Еозинофілія
Еозинофілія — стан, при якому кількість еозинофілів у крові перевищує 20—300 клітин у 1 мкл крові, або 0,5—5 % усіх лейкоцитів)[1]. Збільшення кількості еозинофілів у інших тканинах є маркерною ознакою тканинної еозинофілії[2]. Відомо багато причин виникнення еозинофілії, зокрема, через алергічну реакцію чи паразитарну інфекцію. Еозинофілію діагностують на підставі клінічного аналізу крові. Якщо процентний аналіз формули крові показав явну еозинофілію, то визначення абсолютної кількості еозинофілів зазвичай не потрібно[3]. Еозинофілію класифікують залежно від етіологічного фактору, який призвів до утворення її[2]. Усі еозинофілії (окрім ідіопатичної, що піддається лікуванню кортикостероїдами[3]) є ознаками захворювань, а не самими розладами.
| Еозинофілія Класифікація та зовнішні ресурси | |
![]() | |
|---|---|
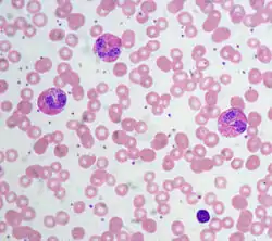
| Еозинофіли в периферичній крові пацієнта з ідіопатичною еозинофілією | |
| МКХ-10 | D72.1 |
| DiseasesDB | 4328 |
| eMedicine | med/685 |
| MeSH | D004802 |
На противагу еозинофілії зниження кількості еозинофілів в крові називають анеозинофілією чи еозинопенією.
Причини
Еозинофілія може бути як ідіопатичною (первинною), так і вторинною[2][3]. У країнах розвиненої економіки найпоширенішою причиною еозинофілії є алергічні реакції, зокрема у дихальній та покривній системах організму. Натомість у країнах, що розвиваються, еозинофілії зазвичай виникають через паразитарні інвазії. Паразитарна інфекція, яка уражає практично будь-яку тканину організму, може спричинити еозинофілію. Серед хвороб, що перебігають зі стійкою еозинофілією, можна виділити такі:
- Алергічні захворювання
-
- Пухирчатка[4]
- Дерматит Дюрінга
- Еозинофільний езофагіт[5]
- Еозинофільний гастроентерит[6]
- Паразитарні інвазії[4]
- Аддісонова хвороба
- Деякі різновиди лейкозу
- Гострий лімфобластний лейкоз
- Хронічний мієлоцитарний лейкоз
- Еозинофільний лейкоз
- Лімфогранулематоз[4]
- Деякі форми негоджкінських лімфом[4]
- Системні автоімунні захворювання[4] (наприклад, системний червоний вовчак та ідіопатичний еозинофільний синовіт)
- Системний мастоцитоз
- Деякі форми васкуліту[4] (наприклад, хвороба Черга — Штрауса[7])
- Атероемболія[4]
- Мікози[8]
- СНІД
- Інтерстиціальна нефропатія
- Надмірна кількість імуноглобуліну E
- Ідіопатичний гіпереозинофільний синдром[9]
Патофізіологія
Стимуляція утворення еозинофілів імуноглобуліном E індукується сполуками, які виділяють базофіли та опасисті клітини, до яких входить хемотаксичний фактор анафілаксії, лейкотрієн B4, комплементарний комплекс (C5-C6-C7), інтерлейкін 5 та гістамін (у вузькому діапазоні концентрації)[3].
Негативний вплив еозинофілії варіює залежно від етіології хвороби, при якій вона виникла. Під час алергічної реакції викид гістаміну опасистими клітинами призводить до розширення судин, що дозволяє еозинофілам мігрувати з крові в уражені тканини. Накопичення еозинофілів у тканинах може завдати істотної шкоди організму. Еозинофіли, подібно до інших гранулоцитів, містять гранули, заповнені травними ферментами та цитотоксичними білками, які за нормальних умов допомагають знищувати паразитів, проте при еозинофілії ці агенти можуть завдати шкоди здоровим тканинам. Окрім цього, гранули еозинофілів можуть містити цитокіни, що стимулюватимуть утворення нових еозинофілів, і таким чином посилюватимуть шкоду організму. Цей процес є основним запальним процесом у патофізіології бронхіальної астми[10].
Діагностика
Еозинофілія діагностується на підставі клінічного аналізу крові, хоча у деяких випадках доцільно провести визначення точної кількості еозинофілів[3]. При збиранні анамнезу хвороби робиться акцент на подорожах, перенесенні алергій та вживанні наркотичних речовин[3]. Проводять рентгенографію грудної клітки, аналіз сечі, перевірка функцій печінки та нирок та серологічні аналізи на паразитарні хвороби та захворювання сполучної тканини. Випорожнення перевіряють на наявність гельмінтів (яйця, личинки тощо), хоча їхня відсутність не дозволяє відкинути можливість гельмінтозу; наприклад, для діагностування трихінельозу потрібно провести м'язову біопсію[3]. Підвищений рівень вітаміну B12 у крові, знижений рівень лужної фосфатази еритроцитів чи анормальність лейкоцитів у мазках крові вказує на розлади мієлопроліферації. У випадку ідіопатичної еозинофілії в пацієнтів зазвичай є ускладнення. Для діагностики алергічної причини еозинофілії іноді вводять малу дозу кортикостероїдів, оскільки пригнічення імунної системи має зупинити алергічний процес[3].
Лікування
Лікування полягає в усуненні хвороби, яка спричинила еозинофілію[3]. Проте для лікування первинної еозинофілії можна використати кортикостероїди, як-от преднізолон. Однак, механізм дії кортикостероїдів — пригнічення імунної системи — може бути фатальним для пацієнтів з деякими паразитозами[2].
Примітки
- ЕОЗИНОФІЛІЯ | Фармацевтична енциклопедія. www.pharmencyclopedia.com.ua. Процитовано 16 січня 2016.
- Eosinophilic disorders - Journal of Allergy and Clinical Immunology. www.jacionline.org. Процитовано 16 січня 2016.
- Merck Manuals For the Professional. Merck Manuals - Professional Version. Процитовано 16 січня 2016.
- Mitchell, Richard Sheppard; Kumar, Vinay; Abbas, Abul K.; Fausto, Nelson. Robbins Basic Pathology (8th ed.) (англійською). Philadelphia: Saunders. ISBN 1-4160-2973-7.
- Eosinophilic Esophagitis. ACAAI. Процитовано 16 січня 2016.
- Eosinophilic Gastroenteritis: Background, Pathophysiology, Epidemiology. Процитовано 16 січня 2016.
- Eosinophilic Granulomatosis with Polyangiitis (Churg-Strauss Syndrome): Background, Pathophysiology, Epidemiology. Процитовано 16 січня 2016.
- Saubolle, Michael A.; McKellar, Peter P.; Sussland, Den (1 січня 2007). Epidemiologic, Clinical, and Diagnostic Aspects of Coccidioidomycosis. Journal of Clinical Microbiology (англ.) 45 (1). с. 26–30. ISSN 0095-1137. PMC 1828958. PMID 17108067. doi:10.1128/JCM.02230-06. Процитовано 16 січня 2016.
- Fathi, Amir T.; Dec, G. William; Richter, James M.; Chen, Yi-Bin; Schwartzenberg, Shmuel S.; Holmvang, Godtfred; Hasserjian, Robert P. (27 лютого 2014). Case 7-2014. New England Journal of Medicine 370 (9). с. 861–872. ISSN 0028-4793. PMID 24571759. doi:10.1056/NEJMcpc1302331. Процитовано 16 січня 2016.
- Graeme, P. Currie; F. W. Baker, John (2012). Asthma, 2nd ed.
Джерела
- Третяк Н. М. Гематологія: Навчальний посібник. — К.:Зовнішня торгівля, 2005 — С.240 ISBN 966-8517-07-5
