнтам з тяжкою формою гемофілії.
- Для забору (та/або повернення) крові у пацієнтів, які потребують частого аналізу крові, та у пацієнтів на гемодіалізі.
- Введення антибіотиків пацієнтам, які потребують їх протягом тривалого часу або часто, наприклад хворим на муковісцидоз і бронхоектатичну хворобу.
- Введення ліків пацієнтам з імунними розладами.
- Для лікування дефіциту альфа-1-антитрипсину за допомогою замісної терапії.
- Для доставки рентгеноконтрастних препаратів, які підсилюють контраст при проведенні КТ.
- Введення анальгетиків пацієнтам із хронічним болем, таким як онкологічні хворі та пацієнти із серпоподібноклітинною хворобою .
Імплантація


Рентгеноскопія корисна для проведення імплантації портів.[1]
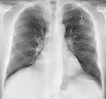
Повторна рентгенограма органів грудної клітки може негайно виявити ускладнення, пов'язані з процедурою. Це можуть бути пневмоторакс, гемоторакс або неправильне положення катетера.
Сторона грудної клітки пацієнтів, в яку імплантується порт, зазвичай вибирається щоб уникнути пошкодження порту та вен ременем безпеки у випадку нещасного випадку, коли пацієнт сидить за кермом. Таким чином, існують розбіжності, залежно від напрямку руху у місцевих ПДР.[2][3]
Порти можуть бути введені у верхню частину грудей або руку. Точне позиціонування саме по собі є змінним, оскільки його можна встановити, щоб уникнути видимости при носінні сорочок із низьким вирізом, чи щоб запобігти надмірному контакту з рюкзаком або ремінцем бюстгальтера. Найбільш поширене розміщення — у верхній правій частині грудної клітки, при цьому сам катетер проходить через праву яремну вену і вниз до серця пацієнта.
Моделі
Існує багато різних моделей портів. Вибір конкретної моделі має базуватися на специфічних медичних станах пацієнта.
Резервуари:
- можуть бути виготовлений із пластику, нержавіючої сталі або титану
- можуть бути однокамерними або двокамерними
- варіюються по висоті, ширині та формі
Катетери:
- можуть бути виготовлений з біосумісного медичного поліуретану або силікону
- можуть змінюватися по довжині та діаметру
Для використання у КТ потрібний порт, що дозволяє інфузію під високим тиском.[4][5]
Ризики
- Вік: якщо пристрій поставити дитині, з ростом дитини катетер ставатиме відносно коротшим і рухатиметься до голови. Може виникнути необхідність у його видаленні або заміні.
- Травма артерій: підключична артерія може бути ненавмисно пробита при спробі доступу до підключичної вени, що призводить до підшкірної гематоми, а іноді і до псевдоаневризми. Для розміщення порту може знадобитися альтернативне місце. Пункція сонної артерії буває значно рідше, оскільки спроби отримати доступ до сусідньої яремної вени все частіше робляться під контролем ультразвуку.
- Інфекція: може розвинутися в самому порті або навколо нього. Це може потребувати лікування антибіотиками або видалення пристрою.
- Механічна несправність є рідкістю. Порти, прокладені через підключичну вену, можуть страждати від «синдрому віджимання», коли катетер руйнується, переходячи у вену. Порти, розміщені через яремну вену, не страждають від цієї проблеми. Потім фрагмент катетера проходить через венозну систему і, як правило, потрапляє у вени серця або легені. Багато пацієнтів не мають симптомів, але механічний збій виявляється через неможливість промити або вивести рідину з порту. У таких випадках інтервенційний рентгенолог зазвичай може дістати фрагмент і розмістити новий порт.
- Пневмоторакс: Спроби отримати доступ до підключичної вени або яремної вени можуть травмувати легеню, потенційно спричиняючи пневмоторакс. Якщо пневмоторакс досить великий, можливо, потрібно буде встановити грудну трубку. У досвідчених руках частота цього ускладнення становить близько 1 % при встановленні через підключичну вену. При встановленні через яремну вену шанс пневмотораксу практично відсутній.
- Тромбоз: утворення тромбу в катетері може безповоротно заблокувати пристрій. Для запобігання згортанню порції промивають фізіологічним розчином і гепарином. Як правило, медсестрою, іншим медичним працівником або кимось належним чином підготовленим: членом сім'ї або самим пацієнтом. Промивання проводяться раз на шість тижнів або частіше разом із введенням ліків.
- Оклюзія судин: утворення тромбу між катетером і судинною стінкою, що призводить до часткової або повної оклюзії вени. Оклюзія очищається шляхом видалення порту, якщо це можливо. Якщо ні, то терапія гепарином може очистити судину.
- Внутрішньовенне вживання наркотиків: якщо внутрішньовенних споживачів наркотиків виписують, щоб лікувати амбулаторно, вони, ймовірно, будуть використовувати порт неналежним чином для ін'єкцій заборонених препаратів. Це використання створює серйозний ризик травмування або серйозної інфекції, зокрема серцевої оболонки.
Правила користування
Щоб зменшити пошкодження перегородки (вирізання голкою невеликих шматочків мембрани, забивання її), слід використовувати тільки відповідні голки. Після кожного використання потрібно встановити гепариновий замок, шляхом введення невеликої кількості гепаринізованого фізрозчину (антикоагулянта) у пристрій. Це необхідно для запобігання розвитку згустків у резервуарі або катетері. У деяких конструкціях катетерів, у яких на дальньому кінці є самогерметизуючий клапан, систему можна промивати без гепарину. Порт можна залишати під'єднаним стільки часу, скільки потрібно. Він має бути покритий пов'язкою, щоб захистити ділянку від зараження та закріпити голку у положенні.
Якщо порт використовується зрідка, може знадобитися регулярне промивання за допомогою фізрозчину та встановлення нового гепаринового замка, щоб запобігти формуванню згустків між використаннями.
Альтернативи
Іноді фізичний стан пацієнта, особливо будова його вен, не дозволяє встановити порт. Альтернативою є центральний катетер з периферичним доступом, незважаючи на такі недоліки, як зовнішня точка входу та обмежений термін служби пристрою[6].
У популярній культурі
У кіберпанк-романі «Нейромант» 1984 року, другорядний персонаж Пітер Рів'єра має в своїй руці свого роду медичний порт для полегшення рекреаційного вживання наркотиків[7].
Див. також
Примітки
- Thomopoulos, Theodoros; Meyer, Jeremy; Staszewicz, Wojciech; Bagetakos, Ilias; Scheffler, Max; Lomessy, Antoine; Toso, Christian; Becker, Christoph D. та ін. (2014). Routine Chest X-ray is not Mandatory after Fluoroscopy-Guided Totally Implantable Venous Access Device Insertion. Annals of Vascular Surgery 28 (2): 345–350. ISSN 0890-5096. doi:10.1016/j.avsg.2013.08.003.
- Julia Lederbogen-Hülsen (2009). Erleichterung der Chemotherapie durch implantierbare Portkatheter-Systeme bei Patientinnen mit gynäkologischen Tumoren (нім.). Münster: Universitätsklinikum Münster. с. 91. «Verlauf des Autosicherheitsgurts in die Überlegungen mit einzubeziehen (to include the place of the safety belt into the planning)»
- Celsite® Portkatheter-Systeme (нім.). B. Braun Melsungen. 2012. Архів оригіналу за 1 грудня 2017. Процитовано 24 листопада 2017. «Auf welcher Seite wird der Sicherheitsgurt angebracht? (which side is the safety belt)»
- C-Port®CT. Процитовано 25 листопада 2017.
- IMPLANTABLE PORT DEVICES. Процитовано 23 листопада 2017.
- Michaela Hans. Pflegeleitfaden (нім.). CHARITÉ. с. 22. Архів оригіналу за 24 грудня 2015. Процитовано 3 грудня 2017. «Liegedauer von 4 Monaten»
- Gibson, William (July 2000). Chapter Eight. Neuromancer (вид. Ace trade paperback). с. 105. «Riviera loosened and removed the elastic length of surgical tubing from his arm. 'Yes. It's more fun.' He smiled, his eyes distant now, cheeks flushed. 'I've a membrane set in, just over the vein, so I never have to worry about the condition of the needle.' 'Doesn't hurt?' [said Case] The bright eyes met his. 'Of course it does. That's part of it, isn't it?'»