Бічний аміотрофічний склероз
Бічний аміотрофічний склероз (лат. sclerosis amyotrophica lateralis) — рідкісне прогресуюче нейродегенеративне захворювання невідомої етіології, яке уражає моторну систему. Хоч етіологія хвороби до кінця не з'ясована, більшість вчених припускає поліетіологічну природу хвороби (генетичні зміни, вплив токсинів, порушення метаболізму мотонейронів). Дегенеративні зміни відбуваються в корі головного мозку, в кірково-спинномозкових шляхах (які в основному проходять в бічних канатиках спинного мозку) та в передніх рогах спинного мозку. Часом можуть долучатися паркінсонізм та деменція, особливо при ендемічному для деяких тихоокеанських регіонів типі бічного аміотрофічного склерозу — комплексі БАС-паркінсонізм-деменція (хвороба Гуам). Патогенез хвороби включає декілька пов'язаних між собою ланок, таких як ексайтотоксичність, пероксидні реакції, агрегація білків, мітохондріальна дисфункція і тд. Клініка хвороби вперше була описана Шарко в 1869 році і складається зі змішаного спастично-в'ялого (наявність елементів як центрального, так і периферичного паралічів) паралічу або парезу. Бічний аміотрофічний склероз має декілька варіантів дебюту. Діагноз хвороби виставляють на основі клінічної картини, а також при проведенні електроміографії, транскраніальної стимуляції, МРТ чи іншого методу нейровізуалізації, лабораторних та генетичних досліджень. Критерії, які забезпечують правильність та уніфікованість діагнозу по всьому світу називається «критеріями Ель Ескоріаль». Етіологічного лікування немає; єдиним ефективним засобом для патогенетичного лікування є рилузол, який дещо подовжує тривалість життя хворих. Активно проводиться симптоматичне лікування. Найчастіше хворі помирають від дихальної недостатності.
| Аміотрофічний бічний склероз | |
|---|---|
![]() | |
| Спеціальність | неврологія |
| Препарати | Рилузол[1][2], Едаравон[2], Рилузол[3] і Едаравон[4] |
| Класифікація та зовнішні ресурси | |
| МКХ-11 | 8B60.0 |
| МКХ-10 | G12.2 |
| OMIM | 105400 |
| DiseasesDB | 29148 |
| MedlinePlus | 000688 |
| eMedicine | neuro/14 |
| MeSH | D000690 |
| | |
На бічний аміотрофічний склероз хворіли такі відомі люди, як Лу Геріг, Стівен Гокінг, Генрі Воллес. У суспільстві хвороба відома через проведену кампанію «Ice Bucket Challenge», яка була придумана для збору грошей для вирішення проблеми бічного аміотрофічного склерозу.
Історія відкриття та дослідження
До Шарко
Вперше термін «бічний аміотрофічний склероз» було використано в 1874 році Жаном-Мартеном Шарко.[5] Але відокремленню бічного аміотрофічного склерозу в окрему нозологічну одиницю передувала серія відкриттів, пов'язаних з фізіологією моторної системи та хворобами, пов'язаними з БАС.

Ще в 1811 році Чарльз Белл, а слідом за ним Франсуа Мажанді в 1822 році довели, що передній корінець спинного мозку складається з рухових волокон, в той час як задній — з чутливих (так званий закон Белла-Мажанді).[6] Той самий Белл в 1830 році спостерігав жінку з прогресуючим паралічем кінцівок та язика, але зі збереженою чутливістю. Розтин показав, що передня частина спинного мозку була змінена, а задня була нормальною. Всі ці відкриття та вже існуючі серед тогочасних фізіологів думки про можливість нейрогенної атрофії м'язів вказували на те, що ушкодження передніх рогів може призвести до паралічу.[5][6]
У 1850 році Франсуа Аран описав синдром, який він назвав прогресуючою м'язовою атрофією (виникає при ушкодженні мотонейронів передніх рогів і протікає за типом периферичного паралічу). Дюшен стверджував, що описав такий самий синдром на рік швидше, але не опубліковував роботи. Між вченими конфлікту не виникло, але під впливом Дюшена Аран стверджував, що прогресуюча м'язова атрофія має міогенне походження. У 1853 році Крувельє, дослідивши такий же випадок та виконавши аутопсію, прийшов до висновку про нейрогенне походження хвороби. У 1859 році Фроманн та Дюменіль незалежно один від одного опублікували опис прогресуючої м'язової атрофії з бульбарними розладами. У 1860 році Дюшен відокремив прогресуючий бульбарний параліч від прогресуючої м'язової атрофії (ґрунтуючись на різниці у швидкості виникненні бульбарних розладів). Того ж року Люїс описав зміни в мотонейронах передніх рогів при прогресуючій м'язовій атрофії.[5][7]
Жан-Мартен Шарко

У 1869 році Жан-Мартен Шарко разом з Аліксом Жоффруа дав детальний опис хвороби (але ще не виділив її, як окрему нозологічну одиницю), яка згодом ним же буде названа «бічним аміотрофічним склерозом».[5] Його припущення базувалися як на даних розтину, так і на даних клініки. Так, при розтині ним було відмічено, що пошкодження зазнають не тільки мотонейрони передніх рогів, але й бічні стовпи спинного мозку. Ними була описана детальна клінічна картина: симптоми, що відносилися до пошкодження верхнього мотонейрону (гіперрефлексія, спастичність), симптоми пошкодження нижнього нейрона (атрофія м'язів, фасцикуляції), бульбарні розлади (втрата міміки, гугнявість, відкритий рот, дисфагія), відсутність ментальних та чутливих розладів, відсутність розладів з боку органів малого таза. Шарко відділив бічний аміотрофічний склероз від прогресуючої м'язової атрофії, ґрунтуючись на повільному розвитку останньої, відсутності ураження довгастого мозку та відстуності спастичності.[8]
Подальші дослідження

У 1875 році Вільгельм Ерб описав первинний бічний склероз, однак, він не вважав його окремим від бічного аміотрофічного склерозу захворюванням.[9][10] В 1883 році Жюль Дежерін об'єднав бічний аміотрофічний склероз та прогресуючий бульбарний параліч, а в 1892 році і Вільям Говерс об'єднав бічний аміотрофічний склероз, прогресуючий бульбарний параліч та первинний бічний склероз, вважаючи, що ці захворювання є проявов ураження моторної системи і відмінність між ними полягає у рівні ушкодження (верхній та/або нижній мотонейрони) та швидкості прогресування[10][11]. В тому ж 1883 році Кожевников першим на теренах Російської імперії описав бічний аміотрофічний склероз[12].
У 1900 році з'явилися перші повідомлення про високий рівень смертності від бічного аміотрофічного склерозу серед племені Чаморро на Гуамі. У 1911 році про такий же високий рівень захворювності на півострові Кії повідомив Міура. У 1933 році Волтер Брейн створив новий термін — «хвороба мотонейрона» — і об'єднав у цій категорії усі види ушкодження мотонейрона. У 1936 році Окайя вперше описав комплекс БАС-паркінсонізм на Гуамі. Ці ж самі явища (високий рівень бічного аміотрофічного склерозу та комплекси БАС-паркінсонізм) з 1952 по 1954 роки спостерігали Хірано, Курланд, Кьорнер, Арнольд та Малдер. Остаточно комплекс БАС-паркінсонізм-деменція (Гуам-тип бічного аміотрофічного склерозу) був описаний Асао Хірано в 1961 році. У 1963 році Гайдушек описав випадок БАСу в Новій Гвінеї. У 1955 році Малдер та Курланд вперше описали сімейний тип бічного аміотрофічного склерозу.[11]

Пошуки етіології були різнонаправленими. Говерс вважав, що основою розвитку хвороби є генетично обумовлений дефект метаболізму нейронів. У СРСР проводилися дослідження для підтвердження вірусної теорії хвороби. Макакам-резус вводилися суспензії від хворих з БАС; це викликало стан подібний на БАС, однак такі ж дослідження в США не дали результату.[12] Успішнінішими були дослідження впливу екзотоксинів для Гуам-типу хвороби: було встановлено роль токсинів, що містяться в саго для розвитку бічного аміотрофічного склерозу.[13] Протягом 80-90-х років XX століття був проведений ряд генетичних досліджень. Було встановлено про роль мутації гена SOD1.[14] Протягом «генетичних» досліджень було встановлено роль цілої низки генів для розвитку БАСу, серед них SETX, при якому розвивається ювенільний бічний аміотрофічний склероз та особливо гена TARDBP (TDP-43), мутації якого спостерігаються і при спорадичному, і при сімейному типі хвороби.[15]
Анатомічно-фізіологічні основи
Для доброго розуміння клініки хвороби необхідно добре розуміти анатомію та фізіологію утворів, які уражаються при бічному аміотрофічному склерозі.
При бічному аміотрофічному склерозі уражаються пірамідні шляхи, при чому як верхній, так нижній мотонейрони. Верхній мотонейрон — це нейрон, який міститься в головному мозку та контролює нижній, тобто в пірамідних шляхах наявна ієрархія. Він міститься в первинній руховій корі, премоторній корі та додатковій руховій корі. Гістологічно сюди входять декілька типів нейронів, найпопулярнішими з яких є клітини Беца (які складають, однак, 3-5 % всіх клітин).[16] Від цих ділянок до нижніх мотонейронів прямують волокна (власне це і є пірамідні шляхи).[17] Нижній мотонейрон міститься в ядрах черепних нервів та в ядрах передніх рогів спинного мозку. Саме цей нейрон і реалізує вплив мозку на м'язи, тобто забезпечує рух.[18]
З руховою функцією тісно пов'язана лімбічна система — емоційний «центр» в головному мозку. Через посередництво центральної сірої речовини, вона контролює м'язи гортані, глотки, живота та дихальні м'язи.[19][20]
При ушкодженні верхнього мотонейрона нижній позбавляється модулюючого впливу останнього. Це проявляється ознаками центрального паралічу чи парезу. При ушкодженні нижнього виникає периферичний параліч або парез.[21]
Епідеміологія
Якщо не враховувати ендемічні регіони, то показники захворюваності та поширеності є однаковими для всього світу. Для спорадичної форми показник захворюваності складає 0,2—2,4 випадку на 100 000 населення. Показник поширеності — 0,8—7,3 випадку на 100 000 населення. Популяційний ризик становить 1:400.[22][23][24] Для ендемічних районів, до яких належать райони Хобара та Кодзаґава півострову Кії, що розташований на острові Хонсю, острови Гуам, Тініан та Рота, що належать до Маріанських островів та південне узбережжя Західної Нової Гвінеї, показники можуть бути в сто раз вищі.[25] Співвідношення між хворими чоловіками та жінками складає 1,33[26]-2,5[27] і спадає з кожною новою прожитою декадою.[26] В районі 65-70 років співвідношення вирівнюється і навіть змінюється на протилежне[26], хоча це може бути пов'язано з вищою тривалістю жіночого життя і, як наслідок, більшою кількістю жінок такого віку, ніж чоловіків.[28] Расові співвідношення (якщо не враховувати ендемічні регіони) є вивченими недостатньо. Американські дані свідчать про співвідношення між білими та іншими расами становить 1,6:1, хоча ряд дослідників вважає, що вивчення поширеності БАСу між небілими расами значно поступається вивченню цієї ж поширеності між білими американцями.[27][28] Пік захворювання припадає на 55-75 років[24][28], а віковий діапазон сягає 20-80 років[29]. БАС після 75 років трапляється рідко і таким чином не належить до вікових хвороб; з іншого боку вік є одним з чинників ризику.[24][29] Виживаність сягає 2-3 років після встановлення діагнозу бічного аміотрофічного склерозу з бульбарним дебютом та 3-5 років у випадку іншого дебюту.[27] 90 % випадків бічного аміотрофічного склерозу відносяться до спорадичного типу. 5-10 % випадків належать до сімейного типу бічного аміотрофічного склерозу, з них 10-20 % пов'язані з мутацією гена SOD1, 5-10 % пов'язано з геном TARDBP і 3-4 % з геном FUS.[22] Одною з наявних тенденцій є ріст нових випадків. З іншого боку дослідження захворюваності, поширеності та їх динаміки часто ускладнюється різною методологією (наприклад, різноманітна термінологія в різних країнах), різноманіттям форм, варіантів та дебютів.[30] Тому для уніфікації діагнозу створили «критерії Ель Ескоріаль».[31]
Фактори ризику
Єдиними безсумнівними факторами, які підвищують ризик захворіти на спорадичний бічний аміотрофічний склероз є вік та стать. З огляду на співвідношення хворих чоловіків та жінок стає зрозуміло, що чоловіча стать підвищує шанси на діагноз. У старших людей хвороба діагностується частіше, ніж у молодих; існує припущення, що зі значним старінням людства (яке особливо спостерігається у розвинутих країнах) діагнози «бічного аміотрофічного склерозу» та інших нейродегенеративних хвороб ставитимуться частіше.
Серед великої кількості досліджень, які мали на меті визначити фактори ризику, перевірених даних не знайшли. Дослідження в Нідерландах показали, що куріння підвищує ризик виникнення хвороби. Те саме стосується дослідження італійських футболістів, яке показало, що в них також підвищений ризик захворіти бічним аміотрофічним склерозом (ці дані критикують і спростовують через помилки в зборі інформації та її опрацювання) та серед колишніх футболістів НФЛ. Дослідження таких факторів, як алкоголізм, механічна та електрична травми, гормональні порушення, травма голови не дали чітких відповідей.
Кластери хвороби
Під терміном «кластер» мають на увазі географічну зону, в якій випадки захворювання на бічний аміотрофічний склероз переважають очікувані середньостатистичні по світу показники. Найвідомішим таким кластером є острови західної частини Тихого океану.[30] Проте, окрім цієї зони є ряд менших (кластером можна вважати й одну спортивну команду, і якщо у населеному пункті виявлено одразу декілька хворих на БАС), в яких дослідження виявили вищий рівень захворюваності. До таких належать деякі місцевості в Італії, Шотландії, Фінляндії, Канаді, США. Дослідження, які були проведені для того, щоб виявити можливу причину захворювання, достеменного чинника не виявили.
Етіологія
Існують дві концепції, які пояснюють через що виникає хвороба: інфекційно-токсична (вплив різних екзотоксинів, вірусів) та ендогенно-абіотрофічна (порушення метаболізму мотонейрона на генетичному рівні). Багато науковців поєднуюють дві концепції в одну — мультифакторіальну (дія як зовнішніх чинників, так і генетично обумовлених факторів).
Екзотоксини
Теорія про виникнення хвороби через вплив токсинів є однією з найперших. Так, було помічено, що серед жителів островів Гуам та Рота хвороба є значно поширенішою, ніж серед інших популяцій. Було виявлено токсичні речовини — β-метиламіно-L-аланін (BMMA) та циказин, які містяться в листі та насінні сагової пальми (саго є традиційним харчовим інгредієнтом жителів цих островів; сагову пальму також використовують у будівництві будинків). BMMA є ексайтотоксином (тобто впливає на NMDA-рецептори). Циказин здатний проникати через гемато-енцефалічний бар'єр та проникати в нейрони. Тут він перетворюється на метилазоксиметанол, який активує вільнорадикальну реакцію; як наслідок — метилювання білків, внутрішньоклітинна продукція патологічних хімічних утворень та дегенерацію нейрона. Підтвердження дії рослинних токсинів підкріплюється також наявністю інших нейродегенеративних захворювань, спричинених рослинними токсинами: латиризм, хвороба Конзо.
Однак саго використовують і в інших регіонах, наприклад на Шрі-Ланці, але такого рівня хвороби там не спостерігається. Іншою причиною може бути те, що концентрація алюмінію та заліза у воді є вищою норми, в той час, як концентрація кальцію та магнію — нижча. Була запропонована гіпотеза про те, що низький рівень кальцію спричиняє вторинний гіперпаратиреоїдизм та збільшення проникнення алюмінію в мотонейрони, що в свою чергу спричиняє їх загибель (шляхом порушення фосфорилювання нейрофіламентів та підвищення їх Fe2+-залежного вільнорадикального пошкодження).[32]
Серед учасників війн (Другої світової, В'єтнамської, війни, в Перській затоці) рівень поширеності хвороби також вища (приблизно в два рази), що дозволило припустити роль у розвитку хвороби ФОС. Однак, ряд досліджень намагаються спростувати це твердження.
Вірусна теорія
Існує ряд вірусів, які є тропними стосовно мотонейронів. Найвідомішим з них є поліовірус, який спричинює поліомієліт. При цій хворобі уражаються нижні мотонейрони і при найгіршому розвитку виникають паралічі. Крім того, у тих хто перехворів на поліомієліт, значно частіше розвивається бічний аміотрофічний склероз, ніж у решти популяції. Іншими вірусами, які також впливають на ЦНС та ПНС, а отже розглядаються як потенційні збудники, є ВІЛ, герпесвіруси, вірус Коксакі та інші ентеровіруси.
Вірусна теорія базується на можливості вірусів тривалий час перебувати в організмі, в середині клітин, і при цьому ніяк не проявлятися (відсутність запалення та будь-який клінічних проявів). При цьому можлива ситуація, коли навіть при детальному дослідженні не вдається знайти вірусні частки. У 1950-х роках, при введенні суспензії тканини мозку хворих тварин здоровим, в останніх виникали симптоми бічного аміотрофічного склерозу. Проте, подальші дослідження не довели виникнення хвороби при введенні суспензії. При сучасних дослідженнях із застосуванням ПЛР роль вірусів у розвитку хвороби залишається неясною: з одного боку наявні реакції активації імунітету у хворих на БАС при введенні антигену поліовірусу, знайдені сліди ентеровірусів, чітко описаний зв'язок СНІДу та ушкоджень нервової системи, а з іншого боку — чітких доказів розвитку хвороби під дією вірусу не знайдено.
Супероксиддисмутаза 1
Ряд випадків БАСу пов'язують з мутацією в гені, який кодує утворення супероксиддисмутази-1 — важливого антиоксидантного ферменту, який міститься в цитозолі клітини. Сама СОД1 є димером з двома ідентичними β-ланцюгами та активним центром з Cu+ (використовується для участі в реакціях з радикалами); іншим елементом є цинк (Zn), який стабілізує структуру фермента. Мутації в гені приводять до «мутантної» нестабільної будови при якій «стабілізуючий» атом Zn може втрачатися, а також підвищується доступ вільних радикалів до Cu+ , і як наслідок — до утворення ще сильніших радикалів.
Існує кілька версій, які пояснюють виникнення хвороби при мутації гена. Перша з них логічно пов'язана з втратою антиоксидантної функції мутантного фермента і утворенням токсичних радикалів, таких як пероксинітрит (ONOO-), радикал оксиду азоту (•NO), радикал пероксид водню, гідроксильний радикал (OH•), синглетний кисень та інші. Однак ряд досліджень у тварин з нокаутованим геном SOD1 невиявили ознак хвороб. Теж саме стосується і деяких мутацій в гені (існує велика кількість місенс-мутацій в гені SOD1, які по різному будуть проявлятися), до прикладу Gly93 → Ala та Gly37 → Arg не впливають на активність фермента, а Gly89 → Arg — проявляється зниженням функції.
Саме тому була запропонована теорія про виникнення нової, нез'ясованої до кінця, цитотоксичної здатності у СОД1.
Патогенез
Патогенез бічного аміотрофічного склерозу складний і до кінця не з'ясований. Вважається, що розвиток хвороби пов'язаний з ексайтотоксичністю (надмірна дія збуджуючих амінокислот), дією пероксидних радикалів, мітохондріальною дисфункцією, агрегацією білків та порушенням аксонного транспорту, дефектами, пов'язаними з нейротрофінами, патологією нейроглії.[15][33][34][35]
Патоморфологічна картина

Макроскопічні зміни
Макроскопічні зміни при хворобі полягають у стоншенні передніх корінців спинного мозку, моторних нервів. Колір з білого міняється на сірий (втрата мієліну).[36][37] Найчастіше ці зміни виявляють у шийному відділі. Візуально сам спинний мозок може виглядати нормально, але при поперечному розрізі можна помітити стоншення бічного канатика у ділянці проходження кірково-спинномозкових шляхів. Головний мозок майже завжди виглядає нормально, хоча в рідкісних випадках зустрічається атрофія рухової кори. Зміни виявляються і у м'язовій системі: м'язи атрофовані та фібротичні.[38][39][40] Макроскопічні зміни є неспецифічними, а тому недостатніми для поставлення діагнозу. Вирішальне слово залишається за мікроскопічними змінами.
Мікроскопічні

Мікроскопічні зміни зустрічаються з різною частотою, залежно від того чи це верхній, чи нижній мотонейрон, чи це кортико-спінальний шлях. Їхня частота різниться також в залежності від форми БАСу (ендемічна форма має ряд своїх особливостей, в той час як спорадична та сімейна відрізняють невеликою кількістю ознак).[40][41] Загалом є мікроскопічні зміни, які трапляються завжди чи майже завжди (зменшення кількості нейронів, їхня атрофія), а є такі, які дуже рідкісні (тільця Леві, астроцитоз).[42]
Постійні зміни
Найхарктернішими ознаками є зменшення кількості нейронів, їхня атрофія, а також ліпофусцинові депозити.[42][43]
При мікроскопуванні кори головного мозку виявляється зменшення кількості клітин Беца (V шар) та нейронів III шару у моторній корі.[40] Однак, лише цією ділянкою процес не обмежується: зміни кількості нейронів в V шарі знаходять і в премотрних ділянках, і в скроневій корі, і в тім'яній корі.[36][44] Найбільш виражені кількісні зміни серед відділів спинного мозку зустрічаються в шийному відділі. Серед черепних нервів найчастіші зміни виникають в моторних ядрах V, VII та XII пар черепних нервів. Найменше до цього процесу долучаються ядра Онуфровича та ядра окорухових нервів.[42][45][46] Популяція великих мотонейронів страждає більше, ніж популяція малих. Окрім мотонейронів уражаються нейрони ядра Кларка, чутливі нейрони задніх рогів.[44]
Атрофія полягає в зменшенні розмірів нейрона, його темному кольорі, наявності пікнотичного ядра, перебіганні хроматолізу, вкороченням, дезорганізацією, деформацією та розпадом дендритів. Зморщені нейрони і зморщене ядро є гіперхромними при мікроскопуванні.[40][47][48] Варто зазначити, що фрагментація дендритів спостерігається і при старінні людини.[48] Аксони, які відходять від нейронів та входять до складу кірково-спинномозкового шляху є фрагментованими, довкола них наявні макрофаги з ліпідними включеннями (ознака розпаду мієліну).[37]
Як у верхніх нейронах, так і у нижніх знаходять ліпофусцинові депозити. Вони є кислотостійкими жовтими чи оранжевими глобулами. При електронній мікроскопії в них виявляють мембранні перетинки та часточки.[48] При накопиченні ліпофусцину ядро зміщується на периферію. Кількість накопичення ліпофусцинових депозитів корелює з ліпофільністю (накопичується краще) чи ліпофобністю (накопичується гірше) нейронів. Нейрони кори головного мозку та передніх рогів спинного належать до ліпофільних нейронів.[47][48]. Оскільки ліпофусцин уже ніяк не розчинеться він все більше накопичується в нейронах, допоки вони не гинуть. Цей процес називається ліпопігментною дистрофією.[49] Акумуляція ліпофусцину також зустрічається при старінні організму.[48][50]
Майже постійні зміни

Такими, що майже завжди зустрічаються (не зустрічаються у рідкісних випадках або при певному варіанті хвороби) змінами є акумуляція нейрофіламентів, тільця Буніної та ряд убіквітинованих включень.
Нейрофіламенти — це протеїни, один з класів проміжних філаментів, які виконують рольцитоскелету нейрона, а саме підтримують нормальну структуруаксона. При БАС відбувається накопичення нейрофіламентів, як в перикаріоні, так і у відростках (накопичення може бути дифузним, що характерне для спорадичної форми, або фокальним — характерне для сімейної форми).[51][52] При БАС нейрофіламенти не накопичуються поза клітиною, що є відмінним від інших хвороб.[51] Причина їх накопичення ще достеменно невідома: її пов'язують як з неправильним утворенням цих філаментів, так і з порушенням їх транспорту або неправильною деградацією. Нейрофіламенти, що накопичуються в аксонах спричиняють розширення останніх, які називаються сфероїдами.[52] Сфероїди зустрічаються у старіючому організмі, але в значно менших кількостях. Окрім накопичення, нейрофіламенти піддаються надмірному фосфорилюванню та нітруванню, що веде до порушення аксонального транспорту та утворення вільних радикалів.[53]
Тільця Буніної — еозинофільні гранулярні цитоплазматичні включення, які деякі науковці вважають патогномонічними для бічного аміотрофічного склерозу (як для сімейної, так і для спорадичної форм).[54] Їх можна побачити поблизу близькорозташованих до перикаріону сфероїдів, в цитоплазмі нейронів спинного мозку, якщо в ній міститься багато ліпофусцину. При електронній мікроскопії тільце Буніної складається з різних уламків клітинних структур: фрагментів ендоплазматичного ретикулума, філаментів, які є товстішими, ніж нейрофіламенти, ліпофусцинових включень, уламків мітохондрій, уламківкомплексу Гольджі (останнє вважається дуже ранньою ознакою нейродегенеративного процесу). Тільця Буніної зустрічаються при ранніх та помірних ступенях розвитку хвороби.[55][56] Вперше описані радянським неврологом Тетяною Львівною Буніною в 1962 році.[54]
Для БАС характерні включення, які є убіквінованими. У нормі убіквітин потрібний для нелізосомального убіквітин-залежного протеолізу — процесу необхідного для знищення зайвих білків та попередження накопичення їх в цитоплазмі.[57] При БАС цей процес є порушеним. Сюди належать гіалінові включення, базофільні включення, ниткоподібні включення. Гіалінові включення (левіподібні тільця) — еозинофільні тільця, які нагадують за своєю будовою тільця Леві. Ультрастуктурно складаються філаментів, відмінних від будь-яких цитоскелетних філаментів. Характерні для бічного аміотрофічного склерозу пов'язаного з мутацією супероксиддистмутази.[58] Базофільні включення найчастіше зустрічаються у передніх рогах спинного мозку та являють собою базофільні кулеподібні утвори, 4-6 мкм в діаметрі. Ниткоподібні включення мають таку назву через свій вигляд. Це утвори тубулярної будови, 15-25 мкм в діаметрі.[59]
Нечасті та рідкісні включення
До таких мікроскопічних знахідок відносяться лімфоцитарна інфільтрація[60], тільця Леві, які зустрічаються при комплексі деменція-паркінсонізм-БАС[61], вакуолізація, альцгеймерівські нейрофібрили[62], наявність гетеротопічних нейронів[63], поліглюкозидні тільця (тільця Лафора та крохмальні тільця(лат. corpora amylacea)).[58][38] Останні можуть міститися в макрофагах, які розміщені вздовж пошкоджених кірково-спинномозкових шляхів і є ознакою руйнування мозкової паренхіми.[37] При мікроскопії — це базофільні утвори величиною до 50 мкм і є одним з найбільших включень.[37] При електронній мікроскопії тільця Лафора за будовою є скупченням фібрилярних елементів, в діаметрі до 20 мкм.[62]
До таких знахідок також належать зміни не у нервовій тканині — зменшення кількості колагену в шкірі та еластину, продукція незрілого колагену; з боку печінки — набряклі мітохондрії в гепатоцитах.[64]
Особливості ендемічної форми
Загалом для ендемічної форми характерні ознаки, які є і при інших формах.. Але є й характерні тільки для цієї форми включення.[41]
Вперше описані Асао Хірано в амонієвому розігіпокампа та парагіпокампіальних звивинах, тільця Хірано є характерними для хвороби Гуам. При мікроскопії є еозинофільними паличкоподібними включеннями. При ультрамікроскопії — це сукупність осмофільних кристалоїдних структур, які утворюються філаментами, що переплітаються між собою.[61] Часто знаходять альцгеймерівські нейрофібрили.[41] Поряд з тільцями Хірано, в тих же місцях, знаходять тільця Сімховича, які є ознакою гранулярної дегенерації нейронів,[65] та тільця Леві[61]. Тільця Сімховича — це вакуолеподібні утвори з аргірофільним або еозинофільним «ядерцем», розміром близько 5 мкм; при ультрамікроскопії тільце має мебрану, щільний матеріал в центрі, а між ними — пустий простір. Ці тільця розглядають як специфічну ознаку енергетичного дефіциту клітини.[65]
Класифікація
Єдиної класифікації бічного аміотрофічного склерозу немає через відсутність єдиної думки про його чітку етіологію. Нижче наведено декілька класифікацій. Перша (за Хадсоном) класифікація ділить бічний аміотрофічний склероз на три основні типи: спорадичний, сімейний та Західно-Тихоокеанський. Орім того в цю класифікацію включені інші хвороби мотонейрона; таким чином класифікація показує те, що всі вони є спільними за місцем ураження, але кожна хвороба проявляється дещо інакше[66]:
| |
| |
Клініцисти користуються класифікацією за Норрісом, запропонованою в 1993 році[67][68]:
| Бічний аміотрофічний склероз | 80 % | Наявність ураження і верхнього, і нижнього мотонейронів |
| Прогресуючий бульбарний параліч | 10 % | Наявність ураження бульбарного мотонейрона |
| Прогресуюча м'язова атрофія | 8 % | Наявність ураження тільки нижнього мотонейрона |
| Первинний бічний склероз | 2 % | Наявність ураження тільки верхнього мотонейрона |
| ||
| Повільно прогресуючий | Зменшення суми балів при оцінці за функціональнини шкалами протягом 12 і більше місяців | |
| Середньо прогресуючий | Зменшення суми балів при оцінці за функціональними шкалами протягом 6-12 місяців | |
| Швидко прогресуючий | Зменшення суми балів при оцінці за функціональними шкалами протягом менш як 6 місяців | |
На пострадянських теренах існує ще одна класифікація, створена у 1978 році Хондкаріяном[69]:
|
|
Етимологія, синоніми та епоніми
Термін «бічний аміотрофічний склероз» утворений зі слів латинської та грецької мов. Слово аміотрофічний є похідним іменника «аміотрофія», який в свою чергу утворений заперечним префіксом а- (з грец. α-), слова «м'яз» (грец. μῦς) та слова «живлення» (грец. τροφος) і означає порушення живлення м'яза, його атрофію. Слово бічний (лат. lateralis) вказує на розташування патологічних змін в бічному канатику спинного мозку — місці, де проходить основна частина кірково-спинномозкових шляхів. Склероз (лат. sclerosis, в свою чергу від грец. σκληρός — твердий) — це слово, що означає розростання сполучної тканини, заміщення сполучною тканиною іншої тканини, «затвердіння».[70] Однак, склерозу при бічному аміотрофічному склерозі в основному значенні цього слова немає. Бічні канатики також потовщуються, але за рахунок проліферації астроцитів і гліальних волокон, які вони продукують і які заміщують пошкоджені нейрони та відростки нейронів.[43]
Окрім такої назви часто, як синонім, вживають термін «хвороба мотонейрона» (у країнах Співдружності цей термін частіше використовується, ніж термін «бічний аміотрофічний склероз»), але цей термін характеризує групу споріднених захворювань, а не тільки аміотрофічний склероз. Першим, хто описав бічний аміотрофічний склероз був Шарко, тому хворобу називають в його честь — «хвороба Шарко». На теренах колишнього СРСР бічний аміотрофічний склероз можуть називати «хворобою Шарко-Кожевнікова», через те, що Кожевніков першим в Російській імперії описав це захворювання. У США хворобу називають хворобою «Лу-Геріга», на честь відомого бейсболіста, який припинив кар'єру, а згодом і помер через цю хворобу.[71] Ще одна можлива назва — міатрофічний бічний склероз.[43]
Клінічні прояви


Постійні синдроми і симптоми
Клініка бічного аміотрофічного склерозу складається зі спастико-атрофічного паралічу або парезу (поєднання синдромів верхнього та нижнього мотонейронів) та деяких інших симптомів.[21]
Синдром верхнього мотонейрона
Синдром верхнього мотонейрона, або центральний параліч, складається з двох груп симптомів: позитивних та негативних. До позитивних відносяться спастичність, гіперрефлексія, наявність патологічних рефлексів та клонус, дистонія. До негативних — слабкість, швидка втомлюваність, неможливість виконання тонких рухів. В основі розвитку позитивних симптомів є втрата контролю вище розташованого нейрона над нижче розташованим, що веде до посилення «автономної» роботи останнього; в основі розвитку негативних симптомів лежить відсутність адекватного зв'язку нижнього нейрона з верхнім. Синдром верхнього мотонейрона виникає дещо швидше, ніж нижнього.[72]
Втома виникає у тих м'язах, які в подальшому будуть паретичними чи паралізованими.[73] При чому, вона може проявлятися в тих м'язах, які при дослідженні ЕМГ є неушкодженими, і при відсутності гіперрефлексії чи патологічних рефлексів. Це пояснюється первинним селективним ураженням клітин Беца, які є верхніми нейронами. Втома та неможливість виконання точних рухів є, по суті, наслідком слабкості, тому слабкість є головним негативним симптомом у синдромі верхнього мотонейрона. Слабкість, однак, виражена не так сильно, як при синдромі нижнього мотонейрона через ще збережені рухові одиниці. Незграбність проявляється при виконанні як точних навмисних рухів, так і при необдуманних спонтанних діях, рефлекторній діяльності.[21][73]
Спастичність — це підвищений м'язовий тонус. Оскільки нижній мотонейрон втрачає зв'язок з верхнім, то він стає більш чутливий до розтягу м'яза, що і проявляється у підвищенні тонусу. Ця ознака є найбільш характерною для центрального паралічу.[74][75] При цьому рухи можливі, але сильно обмежені (це залежить від ступеня спастичності; при сильному ступені відбувається деформація суглобу і важкість виконання рухів). При БАС (як і інших центральних паралічах) спастичність найбільше визначаєтьcя в згиначах верхньої кінцівки та розгиначах нижньої.[76] Ступінь спастичності визначається завдяки таблиці Ешворта.[75] Гіперрефлексія (підсилення фізіологічних рефлексів) та клонус є ознаками будь-якого центрального паралічу, тому є непатогномонічною ознакою. Непатогномонічними, але лише такими, що вказують на наявність центрального паралічу, є й патологічні рефлекси, такі як рефлекс Россолімо, рефлекс Горнера і, особливо важливий для визначення порушень в пірамідному шляху, рефлекс Бабінського (цей рефлекс спостерігається рідше при бічному аміотрофічному склерозі, якщо порівнювати з центральними паралічами іншої етіології, що є певною особливістю для хвороби).[77][78]
Синдром нижнього мотонейрона
До симптомів синдрому нижнього мотонейрона належать м'язова слабкість, атрофія, гіпорефлексія, фасцикуляції, гіпотонія та спазми.[21] Цей синдром виникає пізніше, ніж синдром верхнього і поступово заміняє своїми симптомами ознаки останнього. Пізніше виникнення пояснюється тим, що ознаки периферичного паралічу виникають лише при загибелі приблизно 50-70 % мотонейронів; до того часу ЦНС здатна до компенсації.[79]
М'язева слабкість при цьому синдромі відрізняється від такої при синдромі верхнього мотонейрона тим, що в її основі лежить зникнення рухових одиниць.[79][80] Спочатку слабкість характерна для дистальних відділів кінцівок (кисті, п'яти). Особливо часто хворі вперше звертаються зі слабкістю в ногах. Пізніше западає шия, обмежуються її рухи, виникають компесаторні вигини в хребті з метою підтримки постави і хворий набуває характерного вигляду.[81][82] Тісно зі слабкістю пов'язана атрофія, яка по суті є її причиною. Атрофія проявляється зменшенням м'язової маси. Первинно локалізована там, де і слабкість, тобто в дистальних відділах кінцівок. В особливо пізніх стадіях відбувається така відчутна атрофія, що можливі деформації кисті (кистя, яка нагадує клешню) та п'яти («кінська стопа»).[82][83] Зі зменшенням рухових одиниць та смертю мотонейронів пов'язана і гіпорефлексія з гіпотонією.[82] Фасцикуляції — це швидкі хробакоподібні рухи. Вони виникають через скорочення волокон однієї рухової одиниці. Причина полягає в надмірній збудливості дистального відділу аксона, який прямує до цих волокон.[82] Така ж причина є основою виникнення спазмів — болючих неконтрольованих скорочень м'яза зі зміною положення у суглобах.[82][84]
Бульбарні розлади
Центральний параліч при ураженні кірково-ядерного шляху до нейронів ядер бульбарної групи буде мати назву псевдобульбарного паралічу; периферичний параліч — бульбарного. Як і при ураженні спинного мозку, при БАС наявні ознаки і того, і іншого паралічів.[85]
Дизартрія спочатку виникає при важких «вокальних» навантаженнях, наприклад при довгій лекції. Опісля вона виникає все частіше, допоки не стає постійною і пацієнт перестає розмовляти.[86][87] Оскільки бульбарні нерви пов'язані з м'язами, що беруть участь у ковтанні виникає дисфагія. Погано пережована їжа (хвороба уражає і жувальні м'язи) потрапляє в гортань, через параліч надгортанника, і може спричинити аспіраційну пневмонію. Під час аспірації у хворого виникає сильний кашель; в здорової людини цей кашель дозволяє видалити стороннє тіло. Через слабкість м'язів хворого на бічний аміотрофічний склероз, стороннє тіло може викликати смерть не тільки через виникнення пневмонії, але й через обтурацію повітроносних шляхів та ларингоспазм.[87][88] Також хворий втрачає масу через погане харчування. При вживанні рідини, через парез м'якого піднебіння, рідина може потрапляти до носової порожнини. При цьому пацієнт може задихнутися. Ще один наслідок дисфагії, уражень м'язів лиця та жувальних м'язів — це сіалорея. Слюна не проковтується і не затримується в ротовій порожнині через паралізований круговий м'яз рота.[87][89] Язик, який бере участь в цих всіх актах, атрофований (при бульбарному паралічі атрофія може бути дуже вираженою; при псевдобульбарному вона виражена легше), що погіршує здатність говорити і жувати.[86] Специфічною ознакою для псевдобульбарного паралічу є емоційна лабільність: пацієнт може видавати звуки сміху або плачу. Це пояснюється клонічними судомами м'язів, які пов'язані з голосовими зв'язками. Судоми виникають через відсутність блокування рухової складової лімбічної кори, яка теж контролює м'язи, що беруть участь в голосоутворенні, і яка є «емоційним центром» в мозку, тобто активує емоційну відповідь на певні питання чи предмети.[87]
Дихальні розлади
Через втрату сили в дихальних м'язах, у хворих з бічним аміотрофічним склерозом розвиваються дихальні розлади.[87] Одною з найбільш ранніх ознак є задишка при фізичному навантаженні. З прогресуванням задишка починає виникати і в спокої. Хворим також важко спати на спині, вони задихаються через паретичну діафрагму. Сплять вони або на боці, або підклавши декілька подушок, аби припідняти верхню частину тіла. Часто розвивається ортопное. Ще одна ознака — парадоксальне дихання (живіт, замість припіднятися при вдиху, навпаки спадається). Після сну у хворих болить голова, що можна пов'язати з недостатнім насиченням крові киснем. Аби забезпечити адекватний рівень кисню в крові у хворих задіюється додаткова дихальна мускулатура, що проявляється скороченням м'язів шиї та плечового поясу. Порушення дихання прогресують до такого етапу, коли хворий стає залежним від штучної вентиляції легень.[90]
Втрата ваги
На початку хвороби вигляд хворого не відрізняється від нормального, проте з прогресуванням хвороби у пацієнта відзначають значну втрату ваги, пов'язану не тільки з втратою м'язової маси, а й з втратою підшкірної та жирової тканини на животі. Ця втрата пояснюється порушенням жування та дисфагією: хворому важко пережувати та проковтнути їжу. Наступає стан повного ослаблення та великої втрати ваги, який називається кахексія.[90]
Нечасті синдроми та симптоми
Зазвичай вище перелічені симптоми і складають клінічну картину бічного аміотрофічного склерозу. Однак, дуже рідко до картини підтвердженої хвороби можуть додаватися нетипові (негативні) симптоми, такі, як порушення чутливості, окорухові розлади, розлади сечовипускання та дефекації, деменція та пролежні.
Чутливі порушення
Деякі пацієнти з бічним аміотрофічним склерозом можуть скаржитися на відчуття оніміння. Таке відчуття не завжди характеризує порушення власне в сенсорній системі; інколи таке відчуття виникає через атрофію м'язів та утруднені рухи в них. У пацієнтів можуть виникати больові відчуття, однак, при дослідженні сенсорної системи розладів в таких пацієнтів не знаходять. Лише в деяких пацієнтів при дослідженнях можуть знаходити відхилення, які полягають у підвищеній глибокій чутливості та погіршення провідності по аферентних шляхах.[90][91]
Деменція та паркінсонізм
Вище вказані синдроми якщо й трапляються, то найчастчіше при комплексі БАС-деменція-паркінсонізм. У спорадичних випадках паркінсонізм чи деменція трапляються дуже рідко, при чому, що це може бути асоціація з якоюсь іншою хворобою (супутня хвороба Альцгеймера, наприклад). Ранні симптоми — це забудькуватість та ознаки безладдя в мисленні. Згодом до цього можуть (хоча рідко) додаватися поведінкові та психічні розлади. Деменція при бічному аміотрофічному склерозі має відмінність від деменції при інших хворобах, як на гістологічному рівні, так і за клінічним перебігом (рідко трапляється афазія, тільки при бульбарній формі, рідкі психічні розлади). Синдроми паркінсонізму такі ж, як і в інших випадках: брадикінезія, лялькова хода, ригідність м'язів, феномен зубчастого колеса. Однак, наприклад, ригідність може бути проявом центрального паралічу, а не паркінсонізму.[92]
Окорухові розлади
Рухи очима практично не страждають у хворих з бічним аміотрофічним склерозом, хоча при дослідженнях швидкість руху очними яблуками може спадати до 50 %. Такі зміни пояснюються над'ядерним ураженням (в корі або за ходом кірково-ядерних шляхів). Також такі зміни можуть пояснюватися паркінсонізмом. Безпосередньо ядра окорухових нервів можуть уражатися на пізніх стадіях.[92]
Сечовипускання та дефекація
Тазові функції (дефекація та сечовипускання) контролюються ядром Онуфровича, яке зазвичай не уражається патологічним процесом. Тому суб'єктивно хворі не скаржаться на якісь порушення. Однак, при детальному аналізі порушення в уродинамічних показниках знаходяться приблизно в одної третини хворих на бічний аміотрофічний склероз, що може вказувати на ураження провідних шляхів. Розлади дефекації надзвичайно рідкісні.[92]
Пролежні
Зазвичай у пацієнтів, які є нерухомими та довго перебувають в одному положенні можуть виникати пролежні. Однак, для пацієнтів з БАС вони є рідкістю. Це можна пояснити відсутністю ураження чутливої системи, що дозволяє відчути дискомфорт хворим, та майже нормальною анатомо-функціональною цілісністю шкіри, яка не піддається легко виникненню пролежнів. Найчастіше пролежні серед хворих на БАС виникають у тих, хто довго перебуває на штучній вентиляції легень.[93]
Варіанти

Існуючі класифікації надають декілька варіантів бічного аміотрофічного склерозу, який визначається переважанням на початках хвороби ураження верхнього абр нижнього, або обидвох мотонейронів. Так, англомовна література надає варіанти, коли бічний аміотрофічний склероз дебютує подібно до одного з хвороб мотонейрона або ж класично, з ураженням обидвох нейронів.[94] В класифікації Хондокаріяна є три варіанти: пірамідний, класичний та сегментно-ядерний.[69]
- Класичний (спінальний) варіант — характеризується наявністю уражень верхнього та нижнього мотонейронів у різних відділах з відповідною симптоматикою (центральний та нижній паралічі, спастичністю та атрофією груп м'язів, які іннервуються цими мотонейронами, фасцикуляціями). Хвороба може починатися у якомусь одному відділі (наприклад в шийному і тоді виникатиме шийний дебют хвороби), але зазвичай швидко поширюється на інші. Відповідає класичному варіанту за Хондакаріяном.[94]
- ПБП-варіант — розпочинається з наростаючою слабкості в м'язах, що іннервуються бульбарними нервами та нервами мосто-мозочкового кута. Симптоми — дизартрія, дисфагія, фасцикуляції язика, парез м'ягкого піднебіння. Є ознаки ураження нижнього мотонейрона поза межами довгастого мозку. Якщо ж протягом перебігу захворювання таких ознак не виникає, тоді діагностують «прогресивний бульбарний параліч», тобто ізольоване ураження бульбарних мотонейронів, яке є рідкісним станом.[10][95]
- ПМА-варіант, або дебют з переважним ураженням нижнього мотонейрона — описується переважанням на початку хвороби ознак ураження нижнього мотонейрона у певному чи певних відділах спинного мозку, що веде до синдрому нижнього мотонейрона. Якщо ж протягом перебігу хвороби симптомів ураження нижнього мотонейрона не виникло, то діагностують «прогресивну м'язову атрофію» Відповідає сегментно-ядерному варіанту.[10][95]
- ПБС-варіант, або дебют з переважним ураженням верхнього нейрона — характеризується переважанням ознак ураження верхнього мотонейрона (синдром верхнього мотонейрона) на початку у певному відділі спинного мозку. Якщо ж протягом перебігу хвороби не долучаються ознаки ураження нижнього мотонейрона, то діагностують «первинний бічний склероз». Відповідає пірамідному варіанту.[10][95]
Клінічна характеристика дебютів
У даному розділі описана клінічна характеристика дебютів, які описані в класифікації Хондакаріяна[69][96]. Оскільки для кожного дебюту є пірамідний, сегментно-ядерний та класичний варіанти, то для кожного з них наданий опис:
- Шийно-грудний, який може бути пірамідного варіанту (верхній мотонейрон), в сегментарно-ядерному варіанті (нижній мотонейрон) та класичному (обидва мотонейрони). При класичному варіанті виникає асиметричний (різне ураження кінцівок: якщо в одній руці вже можуть бути наявні яскраві розлади, то в іншій все може тільки починатися) верхній периферичний з елементами гіперрефлексії та деякими патологічними рефлексами та асиметричний нижній центральний парапарези. Останній чітко сформований опісля виникнення першого. Згодом процес стає симетричним і до нього додаються ураження інших відділів. Якщо ж наявний сегментарно-ядерний варіант, то первинно виникає асиметричний верхній периферичний парапарез, в той час як нижні кінцівки довгий час залишаються здоровими. Існує дисоціація між змінами у верхніх та нижніх кінцівках. Лише після виникнення чітко виражених змін у верхній кінцівці починає додаватися симптоматика у інших відділах. При пірамідному варіанті бульбарного дебюту спочатку виникає верхній спастичний парапарез, опісля бульбарні розлади за псевдобульбарним типом та нижній спастичний парапарез. Якщо ж процес переважно починається у грудному відділі, то окрім парапарезів виникатиме проблема з диханням, через ураження іннервації дихальної мускулатури.[97][98]
- При класичному попереково-крижовому варіанті спочатку виникає нижній асиметричний млявий парапарез з елементами гіперрефлексії та іншими ознаками центрального паралічу і, через деякий час, верхній асиметричний спастичний парапарез з елементами аміотрофії. Характерна наявність дисоціації (різниці) між величиною дефіциту в нижній та верхній кінцівках, так як нижній периферичний парапарез виникає та проявляється швидше. Опісля додаються бульбарні розлади. При сегментарно-ядерному варіанті спочатку виникає млявий асиметричний нижній парапарез без елементів гіперрефлексії. Згодом такий же млявий і асиметричний прааліч виникає у верхній кінцівках. Найпізніше додаються бульбарні розлади. Характерні також респіраторні розлади. При пірамідному варіанті виникає нижній спастичний асиметричний парапарез з елементами атрофії м'язів, опісля — такий же верхній парапарез та псевдобульбарний параліч.[97][99][100][101][102]
- Дифузний (первинно-генералізовний) дебют характеризується виникненням периферичного асиметричного тетрапарезу з практично повною відсутністю ознак центрального паралічу. Паралельно розвивається бульбарний синдром. Виникають респіраторні розлади.[97][101][103]
- Бульбарний класичний варіант характеризується початковим прогресивним бульбарним паралічем з розвитоком дисфонії, дизартрії та інших бульбарних розладів та дихальними розаладами на початку хвороби. Опісля виникає верхній в'ялий асиметричний парапарез, згодом і нижній асиметричний в'ялий парапарез. І втого, і в іншого наявні певні ознаки верхнього парезу. При сегментарно-ядерному типі послідовність виникнення парезів та ж, але пірамідні знаки не спостерігаються. При пірамідному варіанті виникає псевдобульбарний параліч, опісля додається верхіній спастичний асиметричний парапарез, а тоді і такий самий нижній. Дихальні розлади виникають в кінці хвороби.[99][100][104]
- При високому варіанті бічний аміотрофічний склероз дебютує за типом первинного бічного склерозу, тобто з перевагою синдрому верхнього мотонейрона за типом тетрапарезу. Окрім цього можуть виникатиекстрапірамідні тапсихічні розлади. Цей варіант ділиться на ще три клінічні варіанти: I — різковиражений верхній тетрапарез з помірними аміотрофіями; II — окрім попередніх симптомів наявні і екстрапірамідні розлади; III — окрім симптомів II типу наявні психічні розлади.[101][96]
Респіраторний (шийний дебют)
Одним з особливих дебютів є респіраторний (вживається в англомовній літературі), або шийний (використовується на пострадянських теренах) дебют. Основним початковим симптомом є дихальна недостатність через парез діафрагми.[103] До інших характерних ознак належить камптокормія (людина зігнута вперед), велика кількість фасцикуляцій, сильна втрата ваги.[105] Людям з таким дебютом часто діагностують дихальну недостатність, проводять ШВЛ в відділенні інтенсивної терапії, а опісля покращення виписують. Проте через деякий час їм знову потрібна допомога. Діагноз «бічний аміотрофічний склероз» ставлять з прогресуванням неврологічної симптоматики.[103]
Діагностика
Критерії діагнозу
Для того, аби уніфікувати поставлення діагнозу «Бічний аміотрофічний склероз» в 1994 році, в Іспанії, були запровадженні «критерії Ель Ескоріаль». Опісля вони були переглянуті в 1998 та 2006 роках. Вони складаються з критеріїв двох груп — A і B.[106][107]
До A-критеріїв належать[69][106]:
- наявність ушкодження нижнього мотонейрона, що підтверджується клінічним, електрофізіологічним чи патофізіологічними дослідженнями
- наявність ушкодження верхнього мотонейрона, що підтверджується клінічно
- наявність прогресування ураження із захопленням нових відділів моторної іннервації, які виявляють при спостереженні за хворим
До B-критеріїв належать[69][106]:
- відсутність електрофізіологічних змін іншого захворювання, які б могли пояснити такі зміни
- відсутність даних нейровізуалізації про інше захворювання, яке б могло пояснити такі зміни
Окрім критеріїв, моторну систему ділять на чотири відділи — стовбур головного мозку, шийний відділ спинного мозку, грудний відділ спинного мозку та попереково-крижовий відділ спинного мозку.
Градація вірогідності діагнозу відповідно до критеріїв така (клінічна картина є вирішальною при градації, опісля йдуть інструментальні та лабораторні дослідження)[107][108]:
| Діагностична категорія | Переглянуті Ель Ескоріаль |
| Клінічно достовірний БАС | Ознаки ураження верхнього та нижнього мотонейронів у трьох з чотирьох відділах |
| Клінічно ймовірний БАС | Ознаки ураження верхнього та нижнього мотонейронів у двох відділах з деякими симптомами ушкодження верхнього мотонейрона, що локалізується вище проявів ушкодження нижнього мотонейрона |
| Клінічно ймовірний БАС — підтриманий лабораторними дослідженнями | Ознаки ушкодження верхнього та нижнього мотонейронів в одному відділі, або ураження верхнього мотонейрона в одному регіоні з ознаками ушкодження нижнього мотонейрона за даними ЕМГ щонайменше у двох кінцівках з виконаними необхідними лабораторними та інструментальними дослідженнями |
| Клінічно можливий БАС | Ознаки ураження верхнього та нижнього мотонейрона в одному відділі і при цьому не можливо довести наявність клінічно ймовірного БАС — підтриманого лабораторними дослідженнями, або ознаки ураження тільки нижнього мотонейрона в двох відділах, або ознаки ураження верхнього мотонейрона у двох анатомічних ділянках без симптомів ураження нижнього мотонейрона, або симптоми ураження нижнього мотонейрона проявляються вище симптомів ураження верхнього мотонейрона |
При затвердженні перших критеріїв існувала ще один пункт «Запідозрений БАС», але при подальших переглядах він був виключений.[107]
Дослідження
Для встановлення діагнозу за хворим слід стежити упродовж шести місяців (змінно два тижні в стаціонарі, два тижні вдома). Нижче перелічені основні дослідження необхідні для того, аби поставити діагноз.[109]
Електроміографія та транскраніальна магнітна стимуляція
Дуже важливим дослідженням для поставлення діагнозу є електроміографія (ЕМГ) — дослідження електричної активності периферичного нейромоторного апарату. За методами ЕМГ можна розділити на стимулюючу та голкову.[110]
До стимулюючої ЕМГ відносять методики визначення швидкості поширення збудження по руховим та моторним волокнам, визначення F-хвиль, визначення H-рефлексу.[110] Першим, що оцінюють при стимуляційні ЕМГ є M-відповідь (її площа, амплітуда, поріг, коли вона викликається, чи наявний її декремент) — сумарна відповідь м'яза чи нерва, стимуляція якого відбувається. При бічному аміотрофічному склерозі характерна знижена амплітуда M-відповіді по рухових нервах (по чутливих — ні) та нормальний поріг викликання.[111][112][113] Однак, варто зазначити, що у випадку початку захворювання, коли атрофії ще не відбулися, амплітуда може бути нормальною.[112] Дуже важливим елементом, який треба дослідити, є швидкість поширення збудження по чутливим та руховим нервам та наявність або відсутність блоку проведення. У випадку бічного аміотрофічного склерозу швидкість поширення збудження буде нормальною[114], або спадатиме не менше 70 % від норми[115][116]. Також будуть відсутні блоки проведення (вогнища поширеного демієлінізуючого процесу в нерві). Останнє необхідне для виключення мультифокальної моторної полінейропатії, яка може маскуватися під бічний аміотрофічний склероз з сегменто-ядерним (за типом прогресуючої м'язової атрофії) варіантом.[117][112] У випадку спастичності амплітуда F-хвиль буде підвищуватися; у випадку загибелі периферичних мотонейронів — буде спадати. У останньому випадку F-хвилі можуть взагалі випадати. Латентність F-хвиль також зростає.[116][118] При спастичному паралічі поріг H-рефексу зменшується, а амплітуда зростає. При периферичному паралічі H-рефлекс має малу амплітуду або може зникати.[119] При стимуляційній ЕМГ необхідно дослідити два нерви на руці (чутливий та моторний) та три нерви на нозі (два моторних та один чутливий) з боку найбільшого ураження.[120]
При виконанні стандартної голкової ЕМГ оцінюють потенціал рухових одиниць, їх амплітуду та форму, перевіряють електроміограму на наявність спонтанної активності м'язових волокон та спонтанної активності рухових одиниць. Потенціал рухової одиниці реєструють у випадку навмисного скорочення м'яза.[121] При бічному аміотрофічному склерозі будуть наявні потенціали з подовженою тривалістю та амплітудою і поліфазією.[122][123] Подовження амплітуди пояснюється таким явищем, як «спраутинг» — активному утворенню нових терміналей від ще збережених нервових волокон до м'язів, які втратили іннервацію.[124] На електроміограмі можна побачити елементи спонтанної активності м'язових волокон — потенціали фібриляцій та позитивні гострі хвилі. Ще одною ознакою, яка однак не завжди свідчить про патологію, є наявність спонтанної активності рухових одиниць — фасцикуляцій.[114][122][125]
Також застосовують спеціальні методи голкової ЕМГ. При виконанні ЕМГ одиничного м'язового волокна перевіряють м'язову щільність, яка до 75 % більша в хворих з бічним аміотрофічним склерозом та джиттер, який збільшується у хворих з БАС.[126] При макро-ЕМГ оцінюють макропотенціали від рухових одиниць. Амплітуда цих потенціалів від рухових одиниць збільшена.[127]
Метод транскраніальної магнітної стимуляції полягає у стимуляції нервової тканини перемінним магнітним полем. Це дозволяє оцінити стан кірково-спинномозкових шляхів. У хворих з бічним аміотрофічним склерозом знижується чутливість до магнітного стимулу, збільшується час центрального проведення, підвищується поріг моторної відповіді.[128][129]
Нейровізуалізація
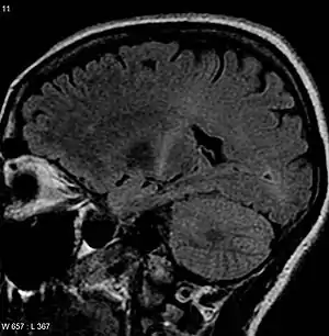
Для візуалізації стану нервової тканини використовують МРТ (КТ використують у пацієнтів, у яких проведення МРТ протипоказане, наприклад у тих, хто має електрокардіостимулятор). Зміни найкраще видно у T2-режимі.[130] На МРТ буде видно ознаки зменшення кількості нейронів, волерівську дегенерацію аксонів, демієлінізацію та відсутність ознак запалення.[131]
При дослідженні кори можливі ділянки зменшеної щільності, хоча остання ознака не є постійною та специфічною.[132] Наявність таких ділянок пов'язують з накопиченням заліза в астроцитах та мікроглії (теорію підтримують не всі дослідники).[130][133] Наявні симетричні ділянки підвищеної щільності (тільки на МРТ) за ходом кірково-спинномозкових шляхів, які найкраще виявляються в головному мозку, менше в спинному мозку (при використанні КТ буде спостерігатися зниження щільності).[134] Ще одна можлива ознака — атрофія у лобній частці, яка полягає у зменшенні кількості білої речовини, а саме аферентних волокон до лобної кори.[135][136][137] Зміни в білій речовині у вигляді гіпертензивних вогнищ знаходять у субкортикальних ділянках, вздовж волокон, що прямують від кори та утворюють променистий вінець, ніжки мозку та покрив моста. Ці зміни корелюють з патоморфологічними змінами, які полягають у волерівській дегенерації та демієлінізації, заміні нормальної паренхіми сполучною тканиною.[134][138] МРТ спинного мозку часто дає нормальну картину. З можливих змін можна відзначити помірні гіпертензивні ділянки у передніх рогах, «сплющення» передніх та бічних рогів (спинний мозок набуває форми оберненої підкови), однак ці зміни нечасті.[132][134][139]
Варто зазначити, що МРТ не варто використовувати, коли є безсумнівні клінічні ознаки бічного аміотрофічного склерозу. Загалом діагноз «бічний аміотрофічний склероз» ставиться на основі клінічних даних.[137]
Інші методи нейровізуалізації (ПЕТ, однофотонна емісійна комп'ютерна томографія, функціональне МРТ) мають обмежене використання у практиці, однак мають великий потенціал для досліджень патофізіологічних процесів хвороби in vivo.
Лабораторні дослідження
Лабораторні дослідження малоінформативні при бічному аміотрофічному склерозі. Визначають кількість еритроцитів, лейкоцитів, тромбоцитів, ШОЕ, електроліти сироватки, протеїни сироватки, гормони щитоподібної залози та ТТГ, вітамін B12 та фолієву кислоту, рівень глюкози. Всі ці дослідження потрібні для виключення найпоширеніших станів, при яких виникає дисфункція ЦНС та для підтвердження БАС. Можливі наступні зміни з боку крові[137][140]:
- підвищення активності креатинфосфокінази до 10 разів вище норми (але найчастіше рівень у два-три рази вищий за норму)
- незначне підвищення активності аланінамінотрансферази (АЛТ), аспартатамінотрансферази (АСТ) та лактатдегідрогенази (ЛДГ)
- незначне підвищення рівня креатиніну (через міоліз)
- гіпохлоремія та підвищена кількість гідрокарбонатів (через розвиток дихального алкалозу, який у свою чергу розвивається через дихальну недостатність)
У спинномозковій рідині іноді відзначається незначне підвищення рівня білка (до 1 г/л).
Окрім цього, у деяких випадках та для диференційного діагнозу доцільним є провести вимір наступних показників[140]:
- Активність гексоамінідази A і B — особливо у ашкеназі — при диференціюванні між БАС та хворобою Тея-Сакса
- Дослідження сечі на наявність важких металів — якщо є підозра на отруєння ними (місце роботи, наприклад)
- Визначення антитіл до ацетилхолінових рецепторів — диференційний діагноз з міастенією
- Визначення анти-MAG — для виключення анти-MAG нейропатії
- Визначення анти-Hu-антитіл — для виключення паранеопластичного процесу
- Наявність антитіл до білків збудника сифілісу, ВІЛу, хвороби Лайма
- Антитіла до гангліозиду GM-1 — диференційний діагноз з мультифокальною моторною нейропатією
- Визначення ревмофакторів, антинуклеарних антитіл, антитіл до ДНК — при підозрі на ревматичну гарячку, системний червоний вовчак
Біопсія м'язів
Зазвичай біопсію м'язів виконують рідко. Вона необхідна у тих випадках, коли є нетипові клінічні та параклінічні ознаки процесу, такі як, наприклад, наявність розладу тільки нижнього мотонейрону, м'язова слабкість без фасцикуляцій або вони рідко трапляються, молодий вік хворого, у спадковому анамнезі — хворі на міопатії, дуже високий рівень креатинфосфокінази.
На ранніх стадіях можна побачити як атрофовані м'язові волокна (I і II типів) так і нормальні волокна. Атрофовані волокна активно взаємодіють з НАД-дегідрогеназою. У полі зору видно окремо згруповані волокна певного типу, хоча нормально вони перемішані між собою (мозаїчна будова). Це свідчить про процеси реіннервації. На пізніх стадіях видно ознаки деіннервації: розкидані та атрофовані волокна певного типу. У саркоплазмі деяких волокон можуть розташовуватися гіперхромні ядра.[141][142]
Лікування, маніпуляції та догляд
Усі хворі підлягають лікуванню в неврологічному стаціонарі, а у термінальних стадіях — в реабілітаційному відділенні з можливим подальшим переведенням в хоспіс.
Патогенетичне лікування
Єдиним препаратом, який достовірно сповільнює прогресування хвороби та дещо подовжує тривалість життя (в середньому на три місяці) є рилузол (рилутек). Окрім цього рилузол відстрочує термін початку проведення штучної вентиляції легень. Рилузол є похідним бензотіазолу. Механізм його дії полягає у пресинаптичному інгібуванню вивільнення глутамату і, як наслідок, зменшенню ексайтотокчичного впливу на нейрони. Препарат добре проникає через гемато-енцефалічний бар'єр.
Симптоматичне лікування
При бічному аміотрофічному склерозі виникає ряд симптомів та станів, які значно погіршують якість життя, а то й загрожують пацієнту. Для їх купування використовують:
- При слинотечі виконуюється механічна (за допомогою відсмокчувачів) або медикаментозна (полоскання ротової порожнини антисептиками) санації; призначають якийсь з тких препаратів: амілтриптилін, атропін, димедрол.
- У випадку психічних розладів (депресія), емоційної лабільності використовують амілтриптилін
- Крампі, фасцикуляції та спастичність усуваються завдяки баклофену, габапентину, карбамзепіну (крампі та фасцикуляції)
- У випадку вираженої втоми — амантадин, етсуксимід; у випадку відсутнього ефекту — лікувальна гімнастика
- Для покращення м'язового метаболізму використовують карнітин, креатинін або левокарнітин
У суспільстві та культурі
Відомі люди з діагнозом «бічний аміотрофічний склероз»
Лу Геріг
19 червня 1903 — 2 червня 1941
Американський бейсболіст, який вперше привернув увагу громадськості до проблеми БАС
Стівен Гокінг
8 січня 1942 — 14 березня 2018
Британський астрофізик, професор Оксфордського університету




У мистецтві
Існує ряд книжок та фільмів, в основному автобіографічні, які описують життя хворих на бічний аміотрофічний склероз. Одною з таких є документальна книга «Вівторки з Моррі», яка в свій час стала бестселлером. Книга являє собою хронологію зустрічей студента Мітча Елбома з професором соціології Моррі Шварцом. Книга була задумана Мітчом для того, аби оплатити медичні рахунки Моррі. У книжці розповідається про діалоги про життя, смерть, любов, стосунки, рідню. Інша книга — «Допоки я не скажу бувай» від Сюзан Спенсер-Вендел, в якій вона описує своє життя з бічним аміотрофічним склерозом. Ряд книжок були написані про Лу Геріга, наприклад, «Найщасливіша людина: життя та смерть Лу Геріга», «Лу Геріг: Найщасливіша людина», «Лу Геріг: Біографія». У 2014 році в світ вийшов фільм «Ти — не ти», який базується на однойменному романі Мішель Віджен. Фільм розказує про піаністку (грає Гіларі Свонк) з бічним аміотрофічним склерозом та її стосунки зі своєю доглядачкою (Еммі Россум), погляди та ставлення до навколишнього світу.[143][144] Ще одним фільмом, який зачіпає тематику бічного аміотрофічного склерозу, є «Теорія всього». Це біографічна стрічка про Стівена Гокінга (грає Едді Редмейн), яка розказує про його взаємостосунки з майбутньою дружиною.[144] Іншою біографічою стрічкою про Гокінга є британський фільм «Гокінг» з Бенедиктом Камбербетчом в головній ролі.
Ice Bucket Challenge
Ice Bucket Challenge — кампанія, яка була покликана підняти цікавість до проблеми бічного аміотрофічного склерозу та зібрати кошти для досліджень з метою боротьби проти цієї хвороби. Суть кампанії — або вилити собі на голову крижану воду, або перевести гроші на рахунок організації по боротьбі з БАС (звичайно виконувалося і те, і інше). Творцем кампанії є Піт Фрейтс, колишній бейсболіст Бостонського коледжу, якому був поставлений такий діагноз, хоча цю версію критикують, наводячи факти про те, що змагання з обливанням себе почалися задовго до Піта. Протягом літа кампанія стала неймовірно популярною як в США, так і в інших країнах. Серед відомих людей, які себе облили були Марк Цукерберг, Білл Гейтс, Джордж Буш молодший. Серед відомих українців — Андрій Садовий[145], Марина Порошенко[146].
Виноски
- NDF-RT
- Drug Indications Extracted from FAERS — doi:10.5281/ZENODO.1435999
- Inxight: Drugs Database
- Inxight: Drugs Database
- Mitsumoto, Chad, 1998, с. 6.
- Завалишин, 2009, с. 9.
- Завалишин, 2009, с. 10.
- Mitsumoto, Chad, 1998, с. 7.
- Mitsumoto, Chad, 1998, с. 8.
- Завалишин, 2009, с. 11-12.
- Mitsumoto, Chad, 1998, с. 4-5.
- Завалишин, 2009, с. 13-14.
- Завалишин, 2009, с. 16.
- ALS Milestones Timeline. MDA. Архів оригіналу за 11 лютого 2015. Процитовано 11 лютого 2015.(англ.)
- Jeffrey D. Rothstein, MD, PhD. Current hypotheses for the underlying biology of amyotrophic lateral sclerosis // Annals of Neurology. — . — Т. 65, вип. 1. — С. 3-9. — DOI:. — PMID:.(англ.)
- Mitsumoto, Chad, 1998, с. 34-35.
- Mitsumoto, Chad, 1998, с. 36.
- Mitsumoto, Chad, 1998, с. 41-42.
- Mitsumoto, Chad, 1998, с. 38.
- Mitsumoto, Chad, 1998, с. 43.
- Mitsumoto, Chad, 1998, с. 48.
- Hardiman, 2011, с. 149.
- Завалишин, 2009, с. 38-39.
- Mitsumoto, Chad, 1998, с. 20.
- Mitsumoto, Chad, 1998, с. 24-25.
- Eisen, 2006, с. 1.
- Mitsumoto, Chad, 1998, с. 22-23.
- Завалишин, 2009, с. 40-41.
- Eisen, 2006, с. 5.
- Завалишин, 2009, с. 34-35.
- Завалишин, 2009, с. 36.
- Завалишин, 2009, с. 88.
- Завалишин, 2009, с. 70.
- Завалишин, Бойко, 2011, с. 473-474.
- Mattson, 2010, с. 149-163.
- Mitsumoto, Chad, 1998, с. 180.
- Завалишин, 2009, с. 123.
- Eisen, 2006, с. 67.
- Mitsumoto, Chad, 1998, с. 179.
- Завалишин, 2009, с. 116.
- Завалишин, 2009, с. 140.
- Eisen, 2006, с. 68.
- Завалишин, 2009, с. 115.
- Eisen, 2006, с. 69.
- Mitsumoto, Chad, 1998, с. 181.
- Mitsumoto, Chad, 1998, с. 187-188.
- Завалишин, 2009, с. 117.
- Eisen, 2006, с. 70-71.
- Завалишин, 2009, с. 118.
- Eisen, 2006, с. 73.
- Eisen, 1973, с. 73.
- Mitsumoto, Chad, 1998, с. 182-183.
- Eisen, 1973, с. 78-80.
- Завалишин, 2009, с. 127-128.
- Eisen, 2006, с. 81.
- Mitsumoto, 1998, с. 184.
- Завалишин, 2009, с. 145.
- Завалишин, 2009, с. 130.
- Mitsumoto, Chad, 1998, с. 185.
- Завалишин, 2009, с. 137.
- Завалишин, 2009, с. 133.
- Завалишин, 2009, с. 129.
- Eisen, 2006, с. 85.
- Eisen, 2006, с. 91-92.
- Завалишин, 2009, с. 141.
- Гусев, 2009, с. 756.
- Forbes Norris (1993). Onset, natural history and outcome in idiopathic adult motor neuron disease. Journal of the Neurological Science 118 (1): 48–55. PMID 8229050.(англ.)
- Євтушенко С.К., Морозова Т.М., Шестова Е.П. СПИНАЛЬНЫЕ МЫШЕЧНЫЕ АТРОФИИ И БОКОВОЙ АМИОТРОФИЧЕСКИЙ СКЛЕРОЗ КАК ПРОЯВЛЕНИЕ БОЛЕЗНИ ДВИГАТЕЛЬНОГО НЕЙРОНА У ДЕТЕЙ. Новости медицины и фармации. Архів оригіналу за 19 лютого 2015. Процитовано 19 лютого 2015.(рос.)
- Гусев, 2009, с. 757.
- What Is Lou Gehrig's Disease. KidsHealth. Архів оригіналу за 20 лютого 2015. Процитовано 20 лютого 2015.(англ.)
- David Oliver, Gian Domenico Borasio, Wendy JohnstonPalliative Care in Amyotrophic Lateral Sclerosis: From Diagnosis to Bereavement. — Oxford: Oxford Press, 2014. — с. 3 ISBN 978-0-19-968602-5 (англ.)
- Завалишин, 2009, с. 162-163.
- Завалишин, 2009, с. 163-164.
- Завалишин, 2009, с. 166.
- Mitsumoto, Chad, 1998, с. 49.
- Завалишин, 2009, с. 167.
- Mitsumoto, Chad, 1998, с. 50.
- Завалишин, 2009, с. 165.
- Завалишин, 2009, с. 172.
- Mitsumoto, Chad, 1998, с. 51.
- Завалишин, 2009, с. 173.
- Mitsumoto, Chad, 1998, с. 52-53.
- Завалишин, 2009, с. 174.
- Завалишин, 2009, с. 177.
- Завалишин, 2009, с. 171.
- Завалишин, 2009, с. 179.
- Mitsumoto, Chad, 1998, с. 55-56.
- Завалишин, 2009, с. 181.
- Завалишин, 2009, с. 180.
- Mitsumoto, Chad, 1998, с. 57.
- Завалишин, 2009, с. 186.
- Mitsumoto, Chad, 1998, с. 59-60.
- Mitsumoto, Chad, 1998, с. 61.
- Mitsumoto, Chad, 1998, с. 10.
- Mitsumoto, Chad, 1998, с. 11.
- Завалишин, 2009, с. 203.
- Гусев, 2009, с. 765-766.
- Завалишин, Бойко, 2011, с. 484.
- Гусев, 2009, с. 767-768.
- Завалишин, Бойко, 2011, с. 483-484.
- Завалишин, Бойко, 2011, с. 485-486.
- Завалишин, 2009, с. 204-205.
- Завалишин, 2009, с. 208.
- Завалишин, 2009, с. 206-207.
- Guillame Gautier, Annie Verschueren, (2010). ALS with respiratory onset: Clinical features and effects of non-invasive ventilation on the prognosis. Amyotrophic lateral sclerosis : official publication of the World Federation of Neurology Research Group on Motor Neuron Diseases 11 (4): 379–382. PMID 20001486. doi:10.3109/17482960903426543.(англ.)
- Reinhard Dengler, M.D., PhD (2010). Diagnostic Criteria Of Amyotrophic LateralSclerosis (ALS). Romanian Journal Of Neurology 9 (4): 165–171. Архів оригіналу за 22 лютого 2015. Процитовано 22 лютого 2015.(англ.)(PDF)
- Hardiman, 2011, с. 153.
- Завалишин, 2009, с. 224-225.
- Наказ МОЗ України від 17.04.2014 № 275 "Про затвердження та впровадження медико-технологічних документів зі стандартизації медичної допомоги при геморагічному інсульті ". Архів оригіналу за 02.04.2015. Процитовано 02.03.2015.
- Гусев, 2009, с. 216.
- Mitsumoto, Chad, 1998, с. 67.
- Гусев, 2009, с. 220.
- Завалишин, 2009, с. 214.
- Завалишин, 2009, с. 213.
- Завалишин, 2009, с. 217.
- Mitsumoto, Chad, 1998, с. 68.
- Eisen, 2006, с. 144-145.
- Завалишин, 2009, с. 218.
- Гусев, 2009, с. 229.
- Гусев, 2009, с. 761.
- Гусев, 2009, с. 232.
- Завалишин, 2009, с. 215.
- Гусев, 2009, с. 246.
- Гусев, 2009, с. 245.
- Гусев, 2009, с. 241.
- Гусев, 2009, с. 249.
- Гусев, 2009, с. 250.
- Завалишин, 2009, с. 220.
- Гусев, 2009, с. 253-254.
- Eisen, 2006, с. 192.
- Eisen, 2006, с. 191.
- Mitsumoto, Chad, 1998, с. 142.
- Mitsumoto, Chad, 1998, с. 147.
- Mitsumoto, Chad, 1998, с. 140-141.
- Mitsumoto, Chad, 1998, с. 137.
- Eisen, 2006, с. 193.
- Гусев, 2009, с. 762.
- Eisen, 2006, с. 194.
- Eisen, 2006, с. 196-197.
- Hardiman, 2011, с. 157.
- Завалишин, 2009, с. 223.
- Mitsumoto, Chad, 1998, с. 128-133.
- First a Tremor, Then a Wheelchair, Then Some Tougher Choices. New York Times. Архів оригіналу за 6 березня 2015. Процитовано 6 березня 2015.(англ.)
- Hollywood raises profile of ALS with two new films. Los Angeles Times. Архів оригіналу за 6 березня 2015. Процитовано 6 березня 2015.(англ.)
- Ice Bucket дійшов до Садового. Zaxid.net. Архів оригіналу за 3 березня 2015. Процитовано 3 березня 2015.
- Родина Порошенка облилася крижаною водою в естафеті Ice Bucket Challenge. TSN. 03-09-2014. Архів оригіналу за 03-03-2015. Процитовано 3 березня 2015.
Література
- И. А. Завалишин. Боковой амиотрофический склероз. — Москва : ГЭОТАР-Медиа, 2009. — 272 с. — ISBN 978-5970412572. (рос.)
- И. А. Завалишин, Н. Н. Спирина, А. Н. Бойко, С. С. Никитина. Хронические нейроинфекции. — Москва : ГЭОТАР-Медиа, 2011. — 553 с. — ISBN 978-5-9704-1898-7. (рос.)
- Е. И. Гусев, А. Н. Коновалов. Неврология: национальное руководство. — Москва : ГЭОТАР-Медиа, 2009. — 1035 с. — ISBN 978-5-9704-0665-6. (рос.)
- Andrew Eisen, Charles Krieger. Amyotrophic Lateral Sclerosis: A Synthesis of Research and Clinical Practice. — New York : Cambridge University Press, 2006. — 324 с. — ISBN 978-0521034265. (англ.)
- Hiroshi Mitsumoto MD. Amyotrophic Lateral Sclerosis: A Guide for Patients and Families. — New York : Demos Health, 2009. — 450 с. — ISBN 978-1932603729. (англ.)
- Hiroshi Mitsumoto, David A. Chad, Erik P. Pioro. Amyotrophic Lateral Sclerosis. — Philadelphia : Oxford University Press, 1998. — 512 с. — ISBN 978-0803602694. (англ.)
- Orla Hardiman, Colin P. Doherty. Neurodegenerative Disorders: A Clinical Guide. — London : Springer, 2011. — 298 с. — ISBN 978-1849960106. (англ.)
- Mark P. Mattson. Pathogenesis of Neurodegenerative Disorders. — New Jersey : Humana Press, 2010. — 294 с. — ISBN 978-1617372155. (англ.)
Посилання
- Діагностика хвороби на сайті журналу «Медицина світу»
- Інформація про хворобу на сайті «Новости медицины и фармации» (рос.)
- ЕМГ-діагностика бічного аміотрофічного склерозу на сайті «Новости медицины и фармации» (рос.)
- Інформація про комплекс БАС-паркінсонізм-деменція (хвороба Гуам) на сайті «Новости медицины и фармации» (рос.)
- Інформація про бічний аміотроіфчний склероз на Emedicine (англ.)
- Інформація про бічний аміотрофічний склероз на NCBI (англ.)
