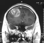
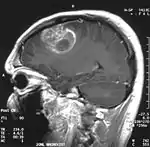
Гліобластома
Мультиформна гліобластома (англ. Glioblastoma multiforme, GBM) — найбільш розповсюдженна і найбільш агресивна форма пухлини мозку, яка становить до 52 % первинних пухлин мозку і до 20 % всіх внутрішньочерепних пухлин. Незважаючи на те, що гліобластома є найбільш розповсюдженою первинною пухлиною мозку, на 100 тисяч жителів Європи і Північної Америки реєструється всього 2-3 випадки захворювання[3]. Термін «гліобластома» передбачає два варіанти цієї хвороби: гігантоклітинна гліобластома і гліосаркома.
| Гліобластома | |
|---|---|
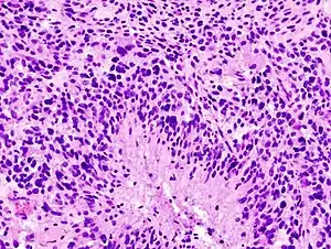
![]() Гістологічний зріз гліобластоми Гістологічний зріз гліобластоми | |
| Спеціальність | онкологія |
| Препарати | Темозоломід[1] і 4,4'-(1,3-propanediylbis(oxy))bis-benzoic acidd[2] |
| Класифікація та зовнішні ресурси | |
| МКХ-11 | XH7F82 |
| МКХ-10 | C71 |
| МКХ-О | M9440/3 |
| OMIM | 137800 |
| DiseasesDB | 29448 |
| eMedicine | neuro/147 med/2692 |
| MeSH | D005909 |
| | |

Етіологія
З невідомих причин гліобластома зустрічається частіше у чоловіків[4]. Більшість випадків гліобластоми носять спорадичний характер, без генетичної схильності. Не встановлено зв'язок між гліобластомою і курінням[5], споживанням консервованого м'яса[6] або впливом електромагнітного поля[7][8][9][10]. Споживання алкоголю, можливо, є фактором ризику[11]. Захворюваність гліобластомою пов'язана з вірусами SV40[12], ВГЧ-6[13][14] і цитомегаловірусом[15]. Є невелика залежність гліобластоми від іонізуючого випромінювання[16]. Аналіз 2006 року пов'язує цю пухлину головного мозку з впливом свинцю на робочому місці[17]. Підмічено зв'язок випадків пухлини мозку і малярії. Вважається, що малярійний комар, переносник малярії, може передавати вірус або інший агент, який може збільшити ризик гліобластоми[18].
Лікування

При лікуванні може застосовуватися хімієтерапія, променева терапія та хірургічне лікування. Медіана виживання для пацієнтів, щодо яких застосовувалася променева і хіміотерапія з темозоломідом, становить 15 місяців[19]. Медіана виживаності без лікування становить 3 місяці, в той же час досить часто пацієнти проживають 1-2 роки[20]. Хоча серйозних досліджень ефективності хірургічного лікування при даному захворюванні не проводилося, хірургія залишається стандартним методом лікування[21].
Тваринні моделі
За даними одного дослідження, в мишачої моделі гліобластоми, яку спричинила точкова делеція в гені p53, накопичення мутантних білків p53 відзначається спочатку в субвентрикулярной зоні, звідки і починається поширення клітин прогеніторноподібного фенотипу, що дають початок пухлини[22][23].
Генетичні порушення при гліобластомі
Найбільш розповсюдженні генетичні порушення при первинних гліобластомах це: втрата гетерозиготності (LOH) 10q (69 %), потім ампліфікація з (34 %), мутація TP53 (31 %), гомозиготна делеція CDKN2A (31 %) і мутації PTEN (24 %). У вторинних гліобластомах часті мутації TP53 і LOH 10q (65 % і 63 %), в той час як інші генетичні порушення рідкісні[24].
Примітки
- Inxight: Drugs Database
- Inxight: Drugs Database
- Louis DN, Ohgaki H, Wiestler OD, Cavenee WK, Burger PC, Jouvet A, Scheithauer BW, Kleihues P, The 2007 WHO Classification of Tumours of the Central Nervous System Acta Neuropathol (2007) 114:97-109.
- Ohgaki, Hiroko; Kleihues, Paul (2005). Population-Based Studies on Incidence, Survival Rates, and Genetic Alterations in Astrocytic and Oligodendroglial Gliomas. Journal of Neuropathology & Experimental Neurology 64 (6): 479–89. PMID 15977639. Вказано більш, ніж один
|pmid=та|PMID=(довідка) - Zheng, Tongzhang; Cantor, Kenneth P.; Zhang, Yawei; Chiu, Brian C. H.; Lynch, Charles F. (2001). Risk of Brain Glioma not Associated with Cigarette Smoking or Use of Other Tobacco Products in Iowa. Cancer Epidemiology, Biomarkers & Prevention 10 (4): 413–4. PMID 11319186. Вказано більш, ніж один
|pmid=та|PMID=(довідка) - Wheeler, Lamar; Huncharek, Michael; Kupelnick, Bruce (2003). Dietary Cured Meat and the Risk of Adult Glioma: A Meta-Analysis of Nine Observational Studies. Journal of Environmental Pathology, Toxicology and Oncology 22 (2): 129–37. PMID 14533876. doi:10.1615/JEnvPathToxOncol.v22.i2.60. Вказано більш, ніж один
|DOI=та|doi=(довідка); Вказано більш, ніж один|pmid=та|PMID=(довідка) - Savitz, David A.; Checkoway, Harvey; Loomis, Dana P. (1998). Magnetic Field Exposure and Neurodegenerative Disease Mortality among Electric Utility Workers. Epidemiology 9 (4): 398–404. PMID 9647903. doi:10.1097/00001648-199807000-00009. Вказано більш, ніж один
|DOI=та|doi=(довідка); Вказано більш, ніж один|pmid=та|PMID=(довідка) - Inskip, Peter D.; Tarone, Robert E.; Hatch, Elizabeth E.; Wilcosky, Timothy C.; Shapiro, William R.; Selker, Robert G.; Fine, Howard A.; Black, Peter M. та ін. (2001). Cellular-Telephone Use and Brain Tumors. New England Journal of Medicine 344 (2): 79–86. PMID 11150357. doi:10.1056/NEJM200101113440201. Вказано більш, ніж один
|DOI=та|doi=(довідка); Вказано більш, ніж один|pmid=та|PMID=(довідка); - Kan, Peter; Simonsen, Sara E.; Lyon, Joseph L.; Kestle, John R. W. (2007). Cellular phone use and brain tumor: A meta-analysis. Journal of Neuro-Oncology 86 (1): 71–8. PMID 17619826. doi:10.1007/s11060-007-9432-1. Вказано більш, ніж один
|DOI=та|doi=(довідка); Вказано більш, ніж один|pmid=та|PMID=(довідка) - Hardell, Lennart; Carlberg, Michael; Hansson Mild, Kjell (2009). Epidemiological evidence for an association between use of wireless phones and tumor diseases. Pathophysiology 16 (2–3): 113–22. PMID 19268551. doi:10.1016/j.pathophys.2009.01.003. Вказано більш, ніж один
|DOI=та|doi=(довідка); Вказано більш, ніж один|pmid=та|PMID=(довідка) - Baglietto, Laura; Giles, Graham G.; English, Dallas R.; Karahalios, Amalia; Hopper, John L.; Severi, Gianluca (2011). Alcohol consumption and risk of glioblastoma; evidence from the Melbourne collaborative cohort study. International Journal of Cancer 128 (8): 1929. doi:10.1002/ijc.25770. Вказано більш, ніж один
|DOI=та|doi=(довідка) - Vilchez, Regis A; Kozinetz, Claudia A; Arrington, Amy S; Madden, Charles R; Butel, Janet S (2003). Simian virus 40 in human cancers. The American Journal of Medicine 114 (8): 675–84. PMID 12798456. doi:10.1016/S0002-9343(03)00087-1. Вказано більш, ніж один
|DOI=та|doi=(довідка); Вказано більш, ніж один|pmid=та|PMID=(довідка) - Crawford, JR; Santi, MR; Thorarinsdottir, HK; Cornelison, R; Rushing, EJ; Zhang, H; Yao, K; Jacobson, S та ін. (2009). Detection of human herpesvirus-6 variants in pediatric brain tumors: Association of viral antigen in low grade gliomas. Journal of clinical virology : the official publication of the Pan American Society for Clinical Virology 46 (1): 37–42. PMC 2749001. PMID 19505845. doi:10.1016/j.jcv.2009.05.011. Вказано більш, ніж один
|pmc=та|PMC=(довідка); Вказано більш, ніж один|DOI=та|doi=(довідка); Вказано більш, ніж один|pmid=та|PMID=(довідка); - Chi, J.; Gu, B.; Zhang, C.; Peng, G.; Zhou, F.; Chen, Y.; Zhang, G.; Guo, Y. та ін. (2012). Human Herpesvirus 6 Latent Infection in Patients with Glioma. Journal of Infectious Diseases 206 (9): 1394–8. PMID 22962688. doi:10.1093/infdis/jis513. Вказано більш, ніж один
|DOI=та|doi=(довідка); Вказано більш, ніж один|pmid=та|PMID=(довідка); - «Target acquired», The Economist, May 29th, 2008
- Cavenee, WK (2000). High-grade gliomas with chromosome 1p loss. Journal of neurosurgery 92 (6): 1080–1. PMID 10839286. Вказано більш, ніж один
|pmid=та|PMID=(довідка) - Van Wijngaarden, Edwin; Dosemeci, Mustafa (2006). Brain cancer mortality and potential occupational exposure to lead: Findings from the National Longitudinal Mortality Study, 1979–1989. International Journal of Cancer 119 (5): 1136–44. PMID 16570286. doi:10.1002/ijc.21947. Вказано більш, ніж один
|DOI=та|doi=(довідка); Вказано більш, ніж один|pmid=та|PMID=(довідка) - Lehrer, Steven (2010). Anopheles mosquito transmission of brain tumor. Medical Hypotheses 74 (1): 167–8. PMID 19656635. doi:10.1016/j.mehy.2009.07.005. Вказано більш, ніж один
|DOI=та|doi=(довідка); Вказано більш, ніж один|pmid=та|PMID=(довідка) - Johnson, Derek R.; O'Neill, Brian Patrick (2011). Glioblastoma survival in the United States before and during the temozolomide era. Journal of Neuro-Oncology 107 (2): 359–64. PMID 22045118. doi:10.1007/s11060-011-0749-4. Вказано більш, ніж один
|DOI=та|doi=(довідка); Вказано більш, ніж один|pmid=та|PMID=(довідка) - Krex, D.; Klink, B.; Hartmann, C.; Von Deimling, A.; Pietsch, T.; Simon, M.; Sabel, M.; Steinbach, J. P. та ін. (2007). Long-term survival with glioblastoma multiforme. Brain 130 (10): 2596–606. doi:10.1093/brain/awm204. Вказано більш, ніж один
|DOI=та|doi=(довідка); - Van Meir, E. G.; Hadjipanayis, C. G.; Norden, A. D.; Shu, H. K.; Wen, P. Y.; Olson, J. J. (2010). Exciting New Advances in Neuro-Oncology: The Avenue to a Cure for Malignant Glioma. CA: A Cancer Journal for Clinicians 60 (3): 166–93. PMC 2888474. PMID 20445000. doi:10.3322/caac.20069. Вказано більш, ніж один
|pmc=та|PMC=(довідка); Вказано більш, ніж один|DOI=та|doi=(довідка); Вказано більш, ніж один|pmid=та|PMID=(довідка) - Wang Y, Yang J, Zheng H, Tomasek GJ, Zhang P, McKeever PE, Lee EY, Zhu Y (June 2009). Expression of mutant p53 proteins implicates a lineage relationship between neural stem cells and malignant astrocytic glioma in a murine model. Cancer Cell 15 (6): 514–26. PMID 19477430. doi:10.1016/j.ccr.2009.04.001. Вказано більш, ніж один
|DOI=та|doi=(довідка); Вказано більш, ніж один|pmid=та|PMID=(довідка) - [недоступне посилання]Источником самого распространенного рака мозга могут быть нейральные стволовые клетки[недоступне посилання з квітня 2019] — сайт Академии Сеченова.
- Hiroko Ohgaki et al. (October 2004). Genetic Pathways to Glioblastoma. Cancer Research 64 (19): 6892. doi:10.1158/0008-5472.CAN-04-1337. Вказано більш, ніж один
|DOI=та|doi=(довідка)
.jpg.webp)