Рак підшлункової залози
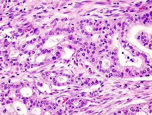
Рак підшлункової залози (РПЗ, іноді на діагностичному етапі до чіткого встановлення діагнозу хвороба підшлункової залози) — злоякісне новоутворення підшлункової залози.[5] Найчастішим типом РПЗ (близько 95 % випадків) є дуктальна (протокова) аденокарцинома, що походить з екзокринної частини залози; до інших типів злоякісних пухлин підшлункової залози належать нейроендокринні пухлини.[6],[7] РПЗ характеризується надзвичайно несприятливим прогнозом: здебільшого для раку показник відносного виживання протягом 1 року становить 25 %, 5 років — 6 %, 10 років — поодинокі випадки.[8] 5-річне виживання пацієнтів з місцеворозповсюдженим РПЗ становить близько 15 %,[8],[9] тоді як пацієнти з метастазами РПЗ мають виживання 6-12 місяців.[7] Проте індивідуальні особливості протікання РПЗ та час постановки діагнозу (на ранній стадії або на термінальній стадії) можуть впливати на показник виживання, покращуючи його в деяких випадках.
| Рак підшлункової залози | |
|---|---|
![]() Мікрофотознімок аденокарциноми підшлунковoї залози (фарбування гематоксиліном-еозином) Мікрофотознімок аденокарциноми підшлунковoї залози (фарбування гематоксиліном-еозином) | |
| Спеціальність | онкологія і гастроентерологія |
| Симптоми | біль у животі, жовтяниця, гострий панкреатит, анорексія і Trousseau's syndromed |
| Метод діагностики | ультразвукове дослідження, КТ, біохімічний аналіз крові, біопсія і позитрон-емісійна томографія |
| Препарати | octreotided[1], Доцетаксел[1], Тамоксифен[1], Іринотекан[1], Іфосфамід[1], 5-фторурацил[1], α-streptozocind[1], doxorubicin hydrochlorided[1], сунітиніб[2], sucrosofated[3] і ерлотиніб[4] |
| Класифікація та зовнішні ресурси | |
| МКХ-11 | 2C10 |
| МКХ-10 | C25 |
| OMIM | 260350 |
| DiseasesDB | 9510 |
| MedlinePlus | 000236 |
| eMedicine | med/1712 |
| MeSH | D010190 |
| | |
Етіологія
При РПЗ (протокова аденокарцинома) найчастіше визначаються зміни в наступних генах: мутації в KRAS (96 %) та TP53 (55 %), мутації або делеції в CDKN2A (75 %), SMAD4 (50 %), та SWI/SNF (35 %).[10][11] Високий ризик РПЗ спостерігається у родичів першої лінії хворого. Також РПЗ може виникати на тлі інших хвороб, що виникають як результат молекулярно-генетичних аномалій:
- Синдром Пейтца-Єгерса, при якому спостерігаються генеративні мутації в гені STK11/LKB1, що може збільшувати приблизно на 30 % ризик розвитку РПЗ
- Синдром фамільної атипової множинної меланоцитно-невусної меланоми (англ. Atypical Multiple Mole Melanoma, (FAMMM)) асоціюється з генеративною мутацією генів p16/CDKN2A та підвищує ризик РПЗ до 17 %
- Cпадковий рак молочної залози та яєчників (мутації BRCA1/2),
- Cпадковий неполіпозний колоректальний рак
- Фамільний аденоматозний поліпозоз (мутації гену APC)
Класифікація
Згідно з класифікацією ВООЗ, пухлини підшлункової залози, в тому числі злоякісні, класифікуються в залежності від функції клітин, що зазнали злоякісної трансформації, поділяючись таким чином на екзокринні та ендокринні неоплазії.
Ендокринні карциноми
Ендокринні пухлини класифікуються в залежності від функціональної активності та рівня диференціації.
Високо-диференційовані
- Функціонуючі
- Інсулінома
- Глюкагонома
- Соматостатинома
- Гастринома
- ВІПома
- Серотонін-секретуюча пухлина з карциноїдним синдромом
- Нефункціонуючі — як правило злоякісні пухлини з низьким потенціалом злоякісності та маловираженою клінічною картиною.
Низько-диференційована ендокринна карцинома
Низько-диференційована ендокринна карцинома — злоякісна пухлина, що характеризується високим рівнем біологічної агресивності, частота якої становить менше 1 % від всіх типів РПЗ. Переважно локалізована в головці підшлункової залози.
Змішана екзокринно-ендокринна карцинома
Злоякісна пухлина підшлункової залози епітеліального походження, в якій спостерігається наявність мінімум 1/3 екзокринних та ендокринних неопластичних клінин в стромі та метастазах пухлини. Найчастіше такі пухлини локалізовані в головці підшлункової залози та являють собою дуктально-ендокринну карциному підшлункової залози.
Екзокринні карциноми
Злоякісні пухлини, що походять з екзокринної частини підшлункової залози класифікуються як епітеліальні, неепітеліальні, вторинні пухлини. Здебільшого діагностуються епітеліальні пухлини, серед яких превалюють дуктальні карциноми.
Епітеліальні пухлини
- Дуктальна аденокарцинома
- Муцинозна некістозна карцинома
- Перстневидно-клітінна карцинома (англ. Signet ring cell)
- Адено-плоскоклітинна карцинома
- Недиференційований (анапластичний) рак підшлункової залози
- Недиференційована карцинома з остеокласт-подібними гігантськими клітинами
- Змішана дуктально-ендокринна карцинома
- Серозна цистаденокарцинома
- Муцинозна цистаденокарцинома — буває двох типів: інвазивна та неінвазивна
- Інтрадуктальна папілярно-муцинозна карцинома — буває двох типів: інвазивна та неінвазивна
- Ацинарна карцинома
- Ацинарна цистаденокарцинома
- Змішана ацинарно-ендокринна карцинома
- Панкреатобластома
- Солідна-псевдопапілярна карцинома
Неепітеліальні пухлини
Діагностуються надзвичайно рідко. До цих пухлин належать мезенхімальні новоутворення (лейоміосаркоми та гастроінтестинальні стромальні пухлини) та лімфоми підшлункової залози.
Клінічні прояви

Основними симптомами у пацієнтів з РПЗ є втрата ваги та жовтяниця, може також спостерігатись біль у мезогастральній ділянці.[12] При раку головки підшлункової залози виявляють нерідко симптом Курвуазьє — збільшений жовчний міхур, який можна пропальпувати, тоді як в нормі це неможливо зробити.
Діагностика
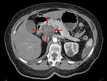
При підозрі на РПЗ пацієнтам рекомендовано проведення КТ (з контрастуванням) та УЗД органів черевної порожнини — обидва високо-інформативні інструментальні неінвазивні методи дослідження. Для діагностики РПЗ рутинно визначають концентрацію в крові специфічного до РПЗ маркеру СА19-9 та CEA, що є більш загальним індикатором неопластичного процесу.
Лікування

Залежно від стадії РПЗ, для лікування може застосовуватися хірургічне, хіміотерапевтичне лікування або променева терапія.[13]
Хірургічне
При розташування дуктальної карциноми в голівці підшлункової залози виконується панкреато-дуоденальна резекція (операція Віппла (англ. Whipple procedure). При операції Віппла виконується видалення головки підшункової залози ураженої РПЗ разом з 12-палою кишкою, резекція шлунку, видалення жовчного міхура. Формується анастомоз між шлунком та тонкою кишкою, холедохо-єюноанастомоз, При локалізації аденокарциноми в хвості підшлункової залози показано проведення дистальної панкреатектомії.[13] Після операції пацієнтам показано проведення ад'ювантної хіміотерпії гемцитабіном, застосування якого показало покращення 5-річного виживання в рандомізованих дослідженнях.
Хіміотерапія
Ад'ювантна хіміотерпія РПЗ проводиться окремими препаратами або їх комбінаціями. Хіміопрепарати, що найчастіше застосовуються: гемцитабін та таксани, гемцитабін та іринотекан, гемцитабін та препарати платини, гемцитабін та капецитабін, гемцитабін та 5-ФУ.[14],[15]
Променева терапія
Застосування ад'ювантної радіотерапії для лікування РПЗ обмежено, а її роль остаточно не підтверджена. Даний вид лікування застосовується переважно з метою профілактики регіонарного метастазування РПЗ.[14]
Прогноз
РПЗ, що походить з екзокринної частини підшлункової залози (аденокарцинома), характеризується здебільшого несприятливим прогнозом. Метастатичне ураження призводить до розвитку значного больового синдрому, значної втрати ваги та жовтяниці. У деяких випадках, РПЗ призводить до розвитку цукрового діабету внаслідок порушення продукції інсуліну.[16]
Показники виживання:
Посилання
- NDF-RT
- Inxight: Drugs Database
- Inxight: Drugs Database
- Inxight: Drugs Database
- Земсков В.С., Ткаченко O. А., Ковальська І.О., Крючина Є. А. (2000). Стандарти (протоколи) діагностики та лікування захворювань підшлункової залози. Київський центр хірургії печінки, підшлункової залози і жовчних проток: Кафедра загальної хірургії №1, НМУ. с. 27. (рос.)
- What You Need To Know About Cancer of the Pancreas — National Cancer Institute. 16 вересня 2002. с. 4/5. Архів оригіналу за 17 жовтня 2007. Процитовано 22 грудня 2007.
- Benson AB, Myerson RJ, and Sasson AR. Pancreatic, Neuroendocrine GI, and Adrenal Cancers. Cancer Management 13th edition. http://www.cancernetwork.com/cancer-management/pancreatic/article/10165/1802606
- American Cancer Society: Cancer Facts & Figures 2010: see page 4 for incidence estimates, and page 19 for survival percentages.
- National Cancer Institute. General Information About Pancreatic Cancer. http://www.cancer.gov/cancertopics/pdq/treatment/pancreatic/HealthProfessional
- Shain AH, Giacomini CP, Matsukuma K, Karikari CA, Bashyam MD, Hidalgo M, Maitra A, Pollack JR (31 січня 2012). Convergent structural alterations define SWItch/Sucrose NonFermentable (SWI/SNF) chromatin remodeler as a central tumor suppressive complex in pancreatic cancer. Proceedings of the National Academy of Sciences of the United States of America 109 (5): E252–9. PMC 3277150. PMID 22233809. doi:10.1073/pnas.1114817109.
- Jones S, Zhang X, Parsons DW, Lin JC, Leary RJ, Angenendt P, Mankoo P, Carter H, Kamiyama H, Jimeno A, Hong SM, Fu B, Lin MT, Calhoun ES, Kamiyama M, Walter K, Nikolskaya T, Nikolsky Y, Hartigan J, Smith DR, Hidalgo M, Leach SD, Klein AP, Jaffee EM, Goggins M, Maitra A, Iacobuzio-Donahue C, Eshleman JR, Kern SE, Hruban RH, Karchin R, Papadopoulos N, Parmigiani G, Vogelstein B, Velculescu VE, Kinzler KW (26 вересня 2008). Core signaling pathways in human pancreatic cancers revealed by global genomic analyses. Science 321 (5897): 1801–6. PMC 2848990. PMID 18772397. doi:10.1126/science.1164368.
- Bakkevold KE, Arnesjø B, Kambestad B (April 1992). Carcinoma of the pancreas and papilla of Vater: presenting symptoms, signs, and diagnosis related to stage and tumour site. A prospective multicentre trial in 472 patients. Norwegian Pancreatic Cancer Trial. Scandinavian Journal of Gastroenterology 27 (4): 317–25. PMID 1589710. doi:10.3109/00365529209000081.
- Surgical Treatment of Pancreatic Cancer. Johns Hopkins University. Процитовано 5 вересня 2009.
- Herreros-Villanueva M, Hijona E, Cosme A, Bujanda L. (Apr 2012). Adjuvant and neoadjuvant treatment in pancreatic cancer.. World J Gastroenterol 18 (14): 1565–72. PMID 22529684. doi:10.3748/wjg.v18.i14.1565.
- Liao WC1, Chien KL, Lin YL, Wu MS, Lin JT, Wang HP, Tu YK. (Oct 2013). Adjuvant treatments for resected pancreatic adenocarcinoma: a systematic review and network meta-analysis. Lancet Oncol 14 (115897): 1095–103. PMID 24035532. doi:10.1016/S1470-2045(13)70388-7.
- Wang F, Herrington M, Larsson J, Permert J (January 2003). The relationship between diabetes and pancreatic cancer. Molecular Cancer 2: 4. PMC 149418. PMID 12556242. doi:10.1186/1476-4598-2-4.
- WHO | Cancer. Who.int. Процитовано 15 вересня 2009.
- Ghaneh P, Costello E, Neoptolemos JP (August 2007). Biology and management of pancreatic cancer. Gut 56 (8): 1134–52. PMC 1955499. PMID 17625148. doi:10.1136/gut.2006.103333.
_Case_01.jpg.webp)