Гіпоальбумінемія
Гіпоальбумінемія — лабораторний феномен, при якому знижується рівень альбуміну в крові.[1] Це може бути пов’язано зі зменшенням його утворення в печінці, збільшенням втрати через шлунково-кишковий тракт або нирки, збільшенням споживання в організмі або неправильним розподілом між середовищами організму. У пацієнтів часто спостерігається гіпоальбумінемія внаслідок іншого захворювання, такого як сепсис, цироз печінки, нефротичний синдром або ентеропатія із втратою білка. Одна з ролей альбуміну є забезпечення онкотичного тиску (концентрація білка) у крові та організмі. Таким чином, гіпоальбумінемія призводить до аномального розподілу рідини всередині організму та його відділів. Внаслідок цього виникають такі симптоми як набряки гомілок, асцит та випіт навколо внутрішніх органів. Лабораторні тести, спрямовані на оцінку функції печінки, діагностують гіпоальбумінемію. При виявленні гіпоальбумінемія є поганим прогностичним показником для пацієнтів із різноманітними захворюваннями. Однак її корекція проводиться лише за дуже специфічними показаннями у пацієнтів з цирозом та нефротичним синдромом. Натомість лікування зосереджується на основній причині гіпоальбумінемії.
| Гіпоальбумінемія | |
|---|---|
| Спеціальність | ендокринологія |
| Класифікація та зовнішні ресурси | |
| МКХ-10 | E88.0 |
| DiseasesDB | 31324 |
| MeSH | D034141 |
Ознаки та симптоми

Пацієнти з гіпоальбумінемією частіше мають її як ознаку основного захворювання, ніж як самостійний процес. Сама по собі гіпоальбумінемія знижує загальну концентрацію білка в плазмі крові, також відому як колоїдний осмотичний тиск, що змушує рідину виходити з судин у тканини для вирівнювання концентрацій. Це призводить до збільшення розміру кінцівок, відомого як набряк, накопичення рідини в животі, відомого як асцит, і появи рідини, що оточує внутрішні органи, відомої як випіт. Пацієнти також мають неспецифічні прояви, такі як втома та надмірна слабкість. Сама по собі гіпоальбумінемія може бути наявна без будь-яких симптомів, оскільки вроджена і повна втрата альбуміну, що спостерігається при анальбумінемії, може бути безсимптомною. Крім того, гіпоальбумінемія може бути при захворюванні, що характеризується набряком, втомою та гіперліпідемією. Причина такої гетерогенності проявів вивчена недостатньо.[2]
Патофізіологія

Печінка виробляє альбумін, який потім виділяється в кров, де він розподіляється по тканинах всього організму. В гепатоцитах альбумін синтезується як препроальбумін, перетворюється спочатку на проальбумін, а потім в альбумін, і вивільняється в кров.[3] Організм синтезує альбумін зі швидкістю від 10 до 15 грамів на добу. За наявності гіпоальбумінемії печінка може збільшити виробництво в чотири рази більше від вихідного рівня.[4] Після вивільнення альбумін розподіляється між внутрішньосудинним (40 %) та позасудинними просторами (60 %) у різних тканинах організму. У плазмі крові альбумін становить від 55 до 60 % загального білка, значну частину решти становлять глобуліни. При гіпоальбумінемії вимірюваним показником є кількість альбуміну у внутрішньосудинному просторі або плазмі крові, тобто аномальний розподіл у цих двох просторах може сприяти відносній гіпоальбумінемії в крові з нормальним рівнем у всьому організмі.[2]
Після потрапляння в організм з печінки альбумін виконує ряд функцій, на які може негативно вплинути його знижений рівень:
- регуляція колоїдного осмотичного тиску або концентрації білка в плазмі крові,
- транспортування вільних жирних кислот та інших молекул до печінки (некон'югований білірубін, метали, іони)
- зберігання, використання, зв'язування лікарських засобів та зміна фармакокінетики (період напівроспаду, рівень біологічної активності, метаболізм),
- буферна система плазми,
- деактивація активних форм кисню, щоб уникнути запалення та пов'язаних з цим пошкоджень,
- резервуар оксиду азоту для регулювання артеріального тиску,
- запобігання згортання та агрегації тромбоцитів у спосіб, подібний до дії гепарину.
- інгібування медіаторів запалення, такі як TNF-α та білок системи комплементу 5a (C5a) для зменшення загальної запальної реакції.[3]
Низка гормонів (наприклад, тироксин, кортизол, тестостерон), лікарських препаратів та інших молекул зв'язуються з альбуміном у крові і повинні вивільнятися з нього, щоб стати біологічно активними. Наприклад, кальцій зв'язується з альбуміном; при гіпоальбумінемії спостерігається підвищена кількість вільного іонізованого кальцію, його біологічно активна форма. За наявності гіпоальбумінемії функції таких речовин значною мірою змінюються. Механізми, за допомогою яких вони впливають на хід і результати захворювання, залишаються сферою активних дискусій.[2]
Причини
Гіпоальбумінемія може розвинутись через декілька різних механізмів, кожен з яких має кінцевий результат зниження рівня альбуміну. До них належать:
- порушення синтезу в печінці
- збільшення утилізації тканинами
- порушення розподілу
- посилення виведення або втрати.[3]
Часто причина є багатофакторною, як при цирозі печінки, при якому зменшюється синтез альбумінів у печінці та підвищується проникненість капілярів, що разом сприяє зниженню рівня альбуміну.
Запалення та інфекція
Альбумін вважається негативним гострофазним чинником, що означає, що при запаленні та інших гострих фізіологічних процесах його рівень зменшується, на відміну таких чинників, як С-реактивний білок (СРБ), рівень якого при запальних процесах збільшується. Що стосується механізму, то запалення призводить до зниження вироблення альбуміну внаслідок підвищення рівня цитокінів, зокрема IL-1, IL-6 та TNF-α.[3] У пацієнтів із важкими інфекціями, які часто зустрічаються при сепсисі та септичному шоці, гіпоальбумінемія виникає внаслідок сполучних ефектів його зменшеного синтезу, збільшення його утилізації тканинами та збільшення транскапілярного витоку з судин через підвищену проникненість судин.[2]

Альбумін синтезується в печінці, а низький вміст сироваткового альбуміну може свідчити про печінкову недостатність або такі захворювання, як цироз і хронічний гепатит. Гіпоальбумінемія, як правило, вважається ознакою розвинутого цирозу печінки або незворотного ураження печінки.[2] Виробництво альбуміну може бути на 60-80 % нижчим при розвинутому цирозі, ніж у здоровій печінці. Ефект посилюється розведенням (затримка солі та води), зміщенням рідини (секвестрація альбуміну у позаклітинному просторі та асцитній рідині) і навіть пост-транскрипційними змінами самого альбуміну.[4]
Хвороба нирок

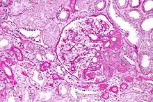
Гіпоальбумінемія також може бути частиною нефротичного синдрому, при якому значна кількість білка втрачається з сечею через ураження нирок. У нормальних умовах через клубочок втрачається менше 30 міліграм альбуміну на день.[2] При нефротичному синдромі втрата білка може досягати 3,5 г протягом 24 годин, більша частина якого — альбумін, що й призводить до гіпоальбумінемії.[2] У дітей нефротичний синдром, як правило, є первинним процесом, який значною мірою є ідіопатичним, хоча зі зниженням вартості та збільшенням доступності секвенування цілого екзому ідентифікується все більше генетичних причин. Біопсія нирок дозволяє діагностувати хворобу мінімальних змін, мембранопроліферативний гломерулонефрит або вогнищевий сегментарний гломерулосклероз, що призводять до нефротичного синдрому у дітей.[5] У дорослих, нефротичний синдром, як правило, є вторинним процесом. Його причини можуть бути різноманітними, такі як токсини, ліки, важкі метали, аутоантитіла, постінфекційні комплекси антитіл або імунні комплекси, що утворюються при злоякісних новоутвореннях, таких як мієломна хвороба.
Альбумінурія та гіпоальбумінемія внаслідок неї також можуть виникати при хронічній нирковій недостатності без такого виского рівня втрати білка, як при нефротичному синдромі. Тут втрати альбуміну з нирками виникають через зниження швидкості клубочкової фільтрації (GFR) та подальшою втрату від 30 до 300 міліграм альбуміну на добу. Протягом місяців це може призвести до гіпоальбумінемії, що є загальною ознакою термінальної стадії ниркової недостатності.[2] Зміни в розподілі рідини та наявність тривалого запалення при хронічній хворобі нирок у поєднанні з гіпоальбумінемією ускладнюють контроль водного балансу.[6]
Неповноцінне харчування або мальабсорбція

Квашиоркор - це захворювання, пов'язане з недоїданням, яке характеризується зменшенням споживання білка та дефіциту амінокислот, що призводить до гіпоальбумінемії та характерного фізичного стану. Це крайній приклад того, як неповноцінне харчування може призвести до гіпоальбумінемії.[2] Більш типовою є гіпоальбумінемія, пов’язана з неповноцінним харчуванням у людей похилого віку, який виглядають тонкими і неміцними, але без закругленого живота та набряків, характерних для Квашиоркору.
Низький рівень альбуміну також може свідчити про хронічне недоїдання внаслідок ентеропатії із втратою білка.[2] Цей стан спричиняється або посилюється при виразковому коліті[7] але також може спостерігатися при серцевих захворюваннях та системному червоному вовчаку. Ентеропатія із втратою білка може бути спричинена підвищенням лімфатичного тиску в шлунково-кишковому тракті, як при лімфангієктазах; недостатній абсорбції, спричиненою ерозією слизової, як при хворобі Крона та виразковому коліті та іншими захворюваннями з мальабсорбцією без ерозій слизової оболонки, як при целіакії.
Еозинофільний гастрит, що проявляється епігастральним болем, еозинофілією у периферичній крові, анемією та гіпоальбумінемією.[8]
Діагностика
Визначення рівню альбуміну в сироватці крові є частиною стандартних функційних печінкових проб, які також містять визначення рівнів загального білка плазми, білірубіну, лужної фосфатази, аланінамінотрансферази (ALT) та аспартатамінотрансферази (AST). Це дослідження зазвичай замовляють, коли є підозра на захворювання печінки і воно є частиною загальної метаболічної панелі (CMP) разом з електролітною панеллю, відомою як основна метаболічна панель (BMP). При захворюваннях нирок CMP може бути призначена як додатковий тест, коли протеїнурія виявляється аналізами сечі, що може привести до діагнозу гіпоальбумінемії.[2] Низький рівень альбуміну в сироватці крові визначається як менше ніж 3,5 г на децилітр (35 г на л), тоді як клінічно значуща гіпоальбумінемія зазвичай вважається меншою ніж 2,5 г на децилітр (25 г на л).[3] Після виявлення гіпоальбумінемії звичайний план дослідження містить печінкові проби для оцінки стану печінки, альбуміну та білка в сечі для виявлення альбумінурії та нефротичного синдрому та натрійуретичного пептиду мозку для оцінки серцевої недостатності.[2] Якщо є клінічно обгрунтована підозра на ентеропатію із втратою білка, може бути проведене дослідження альфа-1 антитрипсину. Якщо у калі антитрипсин-α1 підвищений, це говорить про надмірну втрату білка через шлунково-кишковий тракт.
Ведення
Лікування гіпоальбумінемії значною мірою орієнтоване на основну причину, а не на саму гіпоальбумінемію.[3] Вливання альбуміну можуть і зазвичай проводяться, хоча вони дорогі і не виявилися ефективнішими, ніж колоїдні розчини в ряді умов і ситуацій. До прикладів показань до вливання альбуміну належить гіпоальбумінемія при великих операціях, таких як печінкова резекція > 40 %, нефротичний синдром спільно з діуретиками та кортикостероїдами, спонтанний бактеріальний перитоніт у поєднанні з антибіотиками та швидко прогресуючий гепаторенальний синдром (тип 1) у поєднанні з терліпресином. Вливання альбуміну також використовується для профілактики ятрогенної гіпоальбумінемії після терапевтичного плазмаферезу, якщо об’ємний обмін плазми перевищує 20 мл/кг за один сеанс або протягом одного тижня протягом декількох сеансів і після великого об’єму (> 5 л) лапарацентезу при асциті. При цих показаннях вливання альбуміну мало позитивні результати, тоді як при таких патологіях, як недоїдання, опіки (протягом перших 24 годин) та шок при травматичному ураженні мозку, не мали ані користі, ані шкоди в рандомізованих контрольованих дослідженнях. При захворюваннях печінки та цирозі, крім перерахованих вище показань, використання альбуміну розглядають і для бактеріальних інфекцій, крім спонтанного бактеріального перитоніту, печінкової енцефалопатії та хронічного асциту. Його використання за цими показаннями залишається суперечливим.[4] При захворюваннях нирок інфузії альбуміну як заміну його втрати через нирки застосовують в деяких випадках вродженого нефротичного синдрому.[5]
Прогноз
Сам по собі низький рівень альбуміну пов'язаний із збільшенням смертності серед загальної популяції.[4] При хворобах гіпоальбумінемія є прогностичним фактором поганого кінця при ряді станів [2], включаючи лікування інфекції після протезування суглобів [9] та цироз . Серед пацієнтів, які надходять до відділень інтенсивної терапії, гіпоальбумінемія специфічно пов'язана із м'язовою слабкістю, що пов'язнана з перебуванням у відділенні інтесивної терапії.[10] При хронічних захворюваннях нирок гіпоальбумінемія є показником крихкості, що сама по собі пов’язана з ускладненнями, психічними розладами, порушенням якості життя, використанням ресурсів та смертністю.[11]
Ускладнення
Сама по собі гіпоальбумінемія може спричинити гіповолемію та циркуляторний колапс внаслідок зниження онкотичного тиску всередині судинної системи.[2] Через те, що альбумін має властивість зв'язувати метали, гіпоальбумінемія може призвести до їх дефіциту, включаючи дефіцит цинку.[12] Гіпоальбумінемія, пов’язана з нефротичним синдромом, може призвести до розвитку гіперліпідемії, як правило, при відсутності атеросклерозу. Крім того, у пацієнтів, які перебувають на діалізі, гіпоальбумінемія пов'язана з більш тяжким перевантаженням рідиною.[6][13]
Епідеміологія
Гіпоальбумінемія зазвичай зустрічається у пацієнтів стаціонарів, відділень інтенсивного терапії та у літніх людей.[2] Серед пацієнтів літнього віку поширеність може становити до 70 %.
Список літератури
- Anderson, Douglas M. (2000). Dorland's illustrated medical dictionary (вид. 29.). Philadelphia [u.a.]: Saunders. с. 860. ISBN 0721682618.
- Gounden, Verena; Jialal, Ishwarlal (2019). Hypoalbuminemia. StatPearls (StatPearls Publishing). PMID 30252336. Процитовано 4 листопада 2019.
- Gatta, Angelo; Verardo, Alberto; Bolognesi, Massimo (2012). Hypoalbuminemia. Internal and Emergency Medicine. 7 Suppl 3: S193–199. ISSN 1970-9366. PMID 23073857. doi:10.1007/s11739-012-0802-0.
- Carvalho, Joana R.; Verdelho Machado, Mariana (2018). New Insights About Albumin and Liver Disease. Annals of Hepatology 17 (4): 547–560. ISSN 1665-2681. PMID 29893696. doi:10.5604/01.3001.0012.0916.
- Cil, Onur; Perwad, Farzana (2018). Monogenic Causes of Proteinuria in Children. Frontiers in Medicine 5: 55. ISSN 2296-858X. PMC 5858124. PMID 29594119. doi:10.3389/fmed.2018.00055.
- Kooman, Jeroen P.; van der Sande, Frank M. (2019). Body Fluids in End-Stage Renal Disease: Statics and Dynamics. Blood Purification 47 (1-3): 223–229. ISSN 1421-9735. PMC 6492508. PMID 30517920. doi:10.1159/000494583.
- Protein-losing enteropathy in ulcerative colitis. Case Reports in Gastroenterology 6 (1): 177–82. January 2012. PMC 3364098. PMID 22679407. doi:10.1159/000338191. Проігноровано невідомий параметр
|vauthors=(довідка) - Collins, Margaret H.; Capocelli, Kelley; Yang, Guang-Yu (2017). Eosinophilic Gastrointestinal Disorders Pathology. Frontiers in Medicine 4: 261. ISSN 2296-858X. PMC 5775510. PMID 29379785. doi:10.3389/fmed.2017.00261.
- Fagotti, Lorenzo; Tatka, Jakub; Salles, Mauro Jose Costa; Queiroz, Marcelo C. (2018). Risk Factors and Treatment Options for Failure of a Two-Stage Exchange. Current Reviews in Musculoskeletal Medicine 11 (3): 420–427. ISSN 1935-973X. PMC 6105486. PMID 29934884. doi:10.1007/s12178-018-9504-1.
- Barreiro, Esther (2018). Models of disuse muscle atrophy: therapeutic implications in critically ill patients. Annals of Translational Medicine 6 (2): 29. ISSN 2305-5839. PMC 5799135. PMID 29430446. doi:10.21037/atm.2017.12.12.
- Wu, Patrick Yihong; Chao, Chia-Ter; Chan, Ding-Cheng; Huang, Jenq-Wen; Hung, Kuan-Yu (2019). Contributors, risk associates, and complications of frailty in patients with chronic kidney disease: a scoping review. Therapeutic Advances in Chronic Disease 10: 2040622319880382. ISSN 2040-6223. PMC 6778996. PMID 31632625. doi:10.1177/2040622319880382.
- Himoto, Takashi; Masaki, Tsutomu (14 січня 2018). Associations between Zinc Deficiency and Metabolic Abnormalities in Patients with Chronic Liver Disease. Nutrients 10 (1). ISSN 2072-6643. PMC 5793316. PMID 29342898. doi:10.3390/nu10010088.
- Dekker, Marijke J. E.; van der Sande, Frank M.; van den Berghe, Florence; Leunissen, Karel M. L.; Kooman, Jeroen P. (2018). Fluid Overload and Inflammation Axis. Blood Purification 45 (1-3): 159–165. ISSN 1421-9735. PMC 6492921. PMID 29478061. doi:10.1159/000485153.