Круп
Круп (або стенозуючий ларинготрахеобронхіт) — синдром ураження верхніх дихальних шляхів, що призводить до набряку слизової оболонки гортані та верхніх відділів трахеї або до перекриття просвіту гортані плівками, що утворились внаслідок окремого патоморфологічного виду запалення — крупозного фібринозного. Це заважає нормальному диханню, приводить до гострої дихальної недостатності. Якщо не відновити прохідність дихальних шляхів, то наступає смерть від асфіксії.
| Круп | |
|---|---|
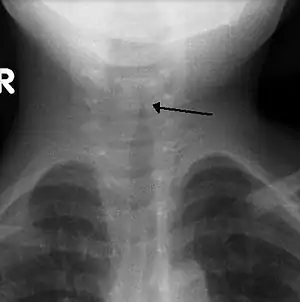
![]() Рентгенологічна ознака крупу у дитини — видно тінь по ходу дихальних шляхів у вигляді «шпилю» верхівкою вверх. Рентгенологічна ознака крупу у дитини — видно тінь по ходу дихальних шляхів у вигляді «шпилю» верхівкою вверх. | |
| Спеціальність | пульмонологія і педіатрія |
| Симптоми | кашель, hoarsenessd і stridord |
| Метод діагностики | Медичний тестd і радіографія |
| Ведення | стероїди і адреналін |
| Класифікація та зовнішні ресурси | |
| МКХ-11 | CA06.0 |
| МКХ-10 | A36.2,J05.0 |
| DiseasesDB | 13233 |
| MedlinePlus | 000959 |
| eMedicine | ped/510 emerg/370 |
| MeSH | D003440 |
| | |
У медицині використовують термін «круп» для узагальнення таких станів: гострий стенозуючий ларинготрахеїт (несправжній круп), дифтерійний круп (справжній круп), бактеріальний трахеїт, ларинготрахеобронхіт та низхідна бронхопневмонія на тлі ларинготрахеобронхіту[1].
Таким чином, в залежності від характеру патологічного процесу виділяють:
- справжній круп — коли відбувається закриття просвіту гортані запальними ексудатами (плівками). Найчастіше це відбувається за дифтерії, рідше — за нечисленних тяжких випадків некротичних ларингітів різної природи, за пухлин гортані.
- несправжній круп — коли закриття просвіту гортані відбувається внаслідок набряку слизової оболонки її. Несправжній круп — це поширений синдром, що спостерігають у 15 % дітей віком переважно від 6 місяців до 5–6 років при виникненні в них різних ГРВІ. Підлітки та дорослі рідко хворіють на несправжній круп, тому що в них просвіт гортані є значно ширшим, і повне закриття нормального за розмірами просвіту є неможливим. Несправжній круп може відбуватися у дорослих, які мають хронічний ларингіт, пухлини гортані, наслідки травм гортані.
Історичні факти
Слово круп походить з ранньої новоанглійської мови від дієслова croup (хрипло кричати, каркати). Вперше для позначення хвороби це слово було використане в Шотландії та набуло популярності у XVIII сторіччі.[2] Про дифтерійний круп було відомо ще у Стародавній Греції від часів Гомера. У 1826 році французький лікар П'єр Бретонно відокремив вірусний круп від дифтерійного крупу.[3] Він запровадив назву «несправжній круп» по відношенню до вірусного крупу та назву «справжній круп» для визначення хвороби, яку спричинює дифтерійна бактерія.[4] Завдяки ефективній вакцинації дифтерійний круп у країнах розвиненої медицини зараз майже не спостерігають.[3]
Етіологія
Відмічено, що несправжній круп спричинюють у такому порядку ранжирування за частотою та значимістю:
- Віруси парагрипу
- Респіраторно-синцитіальний вірус
- Аденовіруси
- Ентеровіруси
- Людський бокавірус
- Коронавіруси
- Риновіруси
- Реовіруси
- Метапневмовіруси
- Віруси грипу A та B
- Вірус кору
- Вірус простого герпесу
- Вірус вітряної віспи/оперізуючого герпесу.
Справжній круп практично цілком асоціюють з дифтерійним ураженням гортані.
Детальніші відомості з цієї теми ви можете знайти в статті Парагрип.
Детальніші відомості з цієї теми ви можете знайти в статті Респіраторно-синцитіальна інфекція.
Детальніші відомості з цієї теми ви можете знайти в статті ГРВІ.
Детальніші відомості з цієї теми ви можете знайти в статті Дифтерія.
Патогенез
Несправжній круп
Віруси проникають в епітелій глотки, гортані та інших дихальних шляхів і спричиняють там запалення. Патоморфологічні зміни включають розвиток катарального запалення дихальних шляхів, некрозу і відторгнення епітелію, набряку слизової оболонки, надлишкової секреції слизу та інтерстиціальної інфільтрації легень. Надмірний набряк слизової оболонки зумовлює обструкцію дихальних шляхів, у дітей переважно доводячи до стану крупу.
Справжній круп
У місці проникнення і розмноження збудника під дією дифтерійного токсину й інших додаткових факторів ушкодження (гіалуронідаза, нейрамінідаза тощо) виникає місцева запальна реакція. У подальшому токсин проникає в клітини слизової оболонки, де утворює вогнища місцевого некрозу. Надалі завдяки дії тромбокінази активується перехід фібриногену у фібрин, завдяки чому утворюються такі характерні фібринозні плівки. У місцях, що вкриті одношаровим циліндричним епітелієм (гортань, трахея, бронхи) характерний розвиток так званого крупозного типу фібринозного запалення. Такі плівки нещільно спаяні та легко відшаровуються, але при цьому здатні швидко закрити просвіт гортані.
Епідеміологія
Близько 15 % дітей віком переважно від 6 місяців до 5 — 6 років захворюють на несправжній вірусний круп, основними факторами розвитку якого є парагрип, респіраторно-синцитіальна інфекція, рідше інші хвороби.[5][6] Майже у 5 % дітей цієї вікової групі причиною госпіталізації є круп. В рідких випадках на несправжній круп можуть захворіти діти від 3 місяців до 15 років. Хлопчики хворіють у півтора рази частіше, ніж дівчатка. Несправжній круп більш поширений восени.[5]
При дифтерії, яка є основною причиною справжнього крупу, основний механізм передавання — повітряно-крапельний. Бактеріовиділення у хворого починається з кінця інкубаційного періоду й триває до повної санації ротоглотки, у деяких випадках може формуватися вторинне носійство. При спалахах дифтерії первинними носіями можуть бути до 10 % зовнішньо здорових людей. Захворюють на дифтерійний справжній круп переважно діти. Сприйнятливість до дифтерійної інфекції залежить від напруженості антитоксичного імунітету, індекс контагіозності коливається від 10 до 15 %. Сезонність — осінньо-зимова.
Клінічні ознаки
Стрідор як головний симптом будь-якого крупу
Стрідор є загальним симптомом у пацієнтів з початковим крупом. Поява цього акустичного феномену у дитини є чітким посиланням до батьків аби підняти тривогу і звернутися до відділення невідкладної допомоги. Стрідор відчувають як виразний різкий, пронизливий музичний звук на вдиху. який утворюється внаслідок проходження турбулентного потоку повітря через частково перегороджені верхні дихальні шляхи. Така часткова обструкція дихальних шляхів може відбуватися як на рівні надгортанника, голосової щілини, ділянки нижче голосових зв'язок і/або трахеї. При вдиху ті ділянки дихальних шляхів, які легко западаються, (наприклад, у ділянці надгортанника) замикаються через негативний тиск у просвіті дихальної трубки, що утворився при вдиху. Ці ж ділянки змушено розправляються при видиху[7].
Стрідор можна почути як на вдиху, так і на видиху, іноді на обох фазах дихання (двофазний). Якщо його відчувають на вдиху, то це означає обструкцію саме гортані, якщо на видиху — трахеобронхіальну обструкцію. Двофазний стрідор вказує на ураження ділянки нижче голосових зв'язок або голосової щілини. Гострий початок стрідору на вдиху є чіткою рисою крупа. Стрідор на видиху є менш чутним.
Несправжній круп
Серед проявів несправжнього крупу виділяють «гавкаючий» кашель, стрідор (свистячий дзвінкий шум частіше всього при вдиху), захриплість та задишка, які зазвичай погіршуються вночі, неспокій, іноді явне збудження.[8] «Гавкаючий» кашель часто порівнюють з криком тюленя чи морського лева.[5] Плач може посилити задишку, а задишка може свідчити про звуження дихальних шляхів. При погіршенні стану хворого задишка може наростати.[8] Ознаки несправжнього крупу можуть проявлятися у незначний, середній чи тяжкій формі, але часто стан погіршується вночі. Серед інших ознак — гарячка, риніт (типові симптоми застуди). У тяжких випадках — втягнення міжреберних проміжків, задишка, ціаноз.[8][9] Слинотеча та хворий вигляд є також типовими симптомами інших захворювань.[9]
Ступінь тяжкості несправжнього крупу
Для визначення тяжкості захворювання на круп найчастіше використовують шкалу Вестлі. Ця система застосовують швидше для дослідження хвороби, ніж у клінічній практиці.[5] Вона складається з п'яти параметрів: рівень свідомості, ціаноз, стрідор, проходження повітря та втягнення міжреберних проміжків. Кожному з цих параметрів надається певна оцінка. Сума цих оцінок визначає важкість хвороби.[5] Оцінку кожного з параметрів записують у правій частині таблиці. Сума параметрів може коливатися від 0 до 17 балів.
- Оцінка ≤ 2 означає легкий круп. Кашель присутній, але немає стрідора.
- Оцінка 3–5 означає середній круп — захриплість і деякі інші ознаки.
- Оцінка 6–11 означає тяжкий круп. Присутність стрідора і ателектаза.
- Оцінка ≥ 12 означає можливість дихальної недостатньості. Кашель і захриплість можуть бути не присутніми у цьому стані.
Справжній круп
При ларинготрахеальній дифтерії загально-інтоксикаційний синдром виражений помірно завдяки слабкому всмоктуванню токсину. Тяжкість стану обумовлена розвитком виразної гіпоксії внаслідок порушення прохідності дихальних шляхів, обтурації їх плівками. Чим нижче рівень патологічного процесу (бронхи і навіть бронхіоли), тим більше виражені ознаки гострої дихальної недостатності. Дифтерія гортані має легший перебіг у дорослих, ніж у дітей. Це пов'язано з анатомічними особливостями дитячого віку. Тому класична тріада дифтерійного крупу характерна саме для дітей — осиплий голос, грубий гавкаючий кашель і голосне стенотичне дихання. Ці прояви можуть бути відсутні у дорослих.
Дифтерійний круп у своєму розвитку проходять послідовно 3 стадії:
- I-а стадія — катаральна, коли при ларингоскопії виявляють лише набряк та ціаноз/гіперемія слизової оболонки. При цій стадії загальний стан хворого порушений мало — загальна слабкість, відсутність апетиту, температура тіла може залишатися нормальною або субфебрильною. Клінічні симптоми наростають поступово. За кілька годин з'являється вологий кашель, сиплість голосу, за добу кашель стає гавкаючим.
- II-а стадія — стенотична. За 2-3 доби при відсутності лікування круп переходить до наступної стадії — стенотичної. Виникає утруднення при вдиханні повітря. Дихання стає голосним. З'являється втягнення міжреберних проміжків. Голос афонічний, кашель — беззвучний. Хворі неспокійні, не знаходять собі місця у постелі. Наростає ціаноз губ, кінчика носа, пальців. Тони серця приглушені, наростає тахікардія. Артеріальний тиск може дещо знижуватися. Тривалість цього періоду коливається від кількох годин до 2-3 діб.
- III-а стадія — асфіктична, вона характеризується наростаючими ознаками гострої дихальної недостатності. Дихання часте, поверхневе, аритмічне, наростає ціаноз. Хворі намагаються зайняти більш вигідне, зручне положення. Пульс частий, аритмічний, знижується артеріальний тиск. Від значної гіпоксії страждає перш за все ЦНС, що проявляється сплутаністю свідомості, потім її втратою, судомами і смертю.
У тому випадку, коли ушкоджене усе трахеобронхіальне дерево, клінічні симптоми можуть наростати дуже швидко. З моменту появи перших ознак захворювання до смерті від асфіксії проходить від декількох годин до 2-3 діб. Особливу загрозу являє собою наявність плівок у трахеї. Рухливий неспокій хворого і кашель сприяють відторгненню плівок. «Сівши» на біфуркацію трахеї вони призводять до раптової смерті.
Діагностика
Діагностику крупу здійснюють на основі клінічних ознак захворювання.[6] Перш за все, необхідно виключити інші захворювання, які призводять до блокування верхніх дихальних шляхів, особливо епіглотит, потрапляння чужорідного тіла у дихальні шляхи, злоякісний стеноз гортані, набряк Квінке, ретрофарінгеальний абсцес.
Зазвичай рентгенографію не проводять, проте, якщо це обстеження було зроблено, воно показує так зване шпилеподібне звуження трахеї, назване так через схожість з шпилем будівлі. Але у половині випадків цю ознаку не виявляють.[9] Ларингоскопію проводять при підозрі на справжній круп і вкрай рідко при несправжньому, тільки тоді, коли існують нерозв'язані протиріччя у клінічних проявах.
З обережністю проводять дослідження дихального секрету на наявність вірусів або їх антигенів, бо це може спричинити зайве подразнення дихальних шляхів. Для підтвердження діагнозу вірусного крупу використовують дослідження носоглоткового слизу (реакція імунофлюоресценції, виділення на культурах клітин тощо), якого отримано шляхом аспірації (відсмоктування слизу за допомогою катетера, що вводиться через ніс). Для підтвердження дифтерійного крупу проводять бактеріологічний посів мазка, яким взято вміст ротоглоткового слизу. Також посів зрідка беруть безпосередньо з гортані в разі проведення конікотомії або постановки трахеостоми.
Лікування крупу
Загальні положення
Необхідно заспокоїти дитину хвору на круп.[6] Визначити сатурацію крові киснем, якщо рівень насиченості крові киснем є меншим за 92 %, діти отримують кисень.[5] При необхідності, рекомендують використовувати апарати подання кисню (необхідно тримати джерело кисню біля обличчя дитини), тому що застосування кисневої маски може ще більше збудити дитину.[5]
- При легкому несправжньому крупі в стаціонарі призначають відволікальні та заспокійливі засоби, теплі парові інгаляції тривалістю 10-15 хвилин, кратність 4-6 разів на день. Рясне пиття (мінеральні води з лужним рН, молоко, чай).
- При помірному крупі додатково внутрішньом'язово вводять літичну суміш (2,5 % розчин аміназину у поєднанні з 2 % розчином супрастин — все у вікових дозах). У дітей до 1 місяця від народження супрастин не можна використовувати. До інгаляційних сумішей додають гідрокортизон, муколітики, еуфілін. В 1-у добу внутрішньо призначають преднізолон (5 мг/кг на добу) тривалістю 3-4 дні (короткий курс до отримання ефективного результату). При лікуванні крупу використовують і такі глюкокортикостероїди, як дексаметазон та будесонід.[10] Значне полегшення наступає вже через шість годин після застосування.[10] Попри те, що ці ліки можна вводити різними способами, надають перевагу пероральному прийому.[6] Застосування дексаметазону з розрахунку 0,15, 0,3 та 0,6 мг/кг є ефективним та безпечним.[11]
- При тяжкому крупі хворих переводять у реанімаційне відділення, де поміщають у кисневий намет з постійною температурою, 100 % вологістю, періодичним розпилюванням глюкокортикоїдів, протинабрякових препаратів, бронхолітиків, відхаркувальних. При тяжкому крупі застосовують інгаляції адреналіну через небулайзер (аерозольна суміш, яка розширює дихальні шляхи).[6] При застосуванні адреналіну при тяжкому перебігу крупу, полегшення наступає через 10 — 30 хвилин, проте триває лише близько 2 годин. Призначають антибіотики широкого спектра дії, нейролептики, серцеві глікозиди. Якщо немає ефекту — показана короткочасна оротрахеальна інтубація, санація трахеобронхіального дерева.
Інші способи лікування
Інші способи лікування крупу були досліджені, проте немає достатніх доказів їх ефективності. Дихання теплим чи зволоженим повітрям було традиційним способом лікування крупу вдома, проте клінічні дослідження довели його неефективність[5][6]. На сьогодні таке лікування використовують рідко.[4] Також не рекомендують використовувати ліки проти кашлю, які зазвичай містять декстрометорфан та/чи гвайфенезин.[8] Щодо дихання геліоксом (суміш гелію та кисню), яке раніше використовували для зменшення зусиль при диханні, доказів його ефективності не отримано достатньо для того, щоб рекомендувати його подальше застосування.[12] Оскільки круп найчастіше має вірусне походження лікування антибіотиками не проводять.[8] µ Проте при підозрі на бактеріальну інфекцію призначають такі антибіотики, як ванкоміцинта цефотаксим.[5] При тяжкому перебігу крупу, що виник на тлі грипу А чи В, призначають противірусні інгібітори нейрамінідази.[5]
Лікування справжнього крупу
Хворим з наявністю крупу призначають внутрішньовенне або внутрішньом'язове введення антитоксичної протидифтерійної сироватки та антибіотики (пеніциліни, азитроміцин, кларитроміцин), як і усім хворим на дифтерію. Для лікування крупу призначають пацієнтам літичні суміші (з включенням до їхнього складу аміназину, промедола, антигістамінних засобів), парові інгаляції, нестероїдні протизапальні препарати. При стенозі II—III ступеня необхідна інтубація або, навіть, трахеотомія з переходом на апаратну вентиляцію легень.
Детальніші відомості з цієї теми ви можете знайти в статті Дифтерія.
Профілактика
Вакцинація проти дифтерії допомагають запобігти захворюванню на дифтерію і, таким чином, розвитку справжнього крупу.[5] На сьогодні проводять клінічні дослідження поки що експериментальних вакцин проти вірусів парагрипу та РЕС-вірусу, які як буде доведено їх ефективність будуть спроможні захищати немовлят від цих хвороб, а, відповідно, і від виникнення несправжнього крупу.
Примітки
- Тобто така пневмонія, що виникла внаслідок опускання запального процесу з гортані, трахеї нижче до бронхіол та альвеол.
- Online Etymological Dictionary, croup. Accessed 2010-09-13.
- Feigin, Ralph D. (2004). Textbook of pediatric infectious diseases. Philadelphia: Saunders. с. 252. ISBN 0-7216-9329-6.
- Marchessault V (November 2001). Historical review of croup. Can J Infect Dis 12 (6): 337–9. PMC 2094841. PMID 18159359.
- Cherry JD (2008). Clinical practice. Croup. N. Engl. J. Med. 358 (4): 384–91. PMID 18216359. doi:10.1056/NEJMcp072022.
- Everard ML (February 2009). Acute bronchiolitis and croup. Pediatr. Clin. North Am. 56 (1): 119–33, x–xi. PMID 19135584. doi:10.1016/j.pcl.2008.10.007.
- Benson BE, Baredes S, Schwartz RA. Stridor. Medscape Reference by WebMD. January 26, 2010.
- Rajapaksa S, Starr M (May 2010). Croup – assessment and management. Aust Fam Physician 39 (5): 280–2. PMID 20485713.
- Diagnosis and Management of Croup (PDF). BC Children’s Hospital Division of Pediatric Emergency Medicine Clinical Practice Guidelines.
- Russell KF, Liang Y, O'Gorman K, Johnson DW, Klassen TP (2011). Glucocorticoids for croup. У Klassen, Terry P. Cochrane Database Syst Rev 1 (1): CD001955. PMID 21249651. doi:10.1002/14651858.CD001955.pub3.
- Port C (April 2009). Towards evidence based emergency medicine: best BETs from the Manchester Royal Infirmary. BET 4. Dose of dexamethasone in croup. Emerg Med J 26 (4): 291–2. PMID 19307398. doi:10.1136/emj.2009.072090.
- Vorwerk C, Coats T (2010). Heliox for croup in children. У Vorwerk, Christiane. Cochrane Database Syst Rev 2 (2): CD006822. PMID 20166089. doi:10.1002/14651858.CD006822.pub2.
Джерела
- Germaine L Defendi, Antonio Muñiz, Rona E Molodow Croup Updated: Jun 17, 2015 Medscape. Pediatrics: General Medicine Articles. Infectious Diseases / Chief Editor: Russell W Steele (англ.)
- Інфекційні хвороби (підручник) (за ред. О. А. Голубовської). — Київ: ВСВ «Медицина». — 2012. — С. 778 — 12с. кольор. вкл. (О. А. Голубовська, М. А. Андрейчин, А. В. Шкурба та ін.) ISBN 978-617-505-214-3
- Возіанова Ж. І. Інфекційні і паразитарні хвороби: В 3 т. — К.:"Здоров'я",2008. — Т.1.; 2-е вид., перероб. і доп. — 884 с. ISBN 978-966-463-012-9

