Прилегле ядро
Прилегле ядро (лат. nucleus accumbens, скорочено — NAcc, інші назви: прилегле ядро перегородки[1], напівлежаче ядро[2], прилягаюче ядро[3]) — група нейронів у вентральній частині смугастого тіла, що є важливою частиною мезолімбічного шляху, задіяного у системі винагород, формуванні задоволення, сміху, залежності, агресії, страху та ефекту плацебо. Прилегле ядро отримує інформацію від дофамінових нейронів передньої покришкової ділянки та глутамінових нейронів префронтальної кори, мигдалеподібного тіла та гіпокампу. Тут відбувається аналіз сенсорної та емоційної інформації і формування поведінкової відповіді на мотивуючі подразники.[4]
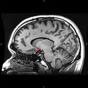
![]() Сагітальна проекція |
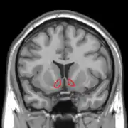
![]() Коронарна проекція |
| Прилегле ядро на МРТ мозку людини (позачене червоним) |
Прилегле ядро складається із двох, зон, що відрізняються аферентними та еферентними зв'язками,— оболонку (англ. shell) та серцевину (англ. core). Основу NAcc становлять ГАМК-вмісні середні голчасті нейрони (англ. medium spiny neurons) (90-95%), решта — холінергічні та ГАМК-ергічні вставні нейрони.[5]
Джерела
- Сопова І.Ю., Заморський І.І. (2009). Вплив мелатоніну на стан пероксидного окиснення ліпідів та системи антиоксидантного захисту в базальних ядрах мозку за поєднаної дії зміненого фотоперіоду та гострої гіпоксії. Буковинський медичний вісник 13: 250–53.
- Ґаноґ В.Ф. (2002). Фізіологія людини [Гжегоцький М., Шевчук В., Заячківська О.]. Львів: БаК. с. 784. ISBN 966-7065-38-3.
- Мішиєв В.Д. (2004). Психічні та поведінкові розлади внаслідок вживання опіоїдів. Львів: Медицина світу. с. 208.
- Goto Y., Grace A.A. (2008). Limbic and cortical information processing in the nucleus accumbens. Trends in Neurosciences 31: 552–8. PMID 18786735. doi:10.1016/j.tins.2008.08.002.
- Carlezon V.A., Thomas M.J. (2009). Biological substrates of reward and aversion: a nucleus accumbens activity hypothesis. Neuropharmacology 56: 122–132. PMID 18675281. doi:10.1016/j.neuropharm.2008.06.075.

