Лімфогранульоматоз
Лімфогранульомато́з, або хворо́ба Го́джкіна, або Ходжкіна, злоя́кісна гранульо́ма, (англ. Hodgkin's disease, Hodgkin's lymphoma) — злоякісне захворювання лімфоїдної тканини, характерною ознакою якого є наявність гігантських клітин Штернберга, які виявляють при мікроскопічному дослідженні уражених лімфатичних вузлів.
| Лімфогранульоматоз | |
|---|---|
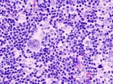
![]() Мікропрепарат: біоптат лімфовузла. В центрі патологічно збільшена клітина Рід — Штернберга Мікропрепарат: біоптат лімфовузла. В центрі патологічно збільшена клітина Рід — Штернберга | |
| Спеціальність | онкологія |
| Причини | Інфекція, яку спричинює вірус Епштейна — Барр |
| Препарати | Ломустін[1] і Хлорамбуцил[2] |
| Класифікація та зовнішні ресурси | |
| МКХ-11 | 2B30 |
| МКХ-10 | C81 |
| МКХ-О | 9650/3, 9667/3 і 965-966 |
| OMIM | 236000, 300221 і 400021 |
| DiseasesDB | 5973 |
| MedlinePlus | 000580 |
| eMedicine | med/1022 |
| MeSH | D006689 |
| SNOMED CT | 14537002 |
| | |
Злоякісні ураження лімфатичного апарату і кровотворних органів становлять значну групу серед новоутворень людини. Їх іменують зазвичай системними захворюваннями, тому що пухлинний процес захоплює не один орган, а весь кровотворний або лімфатичний апарат. До них належать лімфогранулематоз і лейкози.
Етимологія
Названо на честь британського науковця Томаса Годжкіна, який описав аномалії в лімфатичній системі в 1832.[3][4]
Епідеміологія
Лімфогранульоматоз, або хвороба Годжкіна, є частим захворюванням, яке зустрічається в 1-2 випадках на 100 000 населення. Хвороба може виникнути в будь-якому віці, нерідко спостерігається у дітей. Захворювання відрізняють два вікові піки. Пік захворюваності у молодих осіб спостерігають у віці 15-30 років; характерна однакова частота серед чоловіків і жінок, переважає відносно доброякісний клінічний перебіг. Другий пік у дорослих спостерігають у віці старше 50 років. Характерна висока захворюваність чоловіків.
Етіологія
Помітне підвищення захворюваності в межах певного регіону й у певний час указує, що причиною можуть бути віруси (вірус Епштейна-Барр) або фактори навколишнього середовища. Існує сімейна форма лімфогранульоматозу, що може свідчити про генетичну схильність. Імовірність виникнення захворювання зростає при імунодефіцитах (набутих і вроджених), автоімунних захворюваннях.
Патогенез
Лімфогранульоматоз є одною з частих форм злоякісних лімфом. Характеризується злоякісною гіперплазією лімфоїдної тканини з утворенням у лімфатичних вузлах і внутрішніх органах лімфогранульом. Ураження починається в одній із груп лімфатичних вузлів (ділянки шиї, паху, середостіння), надалі розповсюджуючись на інші групи, причому одночасно уражаються внутрішні органи, що містять лімфоїдну тканину (селезінка, шлунково-кишковий тракт, печінка).
Класифікація
Розрізняють:
- периферійну форму (ураження поверхневих лімфатичних вузлів),
- медіастінальну,
- абдомінальну,
- легенево-плевральну,
- шлунково-кишкову,
- а також рідкісні варіанти кісткової, шкірної і нервової форм.
За швидкістю та тривалістю перебігу процесу виділяють гостру й хронічну форми.
При першій формі хвороба проходить від початкової стадії до кінцевої за кілька місяців, при другій — розтягується на багато років із циклічними загостреннями й ремісіями.
Клінічні ознаки
Клінічні прояви лімфогранулематозу складають місцеві і загальні ознаки.
До перших відносять збільшення лімфатичних вузлів щільно-еластичної консистенції, спаяних між собою, (вони утворюють пакет), та не спаяних зі шкірою.
При локалізованому шийному різновиді ці збільшені вузли нерідко приймають за туберкульозний лімфаденіт, і, не проводячи ніяких діагностичних заходів, лікують хворого протитуберкульозними засобами, у той час як хвороба продовжує прогресувати й поширюватися, захоплюючи інші групи лімфатичних вузлів і внутрішні органи.
Із загальних симптомів типовими для лімфогранулематозу вважають:
- періодичні підвищення температури,
- свербіж шкіри,
- заливний піт,
- наростаючу слабкість,
- специфічні зміни у крові (лейкоцитоз або лейкопенія, моноцитоз, анемія та ін.).
Загалом симптоматика дуже різноманітна, тому що залежить від локалізації уражених лімфатичних вузлів і ступеня залучення внутрішніх органів.
Діагностика
Діагноз ставлять з урахуванням клінічної картини, змін крові і даних рентгенологічного дослідження.
При наявності збільшених лімфатичних вузлів у тій чи іншій ділянці тіла зазвичай необхідно диференціювати не тільки з непухлинним процесом (туберкульозом, хронічним неспецифічним лімфаденітом), але і з метастатичним їхнім ураженням при наявності раку того чи іншого органа. З цією метою користуються цитологічним або гістологічним методом (пункція, біопсія), а також детально обстежують хворого.
Діагноз кожного варіанта встановлюють тільки на підставі присутності типових («діагностичних») клітин Березовського-Штернберга. Виділяють 4 основних гістологічних варіанти лімфогранульоматозу:
- Варіант із перевагою лімфоїдної тканини, або лімфогістоцитарний;
- Варіант із нодулярним склерозом;
- Змішаноклітинний варіант;
- Варіант із придушенням лімфоїдної тканини.
Діагностика лімфогранульоматозу найпростіша при ураженні периферійних лімфатичних вузлів, коли для встановлення точного діагнозу досить удатися до пункції або біопсії одного із них. Складніше розпізнавання лімфогранульоматозу при локалізації процесу в середостінні (медіастінальна форма) або в заочеревинному просторі. Тоді проводять детальне рентгенологічне дослідження з використанням лімфографії і навіть медіастіноскопії, ультразвукове дослідження (УЗД), комп'ютерну томографію (КТ) або магнітно-ядерний резонанс (ЯМР). Діагностична лапаротомія (із біопсією лімфатичних вузлів чи печінки для гістологічного дослідження) показана з метою діагностики й уточнення стадії захворювання.
Лікування
Лікування лімфогранульоматозу в основному проводять променевими методами (дистанційна терапія або рентгенотерапія), опромінюючи не тільки наявно уражені зони, але й інші групи лімфатичних вузлів, і проводять обов'язкові повторні профілактичні курси.
Нерідко, особливо при розповсюджених формах і рецидивах захворювання, променеве лікування поєднують із хіміотерапією.
До хірургічного методу вдаються вкрай рідко, лише при справжніх ізольованих формах ураження периферійних лімфатичних вузлів, коли звичайне висічення їх може дати лікувальний ефект.
У процесі лікування здійснюють періодичне дослідження загального аналізу крові, інші методи обстеження.
Прогноз
Прогноз при лімфогранульоматозі залежить від швидкості перебігу хвороби (при гострій формі несприятливий), а також від ступеня поширеності процесу до моменту початку лікування. При локалізованій формі вдається домогтися позитивних результатів, а при генералізованій, особливо з ураженням внутрішніх органів, частіше спостерігається лише тимчасове поліпшення (ремісія), а потім хвороба продовжує розвиватися.
Примітки
- Inxight: Drugs Database
- Inxight: Drugs Database
- Hellman S (2007). Brief Consideration of Thomas Hodgkin and His Times. У Hoppe RT, Mauch PT, Armitage JO, Diehl V, Weiss LM. Hodgkin Lymphoma (вид. 2nd). Philadelphia: Wolters Kluwer Health/Lippincott Williams & Wilkins. с. 3–6. ISBN 0-7817-6422-X.
- Hodgkin T (1832). On some morbid experiences of the absorbent glands and spleen. Med Chir Trans 17: 69–97.
Література
- Михайлевський, Олександр (2008). Енциклопедія народної медицини (українська). Бережани: НВО "Медицина". с. с. 1464– 1465. ISBN 978-966-96998-1-7.
_mixed_cellulary_type.jpg.webp)