Бліда куля
Бліда куля (лат. globus pallidus) — частина екстрапірамідної системи й системи винагород, відноситься до базальних гангліїв і складає основу підсистеми, що носить назву paleostriatum, до якої входять також чорна речовина та червоне ядро. Бліда куля — підкіркова структура головного мозку, частина кінцевого мозку (telencephalon), але зберігає тісні функціональні зв'язки з субталамічною ділянкою.[2]
| Бліда куля (лат. Globus pallidus) | |
|---|---|
![]() Бліда куля (лат. Globus pallidus) знизу праворуч. | |
![]() Зв'язки екстрапірамідної системи | |
| Деталі | |
| Ідентифікатори | |
| Латина | Globus pallidus |
| MeSH | D005917 |
| NeuroNames | 231 |
| NeuroLex ID | birnlex_1234 |
| TA98 | A14.1.09.518 |
| TA2 | 5569 |
| FMA | 61835[1] |
| Анатомічна термінологія | |
Структура

Бліда куля складаються з однорідних нейронів. У приматів, майже всі нейрони блідої кулі дуже великі, парвальбумін-позитивні, з дуже великими дендритними розгалуженнями. Вони мають особливу тривимірну форму пласких дисків, розташованих паралельно один одному, паралельно кордону блідої кулі[3] та перпендикулярно стріопалідарним аферентним аксонам.[4] Є лише небагато невеликих локальних зв'язкових нейронів.
Бліду кулю перетинають численні мієлінізовані аксони стріато-палідонігрального пучка, які надають йому блідого вигляду, від чого й походить його назва.
Мікроструктура є дуже своєрідною, адже довгі дендрити скрізь, без розривів, покриті синапсами.[5][6]
Частини

У приматів бліда куля, розділена на дві частини- медіальну «медулярну» і «покришкову», які часто називають «внутрішньою» і «зовнішньою».
Вентральна частина одержує еферентні імпульси від вентрального стріатуму (прилегле ядро і нюховий горбок), передає до дорсомедиального ядра таламуса, який, у свою чергу, — префронтальній корі; а також до педункулопонтінного ядра і тегментальних (покришкових) моторних зон. Його функція полягає в тому, щоб слугувати лімбіко-соматичним руховим інтерфейсом. Він бере участь у плануванні і гальмуванні рухів з дорзального відділу стріапалідарного комплексу.
Функції
Бліда куля — це структура головного мозку, яка бере участь у регуляції довільних рухів. Вона є частиною базальних гангліїв, які, серед багатьох інших речей, регулюють рухи, що відбуваються на підсвідомому рівні. При пошкодженнях блідої кулі можуть виникати рухові розлади, якщо її регулююча функція постраждає. У деяких випадках хірургічним шляхом (палідотомія) наноситься з лікувальною метою пошкодження, щоб зменшити мимовільний тремор.
Щодо регулювання руху, бліда куля має переважно гальмівну дію, що врівноважує збудливу дію мозочку. Ці дві структури повинні працювати злагоджено, щоби рухи були плавними контрольованими. Дисбаланс може призвести до тремтіння, посмикувань, інших проблеми, як у людей з прогресуючими неврологічними порушеннями й такими характерними симптомами, як тремор.
Базальні ганглії діють на підсвідомому рівні, не вимагаючи ніяких зусиль свідомості, для функціонування. Коли хтось вирішує, наприклад, погладити кота, ці структури допомагають регулювати рух, зробити його як можна більш плинним, і реагують у залежності від сенсорного зворотного зв'язку. Крім того, бліда куля бере участь у постійному тонкому регулюванні руху, що дозволяє людям ходити, говорити і брати участь у різних інших формах активності з мінімальним рівнем незручностей.
Палідонігральний пейсмейкер (водій ритму)
Два ядра палідуму і дві частини чорної речовини (pars compacta й pars retoculata) являють собою високочастотний палідонігральний автономний водій ритму[7]. Вони складаються з однотипних нейрональних компонентів. Більшість нейронів дуже великі, слабо розгалужені, сильно забарвлюються парвальбуміном, і мають дуже великі дендритні гілки (набагато більші, ніж у приматів, у гризунів) з прямими і товстими дендритами.
Загальні афференти
Дві частини поспіль отримують велику кількість ГАМК-ергичних аксонних термінальних розгалужень від смугастого тіла через густий стріато-нігральний пучок. Стріарні аференти забезпечують більш ніж 90 % синапсів. Бліда куля отримує дофамінергічні аксони від pars compacta чорної субстанції.

РОСТРАЛЬНІ: стріатум, бліда куля (GPe і GPi)
КАУДАЛЬНІ: субталамічне ядро (STN), чорна субстанція (SN)

Зв'язки
Ця ділянка базальних гангліїв отримує вхідні імпульси з іншої області, т.зв смугастого тіла, яка має дві частини — хвостате ядро і лушпина. Ці дані переправляються в таламус, прямо чи опосередковано.
Історія
Походження назви не встановлено. Його згадував Дежерін (Dejerine) (1906), але не згадував, наприклад, Сантьяго Рамон-і-Кахаль (Santiago Ramón y Cajal) (1909—1911). Так як елементи не мають форму досконалої кулі, Фуа (Foix) і Ніколеско (Nicolesco) (1925), Фогтс (1941), Кросбі й співавтори (1962), а потім Terminologia anatomica пропонували простіший термін (прикметник середнього роду) для блідої кулі (просто «блідий» — лат. pallidum). Довгий час бліду кулю пов'язували з лушпиною і називали це утворення сочевицеподібним ядром (лат. nucleus lenticularis чи лат. lentiformis). Проте, вони є структурами неоднорідної анатомічної сутності, й лушпина є частиною стріатума, а не палідума. Зв'язок з pars reticulata чорної субстанції було підкреслено ще в ранніх дослідженнях через схожість у дендритних розгалуженнях (через що вони іноді й називаються палідонігральною системою), але, незважаючи на переконливі докази, це твердження залишається спірним.
Додаткові зображення
Корональний розтин мозку через третій шлуночок.
Корональний розтин мозку через передню спайку.
Горизонтальний розтин правої півкулі головного мозку.
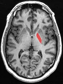
Горизонтально орієнтоване МРТ-зображення, що показує бліду кулю.
Бліда куля
Посилання
- Foundational Model of Anatomy
- Theme atlas of anatomy: head and neuroanathomy.
- Yelnik, J., Percheron, G., and François, C. (1984) A Golgi analysis of the primate globus pallidus.
- Percheron, G.,Yelnik, J. and François.
- Fox, C.A., Andrade, A.N. Du Qui, I.J., Rafols, J.A. (1974) The primate globus pallidus.
- di Figlia, M., Pasik, P., Pasik, T. (1982) A Golgi and ultrastructural study of the monkey globus pallidus.
- Surmeier, D.J., Mercer, J.N. and Savio Chan, C. (2005) Autonomous pacemakers in the basal ganglia: who needs excitatory synapses anyway?

