Хронічний гепатит
Хронічний гепати́т — хронічний поліетіологічний запально-деструктивний процес у печінці, варіант клінічного перебігу гепатиту тривалістю понад 6 місяців із збереженням часточкової структури печінки.
| Хронічний Гепатит | |
|---|---|
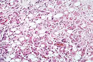
![]() Мікрофотографія клітин печінки при хронічному алкогольному стеатогепатиті (один з варіантів перебігу алкогольної хвороби печінки) Мікрофотографія клітин печінки при хронічному алкогольному стеатогепатиті (один з варіантів перебігу алкогольної хвороби печінки) | |
| Спеціальність | гепатологія, гастроентерологія і інфекційні хвороби |
| Класифікація та зовнішні ресурси | |
| МКХ-11 | DB97.2 |
| МКХ-10 |
K70.1, K70.2, K71.3-K71.5 K73, B18 |
| MeSH | D006521 |
Класифікація
За етіологією:
- Хронічний вірусний гепатит B
- Хронічний вірусний гепатит C
- Хронічний вірусний гепатит D
- Хронічний гепатит іншого вірусного походження
- Аутоімунний гепатит
- Токсичний гепатит
- Криптогенний гепатит
За активністю процесу:
Вираховується за допомогою індексу гістологічної активності (ІГА), також відомого як індекс Knodell.
За стадією (шкала METAVIR):
- 0 — фіброз відсутній
- 1 — слабо виражений перипортальний фіброз
- 2 — помірний фіброз з порто-портальними септами
- 3 — виражений фіброз з порто-центральними септами
- 4 — цироз печінки
Етіологія та патогенез
| Інфекційні агенти | Вірусні | віруси гепатитів B, C, D, простого герпесу, цитомегаловірус тощо |
| Бактеріальні | бліда трепонема | |
| Паразити | шистосома, ехінокок, токсоплазма тощо | |
| Токсичні агенти | Алкоголь | |
| Медикаменти | Фенацетин, ацетилсаліцилова кислота, ібупрофен, індометацин, тетрациклін, ізоніазид тощо | |
| Немедикаментозні ксенобіотики | Рослинні токсини та синтетичні речовини | |
| Реактивні | Фізичні чинники | Іонізуюче випромінювання |
| Інші | При захворюваннях органів травної системи тощо | |
| Аутоімунні | ||
| Спадкові чинники та метаболічні порушення | Гемохроматоз, хвороба Гоше, хвороба Вільсона, дефіцит α1-антитрипсину та інші | |
Патогенез хронічного гепатиту цілком залежить від етіологічного чинника.
Клінічні ознаки
Клінічні прояви хронічного гепатиту слабко відрізняються залежно від етіологічного чинника. Серед основних проявів виділяють:
- Астеновегетативний синдром: слабкість, втома, головний біль, порушення сну, емоційна неврівноваженість
- Диспептичний синдром: погіршення апетиту, нудота, гіркота та сухість у роті
- Больовий синдром: відчуття тяжкості, біль в епігастральній ділянці та правому підребер'ї
- Системні ураження в залежності від етіологічного чинника: артралгії, міалгії, міокардит, перикардит, пневмоніт, панкреатит, васкуліт, синдром і хвороба Шегрена, лімфаденопатія; хронічна хвороба нирок, тиреоїдит, нервової системи; патологія крові — імунні цитопенії, аутоімунна гемолітична анемія, гострі та хронічні лейкози, лімфосаркома
- Запальний синдром: стійке підвищення температури тіла, переважно до субфебрильних цифр
- Позапечінкові ознаки печінкової недостатності: судинні зірочки, пальмарна еритема, вогнищеві порушення пігментації
- Печінкові ознаки: збільшення розмірів печінки, інколи — помірне збільшення селезінки
Джерела
- Передерій В. Г., Ткач С. М. — Основи внутрішньої медицини. Том I. / Підручник для студентів вищих навчальних закладів. — Вінниця: Нова Книга, 2009. ISBN 978-966-382-211-2
This article is issued from Wikipedia. The text is licensed under Creative Commons - Attribution - Sharealike. Additional terms may apply for the media files.
