Lactobacillales
Lactobacillales — порядок грам-позитивних бактерій типу Firmicutes. Містить більшість молочнокислих бактерій, що розподілені за різними родинами ряду, та велике число бактерій інших родів. Представники ряду дуже поширені в природі, вони мешкають у ґрунті, водоймах, в асоціації з тваринами і рослинами.
? Lactobacillales | ||||||||||
|---|---|---|---|---|---|---|---|---|---|---|
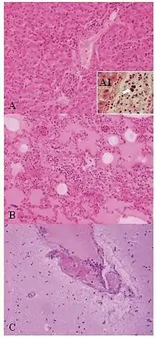
![]() Weissella confusa у зразку тканин мавпи (забарвлення гематоксиліні та еозином): A) печінка, B) гостра пневмонія, C) енцефаліт | ||||||||||
| Біологічна класифікація | ||||||||||
| ||||||||||
| ||||||||||
Посилання | ||||||||||
| ||||||||||
This article is issued from Wikipedia. The text is licensed under Creative Commons - Attribution - Sharealike. Additional terms may apply for the media files.
