Синдром струшеної дитини
Синдро́м стру́шеної дити́ни (ССД; англ. Shaken baby syndrome (SBS); Abusive head trauma) — комплекс негативних наслідків травми головного мозку як результат інтенсивного струшування дитини. Це — судово-медичний термін, а також клінічний синдром, що включає тріаду ознак:
| Синдром струшеної дитини | |
|---|---|
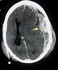
![]() Субдуральна гематома (показана стрілкою), скупчення крові між твердою мозковою оболоною та мозком, що виникла внаслідок струшування дитини. Помітна значна дислокація мозкових структур із зміщенням шлуночків мозку Субдуральна гематома (показана стрілкою), скупчення крові між твердою мозковою оболоною та мозком, що виникла внаслідок струшування дитини. Помітна значна дислокація мозкових структур із зміщенням шлуночків мозку | |
| Класифікація та зовнішні ресурси | |
| МКХ-10 | S06.1S06.5 |
| MedlinePlus | 007578 |
| MeSH | D038642 |
| | |
Американська академія педіатрії описує «синдром струшеної дитини» як сукупність травматичних пошкоджень, які можуть спричинити смерть або інвалідність дитини і визнає користь збереження цього терміну. Але в медичній документації рекомендує лікарям при формулюванні діагнозу вказувати травму голови, що була отримана дитиною.[1]
Виникає часто при жорстокому поводженні з дітьми, а саме при навмисному струшуванні немовлят, коли доросла людина різко його трясе під час плачу з метою заспокоїти, особливо під час кольок. Може бути спровокований струшуванням дитини впродовж кількох секунд. Не завжди є ознакою знущання над дитиною, але завжди є проявом жорстокого поводження. Не відкинута можливість виникнення ССД під час гри з малюком, наприклад, якщо доросла людина інтенсивно підкидає маленьку дитину або під час дорожньо-транспортної пригоди від наїзду на авто, в якому був малюк, позаду, коли дитина перебуває на сидінні авто непристебнутою в захисному кріслі.
ССД може спричинити серйозні пошкодження головного мозку, як наслідок — призвести до довічної інвалідності або смерті. Найчастіше діагностується у дітей перших двох років життя, але іноді може спостерігатись у дітей віком до 5 років. 60 % постраждалих дітей — хлопчики, а 80 % тих, хто спричинив появу ССД — чоловіки. Передбачувані показники летальності серед дітей з ССД коливаються в діапазоні від 15 % до 38 %; до некритичних наслідків ССД належать різні ступені порушення зору (включаючи сліпоту), рухові порушення (наприклад, дитячий церебральний параліч) і когнітивні порушення.
Кодування за МКХ-10 S06.1/ S 06.5 / Т 74.1, судово-медичний експерт може використовувати коди Y07.0-9,
Історичні відомості
- Вперше про жорстоке поводження з дітьми як про медичну проблему підняв питання Генрі Кемп в 1962 році — стаття «Синдром дитини, постраждалої від жорстокого поводження» в журналі Американської асоціації педіатрії.
- Вперше ССД був виявлений нейрохірургом Н. Гутхельгом в 1971 році.
- 2003 рік — перший судово-медичний конгрес в Единбурзі. по синдрому струшеної дитини.
- 2003 рік — перший судовий процес по синдрому струшеної дитини в Швейцарії.
- 2012 рік — Норман Гутхельг, публікує статтю «Після 40 років розглядання», в якій критикує переслідування батьків на основі виявляння тріади симптомів.
- 2016 рік — Waney Squier, дитячий невролог, яка виступала в судах як експерт-свідок з приводу ССД була виключена із реєстру медичних працівників за неправомірне поводження. Squier оскаржила рішення трибуналу в Верховному Суді Англії та Уєльсу, лікар була поновлена в медичному реєстрі, але позбавлена права виступати в суді в якості експерта строком на три роки.
- 2018 рік — активне обговорення синдрому струшеної дитини в Україні на міжвідомчій конференції (лікарі, поліція, соціальна служба, служба в справах дітей) «Дитинство без насильства» 26-27 лютого[2].
Фактори ризику
У суспільстві чомусь ігнорується той факт, що поява в родині маленької дитини завжди є кризовою ситуацією для сім'ї. Збільшуються матеріальні потреби, обмежуються соціальні зв'язки, тимчасово переривається кар'єрне зростання одного із батьків. Брак сну та перевтома підвищують неадекватне сприйняття дорослими дитячого крику. Сім'ї, що опинились у складних життєвих умовах потребують особливої уваги з боку мультидисциплінарної команди з питань протидії насильству. Анатомо-фізіологічні особливості дитячого організму (слабкість шийних м'язів, незрілість мозкових структур) сприяють запуску механізму травми при ССД.
До основних факторів ризику ССД відносять:
- стрес та перевтома дорослої людини, яка здійснює догляд за дитиною;
- відсутність знань про анатомо-фізіологічні особливості дитячого організму;
- вживання дорослим алкогольних напоїв та наркотичних речовин;
- складні соціально-побутові умови проживання родини;
- недостатня увага до родини з боку соціальних служб та медичних працівників;
За оцінкою, в 30-40 % випадків присутні ознаки кількох застарілих травм голови. Це свідчить про те, що дитина не вперше стає жертвою агресивних дій. Значну роль відіграє післяпологова депресія матері, яка в більшості випадків не діагностується своєчасно.
Механізм травматичного ушкодження
Травматичне струшування відбувається, якщо голова малюка відкидається взад та вперед. Вважалося, що травма виникає внаслідок прискорення- гальмування та обертання під час струшування. В 1987 році ця теорія була перевірена біомеханічним випробуванням, зроблений висновок, що ізольоване струшування при відсутності прямого удару не є достатньою силою для з'явлення тріади симптомів ССД. Зворотно-поступові рухи при струшуванні призводять до ушкодження краніоцервікального зчленування та нижнього відділу стовбура головного мозку. При сильному струшуванні може відбутися відрив спинного мозку на рівні стовбуру. Струшування з меншою силою призводить до порушення функції життєво важливих центрів в стовбурі головного мозку та викликати апное центрального генезу, набряк мозку на тлі внутрішньочерепної гематоми підвищує внутрішньочерепний тиск, що обтяжує прогноз ССД. Відносно більший розмір голови, ніж у дорослого, горизонтальне розташування суглобової поверхні шийних хребців, недорозвинуті шийні м'язи та еластичні зв'язки обумовлюють високу рухливість голови малюка у всіх напрямках. Великий субарахноїдальний простір, недостатня мієлінізація, відносно велика кількість рідини в речовині головного мозку дитини додатково підвищують ризик травми внаслідок прискорення-гальмування.
Клінічна картина
Характерні симптоми ССД — крововиливи в сітківку, субдуральні гематоми[3] (крововилив у мозок) та набряк мозку. Механізм травматичного ушкодження пояснюється трясінням, а також поєднанням тупого удару та трясіння. Можуть спостерігатись поведінкові розлади, труднощі з годуванням, зневоднення, дратівливість, судоми, зміна свідомості до коматозного стану. Лікар також може виявити розлади дихання від респіраторного дистрес-синдрому до апное, тахікардію. ССД іноді супроводжуеться зупинкою дихання.
До широкого спектра наслідків, залежно від того, як тривало та інтенсивно дитина піддавалась струшуванню, відносять:
Безпосередні наслідки
- Дратівливість
- Блювання
- Судоми
- Непритомність
- Зменшення частоти серцебиття і дихання
- Поганий апетит
- Невміння ковтати і смоктати (у немовлят)
- Смерть
Відтерміновані
- Інвалідність
- Фізичні вади
- Порушення зору або сліпота
- Вади слуху або порушення мови
- Дитячий церебральний параліч
- Судоми
- Розлади поведінки
- Когнітивні порушення
- Смерть
Батьки звертаються до лікаря з вищевикладеними скаргами, але не пов'язують їх з наслідками трясіння, або приховують факт струшування дитини. У лікарів відсутня настороженість щодо ССД, особливо, якщо родина не є неблагополучною. Також можна виявити інші ознаки травматичного пошкодження — синці, переломи довгих трубчастих кісток, ребер. Типові помилки медичної діагностики: медпрацівник може віднести симптоми ССД до проявів вірусного захворювання, розладів травлення, менінгіту, сепсису.
Додаткові обстеження: огляд офтальмолога, КТ-сканування голови, МРТ головного мозку.
Дії медичного працівника при підозрі на ССД
Діагноз іноді ігнорується лікарями через неприпустимість думки щодо насильницьких дій по відношенню до малюка дорослими членами родини. Крім того, медичні працівники не завжди вважають за необхідне повідомити соціальні служби про факт ССД, що є неприпустимим, так як сприяє зростанню ризику отримати більш тяжку травму дитиною в майбутньому.
Завдання медичного працівника: виявити, пролікувати, записати, повідомити, попередити.
- Ретельно розпитати батьків (опікунів) про механізм виникнення ушкодження, з'ясувати, як дорослі пояснюють причину виникнення стану.
- Оглянути все тіло дитини на предмет виявлення можливих синців, здійснити оцінку рухової активності, характера крику, необхідно уважно придивитися — можливо дитина оберігає кінцівку, або реагує криком на зміну положення тіла, в разі необхідності провести додаткові обстеження — рентгенографію кісток, ультразвукове дослідження, огляд очного дна.
- Провести диференційну діагностику з іншими захворюваннями та станами, виключити інші захворювання.
- Розпочати комплекс лікування та реабілітації;
- Повідомити у службу в справах дітей;
- Правильно задокументувати факт стану, обставини виникнення в первинній медичній документації.
- Переконатися, що подальше перебування в родині не загрозливе для життя та здоров'я дитини та інших дітей;
- Організувати оцінку психічного здоров'я дорослих членів родини та психологічне консультування;
- Повторно оглянути дитину через кілька тижнів.
- Брати участь у соціальній підтримці родини.
Медичний працівник повинен пояснити медичні терміни для представників поліції, служби в справах дітей, соціальних служб. Лікарі також несуть юридичну відповідальність за приховування факту жорстокого поводження з дитиною та неякісне заповнення первинної медичної документації. Діагноз ССД має величезні соціальні, психологічні та юридичні наслідки для родини. Роль медичного працівника полягає не в тому, щоб проводити розслідування протиправної діяльності по відношенню до дітей, а в тому, щоб визначити медичну проблему, провести своєчасну адекватну терапію та представити достовірну інформацію дорослим членам сім'ї та відповідним соціальним службам.
Лікування
Лікування включає в себе зменшення внутрішньочерепного тиску за допомогою різних медичних засобів (осмотичні діуретики, салуретики, при тяжкому перебігу глюкокортикостероїди максимально коротким курсом, тощо), якщо є внутрішньочерепна гематома — дренування гематоми, симптоматичне лікування.
Прогноз
Прогноз залежить від тяжкості й може варіюватися від повного відновлення до тяжкої інвалідності. Смерть настає, коли травма серйозна. Третина з цих пацієнтів помирає, одна третина виживає з серйозними неврологічними розладами, і тільки одна третина не має ушкоджень з боку ЦНС. Найбільш частими неврологічними порушеннями є судомні розлади, дефекти мови, гідроцефалія, дитячий церебральний параліч, розлади зору.
Судово-медичний розгляд
Часто синдром знаходять при судово-медичному розтині у випадках синдрому раптової дитячої смерті. Запідозрити кримінальний характер смерті нерідко сприяють візуальні спостережені крововиливи в шкіру, які відбуваються через сильне стискання певних ділянок тіла руками того, хто зробив струшування. Часто за це відповідальні батьки дітей, які або навмисно, або в стані афекту, або навіть випадково роблять подібне.
Профілактика
Медичний працівник повинен проводити профілактику ССД шляхом пояснення дорослим загрози струшування малюка. Важливо провести бесіду з молодими батькам, чітко пояснити батькам (опікунам) причини крику новонародженого: це — єдиний спосіб маленької людини заявити про свої власні потреби. Тому природа зробила так, що дитячий плач — найбільш дратівливий звук для дорослого. Дитина плаче тому. що не має іншого способу повідомити навколишній світ про себе.
Профілактика ССД включає:
- проведення роз'яснювальної роботи з батьками в пологовому будинку щодо синдрому струшеної дитини;
- ефективну роботу патронажної медичної служби;
- тісний взаємозв'язок лікарів, поліції, служби в справах дітей, соціальної служби.
Необхідно, навчати дорослих, як заспокоїти дитину, методам боротьби зі стресом. Мультидисціплінарна команда з протидії дитячого насильства повинна своєчасно брати під опіку родини, що опинилися в складних матеріально-побутових умовах.
Примітки
- Christian, Cindy W.; Block, Robert (1 травня 2009). Abusive Head Trauma in Infants and Children. Pediatrics (англ.) 123 (5). с. 1409–1411. ISSN 0031-4005. PMID 19403508. doi:10.1542/peds.2009-0408. Процитовано 2 жовтня 2019.
- Українських лікарів навчать розпізнавати ознаки насильства у дітей та підлітків. zik.ua (ua). Процитовано 10 березня 2018.
- Субдуральна гематома головного мозку: причини, симптоми, лікування
Література
- Oral R (August 2003). Intentional head trauma in infants: Shaken baby syndrome (Archived). Virtual Children's Hospital. Архів оригіналу за 14 лютого 2005. Процитовано 9 жовтня 2006. (англ.)
- De Leeuw M, Jacobs W (2007). «Shaken baby syndrome: The classical clinical triad is still valid in recent court rulings». Critical Care 11 (Supplement 2): 416. (англ.)
- American Academy of Pediatrics. Abusive Head Trauma in Infants and Children
Посилання
- Прояви синдрому жорстокого поводження з дітьми на перинатальному етапі 2012
- Не труси дитину
- (рос.)Синдром тряски младенца
- Заколисування і підкидання малюка небезпечні (рос.) [недоступне посилання]
