Хвороба, яку спричинює багатокамерний ехінокок
Хвороба, яку спричинює багатокамерний ехінокок (також відома як альвеолярний ехінококоз та альвеококоз[1]) — гельмінтоз, який спричинює стрічковий гельмінт Echinococcus multilocularis (альвеокок). Характеризується інвазивним зростанням, що нагадує злоякісну пухлину, яке першочергово виникає в печінці.
| Хвороба, яку спричинює багатокамерний ехінокок / Альвеококоз | |
|---|---|
![]() | |
| Спеціальність | інфекційні хвороби і гельмінтолог |
| Симптоми | гарячка, нездужання, гепатомегалія і пухлина |
| Причини | Echinococcus multilocularis |
| Метод діагностики | фізикальне обстеження, ультразвукове дослідження, КТ, МРТ і біопсія |
| Ведення | хірургічна операція |
| Препарати | альбендазол і мебендазол |
| Класифікація та зовнішні ресурси | |
| МКХ-11 | 1F73.0 |
| МКХ-10 | B67.5, B67.6, B67.7 |
| DiseasesDB | 4048 |
| MeSH | C536591 і C536591 |
Історичні факти
Рудольф Вірхов у 1856 році вперше встановив паразитарне походження хвороби, а Рудольф Лейкарт у 1863 році дал назву збуднику — альвеолярний або багатокамерний ехінокок (Echinococcus alveolaris s. multilocularis).
Етіологія
Епідеміологічні особливості
Джерелом інвазії є представники родини псових, частіше дикі, лисиці (Vulpes vulpes, Vulpes lagopus), койоти (Canis latrans), зрідка котячі, псові (у Китаї), які виділяють заповнені яйцями проглотиди у довкілля. До зараження личинкової стадією альвеококка сприйнятливі в природі численні види мишоподібних гризунів. Люди заражаються на охоті, збиранні ягід та лісових продуктів, контакті із собаками чи котами тощо. Не виключена можливість зараження людини в осередках альвеококозу під час пиття води з озер та інших непроточних водойм. Домашня худоба в поширенні альвеококозу ролі не грає. У цьому відношенні епідеміологія альвеококозу істотно відрізняється від епідеміології ехінококозу, в поширенні якого основне значення з проміжних хазяїв має домашня рогата худоба.
Альвеококоз поширений у північних районах Європи, Азії та Північної Америки. Останні дослідження показали, що в центральній Європі E. multilocularis поширюється далі на північ, південь та схід, ніж раніше це було. Цей гельмінтоз нині ендемічний у Бельгії, Люксембурзі, Франції, Швейцарії, Ліхтенштейні, Австрії, Німеччині, Польщі та Чехії. Частота поширеності E. multilocularis у лисиць тривожно висока в деяких районах із середніми показниками >40 %. Найвищий показник захворюваності, що коли-небудь зафіксований у світі, становив 6,2 % між 2000 та 2002 роками під час скринінгу у Серкю, окрузі китайської провінції Сичуань.
Патогенез
Після всмоктування онкосфери вона проходять через шлунок і проникає в стінку тонкої кишки. Через портальну вену потрапляє до печінки протягом трьох-чотирьох годин. Відбувається паразитування багатокамерної кісти, яка практично завжди первинно локалізується в печінці. Альвеолярна будова альвеолярного міхура добре видна з периферії. Навколо і в проміжках між цими альвеолами відбувається розвиток продуктивного запалення у вигляді розростання грануляційної тканини, яка часто піддається перетворенню у фіброзну тканину. Фіброз альвеоококової кисти надзвичайно активний з початку інфекції. Незворотний ацелюлярний фіброз, що складається зі зшитих колагенів, ізолює паразитарні ураження від хазяїна, але також здавлює та перешкоджає головним кровоносним судинам та жовчним протокам. Некроз у центрі ураження може бути інфікований бактеріями та грибками, що може призвести до ускладнень. Іноді ця тканина суцільно некротизується і місцями розріджується, що веде до утворення в альвеококковому вузлі порожнин, заповнених продуктами тканинного розпаду. Поверхня розрізу такого міхура має мармуровий вигляд і пористу будову, зовні нагадує голландський сир або м'якуш черствого житнього хліба. Характерна щільність міхура альвеокока, що межує з хрящовою щільністю. Вона пояснюється великою кількістю у ньому фіброзної тканини, що зазнала сухого сирністого некрозу. Периферичні ділянки міхура мають нерівну лінію і особливо багаті життєздатними міхурцями альвеококка. Міхур може розташовуватися в будь-який частці печінки, але частіше в правій частці. Такі міхури досягають 15 см у діаметрі. Описані міхури розміром з голову дорослої людини і вагою до 5 кг. Гідатидна рідина всередині міхура, яка містить білкові та непротеїнові виділення гельмінта, критично впливає на стан хазяїна та прогресування хвороби.
Особливістю розвитку альвеококового міхура є інфільтративне зростання та здатність до метастазування. При розриві первинного альвеококового міхура може відбуватися вторинне розсіювання в черевній порожнині, потрапляння до інших органів. Взагалі, альвеококові утворення нагадують злоякісні пухлини метастатичного походження. Прогноз при цьому несприятливий.
Клінічні прояви
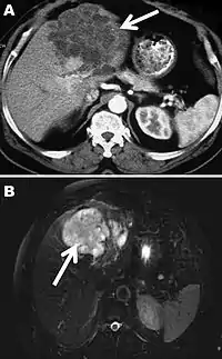
Інкубаційний період альвеолярного ехінококозу становить 5 — 15 років. Клінічний перебіг альвеококозу в перші місяці, а іноді й роки, майже безсимптомний. Надалі з'являються неприємні відчуття в ділянці печінки, ниючий біль, особливо під час бокових рухів. При цьому часто з'являється гарячка, нездужання, наростає втомлюваність. Найчастішою клінічною знахідкою є гепатомегалія (збільшення розмірів печінки). Спленомегалія (збільшення розмірів селезінки) виявляється лише у випадках, ускладнених портальною гіпертензією або тих, що пов'язані з метастазуванням альвеококових міхурів до селезінки. При проведенні ультразвукового дослідження виявляється пухлиноподібне утворення різного розміру в печінці. Здавлювання жовчних проток призводить до появи жовтяниці і холестазу, здавлювання печінкових вен — до появи асциту.
Клінічний перебіг відповідає такому у злоякісної пухлини і, якщо не лікувати, призводить до смерті більш ніж у 90 % випадків протягом десяти років від початку перших проявів.
Ускладнення
Може розвинутися запалення жовчних проток (холангіт), жовтяниця через порушення жовчного відтоку з печінки (обструктивна холестатична жовтяниця), сепсис, портальна гіпертензія з подальшим розвитком варикозу стравоходу, тромбозу ворітної вени та хронічного синдрому Бадда — Кіарі.
Діагностика
У клінічному аналізі крові у розпалі хвороби спостерігається лімфопенія та еозинофілія. Тести зазвичай показують підвищений рівень гаптоглобіну, альфа1кислий глікопротеїн, С3 та С4 та церулоплазміну, незважаючи на відсутність підвищення C-реактивного білка (СРБ). Рівень СРБ збільшується у випадках, ускладнених бактеріальною суперінфекцією. Активність гаммаглутамілтранспептидази зазвичай підвищується до того, як у хворого з'являються симптоми, або тоді, коли жовчні протоки перекриваються. Активність цього ферменту може збільшуватися в 20 разів відносно норми. Активність лужної фосфатази підвищується пізніше, ніж гаммаглутамілтранспептидази, і відбувається лише у пацієнтів із симптоматикою. Рівень білірубіну збільшується у пацієнтів, у яких є жовтяниця. Активність амінотрансфераз збільшуються лише при некроз печінки, при чому активність аспартатамінотрансферази дорівнює такої аланінінамінотрансферази. Протромбіновий час зменшується через холестаз.
Діагноз альвеококозу підтверджується візуалізаційними методами діагностики та може бути підтверджений серологічними методами та / або молекулярною ідентифікацією Echinococcus multilocularis у зразках. Рекомендується двоступеневе серологічне дослідження, спочатку високочутливим тестом (гемаглютинація або імуноферментний аналіз з використанням гомологічного антигену, екстракту E. multilocularis), а потім провести вестерн-блот, який слід проводити у всіх випадках з високим рівнем підозри на основі візуалізації, особливо у пацієнтів з імунодепресією. Вестерн-блот-тести відрізняються високою чутливістю (97%), а перехресні реакції, що призводять до подібної картини, спостерігаються лише іноді в сироватках пацієнтів з нейроцистицеркозом. Остаточний діагноз покладається на патологію або ідентифікацію личинки паразита за допомогою молекулярної біології.
Лікування
Мультидисциплінарний підхід має важливе значення для оптимального лікування альвеолярного ехінококозу. Основним медикаментозним лікуванням є хімієтерапія бензимідазолами: мебендазолом, альбендазолом у високих дозах. Згідно з рекомендаціями щодо консенсусу з ехінококозів у 2010 році, тривала хіміотерапія протягом декількох років (і, можливо, все життя) є обов'язковою для неоперабельних пацієнтів[2]. Скасування лікування бензимідазолами можливе при негативних результатах комп'ютерного сканування, включаючи уповільнені зображення та негативні результати серології. Комп'ютерне сканування та серологічні дослідження слід проводити починаючи з 3-х місяців після закінчення лікування, а потім щорічно впродовж 10 років. Внутрішньовенний амфотерицин В (переважно, як ліпідна емульсія) може використовуватися у пацієнтів при резистентності чи непереносимості бензимідазолів.
Якщо якщо можлива резекція всього паразитарного утворення, то операція є в такій ситуації першим вибором лікування. Після її проведення триває терапія альбендазолом упродовж 2 років. Коли радикальна операція неможлива, одним із варіантів є паліативна резекція печінки для зменшення паразитарної маси та збільшення шансів на ефективну хіміотерапію. Іноді проводиться трансплантація печінки.
Додаткове лікування включає антибіотики та протигрибкові засоби проти бактеріальних чи / та грибкових уражень, холангіту та / або сепсису (переважно грамнегативні бактерії, стійкі до антибіотиків Streptococcus faecalis, синьогнійна паличка та види роду Candida після хірургічних втручань). Призначаються вітаміни К і D. Використовується пропранолол для запобігання внутрішній кровотечі, пов'язаної з портальною гіпертензією. Урсодезоксихолева кислота застосовується пацієнтам з хронічним холестазом та / або біліарним стентуванням.
Профілактика
В ендемічних осередках альвеококозу основну увагу слід звернути на попередження захворювання. Шкури тварин необхідно знімати в спеціальних нежитлових приміщеннях. Харчові продукти не повинні зберігатися тут. Приймати їжу в них категорично забороняється. Ті, хто знімає шкури, та інші особи, які контактують з продуктами полювання, повинні працювати тільки в халатах. Після закінчення роботи слід ретельно вимити руки. Повинні бути передбачені заходи, спрямовані на припинення аліментарних зв'язків собак з природними вогнищами альвеококозу. З цією метою необхідно заборонити згодовування собакам тушок здобутих на полюванні гризунів (полівки та ін.).
Див. також
Примітки
- Відповідники в інших мовах: лат. echinococcosis multilocularis, echinococcosis alveolaris morbus, англ. alveococcus disease, multilocular or alveolar hydatid disease, фр. alveococcose, echinococcose alveolaire, нім. Alveokokkose, Alveolarechinokokkose, ісп. alveococcosis, equinococcose alveolar
- Brunetti E, Kern P, Vuitton DA. Expert consensus for the diagnosis and treatment of cystic and alveolar echinococcosis in humans. Acta Trop. 2009 Nov 18. (англ.)
Джерела
- Інфекційні хвороби (підручник) (за ред. О. А. Голубовської). — Київ: ВСВ «Медицина» (2 видання, доповнене і перероблене). — 2018. — 688 С. + 12 с. кольор. вкл. (О. А. Голубовська, М. А. Андрейчин, А. В. Шкурба та ін.) ISBN 978-617-505-675-2 / С. 202—203.
- Зюков А. М. (за участі Падалки Б. Я.) Гострі інфекційні хвороби та гельмінтози людини. Державне медичне видавництво УРСР, К. 1947. — 392 с. / С. 374—376.
- Deplazes P. Ecology and epidemiology of Echinococcus multilocularis in Europe. Parassitologia. 2006 Jun;48(1-2):37-9. (англ.)
- Erwin Kuntz und Hans-Dieter Kuntz: Parasitic infections and the liver. / Erwin Kuntz und Hans-Dieter Kuntz: Hepatology. Principles and Practice. 2nd Edition. History, Morphology, Biochemistry, Diagnostics, Clinic, Therapy. Springer Verlag, Berlin, Heidelberg 2006, ISBN 978-3-540-28976-0, S. 485—504. (англ.)
- Dominique A Vuitton Alveolar Echinococcosis (AE). Updated: Nov 08, 2019 Medscape. Drugs & Diseases. Infectious Diseases (Chief Editor: Burke A Cunha) (англ.)

