Антифосфоліпідний синдром
Антифосфоліпідний синдром (англ. Antiphospholipid syndrome or antiphospholipid antibody syndrome (APS or APLS)) — клінічний синдром, аутоімунний стан гіперкоагуляції, що характеризується судинними тромбозами (артеріальними та / або венозними) та / або патологією вагітності при наявності антифосфоліпідних антитіл. Зустрічається з частотою 5 випадків на 100 тисяч осіб. Тяжкий ступінь цього синдрому виділяють в окрему нозологічну форму — катастрофічний антифосфоліпідний синдром (синдром Ашерсона або синдром Рональда Ашерсона).
| Антифосфоліпідний синдром | |
|---|---|
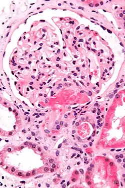
![]() Гостра тромботична мікроангіопатія, біоптат нирки, забарвлення періодичною кислотно-Шіфовою фарбою (англ. Periodic acid–Schiff stain), мікрофотографія Гостра тромботична мікроангіопатія, біоптат нирки, забарвлення періодичною кислотно-Шіфовою фарбою (англ. Periodic acid–Schiff stain), мікрофотографія | |
| Спеціальність | Гематологія |
| Класифікація та зовнішні ресурси | |
| МКХ-11 | 4A45 |
| МКХ-10 | D68.6 |
| OMIM | 107320 |
| DiseasesDB | 775 |
| eMedicine | med/2923 |
| MeSH | D016736 |
Етіологія і патогенез
Патогенетично це аутоімунне захворювання, в якому антифосфоліпідні антитіла (антикардіоліпінові антитіла aCL, проти фосфатидилсерину і вовчаковий антикоагулянт) або пов'язаних з ними білків плазми, переважно бета-2-глікопротеїну І (аполіпопротеїну Н), що реагують на білки, які зв'язуються з аніонними фосфоліпідними речовинами на плазматичних мембранах. Як і більшість аутоімунних захворювань, це частіше відбувається у жінок, ніж у чоловіків. Точна причина невідома. Відбувається активація системи коагуляції. Антифосфоліпідні антитіла, які виникають внаслідок аутоімунного процесу, зумовлюють тромбози та судинні проблеми. Синдром можна розділити на первинний і вторинний, що пов'язаний з якимось основним захворюванням, системною хворобою сполучної тканини або ревматичною гарячкою.

Хоча антифосфоліпідні антитіла клінічно пов'язані з антифосфоліпідним синдромом, але залишається неясним чи вони залучені в патогенезі або є епіфеноменом. Відомо, що у 5 % здорових людей в крові є антифосфоліпідні антитіла.
Одна з гіпотез постулює дефект клітинного апоптозу, який підготовлює мембранні фосфоліпіди до зв'язування з різними білками плазми, такими як бета-2-глікопротеїн I. Після зв'язування утворюється фосфоліпідно-білковий комплекс і відкривається неоепітоп, який згодом стає мішенню аутоантитіл. Окислений бета-2 глікопротеїн I здатний зв'язуватись та активувати дендритні клітини таким же способом, як активація, яку породжує Toll-подібний рецептор 4 (TLR-4), що може посилити вироблення аутоантитіл.
Інші запропоновані механізми гіперкоагулюючого ефекту антифосфоліпідних антитіл, які можуть не залежати від бета-2-глікопротеїну I, включають наступне:
- утворення антитіл проти коагуляційних факторів, зокрема протромбіну, протеїну С, протеїн S та аннексинів;
- активація тромбоцитів для посилення їхнього прикріплення до ендотелію;
- активація судинного ендотелію, що, у свою чергу, полегшує зв'язування тромбоцитів і моноцитів;
- зв'язування антитіл з окисненим ліпопротеїном низької щільності, що спричинює атеросклероз та інфаркт міокарда.
Активація комплементу все більше визнається як така, що має значну роль у патогенезі синдрому. Є факти, що активація комплементу може бути первинною подією при мимовільному перериванні вагітності.
Серія змін, що призводить до гіперкоагуляції та рецидивуючого тромбозу, може впливати практично на будь-які органи або системи:
- периферійна венозна система (тромбоз глибоких вен)
- центральна нервова система (інсульт, тромбоз пазух, судоми, хорея, динамічне порушення мозкового кровообігу)
- периферійна нервова система (нейропатія, включаючи синдром Гієна — Барре).
- система крові (тромбоцитопенія, гемолітична анемія)
- вагітність (переривання вагітності, еклампсія)
- легені (тромбоемболія легеневої артерії, легенева гіпертензія)
- шкіра (пурпура, інфаркти / виразки)
- серце (вальвулопатія Лібмана-Сакса, гострий інфаркт міокарда, діастолічна дисфункція)
- очі (сліпота, тромбоз сітківки)
- наднирники (інфаркт / крововилив)
- скелетно-м'язовий апарат (аваскулярний некроз кісток)
- нирки (тромботична мікроангіопатія).
Нирки є головним органом-мішенню при цьому синдромі. Нефропатія характеризується вазо-оклюзійними ураженнями малих кровоносних судин, пов'язаними з фіброзною інтимальною гіперплазією міжчасткових артерій, реканалізуючими тромбами в артеріях та артеріолах, а також вогнищевою атрофією.
Діагностика
Клінічні критерії включають судинний тромбоз та патологію вагітності.
Тромбоз судин визначається як один або декілька клінічних епізодів тромбозу артерій, вен або ще меншого калібру судин у будь-якій тканині або органі, підтвердженому результатами досліджень зображень, допплеровських або гістопатологічних досліджень. Тромбоз може включати судини центральної нервової системи, коронарні артерії, легеневу систему (емболи або тромбози), артеріальну або венозну систему кінцівок, печінкові вени, ниркові вени, судини надниркових залоз, очні артерії або вени. Про тромбозу за рахунок антифосфоліпідного синдрому слід підозрювати тоді, якщо у молодої людини (чоловіків <55 років, жінок <65 років) спостерігається тромбоз глибоких вен (емболія легеневої артерії, гостра ішемія, інфаркт міокарда або інсульт, особливо рецидивний) або якщо він виник у вказаному віці за відсутності інших факторів ризику.
Критеріями, пов'язаними з вагітністю є:
- ≥ 1 незрозуміла смерть морфологічно нормального плода на 10-й тиждень вагітності або після неї;
- ≥ 1 передчасні пологи морфологічно нормальним новонародженим до 34-го тижня вагітності через еклампсію, тяжку прееклампсію або тяжку плацентарну недостатність; або
- ≥ 3 нез'ясовані послідовні мимовільні аборти до 10-го тижня вагітності з виключенням можливості анатомічних або гормональних аномалій у матері та причин генетичної несумісності матері та батька.
Лабораторні критерії включають:
- антикоагулянт з вовчаком, присутній у плазмі — ≥ 2 випадки принаймні з інтервалом 12 тижнів;
- антикардіоліпінові антитіла ізотипу IgG та / або IgM, середній або високий титр, у ≥ 2 випадках, щонайменше з інтервалом 12 тижнів;
- антитела проти β2-глікопротеїну-І ізотипу IgG та / або IgM, у середньому або високому титрі, ≥ 2 разів, щонайменше з інтервалом 12 тижнів.
Для підтвердження тромбоутворення використовують комп'ютерну томографію (КТ) або магнітно-резонансну томографію (МРТ) у разі інсульту, тромбоемболії легеневої артерії, синдромі Бадда — Кіарі. Допплерівські ультразвукові дослідження рекомендовані для можливого виявлення тромбозу глибоких вен. Ехокардіографія може виявити ураження серцевих клапанів, клапанову недостатність.
У пацієнтів з антифосфоліпідним синдромом може бути один або декілька ненормальних результатів деяких лабораторних досліджень:
Лікування
Пацієнти з антифосфоліпідним синдромом можуть лікуватися і спостерігатися в амбулаторних умовах. Схеми лікування повинні бути індивідуалізовані відповідно до поточного клінічного стану пацієнта та анамнестичних даних стосовно тромбозів, що відбулися. Слід усунути такі фактори ризику, як оральні контрацептиви, тютюнокуріння, артеріальна гіпертензія або гіперліпідемія. Хворі, у яких немає явних симптомів, не вимагають спеціального лікування.
Станом на 2016 рік експертний консенсус рекомендує застосування антикоагулянтів (переважно низькомолекулярних гепаринів) і глюкокортикостероїдів (метилпреднізолон по 0,5 г 2-3 рази на день) практично у всіх пацієнтів, причому слід також застосовувати плазмоферез та / або внутрішньовенне введення імуноглобуліну.
Профілактика
Рекомендується прийом аспірину в малих дозах для профілактики тромбозу, як це проводиться для профілактики інфаркту міокарда і ішемічного інсульту. При непереносимості аспірину застосовують клопідогрель. За наявності системного червоного вовчака використовують гідрооксихлорохін, який має антитромботичні властивості. У пацієнтів з гіперліпідемією застосовують статини.
Джерела
- Richard C.W. Wong, and Emmanuel J. Favaloro Clinical Features, Diagnosis, and Management of the Antiphospholipid Syndrome. Thieme Medical Publishers // Semin Thromb Hemost. 2008 March;34(3):295-304. (англ.)
- Ruiz-Irastorza G, Crowther M, Branch W, Khamashta MA (October 2010). «Antiphospholipid syndrome». Lancet. 376 (9751): 1498—509. (англ.)
- Tong, M.; Viall, C. A.; Chamley, L. W. (2014). «Antiphospholipid antibodies and the placenta: a systematic review of their in vitro effects and modulation by treatment». Human Reproduction Update. 21 (1): 97–118.
