Синдром верхньої порожнистої вени
Синдром верхньої порожнистої вени (СВПВ) — це група симптомів, спричинених непрохідністю верхньої порожнистої вени (ВПВ). ВПВ — це коротка, широка судина, що несе циркулюючу кров до серця. Більшість випадків спричинені злоякісними пухлинами в середостінні, найчастіше раком легенів або неходжкинською лімфомою, що безпосередньо стискає або вторгається в стінку ВПВ. Незлоякісні причини частішають за рахунок все більшого використання внутрішньосудинних пристроїв (таких як постійні центральні венозні катетери, кардіостимулятори та дефібрилятори), що може призвести до тромбозу.[1] Інші незлоякісні причини включають доброякісні пухлини середостіння, аневризму аорти, інфекції та фіброзуючий медіастиніт.[2]
| Синдром верхньої порожнистої вени | |
|---|---|
![]() Синдром верхньої порожнистої вени у людини з раком легені. Зверніть увагу на опухання його обличчя зранку (зліва) та полегшення стану після цілого дня у вертикальному положенні (справа). Синдром верхньої порожнистої вени у людини з раком легені. Зверніть увагу на опухання його обличчя зранку (зліва) та полегшення стану після цілого дня у вертикальному положенні (справа). | |
| Спеціальність | Пульмонологія |
| Класифікація та зовнішні ресурси | |
| МКХ-10 | I87.1 |
| DiseasesDB | 12711 |
| MeSH | D013479 |
| | |
Характерними ознаками є набряк (через надлишок рідини) обличчя та рук, та розвиток набряклих колатеральних вен на передній частині грудної стінки. Задишка і кашель — досить поширені симптоми; труднощі з ковтанням повідомляються в 11 % випадків, головний біль у 6 % та стридор у 4 %. Симптоми рідко загрожують життю, хоча набряк надгортанника може ускладнити дихання, набряк мозку може спричинити зниження пильности, і менш ніж у 5 % випадків СВПВ повідомляється про важкі неврологічні симптоми або блокування дихальних шляхів. Лікування синдрому верхньої порожнистої вени безпосередньо пов'язане з лікуванням основної компресії.[3]
Ознаки та симптоми
Задишка — найпоширеніший симптом, другим є набряк обличчя або рук.[4]
Нижче наведені часті симптоми:
- Задишка[5]
- Головний біль[5]
- Набряк обличчя[5]
- Розширення вен шиї, грудної клітки та рук[5]
- Мігрень
- Значне зменшення об'єму легень
- Набряк обличчя після лежання або нахилу
- Набряк верхніх кінцівок[5]
- Запаморочення[6]
- Кашель[6]
- Симптом Стокса[7]
- Ознака Пембертона[5]
Синдром верхньої порожнистої вени зазвичай проявляється поступово, з посиленням симптомів з часом, оскільки новоутворення збільшуються в розмірах або інвазивности.[4]
Причина

Понад 80 % випадків спричинені злоякісними пухлинами, що здавлюють верхню порожнисту вену. Рак легенів (як правило, дрібноклітинний рак) складає 75-80 % цих випадків, а неходжкінська лімфома (найчастіше дифузна В-крупноклітинна лімфома) становить 10-15 %. Рідкісні причини включають лімфому Ходжкіна, метастатичний рак, лейкемію, лейоміосаркому судин середостіння та плазмоцитому.[2] Також відомо, що сифіліс та туберкульоз можуть викликати синдром верхньої порожнистої вени.[4] СВПВ може бути викликаний вторгненням чи стисненням патологічним процесом, або тромбозом у самій вені, хоча останнє зустрічається рідше (приблизно у 35 % через використання внутрішньосудинних пристроїв).
Діагностика

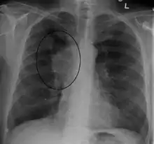
Основними методиками діагностики СВПВ є рентгенографія органів грудної клітки, КТ, трансбронхіальна аспірація під час бронхоскопії та медіастиноскопія.[8] Рентген часто дає можливість побачити основну причину СВПВ. Однак 16 % людей із СВПВ мають нормальний рентген грудної клітки. КТ слід посилити контрастом і робити на шиї, грудях, нижній частині живота та тазі. Вони також можуть показати основну причину та ступінь прогресування захворювання.
Лікування
Існує кілька методів лікування, що в основному включають ретельну медикаментозну терапію та хірургічне втручання.[4] Глюкокортикоїди (такі як преднізон або метилпреднізолон) зменшують запальну реакцію на інвазію пухлини та набряки навколо пухлини. Глюкокортикоїди найбільш корисні, якщо пухлина реагує на стероїди, наприклад, лімфоми. Крім того, діуретики (наприклад, фуросемід) використовуються для зменшення венозного повернення до серця, що знімає підвищений тиск.
У екстрених випадках, ендоваскулярне стентування проведене інтервенційним рентгенологом може полегшити симптоми вже за 12–24 години з мінімальним ризиком.
Якщо пацієнту потрібна допомога в диханні, слід бути надзвичайно обережним. Підвищений тиск у дихальних шляхах, як правило, ще більше стискає ВПВ і зменшує венозне повернення, і в результаті, зменщує серцевий викид, мозковий та коронарний кровотік.
Прогноз
Зазвичай симптоми купіруються за допомогою променевої терапії протягом одного місяця після лікування.[4] Однак навіть з лікуванням, 99 % пацієнтів помирають протягом двох з половиною років. Це пов'язано з тим, що СВПВ у 90 % випадків викликаний онкологічними причинами. Середній вік появи захворювання — 54 роки.
Див. також
Примітки
- Rice, TW (January 2006). The superior vena cava syndrome: clinical characteristics and evolving etiology.. Medicine 85 (1): 37–42. PMID 16523051. doi:10.1097/01.md.0000198474.99876.f0.
- Superior Vena Cava Syndrome. WebMD LLC. 28 березня 2018. Процитовано 3 серпня 2018. Проігноровано невідомий параметр
|vauthors=(довідка) - Kent, MS; Port, JL (2007). Superior Vena Cava Syndrome. У Chang, AE; Ganz, PA; Hayes, DF та ін. Oncology – An Evidence-based Approach. Springer Science & Business Media. с. 1291–9. ISBN 978-0387310565.
- emedicine > Superior Vena Cava Syndrome. Author: Michael S Beeson, MD, MBA, FACEP, Professor of Emergency Medicine, Northeastern Ohio Universities College of Medicine and Pharmacy; Attending Faculty, Summa Health System. Updated: Dec 3, 2009
- Parker, Robert; Catherine Thomas; Lesley Bennett (2007). Emergencies in Respiratory Medicine. Oxford. с. 96–7. ISBN 978-0-19-920244-7.
- emedicine > Superior Vena Cava Syndrome. Author: Michael S Beeson, MD, MBA, FACEP, Professor of Emergency Medicine, Northeastern Ohio Universities College of Medicine and Pharmacy; Attending Faculty, Summa Health System. Updated: Dec 3, 2009
- define: collar of Stokes at open-resource-project.org. Retrieved Mars 2011
- Parker, Robert; Catherine Thomas; Lesley Bennett (2007). Emergencies in Respiratory Medicine. Oxford. с. 96–7. ISBN 978-0-19-920244-7.
