Макроцефалія
Макроцефалія — це стан, при якому голова людини має аномально великий розмір; це стосується скальпу, черепу та його вмісту. Макроцефалія може бути патологічною, доброякісною, навіть генетично обумовленою. Людина з діагнозом макроцефалія має регулярно проходити перевірку, щоб визначити чи супроводжується вона якимись порушеннями.
| Макроцефалія | |
|---|---|
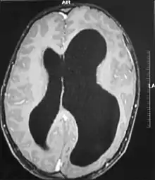
![]() МРТ пацієнта з доброякісною сімейною макроцефалією (чоловік з окружністю голови> 60 см) МРТ пацієнта з доброякісною сімейною макроцефалією (чоловік з окружністю голови> 60 см) | |
| Спеціальність | медична генетика |
| Класифікація та зовнішні ресурси | |
| МКХ-11 | LB70.3 |
| МКХ-10 | Q75.3 |
| DiseasesDB | 22519 |
| MeSH | C537717 |
| SNOMED CT | 9740002 |
Причини
Хоча в багатьох випадках макроцефалія не супроводжується неврологічними порушеннями, вона може бути патологічною. Патологічна макроцефалія обумовлюватися мегаленцефалією (збільшений мозок або за рахунок гіпертрофії та гіперплазії нервових елементів або за рахунок гіпертрофії й гіперплазії допоміжних клітин нервової тканини, що трапляється частіше), гідроцефалією (аномально підвищеною кількістю спинномозкової рідини), черепним гіперостозом (розростанням кісток) та іншими станами. Патологічну макроцефалію називають синдромічною, коли вона пов'язана з будь-яким іншим вартим уваги станом, і "несиндромною" в іншому випадку. Патологічна макроцефалія може зумовлюватися вродженими анатомічними порушеннями, генетичними станами або викликатися зовнішніми чинниками[1].
Макроцефалія, в тому числі сімейна, пов'язана з багатьма станами, зокрема з аутизмом; PTEN мутаціями, такими як хвороба Коудена, нейрофіброматозом типу 1 і туберозним склерозом; синдромами розростання, такими як синдром Сотоса (церебральний гігантизм), синдром Вівера, синдром Сімпсона-Голабі-Бемеля (синдром бульдога) та макроцефалічно-капілярною мальформацією ( M-CMTC); нейрокардіофаціально-шкірними синдромами, такими як синдром Нунана, синдром Костелло, синдром Горліна[2], та кардіофаціокутанозний синдром; Синдромом ламкої Х хромосоми; лейкодистрофіїями (дегенерації білої речовини головного мозку), такими як хвороба Александера, хвороба Канавана та мегаленцефальна лейкоенцефалопатія з кістами підкіркової тканини; і глутаровою ацидурією типу 1 і D-2-гідроксиглутаровою ацидурією[1].
Було виявлено, що хромосомні дуплікації пов'язані з аутизмом та макроцефалією; з іншого боку, виявлено, що хромосомні делеції пов'язані з шизофренією та мікроцефалією[3][4].
До зовнішніх чинників, пов’язаних з макроцефалією, належать інфекції, внутрішньошлуночкові кровотечі у новонароджених, субдуральні гематоми (кровотечі під зовнішньою оболонкою мозку), субдуральний випіт (збір рідини під зовнішньою оболонкою мозку) та арахноїдальні кісти (кісти на поверхні мозку),пухлини, черепно-мозкові травми[1][5].
При дослідженні висота черепа або візуалізація мозку можуть бути використані для більш точного визначення внутрішньочерепного об’єму[1].
Нижче наведені деякі причини макроцефалії[6][7][8][9].
Гідроцефалія

.jpg.webp)


.jpg.webp)
.png.webp)

Гідроцефалія — захворювання, що характеризується надлишковим накопиченням цереброспінальної рідини у шлуночковій системі головного мозку в результаті ускладнення її переміщення від місця секреції (шлуночки головного мозку) до місця абсорбції до кровоносної системи (субарахноїдальних цистерн (субарахноїдального простору)) — окклюзійна гідроцефалія, або в результаті порушення абсорбції — арезорбти́вна гідроцефалія.
Причинами гідроцефалії, в свою чергу, можуть бути:
- мальформація Арнольда — Кіарі;
- акведуктальний стеноз;
- Х-зчеплена гідроцефалія зі стенозом водопроводу;
- синдром Денді — Уокера;
- аневризма вени Галена або мальформація;
- голопрозенцефалія;
- розширений субарахноїдальний простір(часто внаслідок крововиливу);
- внутрішньошлуночковий крововилив;
- саркоїдоз;
- менінгіт чи менінгоенцифаліт.
Супратенторіальна арахноїдальна кіста
Супратенторіальна арахноїдальна кіста — лікворна кіста, стінки якої сформовані клітинами павутинної оболонки. Є вродженою аномалією розвитку головного мозку, що може призводити до деформації черепу.
Судинні причини макроцефалії:
- артеріовенозна мальформація;
- внутрішньочерепні крововиливи;
- тромбоз дурального синуса.
Нейрокутанні синдроми
- Інконтиненція пігментна
Деструктивні ураження:
- гідранцефалія;
- поренцефалія.
Сімейні, аутосомно-домінантні, аутосомно-рецесивні, зчеплені з Х.

Набряк мозку (токсично-метаболічний)
Зумовлений:
- інтоксикацією;
- свинцем;
- вітаміном А;
- тетрациклінами;
- ендокринними порушеннями(гіпопаратиреоз, гіпоадренокортицизм);
- галактоземією;
- ідіопатичний(внутрінньочерепна гіпертензія).

Потовщення черепу чи скальпу (гіперостоз):
- сімейна варіація;
- анемія;
- остеопороз, важкий аутосомно—рецесивний остеопороз(CLCN7, TCIRG1);
- пікнодизостоз(CTSK);
- краніометафізарна дисплазія(ANKH);
- краніодіафізарна дисплазія;
- пайлова дисплазія;
- склеростероз (SOST);
- ювенільна хвороба Педжета;
- ідіопатична гіперфосфатазія;
- сімейна остеоектазія;
- рахіт;
- клейдокраніальний дизостоз;
- синдром Ворта;
- синдром Протея.
Мегаленцефалія та гемімегаленцефалія
Мегаленцефалія — це порушення розвитку при якому мозок має аномально великий розмір. Середня вага мозку на 2,5 стандартні відхилення перевищує середнє значення загальної сукупності[10]. Гемімегаленцефалія — надзвичайно рідкісна форма макроцефалії, що характеризується нерівномірним розвитком півкуль мозку (половина мозку більша за іншу)[11].
Діагностика
Діагноз може бути встановлений внутрішньоутробно або протягом 18—24 місяців після народження[12]. Діагностика у немовлят включає вимірювання окружності голови дитини та порівняння її з віковими нормами, перевищення цієї окружності на 2 стандартних відхилення від значення окружності голови для 97,5 процентиля дітей з подібними демографічними показниками може свідчити про макроцефалію. При значному перевищенні 97,5 процентиля, пацієнта перевіряють на наявність внутрішньочерепного тиску і визначають необхідність негайного хірургічного втручання[13][14]. Якщо негайне оперативне втручання не потрібно, проводять подальші тестування, щоб визначити, чи є у пацієнта макроцефалія і чи доброякісна вона.
Доброякісна або сімейна макроцефалія
Доброякісна макроцефалія може виникати без причини або успадковуватися (при цьому вона вважається доброякісною сімейною макроцефалією і вважається мегаленцефальною формою макроцефалії). Діагноз сімейної макроцефалії визначається шляхом вимірювання окружності голови обох батьків та порівняння її з окружністю у дитини. Доброякісна та сімейна макроцефалія не пов'язані з неврологічними розладами[13], але нейророзвиток все одно оціненюється.
Хоча неврологічні розлади і не спостерігаються, можуть спостерігатися такі тимчасові симптоми, як: затримка розвитку, епілепсія та легка гіпотонія[13].
Лікування
Лікування варіюється залежно від наявності у дитини інших захворювань і того, де присутня спинномозкова рідина[12]:
- якщо рідина виявлена між мозком та черепом, хірургічне втручання не потрібне[12][15];
- якщо між шлуночковими просторами в мозку виявляється надлишок рідини, знадобиться хірургічне втручання.
Асоційовані синдроми
Нижче наведено деякі синдроми, пов’язані з макроцефалією[16].

Пов'язані з чисельними аномаліями:
- акрокалозальний синдром;
- синдром Аперта;
- Баннаян — Райлі — Рувалькаба;
- кардіофаціошкірний синдром;
- делеція хромосоми 22qter;
- клейдокраніальний дизостоз;
- синдром Костелло;
- енцефалокраніокутанний ліпоматоз;
- синдром FG;
- синдром Хайлермана — Стрейфа;
- гіпомеланоз Іто;
- синдром Лужана — Фрінса;
- синдром Маршалла — Сміта;
- нейрофіброматоз I;
- синдром Перлмана;
- синдром Рітшера — Шінцеля;
- синдром Робінова;
- синдром Сімпсона — Голабі — Бемеля;
- синдром Сотоса;
- синдром Стерджа — Вебера;
- синдром Вівера;
- синдром Відермана — Раутенштрауха.

Пов'язані з порушенням обміну речовин:
- глутарова ацидурія II типу;
- гангліозидоз GM1;
- синдром Хантера;
- синдром Герлера;
- MPS VII;
- синдром Санфіліппо;
- синдром Зеллвегера.
Пов’язані зі скелетною дисплазією:
- ахондроплазія;
- камптомелічна дисплазія;
- краниодіафізарна дисплазія;
- араниометалфізарна дисплазія;
- гіпохондрогенез;
- гіпохондроплазія;
- синдром Найста;
- остеопетроз, аутосомно—рецесивна форма;
- дисплазія Шнекенбекена;
- склеростеоз;
- синдром короткого ребра, тип Бемера — Лангера;
- вроджена спондилеопіфізарна дисплазія;
- танатофорна дисплазія.
Інші:
- хвороба Вільяма Александера;
- хвороба Канавана;
- дефіцит кобаламіну(поєднана метилмалонова ацидурія та гомоцистинурія);
- синдром Денді — Вокера;
- глутарова ацидурія I;
- L-2 гідроксглутарова ацидурія;
- мегаленцефальна лейкоенцефалопатія;
- перивентрикулярна гетеротопія;
- хвороба Сандхофа;
- хвороба Тея — Сакса.
Дивитися також
Примітки
- Williams, Charles A.; Dagli, Aditi; Battaglia, Agatino (1 серпня 2008). Genetic disorders associated with macrocephaly. American Journal of Medical Genetics. Part A 146A (15). с. 2023–2037. ISSN 1552-4833. PMID 18629877. doi:10.1002/ajmg.a.32434. Процитовано 2 вересня 2020.
- Archived copy. Архів оригіналу за 9 жовтня 2015. Процитовано 4 травня 2015.
- Crespi (2010). Comparative genomics of autism and schizophrenia. PNAS 107: 1736–1741. PMC 2868282. PMID 19955444. doi:10.1073/pnas.0906080106.
- International Schizophrenia Consortium (September 2008). Rare chromosomal deletions and duplications increase risk of schizophrenia; The International Schizophrenia Consortium;. Nature 455 (7210): 237–241. PMC 3912847. PMID 18668038. doi:10.1038/nature07239.
- Макроцефалія | Енциклопедія Сучасної України. esu.com.ua. Процитовано 2 вересня 2020.
- Cooke, Rachel. ProQuest Ebook Central (англ.). doi:10.5260/cca.199425. Процитовано 2 вересня 2020.
- Swaiman, Kenneth F.; Ashwal, Stephen; Ferriero, Donna M.; Schor, Nina F. (2012). Preface to the Fifth Edition. Swaiman's Pediatric Neurology (англ.). Elsevier. с. xiii–xiv. ISBN 978-1-4377-0435-8. doi:10.1016/b978-1-4377-0435-8.00116-5.
- Цимбалюк В. І., Лузан Б. М., Дмитерко І. П., Марущенко М.О., Медведєв В.В., Троян О. І. Нейрохірургія. — Вінниця : Нова Книга, 2011. — С. 304. — ISBN 978-966-382-371-3.
- Супратенторіальні арахноїдальні кісти головного мозку (Дитяча нейрохірургія) - Клінічний протокол - Протокол діагностики та лікування супратенторіальних арахноїдальних кіст головного мозку. - Стандарти надання медичної допомоги в Україні. medstandart.net. Процитовано 2 вересня 2020.
- Striano, P; Federico (October 2012). Mutations in mTOR pathway linked to megalencephaly syndromes. Nature Reviews Neurology. 8 8 (10): 542–4. PMID 22907262. doi:10.1038/nrneurol.2012.178.
- Johns Hopkins Medicine, Neurology and Neurosurgery. Hemimegalencephaly.
- Macrocephaly | Nicklaus Children's Hospital. www.nicklauschildrens.org. Процитовано 11 квітня 2020.
- Signs and symptoms of genetic conditions : a handbook. Oxford. 30 травня 2014. ISBN 978-0-19-938869-1. OCLC 879421703.
- Fenichel, Gerald M. (2009). Clinical pediatric neurology : a signs and symptoms approach (вид. 6th ed). Philadelphia, PA: Saunders/Elsevier. ISBN 978-1-4377-1974-1. OCLC 460932962.
- Macrocephaly or "Big Head". Department of Neurosurgery (амер.). Процитовано 27 квітня 2020.
- Signs and symptoms of genetic conditions : a handbook. Oxford. 30 травня 2014. ISBN 978-0-19-938869-1. OCLC 879421703.
.gif)



