Мезентеріальна ішемія
Гостра мезентеріальна ішемія, мезентеріальний інфаркт, мезентеріальний тромбоз — гострий стеноз артерій, які кровопостачають кишечник, що призводить до інфаркту та некротизації відповідного відділу кишечника. Як артеріальна емболія, так і венозний тромбоз, можуть відігравати вирішальну роль. Оклюзія мезентеріальних судин зазвичай вражає пацієнтів старшого віку з серцево - судинними захворюваннями в анамнезі.
| Гостра мезентеріальна ішемія | |
|---|---|
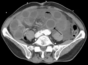
![]() КТ показує дилатовані петлі тонкого кишечника з потовщеними стінками (чорна стрілка), картина характерна для ішемії кишечника внаслідок тромбозу верньої брижової вени. КТ показує дилатовані петлі тонкого кишечника з потовщеними стінками (чорна стрілка), картина характерна для ішемії кишечника внаслідок тромбозу верньої брижової вени. | |
| Інші назви | мезентеріальний інфаркт, мезентеріальний тромбоз |
| Спеціальність | Загальна хірургія, Судинна хірургія |
| Типи | гостра, хронічна |
| Фактори ризику | Фібриляція передсердь, серцева недостатність, хронічна ниркова недостатність, антифосфоліпідний синдром, Облітеруючий тромбангіїт, ДВЗ-синдром |
| Метод діагностики | ангіографія, КТ |
| Класифікація та зовнішні ресурси | |
| МКХ-10 | K55.9 |
| DiseasesDB | 29034 |
| MeSH | D065666 |
| | |
Патогенез
Гостра мезентеріальна ішемія може бути неклюзивною (НОМІ) або окклюзивною (ОМІ), при цьому первинна етіологія надалі визначається як брижова артеріальна емболія (50%), мезентеріальний артеріальний тромбоз (15–25%), або мезентеріальний венозний тромбоз (5–15%)
Відповідно до уражених артерій при ОМІ, у приблизно 85 % випадків спостерігається оклюзія/стеноз верхньої брижової артерії, решта діляться приблизно порівну між черевним стовбуром і нижньою брижовою артерією. Стеноз нижньої брижової артерії клінічно легший і має сприятливіший прогноз, оскільки вона забезпечує кров'ю значно меншу зону.
Неоклюзивна мезентеріальна ішемія виникає приблизно в 20% випадків і, як правило, є наслідком вазоконстрикції верхньої брижової артерії, пов’язаної із низьким спланхнічним кровотоком. Пацієнти з НОМІ, як правило, страждають від важкої супутньої патології, зазвичай серцевої недостатності, яка може бути наслідком сепсису. Гіповолемія та застосування судинозвужувальних засобів можуть спричинити в даному випадку клініку інтестинальної ішемії.
Стадії
Мезентеріальна ішемія може бути небезпечною для життя і зазвичай протікає в три стадії:
Початкова стадія: проявляється сильним спазмоподібним білем у животі, можлива геморагічна (кривава) діарея, та початковими симптомами шоку, часто без захисного напруження передньої стінки живота. Біль в основному виникає в області пупка . Некроз ураженої частини кишечника починається вже через дві години після оклюзії, саме тому він вимагає термінових дій у будь-якому випадку!
Латентна стадія: оманливе полегшення болю і симптомів протягом декількох годин, зменшення перистальтики кишечника ("оманиливий спокій").
Стадія непоправного кишкового некрозу: паралітична кишкова непрохідність, перитоніт, та виражена загальна інтоксикація організму з розвитком поліорганної недостатності, шокового стану.
Діагноз
Діагноз виставляється на основі:
- Клініки гострого живота із наростаючим погіршенням стану пацієнта
- Лейкоцитозу> 20000 / мкл
- Метаболічного ацидозу, лактоацидозу
- Кольорової дуплексної сонографії
- Ангіографії ураженої ділянки
- Комп'ютерної томографії
- Рентгену живота - не специфічний показник
При неклюзивній мезентеріальній ішемії (НОМІ) - першочергово проводять консервативне лікування та лікування супутньої патології.
При оклюзійній мезентеріальній ішемії (ОМІ), тобто закупорці судини, показане екстрене хірургічне втручання з метою реваскуляризації ураженої ділянки кишечника шляхом відновлення кровотоку за допомогою ангіопластики або відкритої тромбектомії з накладанням стоми на місці ураженої ділянки кишки. Некротичні частини кишечника повинні бути видалені .
Прогноз: через швидкий перебіг, летальність до 80 % в залежності від стадії, та місця ураження. Це також пов'язано з тим, що діагноз зазвичай ставлять занадто пізно (складна диференціальна діагностика).
Див. також
- Абдомінальна ішемічна хвороба (Angina abdominalis)
Джерела
- Patel A, Kaleya RN, Sammartano RJ. Pathophysiology of mesenteric ischemia.SurgClin North Am. 1992;72:31–41.
- Acosta S. Mesenteric ischemia.CurrOpinCrit Care. 2015;21:171–8.
- Clair DG, Beach JM. Mesenteric Ischemia. N Engl J Med. 2016;374:959–68
- Орел.Ю "ГОСТРА МЕЗЕНТЕРІАЛЬНА ІШЕМІЯ" ЛМУ, Медицина світу, 1997, № 6 С.314-317
- І. А. Даниленко "КЛІНІКА ТА ДІАГНОСТИКА ГОСТРИХ ПОРУШЕНЬ МЕЗЕНТЕРІАЛЬНОГО КРОВООБІГУ" Медичний інститут СДУ, Хірургія України.- 2011.-№ 1.-С. 83-90. ISSN 1818-5398.
