Plasmodium malariae
Plasmodium malariae (плазмодій чотириденний[2]) — це один з чотирьох сталих збудників малярії в людській популяції, який спричинює у людей так звану чотириденну малярію[3]. Коли у 1880 році французький військовий лікар Шарль Лаверан описав перше патогенне найпростіше у клітинах кров хворих з гарячкою при малярії, то на той час він вважав, що це єдиний збудник малярії. Тому і в першій, і в подальших назвах цього збудника[4] частиною назви завжди був компонент malariae. Але потім стало зрозумілим, що знайдене Лавераном найпростіше є лише одним з численних видів плазмодіїв, які спричинюють малярію у людей, ссавців, птахів і рептилій. І тому наявність у назві компоненту malariae не є правильним, але на знак того, що це був перший знайдений патогенний плазмодій, вирішили залишити в мікробіологічній номенклатурі[5] таку назву для цього збудника — Plasmodium malariae[6].
? Плазмодій, який спричинює чотириденну малярію /Плазмодій чотириденний / Plasmodium malariae | ||||||||||||||||||
|---|---|---|---|---|---|---|---|---|---|---|---|---|---|---|---|---|---|---|
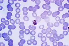
![]() Зрілий шизонт (морула) Plasmodium malariae в мазку крові людини перед розриванням еритроциту, містить в собі до 12 еритроцитарних мерозоїтів, (світлова мікроскопія, збільшення у 80 разів, мікрофотограма, фарбування за Романовським-Гімза) | ||||||||||||||||||
| Біологічна класифікація | ||||||||||||||||||
| ||||||||||||||||||
| Plasmodium malariae Feletti & Grassi, 1889 | ||||||||||||||||||
Посилання | ||||||||||||||||||
| ||||||||||||||||||
Життєвий цикл плазмодія
Детальніші відомості з цієї теми ви можете знайти в статті Плазмодій.
Детальніші відомості з цієї теми ви можете знайти в статті Малярія.
Для збудників малярії (плазмодія) характерна зміна двох хазяїв:
При цьому відбувається чергування статевого і безстатевого розмноження:
- статеве розмноження плазмодіїв (спорогонія) відбувається в організмі різних видів малярійних комарів роду Anopheles, * безстатеве (шизогонія) — в організмі хазяїна.
Зараження комарів відбувається при потраплянні у шлунок комарів з крові хазяїна статевих клітин плазмодія: жіночих та чоловічих гамет (або гамонтів) — мікро і макрогамет. Вони копулюють і дають початок рухливій зиготі, що через низку перетворень дає кілька тисяч спорозоїтів. Останні проникають у слинні залози комара і під час укусу зі слиною потрапляють до людині.
Стадії розвитку плазмодія в організмі (шизогонія)
Загальні риси і клінічні ознаки
При укусі комара збудники малярії потрапляють в кров і звідти за 30 хвилин до печінки. Розвиваються спочатку в клітинах печінки в тканинні (екзоеритроцитарні) шизонти, що відбувається під час тканинної шизогонії. Утворюється велика кількість тканинних мерозоїтів, які виходять в кров і потрапляють всередину еритроцитів, де проходить еритроцитарна шизогонія. В еритроцитах плазмодії зростають, живлячись гемоглобіном, проходять кілька підстадій з утворенням еритроцитарних мерозоїтів, які розривають з середини еритроцит і виходять у плазму крові, знов проникаючи в незаражені до того еритроцити. Такі цикли еритроцитарної шизогонії без лікування можу повторюватися і тривати місяцями й, навіть, десятиліттями. Під час виходу мерозоїтів в кров і розриву еритроцитів до кровотоку потрапляє велика кількість пірогенів[7], що є як продуктами життєдіяльності самого плазмодія, так і компонентами внутрішнього вмісту еритроцитів. Через це у людини настають приступи малярії — підвищується з сильним ознобом до 39—41°С температура тіла, потім розвивається жар, а через певний час по зникненню пірогенів з крові температура тіла падає з сильним потом, гарячковий напад закінчується. Тривалість такого приступу (пароксизму) від 12 до 24 годин у різних видів плазмодія. Такі приступи повторюються через 1 день нормальної температури тіла (апірексія), але при малярії, яку спричинює Plasmodium malariae, повторення пароксизмів відбувається чітко з інтервалом 2 дні апірексії.
Особливості тканинної шизогонії
Вперше тканинні стадії плазмодійних малярій були виявлені та описані 1959 року. Біоптати печінки були взяті від 3 шимпанзе, які отримали від 72 до 110 слинних залоз Anopheles gambia, 33-50 % з яких були інфіковані спорозоїтами ліберійського штаму P. malariae. 8-денний тканинний шизонт знаходиться в гепатоциті зазвичай, але не завжди, у вакуолі. Гепатоцит збільшений в розмірах, а цитоплазма розташовується навколо шизонта у формі півмісяця. Ядро гепатоцита збільшене та ексцентроване. У більш ніж 50 % захоплених плазмодіями гепатоцитів є 2 або більше збільшених ядер. Цитоплазма тканинного шизонта на цій стадії, як правило, була однорідною, але іноді блідою або у вигляді пасом. Іноді по периферії виявляються крихітні вакуолі. Ядра виглядали, зазвичай, як невеликі крапки розміром приблизно 0,5 мкм або круглі компактні маси хроматину діаметром близько 1 мкм. Середній розмір 8-денного тканинного шизонта становив 12,5 мкм (діапазон 9,5-17 мкм). Середнє число ядер складало 25, коливаючись у межах від 7 до 49. 9-денні шизонти, як правило, подібні до 8-денних форм, за винятком розміру. , іапазон становив 8,5-21 мкм (середній 12,7 мкм). Середнє число ядер склало 27 (діапазон від 10 до 83). 10-денні шизонти зазвичай перебували у вакуолі, ядро було розташоване ексцентрично. Цитоплазма була однорідною та досить щільною. Приблизно в половині паразитів цитоплазма була злегка витягнута в окремій оболонці, приблизно в 40 % вона її не мала. У решти 10 % цитоплазма була нерегулярно вакуолізованою. Розмір 10-денної стадії був у діапазоні від 15 до 29 мкм. Середня кількість ядер склала 100 (діапазон від 33 до 201). 11-денні шизонти були меншими за 8- або 9-денні, в середньому — 11,7 мкм (діапазон від 9,5 до 14 мкм). Середнє число ядер склало приблизно 15 (діапазон від 6 до 30). 12-денний шизонт мав виразний конверт із щільною цитоплазмою в центральній частині паразита. Периферія складалася з вакуолей діаметром від 3 до 6 мкм. Цитоплазма містила ряд невеликих базофільних агрегатних включень. Шизонт іноді був трохи поділений на часточки. Середній розмір становив 41 мкм (діапазон від 34 до 47 мкм). Середнє число ядер склало 712 (діапазон від 435 до 1151). 13-денні форми мали середній розмір 44 мкм, що свідчить про значне їхнє зростання протягом 24 годин. Таке швидке зростання, ймовірно, пояснювало їхню яскраво виражену дольчастість. Внутрішня структура паразита була така ж, як і в 12-денного шизонта, за винятком того, що ядра були менш підкресленими. Цитоплазма та вакуолі зберігалися, і зазвичай спостерігалися розщілини. 14-денні шизонти досягли максимального середнього діаметра 47 мкм. Найбільш вражаючою особливістю було широке розщеплення цитоплазми в деяких шизонтів. Цитоплазма була конденсована у довгі нитки. Ядра досягали приблизно 2 мкм в діаметрі, вакуолі були очевидними. На 14-й день шизонти були на стадії морули, в яких були видні мерозоїти.
Особливості еритроцитарної шизогонії
Головною клінічною особливістю еритроцитарної шизогонії збудника, який спричинює чотириденну малярію — Plasmodium malariae, є те, що він відтворює такий характер гарячкових приступів, при якому між ними є саме два дні нормальної температури тіла (апірексії). Таким чином, поява нового нападу гарячки відбувається на 4-й день від попереднього. Частина плазмодіїв ще на початку еритроцитарної шизогонії перетворюється на гамети (гамонти, гаметоцити), які під час укусу потрапляють в організм комара. Життєвий цикл розвитку плазмодія таким чином без кінця повторюється.

Перша стадія еритроцитарної шизогонії, яка з'являється в червоних кров'яних клітинах периферичної крові, — кільцева (перснева) стадія, але справжнього кільця не утворюється; серпоподібну цитоплазму паразита, а також сферичний хроматин (малярійний пігмент) покриває вакуоль. При зростанні паразит займає від чверті до третини ураженого еритроцита, іноді з'являється додаткова точка хроматину. Хоча Plasmodium malariae, як правило, має більш щільну цитоплазму і хроматин, ніж Plasmodium vivax, їх важко відокремити на цьому етапі розвитку, оскільки вони приблизно однакового розміру. Plasmodium malariae росте повільніше, ніж будь-який інший малярійний плазмодій людської малярії. Вакуоля зникає через кілька годин. У життєвих умовах рух самого плазмодія є млявим. Пігментні гранули з'являються на початку його росту, але іноді можуть з'явитися пізніше. Пігмент швидко збільшується в розмірах. У половини зрослих плазмодіїв може виявлятися від 30 до 50 чорних гранул пігменту, на відміну від стрижневого пігменту, притаманного P. vivax. Коли паразит зростає, він набуває різних форм. Деякі з них витягуються, як стрічка. Стрічкові форми зустрічаються й в інших видів, але частіше це відбувається в P. malariae і, отже, вважається діагностичною ознакою. Ці форми можна побачити до того часу, поки плазмодій практично не заповнить увесь еритроцит, якій при цьому не збільшується в розмірах і не вибілюється. Приблизно до 54-ї години сегментація починається, а до 65-ї години шизогонії еритроцит заповнюється весь або майже весь, а паразит містить від 5 до 6 мас хроматину. Під час подальшого росту утворюється остаточне число ядер, і з кінцевим числом цитоплазма розділяється, щоб створити для кожного ядра оточення невеликого об'єму цитоплазми. На цьому етапі пігмент може виявлятися сегрегованим, а потім сконцентрованим у вільній масі в центрі клітини, оточеної більш-менш симетрично розташованими мерозоїтами, щоб складає характерний для стадії морули Plasmodium malariae вигляд «розетки». Кількість мерозоїтів може бути від 6 до 12, іноді до 14, в середньому 8.

Молоді гаметоцити (статеві клітини) дуже схожі на безстатеві форми, тому їх практично неможливо точно відрізнити до приблизно 54-ї години шизогонії, коли статеві форми починають сегментувати. Зрілий макрогематоцит (жіноча клітина) демонструє чітко окреслену цитоплазму з яскравим забарвленням і невеликим, ексцентрично розташованим, чітко визначеним забарвленим ядром. Пігмент в ньому розкиданий. Макрогематоцит повністю заповнює еритроцит. Цитоплазма дорослого мікрогематоцита (чоловіча клітина) має світло-блакитно-рожеве забарвлення. Пігмент обмежується лише самим мікрогематоцитом, всередину еритроцита не потрапляє. Ядро дифундує і може займати близько половини мікрогематоцита, а сам він зрештою заповнює весь еритроцит. Зазвичай, кількість мікрогаметоцітів перевершує чисельність макрогаметоцитів, але це може змінюватися у різних штамів. Еритроцитарна шизогонія у цього плазмодія триває 72 години.
Спорогонія
Виявлено, що пігмент, який рідко перевищує 30 гранул, був темно-коричневий і мінливий за розмірами. Протягом перших 7-8 днів гранули розподілялися по ооцисті, але з 9-го дня пігмент збирався у масі на периферії. З 3 по 9-й день щоденне збільшення розміру ооцисти становило менше 2 мкм. З 9-го дня щоденне збільшення варіювало від 5 до 8 мкм. Ооцисти досягали розміру 44 мкм. Мінімальний час, необхідний для завершення циклу, становив 15 днів, максимальний — 21 день.
Теорії стосовно особливості поширення Plasmodium malariae в світі
На сьогодні невирішеним питанням цього виду малярії є її вкрай розірваний ареал поширення в світі. Існують три теорії пояснення цього.
- Однією з теорій, що пояснює цю унікальність, є та, яка припускає, що оскільки цей плазмодій вимагає тривалої спорогонії, його найбільша поширеність буде в тих областях, де комарам вдається вижити найдовше. Це дійсно відбувається в деяких районах, проте іноді найвищий рівень захворюваності в тій частині тропіків, де комарі живуть якраз не так тривало.
- Друга теорія спирається на те, що передача цієї малярії відбувається тільки за допомогою тільки особливих переносників, ареалом поширення яких й обумовлена така розірваність мешкання Plasmodium malariae. Але його поширюють досить багато видів, які мешкають й у тих місцях, де якраз немає циркуляції цього плазмодія.
- Третя теорія трактує цю особливість таким чином, що така циркуляція Plasmodium malariae пов'язана з тваринним фактором джерела. Однак якщо це справедливо до деяких регіонів Африки, де мешкають шимпанзе, здатні заражатися цим видом плазмодія, але в інших регіонах світу такої прив'язки немає.
Клінічні особливості чотириденної малярії
Через переважне ураження зрілих еритроцитів, лише до 1 % усіх еритроцитів людського організму зазвичай анемія не характерна, на відміну від інших людських малярій. Пізніх рецидивів гарячки, як при вівакс-малярії, не відбувається через відсутність серед тканинних шизонтів сплячих форм — гіпнозоїтів. Характерним у періоді розпалу є чотириденний характер гарячки. Збільшення селезінки незначне. Через слабкість імунних реакцій існує тривала багаторічна персистенція Plasmodium malariae в еритроцитах поза межами ендемічних по цій малярії регіонів. Вона перебігає без клінічних проявів, що призводить до ймовірності передачі збудника при переливанні крові (шизонтна малярія). Через це найбільша кількість заражень шизонтною малярією припадає на цей вид плазмодієв. Основним ускладненням чотириденної малярії є аутоімунний нефрит, який розвивається через подразнення ниркових структур сформованими циркулюючими імунними комплексами (ЦІК).
Детальніші відомості з цієї теми ви можете знайти в статті Малярія.
Примітки
- Супергрупа найпростіших (англ. Stramenopiles + Alveolata + Rhizaria). Adl S. M., Simpson A. G., Lane C. E., Lukeš J., Bass D., Bowser S. S., Brown M. W., Burki F., Dunthorn M., Hampl V., Heiss A., Hoppenrath M., Lara E., Le Gall L., Lynn D. H., McManus H., Mitchell E. A., Mozley-Stanridge S. E, Parfrey L. W., Pawlowski J., Rueckert S., Shadwick R. S., Schoch C. L., Smirnov A., Spiegel F. W. The revised classification of eukaryotes // The Journal of Eukaryotic Microbiology. — 2012. — Vol. 59, no. 5. — P. 429—493. — DOI:10.1111/j.1550-7408.2012.00644.x. — PMID 230202 (англ.)
- Маркевич О. П. Російсько-українсько-латинський зоологічний словник / О. П. Маркевич, К. І. Татарко. — К.: Наукова думка, 1983. — 410 с.
- У розгорнутий період хвороби у пацієнта формується особливий характер гарячкових нападів — чотириденний, коли між приступами підйому температури тіла є два дні нормальної її температури.
- Oscillaria malariae, Haemamoeba malariae, Laverania malariae, Ematozoo malariae, Haemosporidium malariae, і, нарешті, Plasmodium malariae
- Opinions № 104 by the International Commission on Zoological Nomenclature (1927).
- При перекладі на українську мову слід застосовувати термінологію — «плазмодій (або збудник) чотириденної малярії»
- Будь-які речовини, які здатні підвищувати температуру тіла.
Джерела
- Голубовская О. А., Шкурба А. В., Колос Л. А. Малярия: монография К. : ВСИ «Медицина», 2015. — 288 с., в тому числі 32 с. цв. вкл. ISBN 978-617-505-419-2
- G. Robert Coatney, William E. Collins, McWilson Warren und Peter G. Contacos. «The primate malarias». Bethesda: U.S. National Institute of Allergy and Infectious Diseases, 1971. Kapitel 18, S. 209 ff.: Plasmodium malariae PDF
- William E. Collins und Geoffrey M. Jeffery: Plasmodium malariae: «Parasite and Disease». Clin. Microbiol. Rev. 2007, Bd. 20(4), S. 579—592 PMID 17934075
