Тільця Негрі
Тільця Негрі (італ. Corpi di Negri, англ. Negri's bodies) — патогномонічні еозинофільні включення діаметром 2-10 мкм у цитоплазмі пірамідальних клітин амонового рогу гіпокампу та волокнах Пуркіньє мозочку загиблих від сказу тварин і людей. Вони складаються з рибонуклеїнових білків, які виробляють віруси сказу. Названі на честь італійського патолога Аделькі Негрі, що їх вперше виявив протягом 1902—1903 років[1]. Часто у російськомовній літературі помилково називаються тільцями Бабеша-Негрі[2].

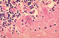
Вигляд тілець Негрі при великому збільшенні.

Численні тільця Негрі у зрізі мозку пацієнта, який помер від сказу.
Примітки
- A. Negri. Contributo allo studio dell'eziologia della rabia // Bollettino della Societa medico-chirurgica, Pavia, 1903, 88, 229; Bollettino della Societa medico-chirurgica, Pavia, 1904, 22; Bollettino della Societa medico-chirurgica, Pavia, 1905, 321 (італ.); Beitrag zum Studium de Aetiologie der Tollwuth. Zeitschrift für Hygiene und Infektionskrankheiten, Leipzig, 1903, 43: 507—528. (нім.)
- Більшість зарубіжних дослідників нині прийшла до висновку, що Віктор Бабеш має величезні здобутки у вивченні сказу та його профілактики, але він у 1892 році описав періваскулярні зміни разом з порушеннями в заражених клітинах («вузлики сказу»), які спостерігають й при деяких інших хворобах.
Джерела
- Whonamedit?- A dictionary of medical eponyms. Negri's bodies (англ.)
- Lahaye, Xavier; Vidy, Aurore; Pomier, Carole; Obiang, Linda; Harper, Francis; Gaudin, Yves; Blondel, Danielle (15 August 2009). "Functional Characterization of Negri Bodies (NBs) in Rabies Virus-Infected Cells: Evidence that NBs Are Sites of Viral Transcription and Replication". Journal of Virology. 83 (16): 7948–7958. (англ.)
- Henry, Ronnie; Murphy, Frederick R. (2017). "Etymologia: Negri Bodies". Emerg Infect Dis. 23 (9): 1461. (англ.)
This article is issued from Wikipedia. The text is licensed under Creative Commons - Attribution - Sharealike. Additional terms may apply for the media files.