Ядерна жовтяниця
Ядерна жовтяниця (синонім: білірубінова енцефалопатія) — це важке пошкодження центральної нервової системи (ЦНС) у новонароджених, через надмірне підвищення рівня білірубіну в крові (гіпербілірубінемія).
| Ядерна жовтяниця | |
|---|---|
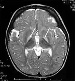
![]() МРТ голови. Гіперінтенсивний сигнал від пошкоджених базальних ядер в T2-режимі. МРТ голови. Гіперінтенсивний сигнал від пошкоджених базальних ядер в T2-режимі. | |
| Спеціальність | педіатрія |
| Класифікація та зовнішні ресурси | |
| МКХ-11 | KA86 |
| МКХ-10 | P57 |
| DiseasesDB | 7161 |
| MedlinePlus | 003243 |
| MeSH | D007647 |
| SNOMED CT | 74925009 |
| | |
Причини
Некон'югований білірубін дуже добре розчиняється в жирах, але майже не розчиняється в воді. Тому для транспортування до клітин печінки він зв'язується з альбуміном. При значному підвищенні рівня білірубіну, коли транспортна ємність альбуміну вичерпана, вільний білірубін може подолати гемато-енцефалічний бар'єр і проникнути в головний мозок до базальних гангліїв. Там білірубін викликає гальмування процесів окисного фосфорилювання, що призводить до загибелі клітин. Базальні ганглії (бліда куля, лушпина і хвостате ядро) дуже чутливі до дії білірубіну і пошкоджуються найбільше, тому й закріпилося назва патології «ядерна жовтяниця». Важка енцефалопатія призводить до смерті.
Фактори ризику
З одного боку до факторів ризику належать всі стани, що супроводжуються підвищеним утворенням білірубіну і збільшують ризик розвитку ядерної жовтяниці. Серед них: посилене руйнування клітин крові (гемоліз), особливо при резус-конфлікті і інших несумісностях за групами крові. З іншого боку, можуть бути пошкодження також з боку гемато-енцефалічного бар'єру, коли білірубін уже при менших концентраціях може проникнути у головний мозок. Наприклад, при гіпоксії посилюється закислення крові (ацидоз), зниження рівня цукру крові (гіпоглікемія) чи переохолодження (гіпотермія). Також зниження концентрації альбуміну (гіпоальбумінемія) призводить до того, що менше білірубіну зв'язується в крові і це призводить до відносного збільшення вільного білірубіну, який легше проникає в ЦНС. Також медикаменти, які зв'язуються з альбуміном і таким чином витісняють білірубін, ведуть до підвищення вільного білірубіну. До них належать цефтріаксон, сульфаніламідні препарати, фуросемід, дігоксин і діазепам.
Клінічна картина
Гостра білрубінова енцефалопатія
Симптоми гострої білірубінової енцефалопатії можна поділити на три стадії.
- В початковій фазі з'являються сонливість, м'язова гіпотонія і низька рухова активність.
- У проміжній фазі часто спстерігається різкий крик немовляти, прогресує пригнічення свідомості (ступор), дратівливість і посилення м'язового тонусу з перерозгинанням шиї (ретроколіс) і хребта (опістотонус).
- У прогресуючій фазі ступор може перейти в кому, м'язовий тонус посилюється ще більше і врешті можуть зявлятися судоми. Можливий летальний кінець.
Хронічна білірубінова енцефалопатія
Якщо хворий переживає гостру фазу, можуть розвиватися пізні ускладнення — центральна глухота, екстрапірамідальні порушення рухів у формі атетоїдних церебральних паралічів і відставання в нервово-психічному розвитку[1].
Лікування
Для зменшення ризику розвитку необоротніх змін ядерної жовтяниці, здоровим доношеним немовлятам у віці 72 годин з рівнем некон'югованого білірубіну вище 340 мкмоль/л проводиться фототерапія блакитним світлом з довжиною хвилі 425–475 нм. При рівні білірубіну вище 430 мкмоль/л проводять замінне переливання крові[2]. При наявності вище перерахованих факторів ризику лікування має починатися раніше.
Література
- M. Berns: Hyperbilirubinämie beim reifen Neugeborenen — Interventionsgrenzen. In: Monatsschrift Kinderheilkunde 2006; 154 (online publiziert am 22. Juli 2006)
- M. Marcinkowski, C. Bührer: AWMF-Leitlinie. Hyperbilirubinämie — Diagnostik und Therapie bei reifen gesunden Neugeborenen. AWMF, Düsseldorf, 2003 Архівовано 18 травня 2008 у Wayback Machine.
