Респіраторно-синцитіальна інфекція
Респірато́рно-синцитіа́льна інфе́кція (ще також респіраторно-синцитіальна вірусна інфекція, РС-інфекція, рідше РЕС-інфекція; англ. Respiratory Syncytial Infection, Respiratory Syncytial Virus Infection, VRS-Infection) — гостра вірусна інфекційна хвороба з групи ГРВІ з тенденцією до виникнення бронхіоліту[3] у дітей молодшого віку та осіб похилого віку.
| Респіраторно-синцитіальна інфекція | |
|---|---|
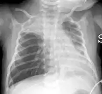
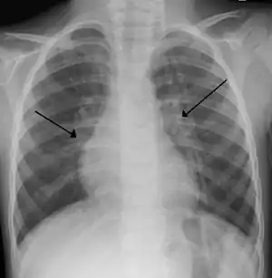
![]() Типові двобічні затемнення на рентгенограмі органів грудної клітки у дитини з тяжким перебігом респіраторно-синцитіальної інфекції Типові двобічні затемнення на рентгенограмі органів грудної клітки у дитини з тяжким перебігом респіраторно-синцитіальної інфекції | |
| Спеціальність | інфекційні хвороби і педіатрія |
| Симптоми | чхання, кашель, закладеність носа, ринорея, субфебрильна температура, бронхіт, задишка, апное і ціаноз |
| Причини | Респіраторно-синцитіальний вірусd |
| Метод діагностики | клінічний аналіз крові, ПЛР і культура клітин |
| Препарати | рибавірин[1][2] і палівізумабd[2] |
| Класифікація та зовнішні ресурси | |
| МКХ-10 | B97.4, J12.1, J20.5, J21.0 |
| DiseasesDB | 11387 |
| MedlinePlus | 001564 |
| eMedicine | ped/2706 |
| MeSH | D018357 |
Історичні відомості
Збудника респіраторно-синцитіальної інфекції виділили у 1956 році американські науковці Д. Морріс, Р. Блант і Д. Севідж від шимпанзе з ознаками запального ураження верхніх дихальних шляхів. Вірус спочатку назвали «агентом нежитю шимпанзе»[4]. Але вже в 1957 році антигенно ідентичні віруси американські науковці Р. Ченок і Л. Фінберг виділили від маленьких дітей під час захворювань, що перебігали з ураженням нижніх дихальних шляхів[5][6]. Подальші дослідження підтвердили першорядну роль цих вірусів у розвитку пневмонії і бронхіоліту (запалення бронхіол) у дітей до 1-го року життя[7][8]. У США до 60 % дітей 1-го року життя вже мають антитіла до вірусу, до 3-го року перехворіють усі діти[9].
Актуальність
Кожного року респіраторно-синцитіальна інфекція призводить до 125 тисяч випадків стаціонарного лікування та 2 % від загальної летальності серед дітей[10]. Дослідження показали, що антитіла до РС-вірусу виявляють у 40 % дорослих людей. Навіть у дорослих PC-інфекція може бути причиною тяжкої пневмонії. Проблемною PC-інфекція стала для дитячих закладів і стаціонарів, де вона є одним з основних факторів внутрішньолікарняного інфікування. РС-вірус складає велику частку серед причин внутрішньолікарняної пневмонії у медичних працівників.
Етіологія
? Респіраторно-синцитіальний вірус | ||||||||||||
|---|---|---|---|---|---|---|---|---|---|---|---|---|
![]() Особливості морфології РС-вірусу при електронній мікроскопії. | ||||||||||||
| Класифікація вірусів | ||||||||||||
| ||||||||||||
Респіраторно-синцитіальний вірус (РС-вірус) належить до роду Pneumovirus, родини Paramyxoviridae, містить одноланцюгову РНК. Вірус має багато штамів, які циркулюють у тварин та людей. У людей паразитують віруси групи А, В, окремі штами S2, RSS-2, MinA, MinB, MinFLC, MinL та багато некласифікованих. Також виділяють бичачі, мишачі, конячі, собачі, котячі РС-віруси. Вивчення властивостей вірусу дозволило виявити особливий характер впливу його на уражені клітини — утворення синцитію (мереживоподібної структури, яка складається з клітин, пов'язаних одна з одною цитоплазматичними відростками). Це й стало підставою для назви виділеного вірусу «респіраторно-синцитіальний». Вірус має білки, які перешкоджають дії людського інтерферону.
Епідеміологічні особливості
Джерело та резервуар інфекції
Джерелом інфекції є людина (хворий і вірусоносій). Хворий найбільш заразний протягом 3-6 днів від початку захворювання. Тривалість виділення вірусу не перевищує тривалості клінічних проявів.
Механізм і фактори передачі
Механізм передачі — повітряно-крапельний, зараження через побутові предмети не має істотного значення. Описаний випадок перенесення вірусу від донора реципієнту разом з трансплантованими органами.
Сприйнятливий контингент та імунітет
Сприйнятливість найбільша у дітей перших років життя. Захворювання поширене повсюдно. У холодну пору року реєструють епідемічні спалахи, в інші періоди року — спорадичні випадки. Спалахи, які спричинює респіраторно-синцитіальний вірус, виникають щорічно, в основному серед дітей молодшого віку. Характерно швидке поширення вірусу в колективі та висока його контагіозність з охопленням усіх дітей, що народилися після останнього епідемічного підйому. Внутрішньолікарняні спалахи перебігають з інфікуванням не тільки пацієнтів, але і медичного персоналу. імунітет після перенесення респіраторно-синцитіальної інфекції нестійкий.
Патогенез
Провідною ланкою в патогенезі респіраторно-синцитіальної інфекції є порушення дренажної функції бронхіального дерева. Вірус тропний до клітин легень, бронхіол і бронхів, що обумовлює локалізацію патологічного процесу. Чим менший вік дитини, тим частіше виникають і тяжче перебігають у нього пневмонія і бронхіт. Результатом дії вірусу є некроз епітелію, набряк і круглоклітинна інфільтрація підслизового шару, гіперсекреція слизу. При значному ураженні бронхіальних структур може виникнути гостра дихальна недостатність (ГДН), аж до повної обтурації бронхів з розвитком ателектазів і емфіземи легень. Важливе значення має стан імунітету, цитокіновий статус хворих. Особливістю перебігу хвороби у дітей є відстрочена продукція ендогенного інтерферону. Вірусу притаманна імуносупресивна властивість, він ініціює імунопатологічні реакції за рахунок тривалої циркуляції імунних комплексів. Виражене зниження активності Т-супресорів, нетривала циркуляція специфічних імуноглобулінів IgМ, низький вміст IgG до кінця 3–4-го тижня захворювання створюють умови для персистенції вірусів і формування хронічної інфекції. Тяжкий перебіг інфекції у осіб літнього віку пов'язують із збільшенням числа повторних випадків захворювання і переважанням Тh2-типу імунної відповіді (високий рівень IgЕ, IgА в крові). У дітей вміст специфічних IgG низький, що перешкоджає елімінації вірусу і сприяє тривалому перебігу хвороби.

Клінічні прояви
Згідно МКХ-10 виділяють:
- B97.4 — РС-вірус як причина хвороб, що не класифіковані в інших розділах МКХ.
- J20.5 — гострий бронхіт, який спричинює респіраторно-синцитіальний вірус.
- J21.0 — гострий бронхіоліт, який спричинює респіраторно-синцитіальний вірус.
- J12.1 — пневмонія, що зумовлена респіраторно-синцитіальним вірусом.
Інкубаційний період — 3-7 діб. У старших дітей і особливо у дорослих хвороба проявляється чханням, погіршенням носового дихання, ринітом із значними серозними, слизистими або гнійними виділеннями, кашлем, помірною гіперемію і набуханням слизової оболонки носоглотки. Температура тіла нормальна або субфебрильна. У немовлят можуть приєднатися бронхіт з обструктивним компонентом і бронхіоліт. Тяжкість захворювання при цьому зумовлена головним чином розвитком ГДН, у дітей розвивається задишка, яка непропорційна підвищенню температури, може бути ціаноз, інші тяжкі дихальні розлади, зокрема, апное. При цьому явища інтоксикації помірні. У немовлят може розвинутися гострий середній отит.
Діагностика
Клінічна діагностика не дає результатів через відсутність типових клінічних ознак, через переважання проявів, які притаманні будь-якому ГРВІ. І для більшості клінічних випадків РС-інфекції підтвердження діагнозу не є доцільним.
У непевних випадках, при розшифровці спалахів застосовують лабораторні методи діагностики. Використовують для цього швидкі тести на основі імуногістохімії. Більш специфічним, але трудомістким є виділення вірусу на культурі клітин. У країнах розвиненої медицини доступним є ПЛР для виявлення РНК РС-вірусу. Використання ПЛР слід розглядати, зокрема, при тестуванні дітей старшого віку і дорослих, тому що у них часті низьке вірусне навантаження в мазку з ротоглотки або, навіть, в бронхіальному секреті.
Серологічні тести менше використовують для рутинної діагностики. Хоча це і корисно для вивчення епідеміологічної ситуації, коли наростання титрів антитіл у парних сироватках дає можливість прослідкувати наростання імунної відповіді у популяції. Але для індивідуальної діагностики таке повільне визначення титру не дає можливості отримати швидкий результат, є досить пізнім, і тому в клініці серологічні тести не використовують.
Лікування
Можливо застосування рибавірину в аерозолі для етіотропного лікування інфекції у дітей та осіб з імунодефіцитними станами. Постійну інгаляцію рибавірину призначають по 12-18 годин/добу протягом 3 — 5 діб. Можна використовувати і більш концентрований розчин (60 мг/мл) та застосовувати по 2 години 3 рази на добу. Якщо не передбачені технічні заходи, що виключають потрапляння рибавірину за межі інгалятору — дихального контуру, то у приміщення, де лікують ураженого, не можна допускати вагітних внаслідок вираженої тератогенної дії рибавірину. Отримані позитивні результати експериментального застосування препарату ремдесивір.
Інгаляційне введення адреноміметиків — медичних препаратів катехоламінів, а також застосування бронходилататорів і глюкокортикостероїдів для лікування респіраторно-синтиціальної інфекції не довело своєї ефективності, хоча на практиці часто продовжують це застосовувати. Лікування респіраторно-синцитіального бронхіоліту за влучним висловом американських педіатрів «залишається хорошим прикладом терапевтичного нігілізму, коли нічого не працює, окрім кисню».
Профілактика
Є суто неспецифічною, яку проводять для запобігання усіх ГРВІ та застуди в цілому. На сьогодні в країнах розвитої медицини існує препарат павілізумаб, якому притаманний помірний профілактичний ефект у немовлят з високим ризиком зараження і виникнення ГДН. Препарат являє собою моноклональні антитіла, спрямовані проти гібридного білка поверхні вірусу[11].
Див. також
Примітки
- NDF-RT
- Drug Indications Extracted from FAERS — doi:10.5281/ZENODO.1435999
- Запалення бронхів найменшого калібру з виникненням їх обструкції та дихальної недостатності.
- Morris JA, Blount RE, and Savage RE. 1956. Recovery of cytopathogenic agent from chimpanzee with coryza. Proc Soc Exp Biol & Med; 92:544‐549/
- Chanock RM. 1956. Association of a new type cytopathogenic myxovirus with infantile croup. J Exp Med; 104: 555—576.
- Chanock R, and Finberg L. 1957. Recovery from infants with respiratory illness of virus related to chimpanzee coryza gent (CCA) II. Epidemiologic aspects of infection in infants and young children. Am J Hyg; 66: 291‐300.
- Lewis FA, Rae MI, Lehmann NI, and Ferris AA. 1961. A syncytial virus associated with epidemic disease of the lower respiratory tract ion infants and young children. Med J Australia; December 9: 932‐933.
- Forbes JA, Bennett N. McK, and Gray NJ. 1961. Epidemic of bronchiolitis caused by a respiratory syncytial virus: clinical aspects. Med J Australia; Dec 9: 323‐325.
- Collins L., Peter, and Barney S. Graham. 2008. Viral and Host Factors in Human Respiratory Syncytial Virus Pathogenesis. Journal of Virology. 82: 2040—2055.
- Shay DK, Holman RC, Roosevet GE, Clarke MJ, and Anderson LJ. 2001. Bronchiolitis‐associated mortality and estimated of respiratory syncytial virus‐associated deaths among US children, 1975‐1997. J Infect Diseases; 183: 16‐22
- Barclay, L. AAP: Palivizumab RSV Prophylaxis Guidelines Updated. Medscape Medical News. Available at http://www.medscape.com/viewarticle/828957. Accessed: August 4, 2014.== Див. також ==
Джерела
- Leonard R Krilov Respiratory Syncytial Virus Infection Updated: Jun 25, 2015 Medscape. Infectious Diseases Sections. Viral Infections / Chief Editor: Russell W Steele (англ.)
- Інфекційні хвороби (підручник) (за ред. О. А. Голубовської). — Київ: ВСВ «Медицина» (2 видання, доповнене і перероблене). — 2018. — 688 С. + 12 с. кольор. вкл. (О. А. Голубовська, М. А. Андрейчин, А. В. Шкурба та ін.) ISBN 978-617-505-675-2 / С. 243—244
- Возіанова Ж. І. Інфекційні і паразитарні хвороби: В 3 т. — К.: «Здоров'я», 2008. — Т.1.; 2-е вид., перероб. і доп. — 884 с. ISBN 978-966-463-012-9
Посилання
- CDC Respiratory Syncytial Virus Infection (RSV) (англ.)
- Family Practice Notebook. Pulmonology Book. Pediatrics Chapter. Respiratory Syncytial Virus (англ.)

_EM_PHIL_2175_lores.jpg.webp)