Бокавірусна інфекція
Бокавірусна інфекція (англ. Bocavirus infection, також Бокапарвовірусна інфекція) — гостра вірусна хвороба з групи ГРВІ, при якій на тлі розладів респіраторного тракту часто відбувається гастроентерит.
| Бокавірусна інфекція | |
|---|---|
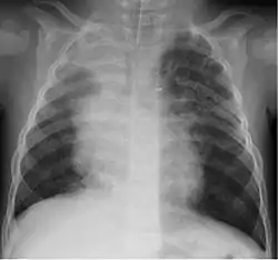
![]() Рентгенологічні ознаки пневмонії при ураженні 1-м бокавірусом людини у півторарічній дитини. Рентгенологічне затемнення (світле забарвлення рентгенограми) у верхній та середній частках правої легені. Рентгенологічні ознаки пневмонії при ураженні 1-м бокавірусом людини у півторарічній дитини. Рентгенологічне затемнення (світле забарвлення рентгенограми) у верхній та середній частках правої легені. | |
| Спеціальність | інфекційні хвороби |
| Симптоми | кашель, гарячка, діарея, ринорея, чхання і атипова пневмонія |
| Причини | Bocavirusd |
| Метод діагностики | ПЛР і ІФА |
| Класифікація та зовнішні ресурси | |
| МКХ-10 | J00 J02 A08.3 |
Історичні відомості
Перший бокавірус людини були вперше описаний у 2005 році шведськими вірусологами на чолі з Т. Алляндером, які виявили його у дихальних шляхах хворих дітей[1], а в 2006 році вірус був знайдений у хворих на ГРВІ дітей в Канаді. У 2009 році в Індії виявлено у зразках фекалій дітей другий бокавірус, того ж року в Австралії — третій і четвертий людський бокавірус[2].
Актуальність
В етіологічній структурі ГРВІ населення Європи HBoV‑1 займає одне з перших місць. Вважають, що цей вірус є досить частим агентом ГРВІ у дітей від 6 місяців до 2 років, поступаючись тільки респіраторно-синцитіальному вірусу, адено- та риновірусам. Бокавірус виявлено у 1,5–19 % дітей Канади, Гонконгу, Нідерландів, Іспанії, Йорданії, Сполучених штатів Америки, Італії, Франції, Китаю, Кореї, Південної Африки з клінічними проявами ГРВІ та у близько 1 % здорових дітей. З 1-м генотипом вірусу асоціюють звичайні ознаки ГРВІ, тоді як при ураженні іншими генотипами часто спостерігають гастроентерит.
Етіологія
? Human bocavirus | ||||||||||
|---|---|---|---|---|---|---|---|---|---|---|
| Класифікація вірусів | ||||||||||
| ||||||||||
Species | ||||||||||
| ||||||||||
Це ДНК-вмісні віруси без суперкапсидної оболонки. Вірус містить один ланцюг ДНК, геном якої складається з 4000-6000 нуклеотидів. Філогенетичний аналіз вірусу показав його схожість з бичачим (лат. bovine) та собачим (лат. canine) парвовірусами (звідки і його назва, що утворена першими двома буквами цих слів — bo та ca). Є одним з двох патогенних для людей представників родини парвовірусів, другим є парвовірус В19, який найчастіше спричинює інфекційну еритему. Білкова оболонка бокавіруса (капсид) кубічного типу симетрії надає віріону сферичної форми.
Проста будова бокавірусів забезпечує їм надзвичайно високу стійкість у довкіллі до дії різних чинників. За межами організму людини ці віруси здатні протягом багатьох місяців зберігати свою вірулентність та патогенність. Віруси стійкі до прогрівання при температурі 56 °C протягом 1 години, до перебування у кислому середовищі (pH 3,0). Бокавіруси людини стійкі до дії 0,1 % формаліну, органічних розчинників (хлороформу, спиртів, жовчі, трипсину), впливу фізичних методів інактивації. Майже миттєво гинуть при кип'ятінні, чутливі до багатьох дезінфектантів[3].
Епідеміологічні особливості
Джерелом є хвора людина.
Механізмами передачі інфекції є повітряно-крапельний та фекально-оральний.
Наразі віруси мають поширення в 28 країнах світу на п'яти континентах. Імовірно має повсюдне поширення. Бокавіруси виявлено у дітей, особливо віком до 5 років, та дорослих. Значна кількість серопозитивних дітей у віці до 2 місяців, що пов'язано з можливістю вертикальної передачі антитіл від матері. Упродовж перших 4–6 місяців життя спостерігається зниження титрів материнських антитіл класу IgG в організмі дитини, внаслідок чого у цьому віці збільшується ризик виникнення бокавірусної інфекції. Наразі не вияснено чи існує перехресний імунітет між різними генотипами бокавірусів. Рівень захворюваності коливається у межах 0,3 — 5,6 % у період з жовтня по травень у країнах з помірним кліматом, пік захворюваності припадає на березень, квітень та травень.
Клінічні ознаки
На сьогодні ще не встановлено тривалість інкубаційного періоду при бокавірусній інфекції. Наразі найбільш вразливими для цієї інфекції є діти. У них хвороба супроводжується розвитком кашлю, нежиті, задишки та гастроентериту на тлі гарячки[4]. У дорослих симптоми бокавірусної інфекції схожі з атиповою пневмонією, також можливий розвиток гастроентериту. До основних клінічних проявів респіраторної бокавірусної інфекції відносяться: гарячка (у широкому діапазоні від 37,2° до 40,2 °C), фарингіт, ринорея (виділення з носа) тривалістю від 2 до 23 діб, утруднене дихання та кашель. У частини хворих з'являється висип. Деякі з них скаржаться на біль у вухах. Встановлено етіологічну роль 1-го бокавірусу людини у розвитку позагоспітальної пневмонії. Досить часто він виявляється одночасно з ентеровірусами, риновірусами, респіраторно-синцитіальним вірусом, вірусами парагрипу, грипу, респіраторними аденовірусами та коронавірусами людини, метапневмовірусом. У чверті захворілих з домінуючими респіраторними проявами розвиваються ураження травного каналу. Це нудота, блювання, діарея, зневоднення та інші прояви, що свідчать про те, що 1-й бокавірус людини уражає не тільки дихальні шляхи. Але кількість вірусу, що виявляється у таких випадках з випорожнень хворих, є значно меншою, ніж у зразках, відібраних з дихальних шляхів пацієнтів. Значно частіше у пацієнтів з гострим гастроентеритом зустрічається 2-й бокавірус людини. Клінічне значення 3-го і 4-го бокавірусів ще нез'ясоване. Бокавірусну інфекцію було виявлено у пацієнтів з імунодефіцитом при респіраторних і шлунково-кишкових захворюваннях, у пацієнтів після трансплантації гемопоетичних стовбурових клітин, у дітей з гострим лімфобластним лейкозом, у дорослих осіб з ВІЛ-інфекцією. При цьому ДНК 1-го бокавірусу було виявлено не тільки в носоглоткових змивах або мазках, але й у сироватці крові, тобто відбувається вірусемія. Наявність у респіраторному тракті малих концентрацій цього вірусу протягом декількох місяців та виявлення вірусу у пацієнтів при повторній госпіталізації з інтервалом в 1–6 місяців свідчать про можливість формування хронічного перебігу інфекції. Наразі не описано жодного смертельного випадку, пов'язаного з цим вірусом[5]
Діагностика
Для лабораторної діагностики бокавірусної інфекції розроблено та широко використовуються молекулярно-генетичні методи дослідження — полімеразна ланцюгова реакція (ПЛР) з електрофоретичною детекцією, ПЛР у режимі реального часу та nest-ПЛР («вкладена» або гніздова). Є повідомлення про використання ампліфікації, заснованої на сіквенсі нуклеїнової кислоти, для виявлення HBoV‑1 у зразках фекалій (Nucleic Acids Sequence Based Amplifi cation — NASBA). Її використовують як альтернативу ПЛР. Серологічна діагностика здійснюється наразі дуже рідко. Її проводять у парних сироватках крові методом імуноферментного аналізу (ІФА) і дозволяє виявити специфічні антитіла класів IgM, IgG та наростання їхніх титрів у 4 та більше разів. Значним обмеженням серологічної діагностики є її ретроспективність.
Лікування
Не відрізняється від лікування інших вірусних захворювань респіраторного тракту та має підтримувальне направлення. Специфічної противірусної терапії захворювання наразі не існує.
Профілактика
Вакцини наразі немає. Профілактика суто неспецифічна.
Примітки
- Allander T, Jartti T, Gupta S, et al. (April 2007). «Human bocavirus and acute wheezing in children». Clin. Infect. Dis. 44 (7): 904–10. (англ.)
- Kapoor A, Slikas E, Simmonds P, Chieochansin T, Naeem A, Shaukat S, Alam MM, Sharif S, Angez M, Zaidi S, Delwart E (2009). «A newly identified bocavirus species in human stool». J. Infect. Dis. 199 (2): 196—200. (англ.)
- Ricour C, Goubau P (2008). «Human bocavirus, a newly discovered parvovirus of the respiratory tract». Acta Clin Belg. 63 (5): 329–34. (англ.)
- Pozo F, García-García ML, Calvo C, Cuesta I, Pérez-Breña P, Casas I (November 2007). «High incidence of human bocavirus infection in children in Spain». J. Clin. Virol. 40 (3): 224–8. (англ.)
- Kupfer B, Vehreschild J, Cornely O, et al. (October 2006). «Severe pneumonia and human bocavirus in adult». Emerging Infect. Dis. 12 (10): 1614–6.
Джерела
- Інфекційні хвороби (підручник) (за ред. О. А. Голубовської). — Київ: ВСВ «Медицина» (2 видання, доповнене і перероблене). — 2018. — 688 С. + 12 с. кольор. вкл. (О. А. Голубовська, М. А. Андрейчин, А. В. Шкурба та ін.) ISBN 978-617-505-675-2 / С. 246
- Інфекційні хвороби: енциклопедичний довідник / за ред. Крамарьова С. О., Голубовської О. А. — К.: ТОВ «Гармонія», 2-е видання доповнене та перероблене. 2019. — 712 с. ISBN 978-966-2165-52-4 (Крамарьов С. О., Голубовська О. А., Шкурба А. В. та ін.) / С. 56—58.
- Nicholas John Bennett, Joseph Domachowske Pediatric Bocavirus Updated: Mar 03, 2014 Medscape. Drugs & Diseases. Pediatrics: General Medicine (Chief Editor: Russell W Steele) (англ.)
